Un quiste dental es una cavidad recubierta de una membrana que se encuentra en las estructuras que forman la boca. Los quistes a nivel de los maxilares son una alteración relativamente frecuente, de etiología benigna, y de fácil resolución. Sólo en casos muy poco frecuentes, estos quistes ya sea por el tamaño o por el tipo de tejido pueden comportar secuelas más graves como pérdida de dientes, de tejido óseo o incluso invadir estructuras vecinas.

¿Qué son los Quistes Dentales?
Son unas cavidades recubiertas de una membrana que se encuentra en las estructuras que forman la boca. Hay muchos tipos diferentes de quistes dentales y se encuentran preferentemente dentro de los huesos maxilares. Los quistes crecen muy lentamente y si los dejamos años pueden dar síntomas por compresión.
Tipos de Quistes Dentales
Los quistes dentales más frecuentes en la consulta son:
- Periapical: Este tipo de quiste se produce alrededor de la punta (ápice) de la raíz de un diente, por lo general como resultado de la infección dentro de ese diente.
- Dentígero: Este quiste se produce alrededor de dientes no erupcionados como muelas del juicio que aún no han salido y provoca la pérdida ósea a su alrededor.
- Periodontal lateral: Es una lesión situada lateralmente a la raíz de un diente erupcionado, que a pesar de poder aparecer en cualquier edad, tiene un pico máximo de aparición de entre 40 y 70 años del paciente.
- Residual: Este quiste es un quiste periapical que persiste después de que se extrae un o varios dientes y se trata mediante cirugía.
- De erupción: Se desarrolla en el tejido blando, sobre la corona del tejido de erupción. Usualmente es deciduo, y permanente con menor frecuencia.
En los primeros meses de vida hay quistes en los bebes que se llaman Perlas de Epstein y que son quistes de la encía o gingivales. Son de color blanquecino y se forman en las encías y paladar.

Causas de los Quistes Dentales
Si un diente infectado se ignora o se trata con antibióticos solamente, al cabo de los meses ocasionará un granuloma alrededor de la raíz. Y al cabo de los años es posible que se transforme en un quiste verdadero con una membrana. Tanto un granuloma como un quiste alrededor de la raíz llevarán a una pérdida de hueso progresiva alrededor de la raíz dicha raíz, sino son tratados.
Las causas más comunes incluyen:
- Caries dentales no tratadas
- Infecciones crónicas
- Traumatismos
- Desarrollo anormal de tejidos
Síntomas de los Quistes Dentales
Si de repente detectas que tu encía se inflama en determinada zona, y que comienza a formarse una pequeña fístula por encima del diente, podemos estar hablando de un quiste dental o odontogénico. Este se caracteriza además por ser semiblando y escamoso al tacto.
Los quistes dentales son consecuencia de una infección que se ha producido en el diente o en un hueso adyacente. Una caries o un golpe en el diente puede originarla, y si bien es un tipo de patología benigna y común, fácil de tratar, es normal alarmarse un poco ante su aparición.
Los síntomas comunes incluyen:
- Inflamación en la encía
- Dolor o molestia
- Sensibilidad dental
- Alteración en la sensibilidad labial
- Presión en la mandíbula
- Llagas
- Absceso dental
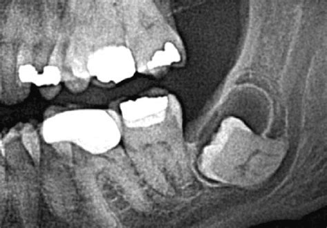
Diagnóstico de los Quistes Dentales
Ante la presencia de los síntomas antes descritos, se debe recurrir a un profesional de la salud dental para que determine cuál es el diagnóstico correcto. Generalmente los quistes dentales se observan a través de una radiografía panorámica o una radiografía 3D que es mucho más precisa y exacta.
Estos estudios determinarán el tamaño del quiste, su origen, la posición, el estado del diente y de la encía y cómo afecta a los dientes cercanos a él. En base a esto se puede establecer la manera de extirpar el quiste que será diferente en cada caso.

Tratamiento de los Quistes Dentales
El tratamiento de los quistes consiste en la extracción del quiste que se realiza generalmente con anestesia local, con una duración de 20-30 minutos, totalmente indoloro, y con un postoperatorio que cursa con algo de edema, molestias ligeras, y que requiere de una dieta blanda durante unos días.
El tratamiento suele comenzar con una endodoncia o tratamiento de conducto puesto que es el nervio dental el que está dañado. Posteriormente se procede a extirpar el quiste.
En la eliminación por cirugía, el especialista suele hacer llevar a cabo el procedimiento bajo anestesia local, pero si el quiste se ha infectado previamente se deberá administrar antibióticos antes del procedimiento quirúrgico.
El procedimiento quirúrgico puede requerir:
- Endodoncia o Re endodoncia de los dientes afectos.
- Obturación retrógrada para obtener un sellado del diente y evitar la recidiva del quiste.
- Exodoncia de dientes afectos que no tengan viabilidad.
Este procedimiento se realiza mediante “MTA” que evita la filtración del diente y complementa la endodoncia realizada por el odontólogo. Estudios recientes han demostrado que la utilización de esta técnica complementaria disminuye de manera muy ostensible el índice de recidivas de los quistes.
Opciones terapéuticas en quistes odontogénicos:
Las consideraciones quirúrgicas de los quistes maxilares están relacionadas con los patrones clínicos e histológicos de cada uno de ellos. Todas estas consideraciones, junto con las ventajas e inconvenientes de cada tipo de tratamiento dictaminaran la opción terapéutica más adecuada.
Quistes dentales o de los maxilares, guía para pacientes 2023
Antibióticos en el Tratamiento de Quistes Dentales
Si un diente infectado se ignora o se trata con antibióticos solamente, al cabo de los meses ocasionará un granuloma alrededor de la raíz. Y al cabo de los años es posible que se transforme en un quiste verdadero con una membrana. Tanto un granuloma como un quiste alrededor de la raíz llevarán a una pérdida de hueso progresiva alrededor de la raíz dicha raíz, sino son tratados.
En la eliminación por cirugía, el especialista suele hacer llevar a cabo el procedimiento bajo anestesia local, pero si el quiste se ha infectado previamente se deberá administrar antibióticos antes del procedimiento quirúrgico.
Tabla Resumen de Tipos de Quistes Odontogénicos
| Tipo de Quiste | Localización | Características | Tratamiento |
|---|---|---|---|
| Periapical | Ápice de la raíz del diente | Infección, caries | Endodoncia, extracción, cirugía |
| Dentígero | Dientes no erupcionados | Pérdida ósea | Extracción, descompresión |
| Periodontal Lateral | Lateral a la raíz | Asintomático | Enucleación |
| Residual | Sitio de extracción previa | Persistencia de infección | Cirugía |
| De Erupción | Tejido blando sobre diente en erupción | Niños, inflamación | Observación, incisión |
Es importante mantener una correcta higiene bucodental, lo que permitirá evitar todo tipo de infecciones. Por lo tanto, es recomendable el cepillado después de cada comida y el uso de hilo dental. Es importante llevar a cabo una rutina de higiene diaria, acompañada de revisiones anuales a tu dentista de confianza para detectar cualquier problema a tiempo.
tags: #quiste #dental #antibiotico