La salud general de la boca es un tema que no debe tomarse a la ligera. Muchas enfermedades dentales se pueden prevenir, pero cuando ya están presentes, hay que tomar acciones para subsanar los problemas. Por eso, como clínica dental, te explicamos para qué sirve la rehabilitación dental. Sigue leyendo y conoce más.

¿Qué es la Rehabilitación Oral?
Esta especialidad odontológica se encarga de determinar los problemas dentales del paciente e indica el o los tratamientos a seguir. Su objetivo es devolver la estética y la funcionalidad. En el proceso intervienen varias disciplinas de la odontología apoyadas en la tecnología de punta disponible. Se debe trabajar de la mano de la periodoncia, endodoncia, implantología y ortodoncia.
La rehabilitación oral es necesaria en aquellos casos que demandan una atención integral y multidisciplinar. Cómo hemos dicho, aquí no se trata solo de solucionar el daño o la molestia. Por ejemplo, una persona acude al dentista por una fractura en un diente. El diente roto es una consecuencia. Por ejemplo, si sufrieras desgaste dental, no solo se restaurarían las piezas desgastadas, se buscaría el origen de esa erosión, para darle solución.
La rehabilitación integral con implantes dentales es un conjunto de procedimientos odontológicos destinados a restaurar la función y estética oral en personas que han perdido uno o varios dientes. Se trata de una solución eficaz y duradera para reemplazar dientes ausentes y mejorar la salud oral y la calidad de vida del paciente.
El primer paso para iniciar la rehabilitación completa es saber qué tiene el paciente y trazar el plan de acuerdo con el diagnóstico. Luego se colocan los implantes y las coronas, carillas de porcelana, obturaciones en resinas, blanqueamientos entre otros. Con esto el paciente tendrá una nueva sonrisa.
Para empezar, se efectuó un análisis y diagnóstico exhaustivo empleando las tecnologías más avanzadas. En este segundo caso, se muestra una rehabilitación oral total por desgaste y dolor generalizado. Implica un enfoque multidisciplinar en el que intervienen de forma coordinada diferentes especialistas.
El arte de la rehabilitación oral
Beneficios de Someterse a una Rehabilitación Oral Completa
Someterse a una rehabilitación oral completa tendrá varios beneficios:
- Con los implantes se mejora la calidad de vida del afectado.
- No se usa anestesia general en la mayoría de los casos.
- Se recupera la movilidad de la boca permitiendo masticar normalmente.
- Asimismo, mejora el aspecto y la funcionabilidad de la boca.
- Todo esto trae el incremento de la seguridad y autoestima del paciente.

Tratamientos Comunes en la Rehabilitación Dental
Coronas y Puentes Dentales
Entre las principales opciones para rehabilitar dientes dañados, encontramos las coronas dentales, que son cubiertas que protegen y ofrecen una estética similar a los dientes naturales, dependiendo principalmente del material de fabricación. Por otra parte, también los puentes son una opción que permite reemplazar dientes perdidos.
Implantes Dentales
En cuanto a los implantes dentales, este procedimiento implica la colocación de una raíz artificial en la encía, que servirá de soporte para el diente postizo. Es una alternativa para pacientes que han perdido una o varias piezas dentales. Un implante dental es una estructura fabricada de titanio que funciona como una raíz artificial que se implanta en el hueso maxilar. Un implante dental es una raíz dental artificial que se coloca quirúrgicamente en el hueso maxilar con el fin de anclar una corona, un puente o una dentadura.
Prótesis Removibles
Las prótesis removibles son aquellas que pueden retirarse para ajustarlas y para limpiarlas. Al igual que con las opciones anteriores este tipo de prótesis sirven para reemplazar dientes perdidos y mejorar la sonrisa, tanto funcional como estéticamente. Una prótesis dental es un elemento artificial que reemplaza a uno o varios dientes. La prótesis dental es un tratamiento odontológico que sustituye al diente o dientes que faltan. Se puede dividir en dos tipos: prótesis removible y prótesis fija. La prótesis removible es la que el paciente se quita y se vuelve a poner.
Carillas y Restauraciones Estéticas
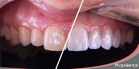
Cuando hablamos de carillas dentales, nos referimos a láminas delgadas que se adhieren a la parte frontal de los dientes con el objetivo de mejorar su apariencia.
La odontología estética no se limita a determinados procedimientos; incluye el tratamiento de las encías, el blanqueamiento dental, las carillas, las coronas, los implantes y la ortodoncia, entre otros. La estética es por definición «la rama de la filosofía que estudia la esencia y la percepción de la belleza».

Indicaciones y Contraindicaciones para la Rehabilitación Dental
¿Quiénes son candidatos para la rehabilitación dental?
Están recomendados para pacientes que:
- Han perdido una o varias piezas dentales.
- Tienen dientes dañados, astillados o fracturados.
- Sufren por problemas de mordida que afectan la masticación y causan dolores en las articulaciones de la cara.
- Tienen alguna enfermedad periodontal, dientes desalineados o espacio entre los dientes.
Contraindicaciones
Está contraindicado si existe alguna enfermedad subyacente como la diabetes, enfermedades cardiovasculares o autoinmunes, que puedan afectar o empeorar con el tratamiento. También si la persona no tiene una salud bucal óptima, así como para quienes fuman o tienen otros tratamientos con medicinas que afectan la coagulación o que debilitan el sistema inmunológico.
¿Para qué Sirve la Rehabilitación Dental?
Se necesita una rehabilitación oral cuando hay una caries muy profunda que afecta el nervio del diente. También se puede requerir por fractura en el diente provocada por bruxismo o golpes fuertes. Al igual que por la pérdida de estas piezas. Esto se subsana colocando prótesis. Entre las patologías asociadas también se incluyen: el traumatismo dentoalveolar, alteraciones faciales y cáncer.
Al recuperar la estética que abarca solventar problemas de color, forma y función la persona volverá a tener confianza y autoestima. La rehabilitación igualmente restaura la función masticatoria, coloca coronas, puentes y dentaduras parciales o totales.
Otros problemas que atiende la rehabilitación dental son: el desgaste excesivo de los dientes y reemplazo de prótesis. Es cada vez más frecuente en mi práctica diaria -y estoy seguro que también en la suya- recibir casos clínicos donde se pueden apreciar bocas con importantes desgastes de las piezas dentarias, desgastes que muchas veces superan el 60-70% de la longitud inicial, como consecuencia de un fenómeno denominado bruxismo. El bruxismo en edad adulta se considera una parafunción en la que el paciente aprieta o rechina los dientes.
Perder una pieza dental provoca que las personas no mastiquen bien los alimentos. Además, si son ingeridos en grandes tamaños originan trastornos gástricos, de digestión e incomodidad al masticar los alimentos. Así como giros en los dientes cercanos, alteración de la mordida, hasta dolores musculares y de cuello.
Rehabilitación Oral Completa
La restauración de las piezas dentales se realiza a partir de prótesis luego de la pérdida del diente o problemas estéticos. Cuando se diagnóstica la lesión se escoge el procedimiento a seguir de forma integral con prótesis fijas, removibles, oclusión e implantes dentales.
La rehabilitación oral completa no solo trata sobre el arreglo de un diente, sino que lo hace con la arcada dental completa. Restaura los dientes del maxilar (arriba), de la mandíbula (abajo) o ambos. Los casos más graves son los que ameritan tratar las dos arcadas producto de caries, pérdida de varios dientes o desgaste. Se unen varias especialidades para el tratamiento.
Las rehabilitaciones orales completas son tratamientos complejos en los que se arreglan arcadas dentales completas, por ejemplo, todos los dientes de arriba (maxilar), todos los dientes de abajo (mandíbula) o todos los dientes de la boca (ambas arcadas dentarias).
El tratamiento de rehabilitación oral completa es el más indicado para la recuperación de la dentadura de pacientes a los que hay que extraerles todos los dientes de la arcada, con el fin de evitar que tengan que llevar una prótesis completa removible durante los meses de cicatrización de los implantes. Esta técnica permite colocar menos implantes que en los casos en los que reponemos dientes aislados. Gracias a ello podemos escoger distintas ubicaciones para el emplazamiento de los implantes dentales. Además, al haber extraído todos los dientes, disponemos de todo el reborde alveolar de la mandíbula, con lo cual podemos seleccionar aquellas zonas con mayor cantidad de hueso para insertar los implantes.
El hecho de tener que recomponer todos los dientes de la dentadura hace que la prótesis provisional (la que sujeta y une todos los implantes dentales entre sí) distribuya las cargas entre todos los implantes durante el proceso de cicatrización, lo que contribuye a minimizar la carga aplicada a cada uno de los implantes de forma individual consiguiendo un resultado óptimo.
Rehabilitación Oral en Prótesis Fija y Prótesis Removible
La rehabilitación en prótesis dentales removibles es el procedimiento clínico que se basa en restituir los dientes con aparatos a medida. Estas se pueden retirar cuando lo pida el paciente. Son dientes artificiales que están sujetos en una base acrílica o metálica que se apoya en la encía. A su vez dicha base está atada a los dientes cercanos con ganchos. Puede sustituir una arcada, por lo que es llamada prótesis completa o una parte (prótesis parcial). La completa en algunos casos es de titanio si la persona presenta alergia al acrílico. Las parciales generalmente son de cromo-cobalto.
Mientras que, en prótesis fija el aparato se une permanentemente a algunos dientes naturales. Solo debe ser retirada por el especialista. En este caso los dientes en los que va sujetado se les quita una capa de 1 a 1.5 mm de espesor. Esto se hace para colocar las fundas de los pilares de la prótesis.
Ambas opciones permiten restaurar las funciones de masticación y fonatoria. Aparte de limitar o desaparecer el defecto estético.
Otros Métodos para la Rehabilitación Oral
Los odontólogos también recurren al All On Four que consiste en colocar una prótesis fija sobre cuatro implantes dentales. Es una opción cuando se tiene que sustituir toda la hilera. Es decir, se sacan los dientes para eliminar la infección y enseguida se pone en implante. Por otra parte, los implantes zigomáticos se utilizan cuando el paciente tiene poco hueso. Se instalan en el hueso cigomático (molar).
Endodoncia y Rehabilitación Oral
Una de las causas por las que se puede necesitar una rehabilitación oral es tener dientes con endodoncia. Este problema se da cuando hay caries profundas que llegan hasta el nervio generando dolor e infección. Se procede a desinfectar, esto trae como consecuencia que el diente tenga una gran cavidad, dejándolo débil.
Para recuperarlo es necesaria la rehabilitación oral que escoge un procedimiento que lo reconstruye de acuerdo con el grado del daño. La idea es que pueda llevar a cabo la masticación, la fonoarticulación y que se vea bien como ya lo mencionamos. Para iniciar el proceso de recuperación tras una endodoncia se debe tomar en cuenta también la evaluación periodontal. Así como el estado de la arcada y el material adecuado para la reconstrucción. Es esencial practicar un exhaustivo examen.
Si la pieza solo se ha dañado un poco se utiliza resina compuesta o amalgama. Pero si es mayor se opta por insertar un perno o poste de fibra de vidrio y luego una corona o funda.

Beneficios de la Rehabilitación Dental
Mejora de la función masticatoria
Gracias a los tratamientos como coronas, implantes o puentes es posible recuperar la función de los dientes, permitiendo comer mejor y optimizar el proceso de la digestión.
Optimización de la estética dental
Una de las razones más comunes por las que las personas optan por tratamientos para rehabilitar los dientes, es mejorar la apariencia de sus dientes para obtener una sonrisa perfecta.
Prevención de problemas futuros
La rehabilitación dental también tiene como objetivo tratar condiciones subyacentes, que a largo plazo pueden llegar a afectar la salud bucal del paciente.
Evaluación y Planificación del Tratamiento
Evaluación inicial y diagnóstico
Una revisión con el odontólogo es el primer paso para determinar qué tipo de tratamiento dental requiere el paciente. Luego del diagnóstico se inicia el plan para diseñar un procedimiento personalizado.
Fases del tratamiento
Luego se toman las impresiones, para realizar los modelos en caso de ser necesario. Para que el laboratorio dental fabrique la funda, corona, carillas o implantes, entre otros, dependiendo de la necesidad del paciente. Una vez recibida el médico procede a colocarlo y luego hacer los ajustes para que el paciente esté cómodo y satisfecho.
Tiempo estimado y número de visitas
El tiempo de tratamiento y el número de visitas necesarias van a depender directamente de la complejidad del tratamiento y la salud bucal del paciente.
¿Qué Hacer Tras el Tratamiento?
Comúnmente el especialista en rehabilitación bucal recomienda dieta blanda en el primer mes tras el tratamiento. Después de este lapso el paciente puede volver a su alimentación cotidiana. Es importante que cumpla las indicaciones para mantener una buena higiene bucal. Este detalle evitará complicaciones.
En el caso de prótesis removible lo ideal es limpiarla después de cada comida. Al dormir se debe retirar y colocar en un lugar medio húmedo o dentro de un vaso con agua. Usa productos odontológicos para completar la limpieza.
Con la fija se tiene que procurar cepillar cada corona al menos tres veces al día con pasta dental. Posteriormente se complementa con hilo dental y aplicar enjuague bucal alto en flúor.
Da el primer paso y busca asesoramiento en una clínica de rehabilitación oral. La boca junto con los dientes es la carta de presentación de las personas. Si sufres algún problema es indispensable que sepas para qué sirve la rehabilitación dental.
Beneficios Adicionales de la Rehabilitación con Implantes
- Restauración de la funcionalidad oral.
- Preservación del hueso maxilar. Al colocar implantes en el hueso maxilar, se evita la reabsorción ósea y se conserva la estructura ósea circundante.
- Prevención de problemas dentales adicionales. La ausencia de dientes puede provocar el desplazamiento de los dientes adyacentes, maloclusiones y sobrecargas en la articulación temporomandibular.
- Restauración estética. Los implantes dentales, junto con las coronas personalizadas, proporcionan una solución estética que se integra perfectamente con los dientes naturales.
- Durabilidad y fiabilidad. Los implantes también ofrecen una solución duradera y confiable para reemplazar dientes perdidos.
Por tanto, estos beneficios van más allá de la simple restauración de los dientes perdidos.
Tabla Resumen de Tratamientos de Rehabilitación Dental
| Tratamiento | Descripción | Indicaciones |
|---|---|---|
| Coronas Dentales | Cubiertas que protegen y ofrecen estética similar a los dientes naturales. | Dientes dañados o debilitados. |
| Puentes Dentales | Reemplazan dientes perdidos, uniendo dientes adyacentes. | Ausencia de uno o varios dientes. |
| Implantes Dentales | Raíz artificial insertada en la encía para soportar un diente postizo. | Pérdida de uno o varios dientes. |
| Prótesis Removibles | Aparatos que reemplazan dientes y pueden retirarse para limpieza. | Pérdida de varios dientes o arcada completa. |
| Carillas Dentales | Láminas delgadas adheridas a la parte frontal de los dientes para mejorar su apariencia. | Dientes con manchas, astillados o forma irregular. |
tags: #rehabilitacion #dental #integral