Cuando en el ámbito odontológico hablamos de quiste maxilar nos referimos a toda lesión benigna, cuyo contenido es líquido, con forma de saquito o bolsa, recubierta por un epitelio y bien circunscrita. Estas lesiones pueden destruir el hueso y provocar movimiento dentario.

En el artículo de hoy vamos a hablar sobre los quistes maxilares, una lesión que conviene detectar en sus estadios iniciales para evitar sus posibles consecuencias.
¿Qué es un quiste en la boca?
Es una lesión que se desarrolla en el hueso maxilar o en los tejidos blandos o en relación con los dientes. Estas lesiones pueden destruir el hueso y provocar movimiento dentario. Estas lesiones, a los que en ocasiones clasificamos como odontogénicos o no odontogénicos, pueden ser benignos o malignos y también variar en su tamaño.
Un quiste maxilar es una lesión benigna, con forma de bolsa o saco, bien circunscrita y está recubierta por un epitelio. Están relacionados directamente con alguna estructura dentaria. No están relacionados con estructuras dentales.
Un quiste maxilar es un problema común, pero a menudo pasa desapercibido. Es una lesión en forma de bulto, ubicada generalmente en el interior de los huesos maxilares de la boca. Esta lesión o cavidad se llena de líquido o material semi-sólido, caracterizándose por ser semiblando y escamoso al tacto.
Los quistes dentales son en su mayoría, benignos, es decir, no son cancerosos. Aunque la mayoría de los quistes dentales son benignos, es decir, existe una pequeña posibilidad de que estos puedan ser o convertirse en malignos (neoplasia). Detectar un quiste maxilar maligno en la boca es difícil, ya que al principio no muestra síntomas o se confunde con un quiste benigno.
Los huesos maxilares constituyen asiento de una gran variedad de quistes y neoplasias que pueden ser de difícil diagnóstico. De entre todos los procesos tumorales que se dan en el territorio maxilofacial, los quistes son de gran importancia debido a la frecuencia de su presentación.
Los quistes maxilares tienen distinto origen y comportamiento clínico. A partir de la clasificación de la OMS de 1992, esta revisión estudia las características clínicas, radiográficas y epidemiológicas de los quistes del desarrollo odontógenos. Una adecuada exploración clínica y radiográfica por parte del odontólogo es suficiente para alcanzar un diagnóstico de presunción.
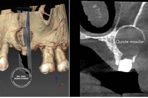
En la ortopantomografía (radiografía en 2D de toda la boca) el quiste maxilar se observa como una zona oscura y redondeada en forma de bolsa. Generalmente es necesario realizar una radiografía para diagnosticar esta patología que se manifiesta a través de una zona oscura en el hueso.
Además, los quistes en la mandíbula son anomalías comunes que pueden afectar a personas de todas las edades. Un quiste en la mandíbula es una bolsa llena de líquido, similar a un saco, que se forma dentro del hueso de la mandíbula.
Tipos de quistes
- Quiste radicular: apical, lateral, residual.
- Quiste radicular o periapical: Es el más común. Se forma en el ápice (extremo) de la raíz de un diente no vital (muerto).
- Quiste dentígero (folicular): Se desarrolla alrededor de la corona de un diente que aún no ha erupcionado (salido), generalmente una muela del juicio retenida o un canino incluido.
- Quiste periodontal lateral: Se localiza en el lateral de la raíz de un diente con vida (vital) y está asociado a lesiones o quistes en el ligamento periodontal.
- Quiste residual: Aparece en un área edéntula (sin diente) donde anteriormente hubo un quiste o infección que no se eliminó completamente al extraer un diente.
Quistes dentales o de los maxilares, guía para pacientes 2023
Causas de los quistes maxilares
Las causas pueden venir determinadas principalmente por causas de origen dentario, debido a la infección crónica del diente. En menor medida, sus causantes pueden ser de origen odontogénico formado en el folículo dentario o germen de dientes ya erupcionados.
Por lo general, las causas del quiste mandibular, puede tener relación con infecciones dentales, y algunos están relacionados con cambios genéticos o síndromes genéticos e incluso alteraciones metabólicas del calcio.
Algunos quistes tienen una causa genética. Entre ellos están los relacionados con el desarrollo de los maxilares y los dientes en edades tempranas. Otros quistes derivan de caries profundas que han llegado al nervio.

Síntomas de un quiste maxilar
Una de las grandes particularidades que experimenta un paciente que padezca un quiste oral es que no sentirá ningún tipo de dolor en la zona. Una de las grandes particularidades de un quiste oral es que no duele y por eso en muchas ocasiones pasa desapercibido para el paciente.
Los quistes maxilares suelen ser indoloros si son pequeños y pueden pasar desapercibidos. En muchos casos, un quiste dental no produce síntomas al inicio. Puede estar ahí, debajo de la encía, sin que tú lo notes. De hecho, es común descubrirlo de forma accidental en una radiografía de rutina. Por ejemplo, tú acudes al dentista por una limpieza o por una molestia menor, te toman una radiografía y ¡sorpresa! aparece una manchita oscura en el hueso que resulta ser un quiste.
Cuando un quiste es pequeño y no está infectado, típicamente no duele ni inflama. A medida que aumenta de tamaño, puede empezar a causar presión en el hueso y en los dientes vecinos. A veces notarás un bultito indoloro en la encía o una sensación extraña.
Los síntomas más comunes son: un abombamiento o infección de la estructura ósea, pérdida o disminución de la sensibilidad de los dientes y labio (parestesia), movilidad en los dientes y, en los casos más graves, una fractura patológica de la mandíbula.
Los síntomas de un quiste en la mandíbula pueden variar dependiendo del tamaño y la ubicación del quiste. Hinchazón: Uno de los síntomas más comunes es la presencia de una hinchazón o un bulto en la mandíbula.
Tratamiento de un quiste maxilar
El tratamiento a aplicar dependerá directamente de las características de cada caso. Dependiendo de la gravedad del quiste, el paciente deberá someterse a un tratamiento u otro. Por eso, antes de tomar cualquier decisión, en Clínica Birbe realizaremos un diagnóstico mediante biopsia y, a partir del resultado, estableceremos un plan de tratamiento.
En este caso las opciones de tratamiento varían según el tipo de lesión, la extensión y el crecimiento del quiste. El diagnóstico de presunción, el tamaño de la lesión y la relación de esta con estructuras anatómicas vecinas condicionará el tipo de tratamiento.
Si la muela afectada está en buen estado general (por ejemplo, tiene caries pero la estructura se puede restaurar) y el quiste es de tipo radicular, muchas veces podemos conservar el diente. ¿Cómo? Realizando una endodoncia (tratamiento de conducto o “matar el nervio”) en esa muela para eliminar la infección interna, y a continuación una cirugía apical para quitar el quiste.
Endodoncia. Esto significa eliminar todas las bacterias de la raíz dental, llamado comúnmente “matar el nervio” y/o extirpar la punta de la raíz junto al quiste (cirugía apical). En el caso de quistes pequeños, solo con la endodoncia será suficiente para eliminarlo (tratamiento menos invasivo), en cambio hay otros casos en los que se debe realizar la cirugía apical o ambas intervenciones.
Obviamente, dado el lento crecimiento, en algunos casos como en pacientes ancianos o muy debilitados con quistes pequeños, o si existen enfermedades sistémicas graves asocadas, puede ser más prudente no intervenir y seguir un control riguroso.
En el caso de quistes extensos, de crecimiento rápido o que producen síntomas al paciente, la técnica que se realiza es la enucleación y consiste en eliminarlo en su totalidad (junto a la bolsa que lo encapsula) para que no vuelva a aparecer.
No obstante, la cirugía suele ser la primera opción para combatir este tipo de lesión, y a menudo la única necesaria. Durante la intervención el cirujano extirpa el quiste maxilar, aplicando al paciente anestesia. Después de la extirpación, el cirujano debe limpiar exhaustivamente la cavidad quística para que la pieza dental no sufra ningún daño.
La opción más común para tratar estos quistes suele ser la cirugía, o en algunos casos, con terapia médica o combinando ambas cosas.
La enucleación, tratamiento habitual de todos los quistes, consiste en la extirpación de una lesión despegándola del hueso. La enucleación es el tratamiento habitual de la mayoría de los quistes, y consiste en disecar la lesión, despegándola del hueso, hasta extirparla por completo.
En el momento en el que la cavidad quística queda totalmente limpia, en la mayoría de los casos, no es necesario aplicar técnicas de regeneración ósea. No obstante, en ocasiones puntuales, esta extirpación puede incluir la extracción de algún diente, tejido y hueso maxilar cercano si también estuvieran dañados.
En ocasiones, si el quiste ha destruido el hueso que rodea a la raíz de los dientes afectos, puede ser necesaria su extracción y su posterior reemplazo mediante la colocación de implantes dentales.
La extracción de un quiste dental se conoce como quistectomia. El procedimiento suele ser sencillo e indoloro bajo anestesia local. Es importante recordar que la extracción de un quiste maxilar es un procedimiento quirúrgico que debe llevarse a cabo por un profesional de la salud oral con experiencia.
Además de la extirpación del quiste, es posible que sea necesario extraer el diente o los dientes afectados por el quiste. Lo importante es evitar que el quiste vuelva a producirse.
La práctica ha demostrado que existen dificultades en la interpretación clínica y radiológica de estas afecciones ya que muchas de ellas se asemejan entre sí. Debido a esto, se exponen criterios diagnósticos erróneos y conductas terapéuticas inadecuadas. Las consideraciones quirúrgicas de los quistes maxilares están relacionadas con los patrones clínicos e histológicos de cada uno de ellos.
Todas estas consideraciones, junto con las ventajas e inconvenientes de cada tipo de tratamiento dictaminaran la opción terapéutica más adecuada.
Tabla de Tipos de Quistes Odontogénicos y Opciones de Tratamiento
| Tipo de Quiste | Características | Tratamiento Común |
|---|---|---|
| Quiste Radicular | Asociado a dientes no vitales, en el ápice de la raíz. | Endodoncia, cirugía apical (quistectomía y apicectomía), extracción dental. |
| Quiste Dentígero | Alrededor de la corona de un diente no erupcionado. | Marsupialización, enucleación, extracción del diente asociado. |
| Quiste Periodontal Lateral | En el lateral de la raíz de un diente vital. | Enucleación. |
| Quiste Residual | En áreas edéntulas donde hubo un quiste no eliminado. | Enucleación. |
| Quiste Odontogénico Glandular (QOG) | Lesión quística mandibular con alta tasa de recurrencia. | Enucleación, osteotomía periférica o resección marginal. |
| Queratoquiste (Quiste Primordial) | Lesión agresiva con alto índice de recidivas. | Enucleación con curetaje o resección, soluciones fijadoras. |

Recuperación de una cirugía de quiste maxilar
La operación de quiste mandibular normalmente conlleva un postoperatorio indoloro, aunque puede aparecer algún edema unos días después de la intervención. La inflamación variará dependiendo del tipo y del tamaño del quiste extirpado.
Durante el postoperatorio, es fundamental que el paciente lleve a cabo una higiene oral muy estricta, ya que tener una buena limpieza es lo más importante para evitar infecciones en la zona intervenida.
Además, es crucial que el paciente siga las indicaciones y recomendaciones del cirujano, así como acudir a los controles postoperatorios para evitar cualquier contratiempo y, por supuesto, verificar que la recuperación sea satisfactoria.
En el caso de que durante la cirugía se haya tenido que extirpar algún diente, hueso y tejido habrá que esperar a que la zona regenere para proceder al implante de un nuevo diente.
¿Cómo prevenir un quiste de boca?
El mejor tratamiento para curar un quiste maxilar es su prevención. Conoce los síntomas. Acude a un especialista. Cuidar la salud de tu boca es esencial para evitar otro tipo de enfermedades derivadas.
En Clínica Birbe aconsejamos a nuestros pacientes mantener una buena salud bucodental y eliminar los cordales y otros dientes incluidos, para reducir la posibilidad de tener quistes y, también, otras patologías como caries, infecciones o deterioro de dientes y encías.