La gingivitis es una fase temprana de la enfermedad periodontal muy común en todo el mundo. Se trata de una de las enfermedades periodontales más prevalentes, tanto en niños como en adultos. Es esencial entender que la gingivitis es reversible si se detecta y se trata temprano.
La Organización Mundial de la Salud estima que 1 de cada 4 adultos padece alguna forma de infección bacteriana, de los cuales entre un 15 y un 20% desarrolla la versión grave de la enfermedad, la periodontitis. Como acabamos de ver, la gingivitis puede evolucionar en enfermedades más graves.

GINGIVITIS TRATAMIENTO y SÍNTOMAS - ENCIAS INFLAMADAS
¿Qué es la Gingivitis Dental?
La gingivitis es el término que se utiliza para nombrar la inflamación de las encías. La gingivitis es una enfermedad que afecta a la salud de tus encías. El término técnico para la inflamación de las encías es gingivitis.
¿Qué otras enfermedades de las encías existen?
- Periodontitis
- Encías retraídas
- Periimplantitis
Causas de la Gingivitis
Es por todos conocido que algunos hábitos como no cepillarse, no usar hilo dental o no enjuagarse, pueden causar la enfermedad periodontal o gingivitis, pero esta inflamación de las encías también tiene otras causas menos conocidas o incluso sorprendentes.
La gingivitis se produce por una acumulación de la placa bacteriana en la parte de las encías que rodea la base de los dientes. Surge a consecuencia de la acción de las bacterias de la boca. La gingivitis es una patología periodontal que surge a consecuencia de las bacterias bucales. Normalmente se asocia esta enfermedad a la carencia de higiene dental.
La principal causa de la gingivitis o al menos la más común es una mala higiene oral. La placa bacteriana es una película incolora y pegajosa que se deposita en la superficie de los dientes y las encías. Así es como se desarrolla normalmente la inflamación de las encías: Si los dientes y los espacios interdentales no se limpian a fondo y con regularidad, se acumula placa, sobre todo en la línea de las encías.
Las causas más comunes de la enfermedad periodontal son las siguientes:
- La placa: La principal causa de la enfermedad periodontal o gingivitis es la placa, una gruesa película de bacterias que se forma sobre las encías y los dientes y que se puede eliminar con una rutina diaria de cepillado, hilo dental y enjuague. Si no eliminas la placa con regularidad, los minerales de la saliva se acumulan y la endurecen hasta formar sarro. La diferencia entre placa y sarro es que la placa se puede eliminar con un cepillo de dientes, pero no el sarro.
- El tabaquismo: El tabaco interfiere en el funcionamiento normal de las células del tejido de las encías y deja la boca vulnerable a las infecciones, por eso también es una posible causa de la enfermedad periodontal. El tabaco reduce el flujo de sangre y nutrientes que llegan a los tejidos gingivales. Fumar dificulta la circulación sanguínea. Fumar enmascara los síntomas de la gingivitis, como el sangrado.
- Los cambios hormonales: Los altibajos hormonales como ocurren durante el embarazo, el ciclo menstrual, tratamientos hormonales, etc… pueden dejar las encías más vulnerables a la enfermedad periodontal. La gingivitis en el embarazo es una patología muy común. Cuando el equilibrio hormonal está alterado, esto repercute en el riego sanguíneo de las encías. La inflamación de las encías es especialmente frecuente durante el embarazo, la pubertad, la menopausia y la menstruación.
- Los medicamentos: Un efecto secundario de algunos medicamentos es reducir la producción y el flujo de la saliva, lo que deja una boca seca en la que las bacterias pueden proliferar rápidamente.
- Las deficiencias nutricionales: Es importante tomar la cantidad diaria de vitaminas recomendada, ya que la deficiencia de vitamina C puede ser especialmente perjudicial para las encías. Una dieta rica en azúcares y carbohidratos y baja en agua y vitamina C puede llevar a tener problemas de encías. Hábitos alimentarios: las bacterias orales crecen felices en entornos dulces. Por ello, el consumo elevado de azúcares, así como de alimentos ácidos puede favorecer la formación de gingivitis.
- Los dientes torcidos: Si tus dientes, como pasa con frecuencia, se superponen o bien están torcidos o girados, esto puede ser una causa de la enfermedad periodontal. Esto se debe a que una mala alineación de los dientes crea más espacios donde la placa puede acumularse y dañar tus dientes y encías.
- Los antecedentes familiares: Si tienes antecedentes de enfermedad periodontal en la familia, díselo al dentista, ya que esto puede plantear un riesgo ligeramente mayor de padecer una infección bacteriana.

Síntomas de la Gingivitis
¿Cómo saber, entonces, si tienes gingivitis? Si padeces uno o varios de estos signos acude a la clínica dental cuanto antes.
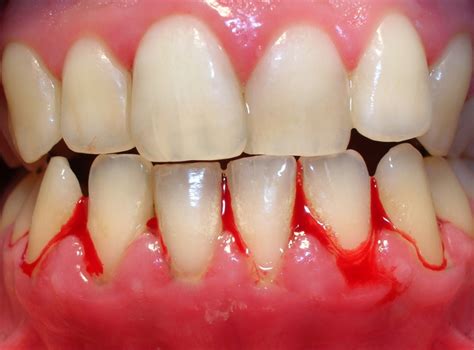
- Encías rojas o inflamadas: Si tus encías están rojizas o irritadas, puede que tengas gingivitis. Uno de los síntomas más notorios cuando tus encías están inflamadas es su color rojo brillante o morado, cuando lo saludable es que sea de un tono rosa pálido. La permanencia de placa y sarro en los dientes hace que las encías se enrojezcan y se irriten más. Y de un tono rojo brillante en la línea que se une con el diente.
- Encías que sangran: Aunque pase muy a menudo y parezca algo muy normal, lo cierto es que no es común ni saludable que las encías sangren durante el cepillado o el uso del hilo. El sangrado gingival, especialmente durante el cepillado o el uso del hilo dental, es otro signo de gingivitis. Cuando de repente descubres unas marcas rojas tras morder una jugosa manzana, te sobresaltas: te sangran las encías. El primer signo suele ser el sangrado de las encías: Cuando te cepillas los dientes, la pasta que escupes no es blanca, sino de color rojizo. Morder una manzana deja un regusto metálico y marcas rojas. Y cuando te limpias entre los dientes, te sale sangre aunque no hayas apretado fuerte con el cepillo interdental ni te hayas resbalado con la seda dental. Las encías nunca deben sangrar, ni siquiera durante el cepillado de dientes.
- Mal aliento: El mal aliento es la consecuencia directa de la acumulación de placa en la lengua, lo que supondría que las bacterias no están siendo eliminadas correctamente y, por lo tanto, la higiene bucal no es la mejor. Este es otro de los síntomas más habituales que van de la mano con las encías inflamadas.
- Dolor y sensibilidad: Los síntomas de la gingivitis podrían empeorar si no se tratan a tiempo, lo que podría dar lugar a la periodontitis. Algunos síntomas como dientes flojos o retracción de encías, podría significar una enfermedad de las encías más avanzada. Tienes las encías sensibles e incluso dolorosas al tacto. Las encías deben de ser firmes.
- Sensibilidad dental.
- Úlceras bucales.
- Recesión de las encías: Cuando las encías han estado inflamadas durante mucho tiempo sin ser tratadas es probable que poco a poco vayan retrocediendo dejando ver la raíz del diente, esto entre otras molestias, puede provocar sensibilidad dental.
Tipos de Gingivitis
- Gingivitis bacteriana: es el tipo más común de gingivitis y es causada por la acumulación de placa bacteriana en los dientes y las encías.
- Gingivitis descamativa: causa inflamación severa y descamación de las encías.
Otros síntomas de la gingivitis
- Inflamación gingival: es el síntoma más común de la gingivitis.
- Absceso gingival: es una bolsa de pus que se forma en las encías debido a una infección bacteriana.
- Hiperplasia gingival: es un crecimiento excesivo del tejido gingival.

Tratamiento de la Gingivitis Dental: ¿Cómo Tratarla y Prevenirla?
Es fundamental estar informado sobre los diferentes tratamientos disponibles. En Clínica Acuadental, nos preocupamos de adaptar a tus necesidades las diferentes intervenciones disponibles para tratar la gingivitis.
Con una higiene bucal completa, la gingivitis aguda se cura en pocos días. La gingivitis aguda puede tratarse con higiene oral, enjuague bucal y, en algunos casos, antibióticos. La medida más importante es una higiene bucal especialmente minuciosa. En caso de gingivitis, lo más importante es un cuidado dental exhaustivo.
Tratamientos disponibles
- Antibióticos: En algunos casos, sobre todo cuando la gingivitis es severa o persistente, los antibióticos suelen ser necesarios para controlar la infección.
- Enjuague bucal: El enjuague bucal puede ayudar a controlar y prevenir la gingivitis al reducir la placa y las bacterias en la boca. La clorhexidina es un desinfectante oral que se usa comúnmente para tratar la gingivitis.
Remedios y cuidados caseros
- Buena higiene bucal: Cepíllate los dientes dos minutos y al menos dos veces al día. Usar hilo dental es muy recomendable para llegar a aquellos recovecos a los que no llega el cepillo. Además, no te olvides de usar colutorio para llegar a aquellos lugares de la boca donde no puede limpiar el cepillo de dientes. Usar colutorio dos veces al día puede suponer un gran cambio en tu salud bucodental. Aunque sea desagradable e incluso pueda sangrar, una limpieza dental a fondo es una prioridad absoluta y el mejor remedio contra la gingivitis bacteriana.
- Prácticas saludables: Control de la alimentación, como el exceso de grasas o azúcar, también puede ayudar a mantener intacta la salud de nuestras encías. Llevar una alimentación sana y equilibrada, con todos los nutrientes necesarios para tu salud y evitando alimentos dañinos para tus dientes como el azúcar o los ácidos.

¿Cómo Prevenir la Gingivitis?
La mejor manera de prevenirla es manteniendo una buena higiene oral y visitando con frecuencia tu clínica dental de confianza. Lo positivo es que la enfermedad periodontal se puede prevenir en su fase inicial, así que quizá sea el momento de adoptar nuevos hábitos saludables.
- Consultas con dentistas periódicamente: Visitar al dentista es muy importante para tu higiene bucodental. Se recomienda, por lo general, ir una vez cada 6 o 12 meses. Las radiografías periódicas también ayudan a identificar aquellas enfermedades que no se ven a simple vista. Una radiografía al año es recomendable para mantener una buena salud bucodental. Es importante acudir al dentista en cuanto se nota algún síntoma de gingivitis para poder aplicar lo antes posible el tratamiento periodontal adecuado.
- Cuidar de tu salud.
Hay millones de personas adultas que sufren la enfermedad periodontal en alguna de sus fases. Las revisiones dentales con una frecuencia mínima de seis meses también son fundamentales. Atención telefónica: Lun. a Jue. de 9h a 21h | Vie.