La radiología digital dental se ha convertido en una herramienta esencial en la odontología moderna, transformando la forma en que los profesionales de la salud bucal diagnostican y tratan las afecciones dentales. Desde la detección temprana de caries hasta la evaluación del hueso alrededor de los dientes o implantes, estas herramientas ofrecen una visión detallada y precisa.

Ejemplo de radiografía dental digital.
Introducción
A pesar de las innovaciones en las técnicas de radiodiagnóstico, las radiografías intraorales siguen siendo el procedimiento radiológico más utilizado en la consulta dental. Se está observando un auge de los sistemas digitales que parecen ofrecer algunas ventajas frente a la técnica convencional. La mayor tolerancia de exposición debería propiciar una disminución de los errores de visualización y también desaparecen algunos problemas técnicos y riesgos ambientales relacionados con la química húmeda.
Tipos de Radiología Digital
Existen dos tipos principales de tecnología de sensores en radiología digital:
- Sensores semiconductores directos compactos: Utilizan tecnologías como CCD (Charge Coupled Device) y CMOS (Complementary Metal Oxide Semiconductor).
- Sistemas que utilizan placas de fósforo fotoestimulable: Estas placas se irradian y luego se leen en un escáner láser.
En la técnica directa basada en CCD (Charge Coupled Device), los electrones se transforman en tensión eléctrica fuera del chip, mientras que en el caso de los sensores CMOS (Complementary Metal Oxide Semiconductor) los transistores están acoplados a los píxels en el chip. Por lo tanto, el sensor CMOS dispone en general, en comparación con un sensor CCD, de una sensibilidad ligeramente superior y a pesar de que presenta más ruido, tiene unas necesidades energéticas y de espacio menores. Ambos tipos de sensor están disponibles en varios tamaños. El sensor de mayor tamaño equivale más o menos a una película radiográfica convencional (3×4cm), si bien la superficie radiosensible es 2-3mm menor en todos los bordes. El grosor del sensor puede variar entre 3 y 7mm. La parte más gruesa se sitúa en la zona de salida del cable. Actualmente parece que en el ámbito de aplicación clínica ambos sensores se consideran equivalentes a pesar de sus diferencias.
Por su parte, las placas de fósforo fotoestimulable son irradiadas en un primer paso y a continuación se procede a su lectura en un escáner láser. La luz láser estimula los electrones almacenados y la energía se emite en forma de luz azul, que es captada y transformada en una señal digital. La velocidad de escaneado varía entre 4 segundos y algunos minutos en función del sistema y de la resolución. Las placas de fósforo están disponibles en tamaños que van desde el de una película convencional para pacientes pediátricos (22×31mm) al de una película oclusal (57×76mm).

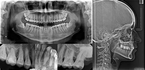
Ejemplo de radiografía panorámica dental.
Ventajas de la Radiología Digital
Las seis ventajas citadas con mayor frecuencia son:
- Ahorro de tiempo: Disponibilidad más rápida de las imágenes digitales después de la exposición.
- Menor dosis de radiación: Mayor sensibilidad de los sistemas digitales en comparación con la película convencional.
- Tasa más baja de errores y repeticiones: Herramientas para la optimización posterior de las imágenes pueden corregir errores de exposición.
- Rango dinámico más amplio: Disminuye el número de repeticiones.
- Más facilidades para interpretar las imágenes: La visualización en una pantalla mejora la comprensión por parte del paciente.
- Mayor facilidad y seguridad en el almacenamiento de imágenes: Facilita la transmisión a otros usuarios y reduce la pérdida de imágenes.
Tiempo de Trabajo
Siempre que se habla de sistemas digitales se menciona el ahorro de tiempo como ventaja principal. En un estudio basado en un cuestionario, los odontólogos participantes que se habían pasado a la radiología digital refirieron haber ahorrado hasta 30min al día en la actividad clínica diaria gracias a la menor duración de los procedimientos radiográficos. En otro estudio realizado con estudiantes de odontología, éstos indicaron que se ahorraba más tiempo con el uso de sensores intraorales para la adquisición de radiografías en tratamientos endodónticos que con el uso de sistemas con placa de fósforo fotoestimulable. En otro estudio, los odontopediatras interrogados también se pronunciaron a favor de la tecnología con sensores frente a las placas de fósforo en lo que se refiere al tiempo invertido.
Un estudio examinó el tiempo invertido en una serie radiográfica completa con placas de fósforo fotoestimulable. El resultado osciló entre los 27 y los 31min y no varió de forma significativa entre los distintos sistemas de placas. Otro estudio mostró una menor inversión de tiempo al utilizar sensores inalámbricos frente a sensores con cable o películas convencionales. Las placas de fósforo fotoestimulable se tienen que borrar con luz después de la lectura, lo que en condiciones de luz óptimas requiere sólo alrededor de 5s, como ha quedado demostrado en otra serie de pruebas.
Si bien se han publicado relativamente pocos estudios específicos sobre este tema, se puede afirmar a modo de conclusión que el cambio del sistema convencional de radiografía intraoral al sistema digital parece proporcionar un beneficio en términos de ahorro de tiempo. Ahora bien, en la bibliografía no se encuentran datos que expliciten el tiempo invertido en la edición posterior de las imágenes digitales para obtener una calidad diagnóstica óptima y si esta operación podría consumir en parte el tiempo inicialmente ahorrado.
Dosis de Radiación
Otra ventaja citada repetidamente es una posible disminución de la dosis de radiación para el paciente. Los estudios realizados hace aproximadamente 10 años se basaron en supuestas disminuciones de la dosis del orden del 30-60% y en los mismos se utilizó como referencia la primera generación de sistemas digitales con la película intraoral estándar disponible en aquel momento. Dos estudios recientes mostraron que para conseguir una «calidad de imagen aceptable» hacen falta dosis más altas en el caso de las películas que en el de los sistemas digitales. En un estudio se determinó que los sensores requerían dosis de radiación más bajas que los sistemas con placas de fósforo fotoestimulable, mientras que el otro estudio llegó a la conclusión contraria. Sin embargo, no se observaron disminuciones de la dosis si los examinadores elegían entre los parámetros de exposición aquellos que en su opinión proporcionaban una «calidad de imagen óptima».
La sensibilidad de las películas intraorales ha ido aumentando durante los últimos 20 años, desde las películas D-speed, a las que les siguieron las películas E-speed y E+speed, hasta las películas F-speed actuales, lo que propició que la diferencia de las dosis necesarias para las películas y los sistemas digitales se fuera reduciendo progresivamente. Sin embargo, para la adquisición de radiografías individuales siguen existiendo diferencias de dosis entre la técnica digital y la técnica convencional y la disminución de la dosis parece ser mayor en el caso de los sensores que en el de las placas de fósforo. Sin embargo, los sensores disponen de un área activa de menor tamaño que las placas de fósforo, de modo que hacen falta más tomas para cubrir una zona comparable. En el caso de la técnica de aleta de mordida, incluso con los sensores de mayor tamaño disponible se captan dos superficies dentarias menos por término medio que con una película o una placa de fósforo fotoestimulable.
Los estudios basados en cuestionarios pusieron de manifiesto que los odontólogos que utilizaban sensores realizaban más radiografías que los colegas que trabajaban con placas de fósforo fotoestimulable. El posible aumento resultante de la exposición a la radiación generó preocupación entre los usuarios de la técnica con sensores y se citó como una de las posibles desventajas de la técnica digital.
En resumen, a día de hoy se puede afirmar que para una radiografía individual la dosis de radiación es más baja con la mayoría de detectores digitales que con el sistema convencional con película, si bien la diferencia se ha ido reduciendo debido a la mayor sensibilidad de las películas. Si se tienen en cuenta factores como la frecuencia de repetición de tomas (véase más adelante), el número de radiografías para cubrir un área determinada y la dosis de la radiografía individual, la disminución de la dosis mediante los sistemas digitales varía de caso a caso. A día de hoy no existen estudios clínicos controlados que analicen este tema en concreto. Tampoco parecen existir estudios que investigan si los odontólogos que utilizan sistemas digitales adaptan el colimador redondo habitual al formato del sensor o de la placa de fósforo fotoestimulable, o si toman otras medidas específicas para la disminución de la dosis.
Repeticiones y Errores
Con la introducción de la técnica digital y la desaparición del revelado de las películas se supuso que se lograría mejorar la calidad de las imágenes en general y que el número de radiografías repetidas disminuiría.
Los estudios basados en cuestionarios realizados en consultas de odontología general mostraron que la cantidad de radiografías y el número de repeticiones fueron mayores en los centros que radiografiaban con sistemas digitales. La interpretación de radiografías enviadas a compañías aseguradoras puso de manifiesto una tasa claramente mayor de errores de posicionamiento en las radiografías digitales en comparación con las obtenidas con película. Un estudio más antiguo reveló que con el uso de sensores de primera generación (correspondientes a un tamaño de película de 0) hubo que repetir las radiografías en el 25% de los casos, dado que la radiografía inicial no lograba abarcar toda el área de exploración prevista. Se observó un número de errores de posicionamiento todavía mayor en comparación con la técnica de las placas de fósforo fotoestimulable en la adquisición de radiografías de aleta de mordida con los sensores de mayor tamaño disponible. Un estudio relativo a errores técnicos en la adquisición de radiografías con película dental mostró una frecuencia de repeticiones del 26% en el caso de los sensores frente a un escaso 6% para la película. En un estudio más reciente se constató que las radiografías obtenidas con sistemas de sensores necesitaron el triple de repeticiones que las obtenidas con película.
Para la visualización de terceros molares hizo falta hasta el doble de radiografías con sensores en comparación con el sistema de placas de fósforo fotoestimulable o con película.
En conclusión se puede afirmar que la supuesta disminución del número de radiografías como resultado de la implantación de la técnica digital no se ha cumplido. Al contrario, los errores de posicionamiento no sólo suponen una pérdida de tiempo, sino que también conllevan un aumento de la dosis para el paciente. Si bien los sensores parecen ser algo más sensibles a la radiación que las placas de fósforo fotoestimulable, referido a la radiografía individual, esta ventaja no parece ser relevante si se tiene en cuenta la tasa alta de repeticiones en la práctica clínica diaria.
Información a los Pacientes
Una de las ventajas esperadas de la visualización de las radiografías digitales en una pantalla es facilitar al odontólogo la labor de informar al paciente sobre los hallazgos radiográficos. Según los datos de un estudio publicado recientemente la satisfacción de los pacientes no mejoró por el hecho de mostrar las radiografías sobre una pantalla y comentarlas con el paciente antes de la extracción de terceros molares. En este aspecto no se observó ninguna diferencia entre una radiografía con película convencional y una radiografía digital. En resumen, se puede afirmar que por ahora no se dispone de evidencias de que la presentación en una pantalla de las radiografías digitales y las explicaciones basadas en la misma supongan ninguna ventaja para el paciente. Por este motivo sería razonable llevar a cabo estudios adicionales centrados en este tema.
Comodidad para el Paciente
Los sensores son más gruesos que las películas radiográficas, no son flexibles y la zona de conexión al cable es relativamente rígida lo que, sin duda, puede complicar el posicionamiento en la boca del paciente. Por regla general, las placas de fósforo fotoestimulable se introducen en una funda higiénica de plástico que puede tener cantos vivos y esquinas no plegables. Estas características pueden ser problemáticas tanto para el paciente como para el odontólogo en el momento de obtener la radiografía. Este aspecto pasó totalmente desapercibido en el momento de introducir la radiografía digital en la odontología.
En un estudio se realizó una comparación entre un sensor CCD con unas dimensiones exteriores de 32×45×7,5mm y una placa de fósforo fotoestimulable (35×45×2mm). En él se preguntó a los pacientes acerca de la sensación desagradable percibida mientras se les reali zaba una radiografía de aleta.
Ventajas Adicionales de la Radiología Digital
- Reducción del tiempo de espera: Las imágenes están disponibles casi instantáneamente.
- Calidad de imagen insuperable: Imágenes de alta resolución que pueden ser ampliadas y ajustadas.
- Facilidad de almacenamiento y compartición: Almacenamiento sencillo en sistemas informáticos.
- Impacto medioambiental: Eliminación de productos químicos para el revelado.
Tipos de Radiografías Dentales
Existen diversos tipos de radiografías, cada una diseñada para una necesidad específica:
- Radiografía periapical: Centrada en un diente en particular.
- Radiografía panorámica: Abarca toda la boca, proporcionando una visión integral de la cavidad bucal.
Radiología Convencional vs. Digital
La radiología digital, a diferencia de la radiología convencional, no requiere el uso de placas de film ni el proceso de revelado. Esta tecnología mide directamente los fotones de la radiación emitida a través del paciente, permitiendo una generación de imagen más rápida.
| Característica | Radiología Convencional | Radiología Digital |
|---|---|---|
| Tiempo de espera | Mayor | Menor (casi instantáneo) |
| Dosis de radiación | Mayor | Menor |
| Calidad de imagen | Menor | Mayor (ajustable) |
| Almacenamiento | Físico | Digital |
| Impacto ambiental | Mayor (uso de químicos) | Menor (sin químicos) |
La importancia de la radiología digital en un consultorio dental
La exposición a la radiación está presente en nuestras vidas desde el momento en que nacemos. Con estas herramientas podemos detectar, desde caries que están comenzando y que no son apreciables a simple vista, hasta cómo está el hueso del paciente alrededor de sus dientes o implantes. Influye también mucho el año del equipo dental, porque las máquinas más nuevas y actuales, someten al paciente a una menor radiación. Esta radiografía se realiza en una sala acondicionada y plomada para un aparato de grandes dimensiones. Con estas herramientas podemos detectar, desde caries que están comenzando y que no son apreciables a simple vista, hasta cómo está el hueso del paciente alrededor de sus dientes o implantes.
tags: #radiologia #digital #dental