Las encías retraídas son uno de los problemas bucodentales más frecuentes hoy en día. Si al mirarte al espejo notas que tus dientes se ven más de lo habitual o si experimentas sensibilidad al frío y al calor, puede que estés ante un problema muy común: las encías retraídas.
La recesión gingival o encías retraídas son una de las patologías más comunes de salud dental que debe ser tratada adecuadamente. Aunque muchas personas creen que solo es una cuestión estética, la retracción gingival es un signo de que algo no va bien con tu salud bucodental.
Unas encías retraídas deben ser motivo de alerta porque pueden ser el origen de diversas complicaciones. Es esencial abordarlo cuanto antes para evitar un trastorno mayor y mantener una buena salud periodontal. Las encías retraídas pueden causar problemas importantes en la boca y afectar a la salud general.
En este artículo vamos a conocer qué son las encías retraídas, sus causas principales, las soluciones que existen y qué podemos hacer para evitar la recesión gingival.
¿Qué son las Encías Retraídas?
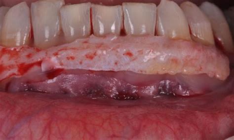
Cuando hablamos de encías retraídas nos referimos a un desplazamiento del tejido gingival que provoca una sobreexposición del diente. Las encías se desplazan hacia arriba en los dientes superiores y hacia abajo en los dientes inferiores dejando al descubierto parte de la raíz dental.
Esto no solo afecta a la estética, sino que también compromete la protección natural de los dientes, aumentando la sensibilidad y el riesgo de enfermedades.

Ejemplo de encías retraídas, mostrando la exposición de la raíz del diente.
Causas de la Retracción de las Encías
Las encías retraídas o la recesión gingival ocurre cuando el tejido que rodea los dientes retrocede, exponiendo así más superficie del diente o la raíz. Este fenómeno puede tener causas y consecuencias distintas.
Sin embargo, hay diversas razones que pueden explicar la razón por la que tenemos encías retraídas. Entre las principales causas de encías retraídas destacan las enfermedades periodontales, como la periodontitis crónica y hábitos perjudiciales como un cepillado agresivo.
¿Por qué se retraen las encías? La retracción de las encías es un problema mucho más común de lo que la gente piensa. Lo que pasa que, por lo general, no le prestamos demasiada atención.
A continuación, se exponen algunas de las causas más comunes:
- Enfermedades Periodontales: Esta infección de origen bacteriano afecta las encías y el hueso de soporte, que mantiene los dientes en su lugar, progresivamente. Una mala higiene dental es la principal causa de la enfermedad periodontal. También conocida como piorrea, la periodontitis empieza como una gingivitis no tratada. Con el paso del tiempo, esta bolsa destruye el hueso y todo el tejido conjuntivo que rodea al diente. La periodontitis -también llamada piorrea- es una enfermedad de las encías que se caracteriza por ser crónica y está causada por la acumulación de bacterias en la boca. En el caso de la periodontitis, la recesión de encías suele manifestarse de manera generalizada. Es decir, en todos o casi todos los dientes de la boca.
- Cepillado Dental Incorrecto: Si te cepillas los dientes con demasiada fuerza, utilizas un cepillo con las cerdas muy duras o realizas una técnica inadecuada, puedes dañar la encía y hacer que se retraiga. El cepillado de nuestros dientes debe de ser suave sin hacer fuerza ni apretar. Y es que, hay personas que tienden a cepillarse los dientes con excesiva fuerza, creyendo que, de esa manera, van a limpiar mejor su boca. Generalmente, las encías retraídas por un cepillado abrasivo se manifiestan en unos dientes concretos -en función de las zonas donde se ejerza más fuerza-. Por lo general, la retracción de encías puede darse en pacientes que tienen un buen control de placa. Por tanto, encías retraídas y cepillado fuerte pueden estar muy relacionados. Piensa que la encía es piel.
- Factores Genéticos: Algunas personas pueden estar genéticamente predispuestas a tener encías más sensibles, delgadas y propensas a la recesión. Algunas personas están genéticamente predispuestas a tener encías sensibles y a sufrir retracción gingival. Esto significa que, aunque mantengan una buena higiene bucal y cuiden su salud dental, podrían desarrollar problemas en las encías debido a factores genéticos.
- Higiene Dental Pobre: No realizar un correcto cepillado de los dientes después de cada comida favorece la conversión de la placa bacteriana en sarro. Esta sustancia dura que se acumula sobre los dientes, solo puede eliminarse mediante una limpieza dental profesional.
- Tabaco: Fumar o vapear aumenta el riesgo de padecer una enfermedad periodontal. Las personas fumadoras tienen mayor probabilidad de desarrollar una capa de derivados del tabaco sobre los dientes. El tabaco contribuye a la retracción de encías en pacientes con periodontitis. Como consecuencia, el tabaco enmascara los clásicos síntomas de las enfermedades periodontales: enrojecimiento, inflamación y sangrado de encías.
- Bruxismo: El bruxismo es un hábito que consiste en apretar o rechinar los dientes de manera involuntaria, normalmente, debido al estrés. Si una persona es bruxista y no se lleva a cabo un control adecuado de la afección (mediante revisiones y una férula de descarga), sus músculos y articulaciones faciales sufrirán una tensión constante. Si un paciente es bruxista de manera continuada, esta parte de la dentadura puede padecer que las encías se retraigan.
- Piercings Orales: Los piercings en la boca, como los que se llevan en la lengua o en el labio, también pueden provocar retracción de encías. Esto se debe a que los piercings tienden a apoyarse o a contactar con las encías. También, suelen darse casos de retracción de encías en pacientes que tienen un piercing en la boca.
- Cambios Hormonales:
- Dientes Torcidos o Mordida Desalineada:
- Estrés: En los últimos años se ha demostrado que existe una conexión entre el estrés y los problemas periodontales. Es uno de esos factores invisibles que afectan a la salud de nuestras encías.
- Enfermedades Sistémicas: Enfermedades como la diabetes, el SIDA o cualquier otra que afecte al sistema inmunitario, crean un mayor riesgo de desarrollar infecciones.
- El uso de ortodoncia: El uso de ortodoncia para corregir los dientes y la mordida, como pueden ser los brackets, puede producir pérdida en las encías debido a los movimientos que genera la ortodoncia. En Dobleese, en algunos casos (cuando es necesario) realizamos un tratamiento para la retracción de encías antes incluso de colocar la ortodoncia al paciente.
- Traumatismos: Las encías retraídas también pueden estar causadas por un golpe muy fuerte.

Las enfermedades periodontales son una causa común de la retracción de encías.
Consecuencias de las Encías Retraídas
Unas encías retraídas deben ser motivo de alerta porque pueden ser el origen de diversas complicaciones.
- Problemas Estéticos: La exhibición excesiva de las raíces dentales hace que los dientes se vean más largos y que esto afecte a la sonrisa. Otra de las consecuencias de las encías retraídas es el empeoramiento en el aspecto de la sonrisa.
- Mayor Susceptibilidad a las Caries: La encía es una barrera protectora contra las bacterias. Infecciones dentales y caries: La encía es una barrera protectora contra las bacterias. La superficie que tiene la raíz no es esmalte (el esmalte solo está en la corona del diente) sino que es cemento. Y lo que ocurre es que al ser cemento, es mucho más poroso y no está preparado para estar en la cavidad oral. Aparte, cuando tienes retracción de la encía, por lo general, acumulas más sarro y te cuesta más trabajo cepillar. Por lo tanto, se te irrita la encía. Como se te irrita la encía, esta se te inflama más y al final, entras en un bucle. “No me cepillo la zona de la retracción porque tengo sarro y me sangra.
- Aumento de la Sensibilidad Dental: Dado que la propia retracción provoca que la raíz del diente se exponga, las encías retraídas también ocasionan un aumento de la sensibilidad dental. El primer signo de la retracción de las encías suele ser la sensibilidad dental, o descubrir que un diente parece ser algo más largo de lo habitual.
- Movilidad y Caída de los Dientes: La movilidad y caída de los dientes puede producirse cuando la causa de las encías retraídas es la periodontitis. Esto se debe a que las bacterias destruyen el tejido que se encuentra alrededor de los dientes (encías y hueso). La periodontitis hace que pierdas hueso. Por consiguiente, pierdes encías. Sin embargo, cuando se trata de pérdida de encías por periodontitis la situación es diferente. Pues se trata de una enfermedad que hace que se pierda hueso. Y si no hay hueso, no hay encía.
- Troneras Dentales: En ocasiones, cuando perdemos encía aparecen unos triángulos negros entre los dientes que conocemos como troneras dentales.
Soluciones y Tratamientos para las Encías Retraídas
La retracción de las encías es un problema común, pero potencialmente grave, que requiere atención y tratamientos adecuados. Es importante abordar este problema dental de manera temprana para evitar complicaciones y proteger la salud bucal a largo plazo. Si crees que estás padeciendo retracción en las encías lo más recomendable es acudir a tu dentista de confianza. El podrá aconsejarte, y si la retracción de encías es detectada en una fase inicial, hay muchos tips que se pueden aplicar para evitar que progrese y que llegue a causar daños mayores.
RECOMENDACIONES | ¿Qué debo hacer después de un INJERTO DE ENCÍA?
La posibilidad de recuperar las encías retraídas dependerá de cada caso. Por tanto, te recomendamos que, si notas tus encías retraídas, acudas cuanto antes a uno de nuestros odontólogos. En solo una visita, que además es gratuita, podrán determinar cuál es la causa de la recesión. Posteriormente, pautarán el tratamiento adecuado para que esta cese.
¿Cómo recuperar encías retraídas? Ahora que ya conoces en qué casos se pueden recuperar las encías retraídas, responderemos a las preguntas: ¿Cómo solucionar la retracción de encías? ¿Cómo curar las encías retraídas?
Es el dentista el encargado de tratarlas, si la retracción de encías es leve, comúnmente se realiza una limpieza profunda del área afectada. Durante este proceso, también conocido como curetaje dental o raspado y alisado radicular (dependiendo de la profundidad que requiera), la placa y el sarro que se ha acumulado en los dientes y las superficies de la raíz bajo la línea de las encías se eliminan cuidadosamente.
Existen varios procedimientos quirúrgicos para tratar las enfermedades de las encías. Durante este procedimiento, el dentista o periodoncista (odontólogo especialista en encías) eleva el tejido de las encías afectado y limpia muy bien toda la zona infectada, eliminando las bacterias de las bolsas periodontales y realizando un alisado de la superficie de la raíz.
Si el hueso que sostiene los dientes se ha visto afectado, se recomienda la aplicación de un procedimiento que regenere la pérdida de hueso y tejido. Al igual que en el caso anterior, el dentista eleva el tejido de las encías y elimina las bacterias. Posteriormente, aplica un material regenerativo, como una membrana, tejido de injerto o proteína estimuladora de tejido, para fomentar la regeneración natural del hueso y el tejido en dicha zona.
Existen varios tipos de procedimientos de injerto de tejido en las encías, pero el más común es el que se conoce como injerto de tejido conectivo. En esta cirugía se toma un trocito de encía del paladar del que se extrae tejido conectivo subepitelial. Un injerto de encía (o cirugía mucogingival) es un trasplante de tejido conectivo de una zona donde hay mucho (paladar) a una zona donde no hay o hay muy poco tejido (encías retraídas). Es una técnica que es sensible al operador, es decir, depende mucho de quien la realice el que se consigan mejores o peores resultados. Por eso es importante siempre acudir a un especialista en encías que esté acostumbrado a realizar este tipo de cirugías.
En nuestras clínicas, utilizamos la técnica de microcirugía mínimamente invasiva, garantizando el mejor resultado sin dolor. Otro de los tratamientos básicos que se realizan para la recesión de encías son los sistemas de desinfección para eliminar las bacterias. Consulta más sobre nuestro tratamiento de Raspado y alisado radicular, también conocido como Curetaje Dental, donde conseguimos eliminar el sarro y las bacterias acumuladas bajo las encías, alrededor de las raíces de los dientes. Por lo general, es un tratamiento que suele ser bastante predecible. Es un tratamiento delicado por cuanto que depende mucho de quien te lo haga. Por este motivo, es importante seleccionar un buen profesional con conocimientos y experiencia para que realice la cirugía con éxito. En ocasiones, los pacientes que se realizan una cirugía plástica mucogingival es por motivos estéticos. Los pacientes que se realizan este tratamiento para las encías retraídas en nuestra clínica quedan muy satisfechos con el resultado.

La microcirugía mucogingival es una opción para tratar la retracción de encías.
Cuando la retracción gingival se debe a un cepillado abrasivo, el tratamiento para solucionar la recesión pasará por un injerto de encía en los dientes afectados. En el caso de los pacientes bruxistas, será necesario que empiecen a llevar, cuanto antes, una férula de descarga.
La retracción de encías tiene que ser evaluada por un profesional.
Prevención de la Retracción de las Encías
El cuidado de las encías es vital para mantenerlas sanas y evitar su retroceso. Se puede lograr adoptando medidas preventivas y modificando o eliminando malos hábitos.
La mejor manera de prevenir las encías retraídas es realizando un muy buen cuidado de tu boca. Cepíllate los dientes y usa hilo dental o cepillos interdentales todos los días, visita al odontólogo al menos dos veces al año, o según lo que te recomiende tu dentista de confianza. Usa siempre un cepillo de dientes de cerdas suaves y pídele a tu dentista que te muestre la forma correcta de cepillarte los dientes.
- Mantener una Buena Higiene Oral: Cepillarse los dientes al menos dos veces al día con un cepillo de dientes de cerdas suave.
- Realizar un Cepillado Suave: Hay que evitar cepillar los dientes con demasiada fuerza o con movimientos bruscos. Hacerlo incorrectamente puede dañar el tejido gingival y contribuir a su retracción.
- Elegir Productos Dentales Adecuados: Es fundamental elegir un cepillo de dientes de cerdas suaves. También un hilo dental sedoso para limpiar completamente los huecos entre los dientes, sin dañar las encías. Y completar con un enjuague bucal sin alcohol para proteger las encías delicadas y prevenir una posible irritación.
- Evitar el Tabaco: Fumar o vapear aumenta el riesgo de padecer una enfermedad periodontal.
- Seguir una Dieta Equilibrada: Consumir una dieta rica en frutas, verduras, proteínas magras y calcio puede ayudar a fortalecer los dientes y las encías. De esta manera se reduce el riesgo de la recesión gingival.
- Visitar Regularmente al Dentista: Para detectar cualquier signo de enfermedad periodontal o una recesión gingival en etapas tempranas, es vital programar revisiones dentales regulares con el dentista al menos dos veces al año.

Mantener una buena higiene oral es clave para prevenir la retracción de encías.