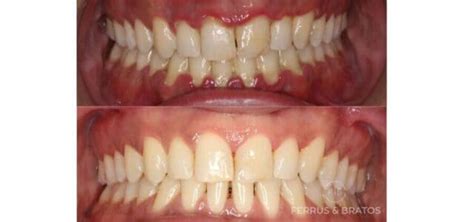
Ocho de cada diez personas sufren de encías inflamadas, una condición que puede ser leve pero que requiere atención para evitar complicaciones. Las encías sanas tienen un aspecto firme y de color rosado, mientras que las encías inflamadas se ven hinchadas y rojizas. Estos síntomas son leves y se pueden tratar mejorando la higiene y con remedios caseros.

¿Qué es un Absceso Dental?
Muchas veces los abscesos en dientes y encías están provocados por abscesos dentales. Un absceso es una infección bucodental, una enfermedad de las encías, que se manifiesta por la aparición de pequeñas bolsas de pus en diversas zonas del diente. Suelen ser muy molestos y, en ocasiones, pueden causar un dolor de dientes insoportable.
Existen tres tipos de abscesos dentales:
- Abscesos endodónticos: Suelen aparecer en la punta de la raíz de un diente como resultado de la presencia de caries o por un traumatismo.
- Abscesos periodontales: Surgen en las encías como causa de alguna enfermedad periodontal.
- Abscesos combinados: Se presentan cuando el absceso afecta a la raíz dental y a la encía en un punto de intersección entre ambos.
- Abscesos periapicales: Basados en una concentración de pus en la punta del diente causada por una infección. Estos últimos, en la mayoría de los casos, tienen su origen en caries dentales no tratadas.
Para una buena higiene bucal es necesario realizar un buen cuidado y una correcta limpieza de los dientes. En el caso contrario, se corre el riesgo de la aparición de un absceso. Para ello, es necesario realizar un buen cepillado con un correcto cepillo de dientes y utilizar bien el hilo dental.
Síntomas Comunes de un Absceso Dental
Cuando se tiene un absceso dental no suele ser muy difícil de identificar, pues presenta una sintomatología muy concreta. Principalmente, el paciente percibe sus encías inflamadas, sensibilidad, hinchazón, movilidad en sus dientes y puede padecer fiebre. Dependiendo de qué tipo de absceso tengamos, se pueden presentar unos síntomas u otros y podemos ayudar a aliviar el dolor de diferentes maneras.
En los abscesos endodónticos o periapicales suelen presentarse episodios agudos de dolor punzante, el típico dolor de muelas. Este dolor suele agudizarse cuando se está en posición de reposo o tumbado. Lleva también aparejada una extrema sensibilidad dental al calor o al frío.
Por otro lado, en los abscesos periodontales, puede verse el forúnculo infectado en las encías. Se nota además una cierta inflamación en la zona que lo rodea de las encías. A veces, se tiene mal sabor de boca y halitosis.
Remedios Caseros para Aliviar la Inflamación de Encías o Abscesos
Aunque su dentista es el único que puede tratar de manera conveniente estas dolencias, existen varias cosas que usted puede hacer para reducir y aliviar el dolor y las molestias que producen los abscesos en la boca. Es decir, existen una serie de remedios caseros para abscesos de dientes y encías.
A continuación, exponemos una serie de remedios caseros para aliviar la inflamación de encías o abscesos. Recuerde que todos estos solo tienen como objeto el aliviar los síntomas, pero en ningún caso serán por sí solos suficientes para eliminar los abscesos. Antes o después, deberá acudir a su dentista para deshacerse de este problema, y cuanto antes lo haga, mejor.
1. Analgésicos
En cualquier farmacia, podemos encontrar algunos analgésicos antiinflamatorios de uso común que no necesitan de receta médica para su compra, como el ibuprofeno, el paracetamol y la aspirina. Los analgésicos son efectivos para ambos tipos de abscesos.
Aunque nos puede sacar de un apuro en un momento, si estamos sufriendo una crisis fuerte con dolores agudos, es recomendable no abusar de ellos y consultar siempre con su médico lo antes posible. Este le dirá cual es la dosis más adecuada para usted.
2. Acupuntura/Acupresión
La acupresión y la acupuntura pueden aliviar el dolor de las encías o de los abscesos dentales. Los ensayos clínicos muestran que estos remedios para el dolor de dientes reducen el dolor de muelas y la inflamación, pues entumece la zona afectada de manera similar a como lo haría un analgésico.
3. Bolsitas de Infusiones
Varias infusiones como la manzanilla y la menta tienen propiedades calmantes y antibacterianas. Aplicarse las bolsitas humedecidas en la zona afectada durante un tiempo pueden mitigar el dolor. Entre los remedios caseros para abscesos en dientes y encías, pueden emplearse tanto para los abscesos endodónticos como para los periodontales.
4. Clavo de Olor
El clavo de olor viene del árbol del clavo. Posee eugenol, un componente que tiene virtudes antibacterianas y sirve para reducir molestias y aliviar la zona inflamada. Se crea una pasta a base de esta flor y agua, que posteriormente ha de aplicarse sobre la zona en cuestión. Este proceso debe repetirse 3 veces al día durante 15 minutos.
5. Gel de Benzocaína
El gel de benzocaína se usa como un anestésico tópico para aliviar rápidamente el dolor de dientes y encías. El gel de benzocaína al 20% adormece la zona afectada temporalmente. Nunca emplee este gel en niños pequeños.
6. Aceites Esenciales
Algunos aceites y esencias, cómo el aceite de clavo, puede ofrecer un cierto alivio a corto plazo para el dolor de las encías y los abscesos dentales. Los ensayos clínicos demuestran que el aceite de clavo puede ser tan efectivo como la benzocaína para el alivio del dolor de muelas. Los aceites esenciales se han utilizado durante siglos por sus propiedades medicinales.
Para utilizar los aceites esenciales para aliviar el dolor y promover la curación, debe mantenerlos siempre en un lugar fresco, lejos de cosas como las especias o los alimentos. Ponga un par de gotas del aceite esencial en una bola de algodón o en un bastoncillo de algodón y utilícelo para aplicar el aceite a su diente.
Las esencias y aceites más comunes que se aplican para esta dolencia son el de clavo, de menta, de orégano y de tomillo. Para aplicarse deben diluirse en una aceite base al 50% y aplicarse en la zona inflamada con un algodón o bastoncillo por unos 5 minutos. Luego espere unos 10-15 minutos y a continuación enjuáguese la boca con agua.
7. Compresas Frías
Uno de los mejores remedios caseros puede ser usar una compresa mojada en una taza de agua tibia, colocada en la parte exterior de la cara, puede ayudar a aliviar la inflamación e hinchazón causada por un absceso dental. Sosténgala en el área del dolor durante 20 minutos al menos en cada ocasión. Asegúrese de usar un paño como barrera entre su piel y la compresa para evitar la irritación de la piel.

8. Almohada de Cuña
El dolor de los abscesos dentales tiende a empeorar al acostarse. Es lo que se conoce como dolor posicional. Dormir en una almohada de cuña para elevar la cabeza puede reducir el dolor que se siente y de esta forma permitir que podamos dormir mejor.
9. Enjuagues Bucales con Agua Salada
Los enjuagues bucales con agua salada pueden aliviar el dolor asociado a los abscesos en las encías. El agua salada al aplicarse en enjuagues bucales, tiene propiedades antiinflamatorias y curativas sobre las heridas.
Para hacer el enjuague llene un vaso con agua tibia y añádale una cucharada de sal rosa del Himalaya. A continuación, proceda a enjuagarse la boca con la disolución. Haga esto 4 o 5 veces al día.
10. Enjuagues con Bicarbonato Sódico
El bicarbonato de sodio tiene propiedades antibacterianas y puede aliviar el dolor de las encías causado por un absceso Además ayudará a mantener un Ph en su boca más alcalino, lo que combate la acidez provocada por la presencia de placa bacteriana. Un tratamiento casero para los abscesos dentales que probablemente tienes en tu cocina es el bicarbonato de sodio.
Enjuagarse la boca con una solución de bicarbonato de sodio y agua tibia ayudará a reducir la cantidad de placa en la boca y ayudará a aliviar el dolor. Si tienes un absceso en un lado del diente o en las encías, puedes hacer una pasta de bicarbonato de sodio y agua y aplicarla directamente sobre el diente o la encía en lugar de usar el enjuague. Si la infección en tu diente está en otra parte del mismo, utiliza el enjuague.
Para un enjuague efectivo, disuelva el bicarbonato en agua tibia, en una proporción de 1 a 1. A continuación, añada sal rosa del Himalaya y remueva la mezcla. Enjuáguese la boca con esta solución de 3 a 5 veces al día.
Cuándo Debemos Acudir a Nuestro Dentista
Tras conocer los remedios caseros para la inflamación de encías o abscesos, debemos hacer hincapié en que estos son considerados emergencias dentales. De hecho, el 63% de las estancias hospitalarias por problemas dentales se deben a abscesos de encías o dientes.
Aunque existen, como hemos citado anteriormente, remedios caseros para dolor de dientes y encías es su dentista de confianza quien le realizará el tratamiento adecuado para curar las molestias.
Si experimenta alguno de los siguientes síntomas descritos, debe acudir de inmediato a su clínica de confianza para que le hagan una revisión y un diagnóstico adecuado:
- Inflamación persistente
- Dolor intenso
- Sangrado
- Recesión gingival
- Mal aliento
- Presencia de abscesos o úlceras
- Cambios en la coloración de las encías
- Antecedentes de enfermedad periodontal
Recuerde que solo un profesional de la odontología puede ayudarle a eliminar la infección con el tratamiento más conveniente para usted y recetarle lo más adecuado, por ejemplo, antibiótico.
Así que si después de aplicar remedios caseros para abscesos en dientes y encías sigue teniendo molestias, consulte a su dentista.
Remedios Adicionales para la Salud de las Encías
Además de los remedios caseros mencionados, existen otros consejos y hábitos que pueden contribuir a la salud de tus encías:
- Infusión de arándanos: Estas bayas son antinflamatorias y antibacterianas, por lo que su infusión se utiliza para enjuagar y masajear las encías después del cepillado.
- Jengibre y sal: El jengibre tiene propiedades antinflamatorias, analgésicas y antioxidantes que pueden aliviar la inflamación.
- Té verde: El té verde tiene importantes propiedades antiinflamatorias y antioxidantes que ayudan a rebajar la inflamación de las encías y mejorar la fijación dental. Se recomiendan dos infusiones de té verde al día.
- Salvia: Masticar hojas de salvia puede ayudar a combatir los abscesos dentales y las encías hinchadas gracias a sus propiedades antiinflamatorias.
- Aloe Vera: Aplicar gel de aloe vera directamente en la encía después del cepillado de dientes puede ayudar a rebajar la inflamación de encías y a prevenir la retracción de encías.

Tabla resumen de remedios caseros para infecciones en las encías:
| Remedio Casero | Descripción | Beneficios |
|---|---|---|
| Analgésicos | Ibuprofeno, paracetamol, aspirina | Alivian el dolor y la inflamación |
| Acupuntura/Acupresión | Estimulación de puntos específicos | Reduce el dolor y la inflamación |
| Bolsitas de infusiones | Manzanilla, menta | Calmantes y antibacterianas |
| Clavo de olor | Aplicación de pasta de clavo y agua | Antibacteriano, reduce molestias e inflamación |
| Gel de benzocaína | Anestésico tópico | Adormece la zona afectada |
| Aceites esenciales | Clavo, menta, orégano, tomillo | Alivio del dolor, propiedades medicinales |
| Compresas frías | Aplicación externa en la cara | Alivia la inflamación e hinchazón |
| Almohada de cuña | Elevar la cabeza al dormir | Reduce el dolor posicional |
| Enjuagues con agua salada | Agua tibia con sal del Himalaya | Antiinflamatorio y curativo |
| Enjuagues con bicarbonato | Bicarbonato de sodio en agua tibia | Antibacteriano, alivia el dolor |
Al seguir estos consejos y utilizar estos remedios caseros, puedes aliviar la inflamación de las encías y promover una mejor salud bucal. Recuerda siempre consultar a tu dentista para un diagnóstico y tratamiento adecuados.