¿Te has preguntado qué son los quistes dentales y por qué es crucial detectarlos y tratarlos a tiempo? En este artículo te explicamos todo lo que necesitas saber para cuidar tu salud bucodental. ¡No te lo pierdas!

¿Qué es un Quiste Dental?
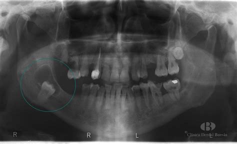
Un quiste dental es una pequeña bolsa llena de líquido, aire o células que se forma en relación con un diente. Este problema es más común de lo que imaginas. Por lo general, se detectan en radiografías de rutina y, aunque suelen ser benignos, es importante tratarlos para evitar complicaciones. Si tú o alguien que conoces tiene un quiste dental, no te alarmes, pero sí es fundamental que acudas a tu odontólogo lo antes posible.
Tipos de Quistes Dentales
Los quistes dentales se dividen en dos categorías principales: inflamatorios y de desarrollo. Dentro de cada categoría, existen varios tipos que detallamos a continuación.
- Quistes Inflamatorios
- Quistes de Desarrollo
Quistes Inflamatorios
Los quistes inflamatorios son aquellos que se originan como respuesta a una infección o inflamación en la zona dental.
- Quistes Periapicales: Son los más frecuentes y se forman en la raíz de un diente no vital. Aparecen debido a una infección dental originada por una caries o un traumatismo, que inflama y daña el tejido circundante.
- Quistes Residuales: Se desarrollan cuando un quiste periapical no se elimina por completo después de una extracción dental.
- Quistes Paradentales: Aparecen cuando existe inflamación en la encía de un diente que está saliendo o que ya ha salido.
Quistes de Desarrollo
Los quistes de desarrollo se forman durante el proceso de formación de los dientes.
- Quistes Dentígeros: Se forman alrededor de un diente que aún no ha erupcionado, debido a la acumulación de líquido entre la corona del diente y la capa externa del esmalte.
- Quistes de Erupción: Similares a los anteriores, aparecen en dientes que están en proceso de erupción.
Causas de un Quiste Dental
Las causas que provocan la aparición de quistes dentales varían dependiendo de su tipo. Aquí te explicamos algunos de los más comunes:
Quistes Inflamatorios
- Quistes Periapicales: Son los más frecuentes y se forman en la raíz de un diente no vital. Aparecen debido a una infección dental originada por una caries o un traumatismo, que inflama y daña el tejido circundante.
- Quistes Residuales: Se desarrollan cuando un quiste periapical no se elimina por completo después de una extracción dental.
- Quistes Paradentales: Aparecen cuando existe inflamación en la encía de un diente que está saliendo o que ya ha salido.
Quistes de Desarrollo
- Quistes Dentígeros: Se forman alrededor de un diente que aún no ha erupcionado, debido a la acumulación de líquido entre la corona del diente y la capa externa del esmalte.
- Quistes de Erupción: Similares a los anteriores, aparecen en dientes que están en proceso de erupción.
⚠️GRANULOMA DENTAL⚠️ TRATAMIENTO: QUISTE APICAL y QUISTE DENTIGERO,que SON?[FACIL 👌]
Tratamiento de los Quistes Dentales
Si tienes un quiste dental o sospechas que podrías tener uno, el tratamiento dependerá de cada caso específico:
- Quistes Periapicales: Se tratan con una endodoncia para limpiar y sellar el interior del diente. Si el problema persiste algunos meses después, puede ser necesario extraer el diente junto con el quiste.
- Quistes Residuales: Requieren una extracción completa (exéresis) para evitar que el problema persista.
- Quistes Paradentales: El tratamiento depende de la ubicación y el diente afectado. En muchos casos, se extrae el quiste y se deja que la zona sane por sí sola.
- Quistes Dentígeros: Se procede a la extracción del diente afectado y un legrado de su encía para eliminar el quiste.
- Quistes de Erupción: La buena noticia es que generalmente no requieren tratamiento, ya que suelen desaparecer por sí solos cuando el diente erupciona.
Existen otros tipos de quistes, como los periodontales laterales, gingivales o queratogénicos, pero lo más importante es que ya conoces algunas de las causas y sabes que existen tratamientos efectivos para resolverlos.
¿Cómo Saber si un Quiste Dental es Bueno o Malo?
Aunque la mayoría de los quistes dentales son benignos, en raras ocasiones, pueden volverse malignos. Por eso, es vital realizar visitas regulares al dentista, incluso si no tienes síntomas, para detectar cualquier quiste mediante un estudio radiológico y determinar su naturaleza a través de una biopsia y estudio microscópico si es necesario.

Independientemente del tratamiento, puedes estar seguro de que no sentirás dolor. En Centro Dental Torres, están comprometidos con hacer que la visita al dentista sea una experiencia libre de dolor y ansiedad.
¿Cómo Prevenir los Quistes Dentales?
Para prevenir la aparición son fundamentales las visitas regulares a tu odontólogo. Piensa que, gracias a los exámenes rutinarios, es posible identificar problemas que podrían pasar desapercibidos y, en este caso, terminen en la formación de un quiste.
Además, y al igual que en la prevención de cualquier enfermedad bucodental, es imprescindible mantener unos buenos hábitos de higiene diaria mediante el cepillado regular de los dientes (como mínimo, dos veces al día), usar hilo dental, y enjuagues bucales antisépticos.
No lo dudes y, ante cualquier molestia o duda relacionada con tu salud bucodental, ¡contacta con nosotros! Como afirmamos en nuestro manifiesto, “una boca sana es una prioridad, no un capricho”.
| Tipo de Quiste | Causa Principal | Tratamiento Común |
|---|---|---|
| Periapical | Infección dental por caries o traumatismo | Endodoncia o extracción dental |
| Residual | Quiste periapical no eliminado completamente | Extracción completa |
| Dentígero | Acumulación de líquido alrededor de un diente no erupcionado | Extracción del diente afectado |
tags: #quistes #dentales #son #peligrosos