La recesión gingival y el bruxismo son problemas dentales comunes que pueden afectar tanto la estética como la salud bucodental. Este artículo proporciona una guía completa sobre la recesión gingival, incluyendo sus causas, síntomas y tratamientos avanzados, así como información sobre el bruxismo y cómo manejarlo.
¿Qué son las Recesiones Gingivales?
Las recesiones gingivales, coloquialmente conocidas como “retracción de las encías”, son el proceso por el cual queda expuesta, en mayor o menor medida, la raíz del diente. Las recesiones son pérdida de encía en altura que hace que los dientes parezcan más largos, quedándose al descubierto la raíz dentaria, haciendo que las encías de los dientes superiores se vean más altas y la de los inferiores más bajas a los dientes adyacentes. Esto no solo afecta la estética de la sonrisa, sino que también puede provocar sensibilidad dental, aumentar el riesgo de caries y puede ser un indicativo de la presencia de enfermedad periodontal.

Tener las encías retraídas es una preocupación común para muchas personas y puede afectar tanto la estética como la salud dental. La retracción de encías, también conocida como recesión gingival, es el proceso gradual en el que el tejido de las encías se desplaza hacia atrás, dejando al descubierto parte de la raíz del diente.
Causas de las Recesiones Gingivales
Comprender las causas subyacentes de las recesiones gingivales es crucial para prevenir su progreso y desarrollar un plan de tratamiento adecuado. Cuando un paciente es bruxista (aprieta los dientes), se cepilla fuerte, tiene malos hábitos, no engranan bien los dientes… nos podemos encontrar con recesiones gingivales.
A continuación, enumeramos algunas de las causas más comunes:
- Higiene bucal agresiva: El cepillado vigoroso con un cepillo de dientes de cerdas duras puede dañar las encías y contribuir a su retracción. Asimismo, una técnica inadecuada lesionará progresivamente el tejido blando creando dicha retracción.
- Enfermedades periodontales: La gingivitis y la periodontitis pueden causar la destrucción del tejido gingival y del hueso de soporte. Al perder hueso periodontal, la encía le seguirá causando una recesión.
- Bruxismo: El hábito de rechinar los dientes puede ejercer presión sobre las encías y provocar su retracción. Uno de los efectos secundarios del bruxismo es la recesión gingival. Esto se produce por hacer demasiada fuerza sobre las encías y el hueso.
- Malposiciones dentales: Los dientes mal alineados reciben las fuerzas de la masticación de forma desigual, por lo que las sobrecargas dentales pueden causar pérdidas óseas que se traducirán en recesiones. Un problema de maloclusión dental es también uno de los motivos por los que se pueden acabar retrayendo las encías.
- Factores Individuales: Según el biotipo gingival que presenta el paciente, será más susceptible a las agresiones externas que provengan del cepillado dental.
- Mala higiene: Tener una mala higiene promueve la formación de sarro en las encías, dañando así el tejido de las encías.
- Piercings: Los piercings en la lengua o labios hacen que las encías se irriten y desgasten frente al constante contacto del piercing con ellas.
Tratamientos para la Recesión Gingival
La elección del tratamiento para la recesión gingival depende de la causa subyacente y de la severidad de la condición. Es fundamental abordar la causa primaria para detener la progresión de la recesión. Entre los tratamientos más comunes se incluyen:
- Mejora de la higiene bucal: Cambiar a un cepillo de dientes de cerdas suaves o medias y utilizar técnicas de cepillado más suaves.
- Tratamiento periodontal: En casos de enfermedad periodontal, una vez realizado el diagnóstico mediante los registros iniciales, deberá estabilizarse la misma mediante las sesiones de raspado y alisado radicular que precise. Al estabilizarse la pérdida ósea, se estabilizará de igual forma, la pérdida de tejido blando.
- Uso de protectores nocturnos: Para pacientes con bruxismo, los protectores nocturnos o férulas, pueden ayudar a repartir las cargas oclusales.
- Ortodoncia: La corrección de malposiciones dentales puede aliviar las sobrecargas presentes y mejorar la distribución de las fuerzas oclusales. Si la recesión gingival es causada por una maloclusión, se puede considerar la ortodoncia. Esto implica el uso de alineadores invisibles o brackets para corregir la posición de los dientes y estabilizar la oclusión.
- Injerto mucogingival: Procedimiento quirúrgico que implica el recubrimiento de la recesión presente mediante tejido donante, normalmente de la mucosa palatina o de la zona retromolar.
- Regeneración ósea: La regeneración ósea es una técnica que promueve el crecimiento de nuevo hueso en áreas donde se ha perdido. Al restablecer el soporte óseo se mejora la estabilidad de los dientes y se reduce el riesgo de pérdida dental. El dentista realiza radiografías y tomografías para evaluar la cantidad y calidad del hueso, y el sitio se deja curar durante varios meses para que el injerto se integre con el hueso natural.
Injerto Mucogingival: Una Solución Eficaz
El injerto mucogingival es uno de los tratamientos más eficaces para corregir las recesiones gingivales. Este procedimiento quirúrgico consiste en tomar tejido del paladar o de otra área donante en la boca y trasplantarlo a la zona afectada para cubrir la raíz expuesta y reforzar el tejido gingival. Es una solución ideal para pacientes que presentan pérdida de encía significativa, mejorando tanto la salud bucal como la apariencia estética.

Proceso del Injerto Mucogingival
El injerto mucogingival se realiza en varias etapas que aseguran un tratamiento preciso y efectivo:
- Evaluación inicial: El proceso comienza con una evaluación exhaustiva de la boca del paciente. El dentista revisa la salud general de las encías y los dientes, y determina si el paciente es un buen candidato para el procedimiento. Se toman en cuenta factores como la profundidad de la recesión, la cantidad de tejido disponible en el sitio donante y la salud periodontal general. Como en todos los casos, el diagnóstico del o de los factores causales será crucial, ya que de no eliminarse la causa, el injerto no tendrá éxito. La enfermedad periodontal debe estar controlada y estabilizada y, se deberá determinar el tipo de recesión o recesiones presentes. Es importante destacar la labor preventiva y de estabilización temprana de la enfermedad ya que no todos los defectos se pueden cubrir ni tendrán el mismo pronóstico. Asimismo, los factores causales de tipo mecánico (cepillado agresivo o técnica incorrecta) deberán estar igualmente controlados.
- Preparación del sitio donante: Una vez que se confirma que el paciente es adecuado para el injerto, se selecciona el área donante, generalmente el paladar. Se extrae una pequeña cantidad de tejido gingival, cuidando de minimizar el malestar del paciente y asegurando una rápida cicatrización del sitio donante.
- Colocación del injerto: El tejido donante se trasplanta cuidadosamente a la zona afectada. El dentista crea un bolsillo en la encía receptora y coloca el injerto sobre la raíz expuesta. Luego, se sutura el injerto en su lugar, asegurando que quede firmemente adherido y bien posicionado.
- Cuidado postoperatorio: Después de la cirugía, se proporcionan instrucciones detalladas para el cuidado de la boca durante el período de recuperación. Estas instrucciones son cruciales para garantizar una curación adecuada y evitar complicaciones.
Beneficios del Injerto Mucogingival
El injerto mucogingival ofrece múltiples beneficios significativos para la salud bucal y la estética del paciente:
- Protección de la raíz dental: Al cubrir las raíces expuestas, el injerto reduce la sensibilidad dental que a menudo acompaña a la recesión gingival y disminuye el riesgo de caries en la raíz.
- Mejora estética: Este procedimiento restaura una línea de encía uniforme y natural, mejorando la apariencia de la sonrisa y aumentando la confianza del paciente.
- Refuerzo del tejido gingival: Fortalece las encías, en ocasiones se cambia el biotipo gingival y previene futuras recesiones.
- Estabilidad a largo plazo: Los resultados del injerto mucogingival son duraderos, ofreciendo mejoras significativas tanto en la función como en la apariencia de las encías. Será muy importante el control de la enfermedad periodontal y de los factores que han causado las recesiones en el pasado.
Cuidado Postoperatorio del Injerto Mucogingival
El cuidado adecuado después del procedimiento es crucial para asegurar una recuperación exitosa y minimizar las complicaciones. Durante las primeras semanas, se recomienda consumir alimentos blandos y evitar aquellos que puedan irritar la zona tratada. Es importante mantener una higiene bucal suave. Cepillar los dientes con un cepillo de cerdas suaves y evitar la zona del injerto hasta que se haya curado completamente. Utilizar movimientos suaves y circulares puede ayudar a mantener la higiene sin dañar el área tratada. El dentista proporcionará instrucciones específicas para el cuidado de la boca, incluyendo el uso de enjuagues bucales antisépticos para prevenir infecciones. También puede ser necesario tomar medicamentos para manejar el dolor y la inflamación. Durante el período de recuperación, es aconsejable evitar el tabaco y el alcohol. Estos pueden interferir con la cicatrización y aumentar el riesgo de complicaciones postoperatorias. A su vez empeoran el pronóstico del mismo. Seguir estas recomendaciones ayudará a asegurar una recuperación rápida y efectiva.
Resultados a Largo Plazo del Injerto Mucogingival
El éxito a largo plazo del injerto mucogingival depende de varios factores, entre ellos, de la salud general del paciente y el cumplimiento de las recomendaciones postoperatorias. Los pacientes que siguen las instrucciones de su dentista y mantienen una buena higiene bucal pueden esperar resultados duraderos y una mejora significativa en la salud y la apariencia de sus encías. Además, las revisiones periódicas con el dentista ayudarán a monitorear la salud de las encías y a detectar cualquier problema a tiempo, asegurando la longevidad de los resultados obtenidos con el injerto mucogingival.
Preguntas Frecuentes sobre la Recesión Gingival
- ¿Es doloroso el injerto mucogingival?
El injerto mucogingival se realiza bajo anestesia local, por lo que el procedimiento en sí no es doloroso. Sin embargo, es normal experimentar algo de molestia y sensibilidad en los días posteriores, que puede ser manejada con analgésicos recomendados por el dentista.
- ¿Cuánto tiempo tarda en sanar el injerto mucogingival?
La recuperación inicial del injerto mucogingival generalmente toma entre una y dos semanas. No obstante, la sanación completa del tejido gingival puede llevar varios meses. Es importante seguir las indicaciones del dentista durante el período de recuperación para asegurar una curación adecuada.
- ¿Cómo puedo prevenir la recesión gingival?
Para prevenir la recesión gingival, es crucial mantener una buena higiene bucal, utilizar un cepillo de dientes de cerdas suaves, evitar el bruxismo mediante el uso de protectores nocturnos si es necesario, y visitar regularmente al dentista para limpiezas y chequeos.
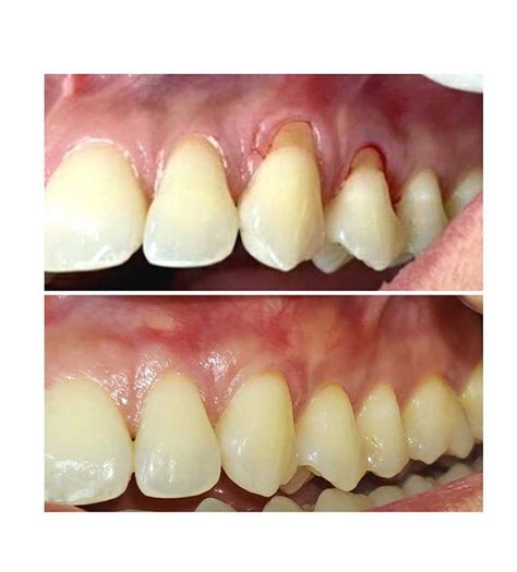
Técnica Pinhole para el Tratamiento de la Recesión Gingival
A la hora de tratar la recesión gingival, uno de los procedimientos más novedosos y revolucionarios es la técnica Pinhole, sin injertos ni suturas. Este procedimiento de rejuvenecimiento del tejido gingival es innovador porque no requiere injertos del tejido del paladar, ni incisiones, por lo que tampoco necesita sutura y, por ende, también resulta mucho menos molesto para el paciente y tiene una cicatrización más rápida, al ser una técnica mínimamente invasiva. Cuanto antes se traten estas recesiones mejores resultados se podrán obtener.

Tratamiento Pinhole para la recesión gingival o encías retraídas
Sonrisa Gingival: Causas y Tratamientos
Las sonrisas gingivales son aquellas en las que el paciente al sonreír muestra una excesiva proporción de encía comparado con la exposición de los dientes. De hecho, hay casos en los que la encía cubre en exceso a los dientes de forma que éstos parecen más pequeños y por tanto antiestéticos.
El origen puede ser multifactorial, por eso una mala valoración puede conllevar a un mal tratamiento. Recibir la valoración de un especialista en periodoncia, es importante, para detectar el origen del problema. Con solo una pequeña intervención estética periodontal, se puede conseguir una evidente mejora estética a la vez que de salud bucal en un mismo día, haciendo que su sonrisa enseñe menos encía y sea más bonita.
Causas que Provocan un Exceso de Encía
Las sonrisas gingivales pueden tener su origen en diferentes problemas dentales y cada uno de ellos se deberá tratar de forma personalizada y con un tratamiento específico, pero te explicamos cuáles son las causas más comunes de una sonrisa gingival.
- Labio superior más corto o hipermóvil. Si el labio superior se mueve en exceso hacia arriba, puede hacer que se vea un exceso de encía.
- Posición dentaria baja. En algunos casos, los dientes superiores e inferiores no contactan bien, lo que termina provocando un problema de sonrisa gingival al crecer en exceso los incisivos superiores.
- Erupción pasiva alterada. La sonrisa gingival es causada por un problema durante el crecimiento de los dientes y la corona dental está cubierta por más encía de la debida.
- Maxilar largo. Se produce por el crecimiento excesivo del maxilar superior y con una intervención quirúrgica, puede solucionarse el problema.
Tratamiento de la Sonrisa Gingival
Existen diferentes opciones para corregir una sonrisa gingival según la causa.
- Mediante una pequeña intervención quirúrgica llamada gingivectomía, podemos solucionar el problema de sonrisa gingival. Esta cirugía consiste en cortar parte de la encía para que el porcentaje de pieza dental visible sea mayor al sonreír. Tanto el proceso como el postoperatorio son indoloros y llevaderos siempre que se realice mediante un profesional y el paciente mantenga unos correctos hábitos de limpieza bucodental.
- Aunque esta cirugía es la más común para tratar la sonrisa gingival, también existen otros tratamientos más sencillos que permiten al paciente conseguir una sonrisa más armoniosa y bonita. Tratar la sonrisa gingival de una manera u otra, dependerá de las necesidades y características que tenga cada paciente.
- Este procedimiento consiste en modificar la posición del hueso maxilar para armonizar la estructura facial y reducir la exposición de la encía.
Bruxismo: Causas y Tratamientos
El bruxismo es una condición dental caracterizada por el rechinar o apretar los dientes, que afecta tanto a adultos como a niños. El diagnóstico del bruxismo es principalmente clínico. Aumento del ángulo mandibular.
Diagnóstico del Bruxismo
Una de las últimas innovaciones en el diagnóstico del bruxismo es el Brux Checker, un sistema sencillo y eficaz que permite detectar las zonas de contacto y presión dental durante la actividad bruxista. Esta lámina especial, colocada sobre los dientes durante el sueño, registra las áreas donde el paciente aplica más presión al rechinar o apretar los dientes.
Tratamientos para el Bruxismo
A lo largo de los años, han surgido diferentes tratamientos que buscan aliviar los síntomas y proteger la salud bucodental. El tratamiento del bruxismo ha evolucionado con los avances tecnológicos y científicos.
- Férulas o placas de descarga: Estas son uno de los tratamientos más comunes para el bruxismo. Las férulas, hechas a medida por el odontólogo, se colocan sobre los dientes superiores o inferiores, evitando el desgaste dental, disipando la fuerza muscular y reduciendo la presión en la mandíbula.
- Denervación química: Este tratamiento implica la aplicación química en los músculos maseteros principalmente para reducir la fuerza de contracción muscular. Es crucial que este procedimiento sea realizado por un cirujano maxilofacial, ya que se requiere un conocimiento profundo de la anatomía facial para evitar complicaciones.
- Terapias conductuales: En muchos casos, el bruxismo puede estar relacionado con el estrés o la ansiedad.
Bruxismo en Niños
El bruxismo no es exclusivo de los adultos. En los niños y niñas, puede aparecer en edades tempranas, generalmente durante el sueño. La intervención temprana es clave. En casos leves, la odontopediatra puede recomendar una monitorización regular, pero en situaciones más graves, se pueden utilizar férulas suaves o ajustarse a tratamientos específicos si hay signos de desgaste dental o dolor.