Las encías retraídas son un problema más frecuente de lo que a veces pensamos. Este artículo te puede interesar bastante, ya que aborda las causas, tratamientos y soluciones para este problema común.

¿Qué es la Retracción de las Encías?
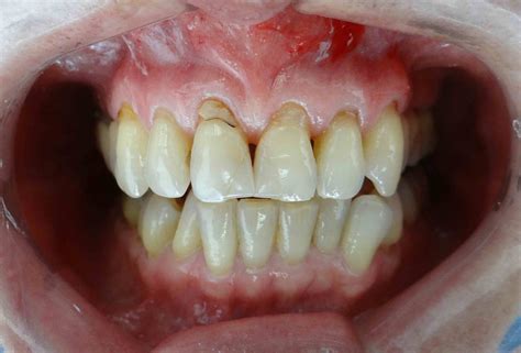
Hablamos de encías retraídas cuando el tejido gingival que rodea tu diente se desplaza en sentido apical, dejando al descubierto parte de la raíz dentaria. Retracción gingival, recesión de encías y pérdida de encía son otros nombres con los que se conoce esta afección. Aunque se trata de una condición bastante común, muchas personas no se dan cuenta de que su tejido gingival está retrocediendo.
Las encías son el tejido blando, firme y rosado que rodea el cuello de tus dientes y recubre su zona radicular.
Si al mirarte al espejo notas que tus dientes se ven más de lo habitual o si experimentas sensibilidad al frío y al calor, puede que estés ante un problema muy común: las encías retraídas.
Cuando hablamos de encías retraídas nos referimos a un desplazamiento del tejido gingival que provoca una sobreexposición del diente. Las encías se desplazan hacia arriba en los dientes superiores y hacia abajo en los dientes inferiores dejando al descubierto parte de la raíz dental. Esto no solo afecta a la estética, sino que también compromete la protección natural de los dientes, aumentando la sensibilidad y el riesgo de enfermedades.
La superficie radicular está recubierta por un tejido llamado cemento, que no está preparado para estar en contacto con el exterior.
Asimismo, si tienes pérdida de tu encía, el cepillado dental puede volverse dificultoso por la sensibilidad. Esto favorece el acúmulo de placa bacteriana y la formación de sarro, situaciones que irritan tu tejido gingival e incrementan la retracción.
Ya te contamos que las encías retraídas afectan la estética de la boca, aumentan el riesgo de sufrir caries y pueden provocar sensibilidad.
Presencia de uno o más dientes largos respecto a los demás. Igualmente, las encías retraídas pueden ser un síntoma de otras afecciones dentales subyacentes.
Síntomas de Encías Retraídas
Entre los principales síntomas de encías retraídas destaca el sangrado de la encía durante el cepillado.
Si notas que tus dientes se ven más largos, tus encías se desplazan o tienes molestias al beber algo frío o caliente, puedes tener un problema de encías retraídas.
Detectarla a tiempo se erige como algo fundamental, razón de más para fijarnos en sus síntomas más habituales. Para empezar, presta atención al aspecto de tus dientes y, si los notas más alargados de lo normal, acude al dentista para asegurarte.
¿Por Qué se Retraen las Encías? Causas Comunes
¿Por qué se retraen las encías? La retracción de las encías es un problema mucho más común de lo que la gente piensa. Lo que pasa que, por lo general, no le prestamos demasiada atención.
Por lo general, la retracción de encías puede darse en pacientes que tienen un buen control de placa.
- Encías retraídas por cepillado fuerte: Por tanto, encías retraídas y cepillado fuerte pueden estar muy relacionados. Piensa que la encía es piel.
- Pérdida de encía por ortodoncia: También, suelen darse casos de retracción de encías en pacientes que tienen un piercing en la boca.
- Retracción de encías por piercing y otros traumatismos: Otra causa de la recesión de encías es la presencia de piercings en la boca. La continua fricción del objeto contra tu tejido gingival hará que tus encías se alejen de la zona donde reciben el trauma. Sufrir un golpe en la boca es otra de las causas que puede provocar la pérdida de encías. Los traumatismos no solo ocasionan dientes rotos, sino que también dañan los tejidos que los sostienen.
- Encías retraídas por enfermedad periodontal: La periodontitis hace que pierdas hueso. Por consiguiente, pierdes encías. Una característica de la retracción de encías por periodontitis es que afecta a toda la boca, a diferencia de otras causas como la ortodoncia o el cepillado agresivo que afectan solo a unos pocos dientes.
- Por antecedentes familiares: Algunas personas están genéticamente predispuestas a tener encías sensibles y a sufrir retracción gingival. Esto significa que, aunque mantengan una buena higiene bucal y cuiden su salud dental, podrían desarrollar problemas en las encías debido a factores genéticos.
Son varios los motivos que pueden llevar a que tus encías se retraigan, incluso, en algunos casos, es la combinación de varias situaciones lo que provoca la pérdida de tejido gingival.
La gingivitis es la inflamación de las encías. La mayoría de las veces está asociada a una inadecuada higiene oral, lo que provoca la acumulación de placa bacteriana y la formación de sarro. Si tienes sarro en tu boca deberás acudir a nuestros consultorios lo más pronto posible. Además, si notas que tus encías están hinchadas o sangran cuando te cepillas los dientes también deberás visitarnos con prontitud. Estas son señales de que algo no está bien en tu boca y no debes pasarlo por alto.
La periodontitis, también conocida como enfermedad periodontal o piorrea, surge como consecuencia de una gingivitis no tratada. La presencia de bacterias en estas zonas profundas ocasiona un proceso infeccioso e inflamatorio que destruye progresivamente los tejidos que sostienen tus dientes. Si la afección no se trata a tiempo, las fibras periodontales y el hueso que aloja a tus piezas dentarias se van perdiendo. Al destruirse el hueso, las encías acompañan la pérdida y, por lo tanto, se retraen.
En este caso, las encías retraídas aparecen en personas con un buen control de la placa bacteriana, al contrario de las causas anteriores. Si eres de los que se cepilla los dientes con mucha fuerza o con cepillos muy duros, debes saber que esta práctica puede dañar tus encías y provocar su retracción. Es frecuente que, si la técnica de cepillado es inadecuada, solo observemos la encía retraída sobre uno o dos elementos dentarios. En estos casos, es habitual que la afección se desarrolle en la zona del canino del lado contrario a la mano con que realizas el cepillado; si te cepillas tus dientes con tu mano derecha, lo más probable es que se retraiga la encía de tu colmillo izquierdo.
Los tratamientos de ortodoncia nos permiten movilizar las piezas dentarias para conseguir una adecuada relación entre las piezas superiores con las inferiores. Estos movimientos dentales deben realizarse de manera precisa, progresiva y controlada. El movimiento de los dientes con ortodoncia, por sí solo, no provoca la pérdida de encía. De todos modos, muchas veces las piezas dentarias se reubican por fuera de la tabla ósea.
El tabaco es un hábito nocivo que altera la salud oral de muchas maneras. El calor y las sustancias tóxicas del cigarrillo afectan la irrigación y las defensas del tejido gingival. Por este motivo, si fumas, tus encías pueden verse pálidas, gruesas y retraídas. Si tienes la costumbre de fumar, nuestro mayor consejo es que trates de abandonar el hábito.
En odontología llamamos bruxismo al apretamiento y rechinamiento inconsciente de los dientes. La presión excesiva que provocan las fuerzas del apretamiento repetitivo y frecuente, dañan la salud de tus tejidos periodontales.
Abuso de alimentos y bebidas de tipo ácido, como cítricos y similares. Golpes o traumatismos.
Una mala higiene dental es la principal causa de la enfermedad periodontal. El cepillado de nuestros dientes debe de ser suave sin hacer fuerza ni apretar.
Si un paciente es bruxista de manera continuada, esta parte de la dentadura puede padecer que las encías se retraigan.

¿Puedo Recuperar Mis Encías Retraídas? Tratamientos Disponibles
La posibilidad de recuperar las encías retraídas dependerá de cada caso.
Sin embargo, la pérdida de encías por periodontitis es un caso diferente. Pues se trata de una enfermedad que hace que se pierda hueso. Y si no hay hueso, no hay encía.
La encía es un tejido incapaz de regenerarse a sí mismo, por lo que una vez que se ha perdido tenemos que recurrir a tratamientos para conseguir recuperarla.
El tejido gingival no se regenera por sí mismo ni existen remedios caseros para tratar las encías retraídas. Si bien puedes modificar tus hábitos y cuidar tu salud oral, no hay una solución natural o casera para curar tus encías retraídas.
Si el origen es un cepillado agresivo, un piercing o la consecuencia de un tratamiento de ortodoncia, las encías retraídas tienen solución. En cambio, si la retracción gingival se acompaña de un daño periodontal grave, como en la periodontitis, el abordaje es más complicado.
Entonces, lo primero que debemos hacer para curar tus encías retraídas es encontrar la causa que provocó el problema. Te enseñaremos cómo higienizar tu boca y cepillar tus dientes de manera correcta y con cuidado. Te asesoraremos sobre tu dieta.
Al eliminar las causas de las encías retraídas, intentamos que el tejido gingival vuelva a su posición natural. Además de actuar sobre el origen del problema, muchas veces, serán necesarios algunos procedimientos terapéuticos para recuperar tus encías, disminuir los síntomas o lograr una sonrisa más armónica y bonita. Podemos dividir los tratamientos en técnicas quirúrgicas y no quirúrgicas.
Tratamientos No Quirúrgicos
Si tu problema de encías retraídas es leve, podremos mejorar la situación sin cirugías.
- Agentes desensibilizantes y barnices: utilizaremos estos productos sobre las raíces expuestas.
Tratamientos Quirúrgicos
Si tus encías no logran reposicionarse por sí solas, recurrimos a algunos procedimientos quirúrgicos que nos ayudan a solucionar el problema.
- Cirugía plástica mucogingival o injerto de encía: con esta técnica tomamos un fragmento de mucosa de tu paladar y lo colocamos sobre el sitio donde has perdido encía, recubriendo las raíces dentarias expuestas. Con esto buscamos regenerar el tejido faltante. Es una cirugía sencilla, rápida y con un postoperatorio leve.
- Estiramiento de encía: esta técnica, también llamada «colgajo movilizado coronalmente» lo podemos realizar si tienes conservadas tus papilas interdentarias, que son la porción triangular de encía que hay entre diente y diente.
- Cirugías periodontales: las aplicamos en casos de periodontitis graves y avanzadas.
Un injerto de encía (o cirugía mucogingival) es un trasplante de tejido conectivo de una zona donde hay mucho (paladar) a una zona donde no hay o hay muy poco tejido (encías retraídas). Es una técnica que es sensible al operador, es decir, depende mucho de quien la realice el que se consigan mejores o peores resultados. Por eso es importante siempre acudir a un especialista en encías que esté acostumbrado a realizar este tipo de cirugías.
En nuestras clínicas, utilizamos la técnica de microcirugía mínimamente invasiva, garantizando el mejor resultado sin dolor. Otro de los tratamientos básicos que se realizan para la recesión de encías son los sistemas de desinfección para eliminar las bacterias.
Consulta más sobre nuestro tratamiento de Raspado y alisado radicular, también conocido como Curetaje Dental, donde conseguimos eliminar el sarro y las bacterias acumuladas bajo las encías, alrededor de las raíces de los dientes. Por lo general, es un tratamiento que suele ser bastante predecible.
Es un tratamiento delicado por cuanto que depende mucho de quien te lo haga. Por este motivo, es importante seleccionar un buen profesional con conocimientos y experiencia para que realice la cirugía con éxito.
En ocasiones, los pacientes que se realizan una cirugía plástica mucogingival es por motivos estéticos. Los pacientes que se realizan este tratamiento para las encías retraídas en nuestra clínica quedan muy satisfechos con el resultado.
Ante un retraimiento de encías avanzado por malos hábitos (mala higiene, tabaco). Ante un estado critico de tus encías retraídas, la cirugía estética periodontal se presenta como la única solución.
- Estiramiento de encía: en el cual el paciente se somete a una microcirugía en sus encías.
- Microinjerto de encía: cuando el caso es extremo se utiliza esta opción en la cual una mínima fracción del tejido del paladar es removido y luego injertado para cubrir tu encía.
Se pueden llevar a cabo variadas intervenciones quirúrgicas, que fundamentalmente son de dos tipos (estiramiento gingival hasta cubrir la raíz dental, para aquellos pacientes que, pese a los daños, aún conserven las llamadas papilas interdentarias, los tramos de encía que hay entre un diente y otro), y microinjerto (una minúscula porción de tejido del paladar se utiliza para cubrir la encía).
Para recuperar las encías retraídas, es preciso someterlas a un tratamiento adecuado. Conservador. Quirúrgico.
La técnica pinhole está pensada para aquellos pacientes que han sufrido una pérdida de encías.
Mayor coste para el paciente: este proceso requiere de un instrumental específico y formación concreta solo para llevarlo a cabo. Este procedimiento consiste en tomar tejido del propio paciente (generalmente del paladar) o utilizar biomateriales específicos para cubrir la zona afectada.
Lo más importante es realizar un diagnóstico periodontal personalizado para determinar la causa de la retracción y elegir el tratamiento más adecuado. La técnica pinhole todavía presenta limitaciones en cuanto a su eficacia y estabilidad a largo plazo. Además, no ofrece resultados en todos los casos, por lo que es esencial que comiences tu tratamiento con un estudio completo realizado por un periodoncista profesional.
Los casos de retracción de encía deben valorarse individualmente, conociendo las necesidades de cada paciente. Solo así podremos aplicar la técnica de injerto de encía más adecuada y estudiar la posibilidad de recidiva a medio y largo plazo.

Prevención de la Retracción de Encías
Mantener unas encías saludables es vital para mantener una sonrisa radiante y prevenir la recesión de las encías. Afortunadamente, existen hábitos sencillos que puedes adoptar en tu rutina diaria para prevenir esta afección y mantener tus encías en óptimas condiciones.
- Cepillado adecuado: El primer hábito es el cepillado adecuado de los dientes. Es importante utilizar un cepillo de cerdas suaves y cambiarlo cada tres meses. Realiza movimientos suaves pero firmes, asegurándote de alcanzar todas las áreas de tus dientes y encías. Además, no olvides cepillar la lengua para eliminar bacterias y refrescar el aliento.
- Uso del hilo dental: Otro hábito clave es el uso del hilo dental. El hilo dental ayuda a eliminar la placa entre los dientes y a lo largo de la línea de las encías, donde el cepillo no puede llegar fácilmente. Asegúrate de hacerlo correctamente deslizando suavemente el hilo entre los dientes sin dañar las encías.
- Alimentación equilibrada: Además, llevar una alimentación equilibrada también contribuye a mantener unas encías sanas. Evita alimentos azucarados o ácidos en exceso, ya que pueden debilitar tus encías y aumentar el riesgo de retracción gingival.
- Visitas regulares al dentista: Por último, acude regularmente al dentista para realizar limpiezas profesionales y chequeos regulares.
Mantener una buena higiene bucal: La higiene bucal es esencial para prevenir la enfermedad periodontal y evitar la necesidad de una regeneración de las encías. Realizar revisiones dentales regulares: Esto para detectar y tratar cualquier problema dental antes de que se convierta en un problema mayor. Mantener una dieta saludable: Una dieta saludable proporciona al cuerpo los nutrientes que necesita para mantener una buena salud dental. Evitar fumar: Fumar es un factor de riesgo conocido para la enfermedad periodontal y aumenta la probabilidad de necesitar una regeneración de las encías. Es importante evitar fumar y limitar el consumo de alcohol para mantener una buena salud dental. Tratar la enfermedad periodontal temprano: Tratar la enfermedad periodontal en sus primeras etapas es clave para prevenir la necesidad de una regeneración de las encías.
Las encías retraídas por bruxismo requieren un tratamiento específico, que en primer lugar combata y corrija este problema, con la aplicación de férulas dentales y el seguimiento por el paciente de una serie de consejos (no masticar chicles, beber mucha de agua, aplicar frío mediante hielo, o bien calor, pero con humedad; y ejercer masajes sobre el área afectada).
Incluso bajo un cepillado normal tus encías pueden retraerse, caso en el cual se utiliza una placa de descarga que ayuda a detener este inconsciente acto de rechinar los dientes.

Conclusión
Si estás en esta situación, seguramente leyendo este artículo te hayas podido identificar con alguno de los casos expuestos arriba. La retracción de encías tiene que ser evaluada por un profesional.
¿Eres consciente de que tienes (o podrías tener) encías retraídas? Si buscas una clínica dental de confianza para realizarte un tratamiento de encías retraídas en Sevilla, podemos ayudarte. Puedes solicitar tu primera visita gratuita de la manera que te resulte más cómoda.
Si notas que tus dientes se ven más largos, tus encías se desplazan o tienes molestias al beber algo frío o caliente, puedes tener un problema de encías retraídas. Te recomendamos que no dejes pasar estas señales y pautes una cita en nuestras Clínicas Dentales de Valencia o Silla lo antes posible.
Las encías retraídas son uno de los problemas más comunes hoy en día. Las encías se van reduciendo progresivamente y al final da la sensación de tener los dientes largos o que se mueven.
No obstante, hay que tener en cuenta que antes de pautar un tratamiento de regeneración de encías es necesario tratar el problema periodontal de origen, ya sea mediante la realización de una férula de descarga para el bruxismo, el tratamiento de la periodontitis, o bien, la educación sobre las adecuadas técnicas de cepillado.
Puesto que por si mismas las encías no vuelven a regenerarse, una vez que comienzan a retraerse y no se da solución al problema que causa esta retracción es posible llegar a perder la pieza dental de soporte.
Aunque el problema de encías retraídas sea severo, buscaremos una solución para resolverlo. Por este motivo, es importante que nos visites en nuestra Clínica Dental de Valencia y Silla para realizar tus revisiones semestrales con regularidad.
El tratamiento para la retracción de encías es fundamental para mantener una salud bucal óptima y prevenir complicaciones más graves en el futuro. Aunque existen diferentes opciones de tratamiento, es importante recordar que cada caso es único y debe ser evaluado por un profesional dental.
Es importante mencionar que seguir hábitos saludables después del tratamiento también desempeña un papel crucial en la recuperación y prevención futura. Mantener una buena higiene bucal, cepillando los dientes dos veces al día con pasta dental fluorada y usando hilo dental regularmente ayudará a evitar nuevas recesiones gingivales.
El tratamiento para la retracción de encías varía según cada paciente y su condición específica. Es fundamental buscar asesoramiento profesional antes de decidir cuál es la mejor opción a seguir.
La retracción de las encías es un problema común que puede afectar tanto la apariencia estética como la salud bucal general. Es importante comprender las causas de esta condición y tomar medidas preventivas para evitar su desarrollo.
Aunque existen hábitos saludables que pueden ayudar a prevenir la retracción de las encías, es fundamental buscar el consejo y tratamiento de un profesional dental. Un odontólogo podrá evaluar adecuadamente tu situación y brindarte recomendaciones personalizadas para abordar este problema.
Recuerda que cuidar tus encías no solo te brinda beneficios estéticos sino también contribuye a tu bienestar oral en general.
Las encías retraídas son un problema que puede tener repercusiones tanto estéticas como perjudiciales a la salud de quien lo padece. Debe ser tratado a tiempo para evitar que tales repercusiones se vayan agravando paulatinamente, puesto que se trata de un proceso gradual.
Ante un retraimiento de encías avanzado por malos hábitos (mala higiene, tabaco). Ante un estado critico de tus encías retraídas, la cirugía estética periodontal se presenta como la única solución.
Tanto si deseas iniciar un tratamiento como si deseas solicitar información, estás en el lugar adecuado. Y gracias a los avances en odontología, esta retracción puede tratarse.
No ignores los signos tempranos o síntomas como encías retraídas o sensibilidad dental. Al buscar ayuda profesional a tiempo, podrás prevenir complicaciones futuras y mantener una sonrisa sana y hermosa.
Este artículo proporciona información general y no debe sustituir el consejo de un profesional de la salud dental.