En el mundo de la odontología moderna, la elección del material de restauración adecuado es fundamental para garantizar resultados funcionales y estéticos de alta calidad. Entre los materiales más utilizados en clínicas dentales se encuentra el composite dental, una resina compuesta altamente versátil que ha revolucionado la forma en que se realizan restauraciones tanto en dientes anteriores como posteriores.
La importancia que se le da actualmente a la estética corporal, facial y dental tiene importantes implicaciones en la terapéutica odontológica. Uno de los retos de la odontología moderna consiste en conseguir una integración armónica de las restauraciones con los dientes naturales adyacentes. La estética de una restauración depende de su parecido al diente natural.
Mientras que en el pasado primaba la durabilidad a la estética, actualmente la estética es un factor primordial a tener en consideración. Al fusionar estos dos conceptos anteriores de durabilidad y estética, se puede entender por qué cada vez es más difícil establecer como indicación un tratamiento restaurador por medio de materiales metálicos, ya sea por medio de amalgamas o aleaciones de oro, a pesar de las excelentes alternativas terapéuticas que suponen.
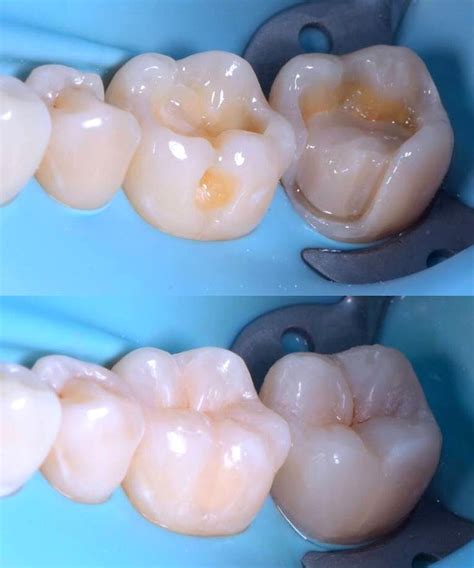
En este contexto, la resina dental, también conocida como resina dental compuesta o composite, es un material polimérico que se emplea principalmente para restaurar y reparar la estructura de dientes dañados, así como para su remodelación. Son materiales moldeables que se endurecen para adaptarse a las necesidades del paciente. Los dentistas la emplean en caso de daños generados por caries dentales, fracturas, lesiones o grietas, pero también cuando la forma o dimensiones del diente deben modificarse para que este sea más funcional y estético.
Los composites dentales se diferencian no solo por su aplicación clínica, sino también por su composición y tamaño de partículas de relleno, lo que influye en sus propiedades mecánicas y estéticas. Los composites dentales son materiales resinosos compuestos por una matriz orgánica y una fase inorgánica de relleno. Se utilizan principalmente en la restauración de estructuras dentales afectadas por caries, fracturas o desgaste.

Como hacer una resina dental paso a paso
Composición de las Resinas Compuestas
Básicamente, los composites están compuestos por:
- Matriz orgánica: formada por:
- Sistema de monómeros: BIS- GMA + controladores de la viscosidad (BIS-MA, EGDMA, TEGMA, UDMA, MMA).
- Iniciador de polimerización: canforoquinona.
- Agente reductor.
- Sistema acelerador.
- Absorbentes de luz por debajo de 350 Nm.
- Relleno inorgánico: existe una gran variedad de partículas de relleno empleadas en función de su composición química, morfología y dimensiones, destacando de forma mayoritaria el dióxido de silicio, así como los borosilicatos y aluminosilicatos de litio.
- Agente de unión: silano. Molécula bifuncional que presenta grupos silánicos en uno de sus extremos (unión iónica con SiO2) y grupos metacrilatos en el otro (unión covalente con la resina).
La matriz orgánica suele ser BIS-GMA (bisfenol glicidil metracrilato) o UDMA (uretano de metacrilato). Está formada por monómeros que se unen unos a otros mediante una reacción de polimerización. Las partículas de relleno suelen ser minerales como: cuarzo, zirconita y silicatos de aluminio.
La matriz orgánica es la responsable de la contracción de polimerización, mientras que el relleno es el responsable de las propiedades mecánicas y físicas, por lo que la incorporación del mayor porcentaje de relleno posible es un objetivo fundamental.
Clasificación de las Resinas Compuestas
Los composites dentales se pueden clasificar de distintas maneras. Según el sistema de polimerización aplicado pueden ser autopolimerizables, fotopolimerizables y duales. Dependiendo del uso que se le por parte del dentista, se dividen en composites dentales de obturación o de cementación.
Una clasificación muy popular es la de Willems fundamentada en diversos parámetros, como el módulo de Young, el porcentaje en volumen del relleno inorgánico, el tamaño de las partículas principales, la rugosidad superficial y la fuerza de compresión.
La mayoría de los composites de uso odontológico corresponden a materiales híbridos. Se denominan así por estar conformados por grupos poliméricos reforzados por una fase inorgánica de vidrio de diferente composición, tamaño y porcentaje de relleno.

Ventajas e Inconvenientes de las Resinas Compuestas
En la actualidad, los composites han tomado un protagonismo indudable entre los materiales de obturación que se usan mediante técnicas directas. Entre sus principales ventajas cabe destacar los resultados estéticos y la preservación de estructura dentaria. Sus grandes posibilidades estéticas incrementan sus posibilidades terapéuticas y, al mismo tiempo, al tratarse de materiales cuya retención se obtiene por técnica adhesiva y no depende del diseño cavitario, la preservación de estructura dentaria es mayor.
Por otra parte, no debemos olvidarnos de que se trata de materiales muy sensibles a la técnica, por lo que deben controlarse aspectos como: correcta indicación, buen aislamiento, selección del composite adecuado a cada situación, el uso de un buen procedimiento de unión a los tejidos dentales y una correcta polimerización. Éstos serán factores esenciales para obtener resultados clínicos satisfactorios.
Se trata de un material que es usado para buscar una mejora tanto en la estética dental, como también, en la funcionalidad oral. Una de las ventajas principales es que se trata de un material muy conservador, ya que éste no necesita tallado del diente y proporciona muy buena estética.
Si se utiliza la técnica directa de las resinas compuestas, es tan fácil como tratar el diente directamente en una sola sesión clínica, por lo que nos ahorramos la toma de impresiones y otros trabajos confeccionados por el laboratorio dental.
Selección de la Resina Compuesta
A la hora de la selección clínica de un material compuesto, se valorará si priman los requerimientos estéticos o mecánicos. En el primer caso seleccionaremos un material que contenga mayor volumen de relleno, mientras que en el segundo será el mínimo tamaño de partícula el factor más importante. La existencia de elementos adicionales, como los opacificadores o tintes, permite mejorar los resultados estéticos con estos materiales.
Tipos de Resinas Compuestas y sus Aplicaciones
Resinas para Restauraciones Anteriores
Los materiales restauradores anteriores deben cumplir con altos estándares estéticos, dado que se ubican en la zona más visible de la sonrisa, donde cualquier alteración en su apariencia puede afectar la armonía facial del paciente. Se emplean en restauraciones de cavidades Clase III, IV y V, así como en modificaciones estéticas de forma y color. Para este tipo de tratamientos, es recomendable optar por composites de microrelleno o nanohíbridos, ya que ofrecen una estética superior gracias a su excelente capacidad de pulido, variedad cromática y comportamiento óptico similar al del diente natural.
- Alta translucidez y variedad de tonos: Permiten replicar con precisión los matices del diente, logrando un acabado natural e imperceptible.
- Textura superficial similar al esmalte: Reflejan la luz de manera uniforme, evitando contrastes entre el material restaurador y la estructura dental.
- Opalescencia: Este fenómeno óptico, presente en el esmalte, genera reflejos azulados en luz directa y anaranjados desde zonas internas, aportando realismo a la restauración.
- Fluorescencia: Los composites deben imitar la forma en que la dentina natural responde a la luz ultravioleta para evitar un aspecto artificial en distintas condiciones de iluminación.
- Capacidad de pulido y mantenimiento del brillo: Es fundamental para conservar la estética a lo largo del tiempo y evitar la acumulación de placa.
Resinas para Restauraciones Posteriores
Las restauraciones en el sector posterior requieren materiales que combinen resistencia mecánica y estética. A diferencia de los composites anteriores, cuyo enfoque principal es la apariencia natural, los materiales para dientes posteriores deben resistir fuerzas masticatorias elevadas sin fracturarse ni desgastarse rápidamente. Por ello, se recomienda utilizar composites híbridos o bulk-fill, que ofrecen una excelente durabilidad frente a la compresión y al desgaste, además de facilitar un manejo clínico efectivo en cavidades profundas o amplias.
Este tipo de materiales restauradores están diseñados para su uso tanto en dientes anteriores como posteriores, combinando estética, resistencia mecánica y facilidad de manejo en un solo producto. Su versatilidad los hace ideales para una amplia gama de procedimientos restaurativos, simplificando la selección de materiales en la práctica clínica.
Resinas Bulk-Fill
Los Bulk-Fill son una categoría especial de resinas compuestas formuladas para permitir restauraciones rápidas y eficientes, especialmente en cavidades profundas. Se caracterizan por su capacidad para aplicarse en capas gruesas de hasta 4-5 mm, lo que reduce el número de capas necesarias en comparación con los composites tradicionales, que requieren aplicaciones en capas más finas. Estos materiales ofrecen una gran versatilidad en odontología restauradora, especialmente en dientes posteriores, donde las cavidades suelen ser más profundas y requieren una mayor eficiencia en el tiempo de tratamiento.
Resinas Fluidas
Los composites dentales fluidos son una variante de las resinas compuestas convencionales, caracterizados por su baja viscosidad. Esta propiedad les permite ser más fluidos y fáciles de manipular, lo que los hace ideales para aplicaciones específicas en odontología.
- Baja viscosidad: La principal característica de los composites fluidos es su fluidez, lo que les permite adaptarse a cavidades con formas irregulares y anatomía compleja, mejorando el sellado y la precisión, especialmente en áreas de difícil acceso.
- Facilidad de manejo: Gracias a su consistencia, estos materiales son fáciles de aplicar mediante herramientas simples como jeringas, cánulas o espátulas pequeñas, lo que facilita su colocación en cavidades pequeñas o moderadas.
- Alta adaptabilidad: Su baja viscosidad permite una excelente adaptación a los contornos de la cavidad dental, mejorando la adhesión y reduciendo el riesgo de microfiltración (entrada de bacterias) entre el material y el diente, lo que garantiza una restauración más duradera.
Los composites fluidos son especialmente útiles en situaciones donde se requiere precisión, adaptabilidad y facilidad de manipulación, más que resistencia mecánica.
- Sellado de fosas y fisuras: Son comúnmente utilizados para sellar fosas y fisuras en molares, previniendo la entrada de bacterias que causan caries. Su fluidez les permite penetrar eficazmente en estos espacios, asegurando un sellado hermético.
- Base en cavidades profundas: Se utilizan como base en cavidades profundas antes de colocar una restauración más gruesa. Su fluidez llena bien los espacios, proporcionando protección adicional a la pulpa dental y ayudando a reducir la sensibilidad postoperatoria.
- Restauraciones en zonas de bajo esfuerzo mecánico: Son adecuados para restauraciones en áreas con menor carga masticatoria, como los dientes anteriores (incisivos y caninos). En estas zonas, la fluidez facilita una colocación precisa sin necesidad de alta resistencia.
- Reparaciones de restauraciones indirectas: Se utilizan para reparar coronas, puentes o inlays/onlays de cerámica o metal. Gracias a su fluidez, se adaptan fácilmente a los márgenes y superficies de las restauraciones existentes, proporcionando un ajuste perfecto.
Resinas Monocromáticas o Camaleónicas
Un tipo destacado de composite dental que ha ganado popularidad en los últimos años son los composites monocrómaticos o camaleónicos. Estos materiales se caracterizan por su capacidad de adaptarse al color del diente del paciente, lo que facilita una integración más natural en la cavidad bucal. Gracias a su capacidad para cambiar de color según el tono del diente circundante, estos composites son ideales en situaciones donde la estética es crucial, pero también se busca una restauración que requiera menor precisión en el tono exacto. En su mayoría, se emplean en dientes anteriores y tienen un comportamiento óptico muy similar al esmalte dental.
Resinas Indirectas
Los composites indirectos constituyen una categoría relevante dentro de los materiales restauradores, ya que, a diferencia de los tradicionales, se elaboran en un laboratorio dental fuera de la cavidad bucal. Estos materiales se usan principalmente en restauraciones de carillas, coronas o incrustaciones. Su aplicación requiere de un molde o impresión de la cavidad dental, donde luego se fabrica la restauración, que posteriormente se cementa al diente.
Fases de las Resinas Compuestas
Fase dispersa (relleno): Compuesta por partículas embebidas en la matriz resinosa, esta fase es crucial para dotar al composite de propiedades como mayor resistencia a la tracción, dureza, resistencia al desgaste, y menor contracción de polimerización.

Tipos de Resinas según el Tamaño de Relleno
- Composites de Macrorrelleno: Estos composites contienen partículas de relleno mayores a 10 micrómetros, lo que les otorga una alta resistencia mecánica y durabilidad. Son ideales para dientes posteriores que soportan altas fuerzas de masticación, ya que son más resistentes al desgaste. Sin embargo, su menor translucidez y acabado superficial menos pulido limitan su uso en restauraciones estéticas, especialmente en dientes anteriores.
- Composites de Microrelleno: Estos composites contienen partículas de relleno muy pequeñas, generalmente entre 0,02 y 0,04 micrómetros. Gracias a su tamaño reducido y su alta translucidez, ofrecen un excelente pulido, lo que les proporciona una estética excepcional. Son ideales para restauraciones de dientes anteriores, ya que su apariencia se asemeja mucho al esmalte dental.
- Composites Híbridos o Microhíbridos: Los composites híbridos combinan partículas de diferentes tamaños, lo que permite obtener lo mejor de ambos mundos: partículas pequeñas que facilitan el pulido y partículas grandes que brindan mayor resistencia mecánica.
- Composites Nanohíbridos: Los composites nanohíbridos son una de las opciones más populares hoy en día. Están formados por una mezcla de nanopartículas y partículas de tamaño convencional. Gracias a la presencia de nanopartículas, ofrecen una excelente combinación de estética y resistencia. Las nanopartículas permiten un nivel de pulido superior y una translucidez natural más realista.
- Nanoresinas Dentales: Las nanoresinas son una innovación reciente en los composites dentales, diseñadas para replicar la estructura natural de los dientes, que están compuestos por nanocristales de hidroxiapatita. Las partículas de estas resinas tienen un tamaño y forma que permiten un desgaste homogéneo. La tecnología utilizada en su fabricación permite fusionar nanopartículas con nanoclusters (agregados de partículas de mayor tamaño) para mejorar la carga de relleno.
Colores de las Resinas Compuestas
Los materiales restauradores están disponibles en una variedad de colores que se utilizan para adaptarse al tono natural de los dientes del paciente. Los colores más comunes se agrupan según un sistema estándar, generalmente basado en la guía Vita, que clasifica los colores en varias categorías.
- Tonos A (Cálidos): A1, A2, A3, A3.5, A4: Son colores con base rojizo-marrón, comúnmente utilizados en dientes con coloración amarilla o marrón.
- Tonos B (Amarillentos): B1, B2, B3, B4: Presentan matices rojizo-amarillos, siendo B1 uno de los más claros y brillantes de toda la guía.
- Tonos de Translucidez y Opacidad: Estos materiales también se distinguen por su nivel de translucidez y opacidad. Los composites translúcidos son ideales para áreas visibles, como los bordes de los dientes anteriores, ya que permiten que la luz pase a través de ellos, imitando la apariencia natural del esmalte dental.
- Color Universal: Algunos composites tienen un color universal, diseñado para adaptarse a una amplia variedad de tonos dentales.
Protocolo Clínico y Materiales Complementarios
En la práctica odontológica, el composite dental forma parte de un protocolo clínico que requiere el uso de otros materiales para asegurar una adhesión fuerte, duradera y biocompatible con el tejido dental. Estos materiales se combinan con otros productos que mejoran la eficacia y la estética del tratamiento. Generalmente, en una restauración directa, el proceso suele comenzar con la aplicación de un ácido grabador que prepara la superficie dental generando microporos que facilitan la adhesión. A continuación, se aplica un adhesivo que actúa como puente entre la estructura dental y el composite, permitiendo una unión segura y duradera. En algunos casos, como en restauraciones indirectas o cementado de incrustaciones, también se recurre a cementos resinosos que refuerzan la fijación.
Evolución Histórica de las Resinas Compuestas
Para cerrar este repaso, es interesante mirar al pasado y comprender cómo ha evolucionado este material, hoy considerado indispensable en la práctica clínica. Su uso en odontología comenzó en la década de 1960, cuando los primeros productos eran bastante rudimentarios, con limitaciones importantes tanto en resistencia como en estética. Antes de su aparición, las restauraciones se realizaban principalmente con amalgamas de plata, un material muy duradero pero con claras desventajas desde el punto de vista estético.
La llegada de las resinas compuestas marcó un verdadero cambio de paradigma en odontología restauradora, ya que no solo permitían conservar más estructura dental, sino que también ofrecían resultados visualmente más naturales. A lo largo de los años, estos materiales fueron perfeccionándose considerablemente en términos de composición, propiedades ópticas y comportamiento mecánico. La incorporación de cargas cerámicas, sistemas de fotopolimerización más eficientes y adhesivos mejorados ha permitido una integración aún más precisa con el diente natural. Actualmente, se estima que alrededor del 70% de los tratamientos restaurativos en odontología utilizan este tipo de resinas. Su popularidad se debe a su versatilidad, su capacidad para mimetizarse con la estructura dental y su comportamiento clínico predecible.
tags: #resina #dental #fotopolimerizable