El tabaco es uno de los principales responsables del deterioro de la estética dental. Uno de los problemas más comunes entre los fumadores es la aparición de manchas en los dientes por tabaco, que no solo afectan la apariencia de la sonrisa, sino que también pueden ser indicativos de problemas de salud bucal. Afortunadamente, tienes muchas opciones naturales y profesionales para combatir las manchas y conservar tu hermosa y saludable sonrisa.

¿Por qué aparecen las manchas en los dientes por tabaco?
Las manchas en los dientes por tabaco se originan por la acumulación de nicotina y alquitrán, dos sustancias presentes en los cigarrillos que se adhieren a la superficie del esmalte dental. La nicotina, aunque es incolora, adquiere un tono amarillento al entrar en contacto con el oxígeno, mientras que el alquitrán contribuye a la formación de manchas más oscuras.
Estas manchas pueden variar en intensidad, desde un amarillo claro hasta un marrón oscuro, dependiendo de la frecuencia del consumo de tabaco y de la higiene bucal del fumador. Además, estas sustancias penetran en los poros del esmalte dental, lo que hace que las manchas sean difíciles de eliminar con métodos caseros convencionales.
El tabaco es uno de los mayores enemigos de los dientes junto con el café o el té. Todos tienen en común el hecho de favorecer la aparición de manchas en los dientes, sobre todo de tipo amarillento. La mayoría de los fumadores las tienen, especialmente cuando ya llevan muchos años fumando. Eliminarlas no siempre es fácil ni siquiera a través de tratamientos estéticos.
Efectos Nocivos del Tabaco en la Piel
El humo de los cigarrillos no solo tiene efectos perniciosos en la salud pulmonar y el sistema circulatorio, sino que afecta a la piel:
- Envejecimiento: El hábito de fumar altera el flujo sanguíneo y dificulta la llegada de oxígeno a la piel, lo que se traduce en un envejecimiento prematuro con la aparición de más arrugas.
- Menor capacidad de cicatrización: Los pacientes fumadores, después de una operación, ven reducida su capacidad de cicatrización, lo que conlleva un mayor riesgo de complicaciones.
- Menor actividad celular en la piel: El tabaco reduce la actividad de las células de la piel, empeorando o disminuyendo su respuesta inmunológica frente a agresiones externas, lo que además eleva el riesgo de infecciones.
Manchas de Nicotina en Dedos
Las manchas marrones o amarillas en los dedos pueden deberse a la forma en la que se sujeta el cigarrillo. El alquitrán y la nicotina que desprende el tabaco pueden hacer también que los labios y las encías se oscurezcan, lo cual quiere decir que el tabaco tiene efectos negativos en la pigmentación de la piel y, en concreto, en los dedos de las manos.
Cómo Prevenir las Manchas en los Dientes por Tabaco
Aunque la mejor forma de prevenir las manchas en dientes de tabaco es abandonar el hábito de fumar, hay algunas medidas que pueden minimizar su aparición:
- Una higiene bucal rigurosa es el primer paso fundamental. Buenos hábitos de higiene dental contribuyen a eliminar los residuos que las sustancias del tabaco dejan en la superficie de los dientes.
- Además, las visitas regulares al dentista son otro componente clave para prevenir la acumulación de manchas. Realizar limpiezas dentales al menos una vez al año, no solo elimina las manchas superficiales, sino que también permite detectar y tratar problemas dentales asociados al tabaquismo antes de que se agraven.
Si bien estas medidas pueden retrasar la aparición de las manchas en los dientes por tabaco, es importante recordar que ninguna solución será completamente eficaz si el tabaquismo continúa. Por ello, mantener una rutina constante de cuidado bucal y considerar opciones para abandonar el hábito son pasos esenciales para preservar tanto la estética como la salud dental.
Además, recuerda que el tabaco y la nicotina no son solo tóxicos para ti, sino que también lo son para los fumadores pasivos que te rodean.
Opciones de Tratamiento Profesional
Si las manchas ya se han establecido, es necesario recurrir a tratamientos profesionales para eliminarlas.
- Limpieza dental profesional: Una limpieza dental profesional es el primer paso para combatir las manchas en los dientes por tabaco. Durante este procedimiento, el odontólogo elimina el sarro y las manchas superficiales mejorando considerablemente el aspecto de los dientes.
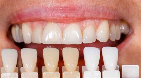
- Blanqueamiento dental: El blanqueamiento dental es uno de los tratamientos más populares para tratar las manchas en los dientes por tabaco. Este procedimiento consiste en aplicar un gel blanqueador a base de peróxido de hidrógeno o peróxido de carbamida, que penetra en el esmalte dental y descompone las moléculas que causan las manchas.
¿Qué hacer después de un Blanqueamiento Dental? | Cuidados y Recomendaciones | Oralnet
- Carillas dentales: Cuando las manchas son persistentes y no responden a otros tratamientos, las carillas dentales son una excelente solución. Estas finas láminas de porcelana o composite se colocan sobre la superficie de los dientes, ocultando las manchas en los dientes por tabaco. Además de corregir las manchas, las carillas dentales pueden mejorar la forma, el tamaño y la alineación de los dientes.

Remedios Caseros para Quitar Manchas de Tabaco en los Dientes
Eliminarlas no siempre es fácil ni siquiera a través de tratamientos estéticos, pero sí hay una serie de remedios caseros que pueden ayudar a que estas manchas no se hagan tan grandes ni tan evidentes.
Pastas de Dientes Caseras
Una de las mejores opciones para quitar las manchas amarillas de los dientes por fumar es hacer en casa una pasta de dientes específica. Su preparación es muy sencilla y tampoco necesitas muchos ingredientes. Es más, seguro que los tienes en casa. Solo precisas sal marina, bicarbonato y limón.
El limón tienes que lavarlo y secarlo bien para luego rallar su piel, que deberás depositar en un cuenco. El bicarbonato y la sal marina se añaden a continuación a ese mismo recipiente. A esta mezcla tienes que añadirle poco a poco agua para que se forme una masa, que tenga una textura similar a la de una pasta de dientes.
Una vez la tengas, solo tienes que hacer un cepillado con ella para blanquear los dientes. Aunque, el bicarbonato es un poco agresivo, puedes utilizarla una vez al día, por ejemplo por la noche, para ir eliminando las manchas, sobre todo cuando sean muy visibles. Si lo que quieres es prevención, puede ser suficiente con un par de veces por semana e, incluso, una única vez cada siete días.
Esta pasta dental para quitar las manchas amarillas de los dientes por fumar también puedes prepararla variando algunos ingredientes para que sea menos agresiva. Por ejemplo, prueba a sustituir la sal marina y la ralladura de limón por aloe vera, que mezclarás igualmente con el bicarbonato.
Remedios con Frutas
Además de la pasta de dientes anterior, hay otra serie de remedios que son igualmente útiles para acabar con las manchas amarillas de los dientes. Y estas soluciones vienen de la mano de las frutas.
- Limón: Solo tienes que cortar un trozo y aplicarlo directamente sobre los dientes frotando ligeramente. Si prefieres no frotar, la alternativa es hacer un zumo de limón natural y enjuagarte bien la boca con él.
- Fresas: En esta ocasión, coges una fresa, mejor que sea de tamaño medio, y la cortas en cuatro partes. Verás que cada una de ellas en su interior tiene una zona que es más blanca. Esa parte es justo la que tienes que pasar o frotar por los dientes para limpiarlos.
- Piña: En este caso, los efectos los puedes notar comiendo esta fruta con mayor frecuencia o bien masticándola todos los días, aunque no la ingieras. Es importante que su jugo pase por todos los dientes. De todos modos, mayor efectividad lograrás si la mezclas con un poco de aceite de coco, aunque este último producto igualmente lo puedes emplear solo para quitar las manchas amarillentas de los dientes.
- Plátano: Es el plátano, aunque más bien deberíamos hablar de su cáscara que es donde están las propiedades blanqueantes. De esta manera, solo debes coger la peladura y pasarla por los dientes.
Enjuagues Bucales
Las soluciones para blanquear los dientes y decir adiós a las manchas amarillas que han aparecido por fumar también pasan por los enjuagues bucales con productos que tienes en casa como el vinagre de manzana, que es un buen blanqueador. Este producto puedes utilizarlo de varias formas:
- Haciendo enjuagues con él: una de las maneras más fáciles es tomar un poco y enjuagar la boca con él, pasándolo bien por todos los dientes como si fuera un enjuague bucal normal.
- Lavarte los dientes con él: si te parece complicado, puedes mojar el cepillo dental en el vinagre de manzana y frotarte con él como si te estuvieras lavando los dientes, pero incidiendo en las zonas en las que están las manchas amarillas.
Cómo Limpiar las Manchas Amarillas de los Dedos
Lo más importante a la hora de quitar las manchas de nicotina de las manos es dejar de fumar. En caso de que lo hayas hecho, pero no veas una disminución en el amarillento de tus dedos, te dejamos algunos remedios caseros:
- Patata: Humedece la zona afectada con aceite para cocinar, corta una patata por la mitad, y frota los dedos manchados con la cara interior de la patata. Después espera un poco a que seque, enjuaga con agua tibia, y después de secarte las manos aplica una crema hidratante.
- Pasta dental: Utiliza cualquier pasta de dientes estándar y aplícala en las manchas amarillas. A continuación, frota la pasta con un cepillo de dientes durante unos minutos y enjuaga con agua tibia.
- Jugo de limón: Por lo que para este método necesitaremos aplicar el jugo de un limón en la zona amarilla que queramos eliminar. Es importante frotar con el mismo limón y dejarlo actuar durante unos 5-10 minutos. Después hay que aclarar las manos con agua tibia.
Esta técnica puede ser repetida varias veces al día, aunque hay que tener cuidado porque podría ser dolorosa si tienes las manos agrietadas o con cortes.
Cómo Prevenir las Manchas de Nicotina
La mejor opción a la hora de prevenir las manchas de nicotina ya sea en la piel o dientes, es dejar de fumar. ¿Lo estás intentando pero no sabes cómo llegar a tu meta?
Consejos Adicionales para una Sonrisa Impecable
Además de los tratamientos profesionales, también existen medidas que puedes tomar para prevenir la aparición de manchas de tabaco en tus dientes. Algunos consejos útiles incluyen:
- Dejar de fumar o reducir el consumo de tabaco.
- Cepillar los dientes al menos dos veces al día, utilizando una pasta dental con fluoruro y un cepillo de cerdas suaves.
- Usar hilo dental diariamente para eliminar la placa y las bacterias entre los dientes.
- Enjuagarse con un colutorio antibacteriano después de cepillarse los dientes.
- Acudir al dentista regularmente para realizarse limpiezas dentales profesionales y detectar posibles problemas a tiempo.
- Evitar alimentos y bebidas que puedan manchar los dientes, como el café, el té, el vino tinto y los refrescos de cola.
¿Qué esperar después de un tratamiento para quitar manchas tabaco dientes?
Tras someterse a un tratamiento para quitar manchas tabaco dientes, es normal experimentar cierta sensibilidad dental durante unos días. Sin embargo, esta sensación suele desaparecer rápidamente y puede aliviarse con el uso de pastas dentales específicas para dientes sensibles.
Es importante seguir las indicaciones de tu dentista para mantener los resultados del tratamiento y evitar la reaparición de manchas en tus dientes. Esto incluye mantener una buena higiene bucal, evitar el consumo de tabaco y alimentos que puedan manchar los dientes, y acudir a revisiones dentales periódicas.
Es importante evitar soluciones caseras que prometen eliminar las manchas en los dientes por tabaco, ya que muchas de ellas pueden ser abrasivas y dañar el esmalte dental.
Recuerda que determinar la causa de la tinción le ayudará a encontrar la mejor solución. Si está seguro de que las manchas son causadas por los alimentos o bebidas que está consumiendo, existe un remedio casero simple que a menudo puede ayudar a blanquearlos nuevamente. Mezcle bicarbonato de sodio y agua y lávese los dientes con él cada pocos días para complementar su rutina típica de cuidado bucal.
Tu farmacia local tiene una amplia gama de productos blanqueadores que pueden ayudar a eliminar las manchas, incluso en las áreas de difícil acceso entre los dientes.
Si los tratamientos caseros no eliminan las manchas de sus dientes, su dentista tiene opciones que pueden ayudar.
Con estos consejos y tratamientos, podrás lucir una sonrisa más sana y brillante.