El sarcoma de cabeza y cuello representa el 2% de los tumores de esta zona, representando el 4% de todos los sarcomas. Existe una gran variedad histológica, con diferente comportamiento en función de la misma.
El rabdomiosarcoma (RMS) infantil es el tumor maligno de tejido blando más frecuente. Representa aproximadamente el 3.5% de los casos de cáncer en niños de 0 a 14 años de edad. La identificación de factores pronósticos y la adaptación de esquemas de tratamiento de acuerdo con grupos de riesgo ha sido la mayor aportación de los estudios del IRS, lo que se ha reflejado en el incremento de la sobrevida y disminución de la toxicidad innecesaria.
Los sarcomas mandibulares representan una entidad de difícil estudio por su escasa incidencia e histopatología. No existen publicadas grandes series de pacientes con sarcomas localizados exclusivamente en mandíbula.
A continuación, se presenta información detallada sobre este tipo de sarcoma, basada en estudios y experiencias clínicas.
Introducción al Sarcoma Embrionario
El rabdomiosarcoma (RMS) es el tumor de tejidos blandos más frecuente en la edad pediátrica. En un periodo de seis años, se registraron 31 pacientes.
El 30% se desarrolla en niños (rabdomiosarcomas). La edad media al diagnóstico varía entre los 35-40 años, con un predominio masculino.
Clínicamente suelen manifestarse como una inflamación indolora. Otros síntomas que lo acompañan son la patología dental, parestesia en el territorio del nervio mentoniano, dolor o trismo.

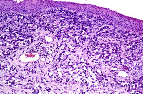
Microscopía de rabdomiosarcoma
Factores Pronósticos
Como factores pronósticos, los márgenes quirúrgicos libres se postulan como el más importante, destacando sobre el subtipo histológico, el grado de diferenciación o el tamaño.
La identificación de variables pronósticas es de suma importancia para comprender el comportamiento de los sarcomas y el desarrollo de estudios clínicos cuidadosos. El objetivo de esto es mejorar la sobrevida de todos los pacientes con RMS y sarcomas indiferenciados y reducir la morbilidad.
Es indispensable considerar los factores pronósticos en nuestra serie para establecer los grupos de riesgo y poder mejorar la supervivencia de nuestros pacientes.
Factores Pronósticos Clave:
- Márgenes quirúrgicos libres
- Tamaño del tumor
- Grado de diferenciación
- Histología
Diagnóstico
Antes de llevarse a cabo una biopsia de masa tumoral, deben realizarse estudios de imagenología y laboratorio para sentar las bases de una evaluación.
Los pacientes siguieron controles conjuntos con el servicio de Oncología y con nuestro servicio, utilizándose la Resonancia Magnética (+/- Tomografía Axial Computarizada con ventana ósea y tomografía por Emisión de Positrones) como prueba de elección para el diagnóstico y seguimiento.
El scanner se postula como una prueba fundamental para el diagnóstico de este tipo de lesiones.
Tratamiento
Se han aplicado diversos tratamientos para su manejo. En la antigüedad, la cirugía era la única arma, con alta tasa de recurrencias secundarias a la dificultad de obtener márgenes libres. En la actualidad, el uso de la radioterapia y/o la quimioterapia adyuvantes o neoadyuvantes ha incrementado las tasas de supervivencia global y libre de enfermedad.
Atendiendo a esto, hemos comparado nuestros datos con sarcomas en cabeza y cuello, por lo que las diferencias o semejanzas no son extrapolables.
Coincidimos en que la cirugía radical es el tratamiento de elección.
La radioterapia adyuvante parece mejorar el pronóstico en la mayoría de estos tumores, debido a la dificultad para conseguir márgenes de resección libres.
La quimioterapia se reserva para tumores irresecables (de entrada) o para aquellos operados que tienen márgenes afectos.
Opciones de Tratamiento:
- Cirugía radical
- Radioterapia adyuvante
- Quimioterapia
El sarcoma y sus tratamientos
Resultados Clínicos y Estadísticas
Se revisaron los historiales médicos de los archivos de nuestro hospital, realizándose una selección de pacientes mayores de 16 años, diagnosticados como sarcomas mandibulares, con seguimiento mínimo de 6 meses e intervenidos quirúrgicamente por nuestro servicio entre enero de 2001 y diciembre de 2010, resultando 12 pacientes en total.
La histología de los diferentes sarcomas correspondió a 2 pacientes con sarcoma de Ewing, 2 con condrosarcoma, 4 con osteosarcoma (uno de ellos odontogénico: fibrosarcoma ameloblástico), uno con sarcoma de bajo grado, uno con sarcoma sinovial y 2 con rabdomiosarcoma embrionario.
De los 12 pacientes, 5 de ellos fallecieron (42%), correspondiendo a diferentes estirpes histológicas: 3 rabdomiosarcomas embrionarios (metástasis pulmonares y extensión local), fibrosarcoma ameloblástico (debido a enfermedad a distancia) y sarcoma de Ewing (secundaria a sepsis tras inmunodepresión yatrogénica).
Dos pacientes (16%) se encuentran con progresión de la enfermedad: el paciente afecto de un condrosarcoma presenta metástasis en pulmón y un segundo tumor primario (adenocarcinoma pulmonar). El otro paciente diagnosticado de condrosarcoma también tiene metástasis pulmonares (además de una osteorradionecrosis mandibular).
Cinco pacientes a fecha de 31 de diciembre se encuentran libres de enfermedad (42%). Como complicaciones, en 2 se ha retirado el material de osteosíntesis tras exposición del mismo (secundaria a irradiación) y otro ha presentado un fracaso del primer colgajo con peroné, requiriendo una segunda intervención para anastomosis del contralateral. En 2 de ellos ya se ha realizado rehabilitación dental protésica implantosoportada.
Reconstrucción Mandibular
La técnica que más hemos utilizado y que mejores resultados nos ha proporcionado ha sido el colgajo microvascularizado con hueso peroné.

Reconstrucción mandibular con colgajo microvascularizado de peroné
La reconstrucción microquirúrgica con colgajo peroneo fue empleada en 8 pacientes. En 2 optamos por reconstruir utilizando colgajo de músculo temporal (por su localización condilar) y en 2 pacientes se decidió en comité no emplear reconstrucción, dado el avanzado estadiaje de las lesiones.
Conclusiones
Con este artículo pretendemos mostrar los resultados obtenidos por nuestro servicio en una patología tan agresiva como el sarcoma mandibular. Aportamos 12 casos a la literatura, estableciendo una serie con una localización concreta, aunque con diferentes histologías.
Consideramos los márgenes quirúrgicos libres como un factor pronóstico fundamental para la supervivencia, por lo que promulgamos la cirugía "agresiva". Asimismo, se ha de individualizar el tratamiento complementario en función de las características del tumor.
Los resultados obtenidos en términos de supervivencia e intervalos libres de enfermedad se asemejan a los descritos en la bibliografía. Los pacientes libres de enfermedad han conseguido un resultado estético aceptable, permitiéndoles su reintegración a la vida social en un período razonable de tiempo.
tags:
#sarcoma #embrionario #maxilar