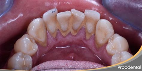
Si te has dado cuenta de que tienes sarro verde en los dientes, puede que te hayas quedado un poco preocupado, y es totalmente normal. No te preocupes, no eres la única persona a la que le pasa, y aunque no es algo muy común, sí es importante entender qué lo causa, cómo se puede eliminar y si es algo grave o no para tu salud dental. Vamos a resolver todas esas dudas, de una forma clara y sin complicaciones.

¿Qué es el sarro y por qué puede ser de color verde?
Lo primero es entender qué es exactamente el sarro. Básicamente, el sarro es una acumulación endurecida de placa bacteriana. Todos tenemos bacterias en la boca que, junto con los restos de comida que quedan después de comer, van formando una capa pegajosa llamada placa. Si no eliminamos esa placa a tiempo (con un buen cepillado y uso de hilo dental), se endurece y se convierte en sarro.
Normalmente, el sarro tiene un tono amarillento o marrón, pero en algunos casos, puede adquirir un color verde. ¿Por qué verde? Vamos a verlo en detalle:
- Pigmentos de alimentos o bebidas: Si consumes muchos alimentos o bebidas que tienen colorantes, como las espinacas, el té verde o incluso ciertos jugos, estos pigmentos pueden adherirse a la placa y cambiar el color del sarro. Cuanto más tiempo pasa sin eliminarse, más pronunciado se vuelve ese color verde.
- Tabaco y cigarrillos electrónicos: Sabemos que el tabaco puede manchar los dientes de amarillo o marrón, pero en algunos casos, los productos químicos del tabaco (o incluso de los cigarrillos electrónicos) pueden combinarse con la placa y dar lugar a ese tono verdoso.
- Bacterias cromogénicas: A lo mejor no lo has oído antes, pero estas bacterias pueden ser responsables de las manchas verdes en tus dientes. Son bacterias que producen pigmentos de colores y suelen aparecer cuando no se mantiene una buena higiene bucal.
- Mala higiene dental: Esto es clave. Si no te cepillas los dientes adecuadamente o no usas hilo dental con regularidad, la acumulación de placa puede progresar hasta formar sarro, y aquí es donde el color verde puede aparecer, especialmente si está relacionado con los factores anteriores.

¿El sarro verde tiene que ver con hongos?
Aquí viene una pregunta que mucha gente se hace cuando ve sarro verde: ¿serán hongos? La verdad es que no, el sarro verde no está relacionado directamente con infecciones por hongos. El color verde suele deberse, como hemos visto, a la acumulación de pigmentos de alimentos o bacterias. Sin embargo, si tu higiene bucal es deficiente, la acumulación de sarro puede aumentar el riesgo de otros problemas, como la candidiasis oral, que sí es una infección por hongos. Pero no te líes: que tengas sarro verde no significa que tengas hongos en la boca. Simplemente es un síntoma de que tu higiene bucal necesita un refuerzo.
¿Es peligroso tener sarro verde?
A ver, el color verde puede parecer alarmante, pero el peligro no está en el color en sí. El verdadero problema es el sarro en general, sea del color que sea. ¿Por qué? Porque el sarro es como una capa dura que se adhiere a tus dientes y favorece la acumulación de bacterias. Si no se elimina, puede tener consecuencias bastante graves para tu salud bucodental.
- Gingivitis: El sarro irrita las encías, lo que puede llevar a su inflamación, sangrado y enrojecimiento. Si has notado que tus encías sangran al cepillarte, es posible que el sarro esté involucrado.
- Periodontitis: Si la gingivitis no se trata, puede evolucionar a algo más serio: la periodontitis. En este punto, no solo las encías están en riesgo, sino también el hueso que sostiene tus dientes. Y aquí es donde las cosas se complican, porque podrías llegar a perder dientes si no se trata a tiempo.
- Caries: El sarro es como una casa para las bacterias que producen los ácidos que causan las caries. Así que, si no se elimina, tus dientes corren más riesgo de desarrollar caries.
- Mal aliento: Este es un tema incómodo, pero el mal aliento (o halitosis) es una consecuencia común de la acumulación de sarro. Las bacterias atrapadas en el sarro producen compuestos que huelen mal, y eso puede afectar tu día a día, desde una conversación cercana hasta la confianza en tu sonrisa.

¿Cómo puedo eliminar el sarro verde?
Lamentablemente, una vez que el sarro se ha formado, no hay ningún enjuague bucal ni cepillado que lo elimine. Aquí necesitas acudir a un dentista para que realice una limpieza dental profesional. Es el único método eficaz para eliminar el sarro de tus dientes, ya sea verde, amarillo o del color que sea. Durante la limpieza, el dentista utilizará herramientas especiales para quitar el sarro de la superficie de tus dientes, tanto por encima como por debajo de las encías.
Tratamientos profesionales para eliminar el sarro:
- Tartrectomía o detartraje (limpieza dental): Es el tratamiento que se conoce como limpieza dental. Al ser una práctica preventiva, lo habitual es realizarla una vez al año.
- Curetaje, raspado o alisado radicular: Se trata de una intervención más profunda en la que eliminamos por completo las bacterias existentes, tanto por encima como por debajo de las encías.
Si el sarro ha profundizado ocasionando la pérdida de encía la limpieza será más profunda, con necesidad de anestesia local.
Nº1 REMEDIO CASERO para ELIMINAR la PLACA, el SARRO y PREVENIR la CARIES
¿Cómo evitar que el sarro verde vuelva a aparecer?
Una vez que te has librado del sarro, lo importante es prevenir su regreso. Aquí van algunos consejos sencillos, pero efectivos:
- Cepíllate los dientes al menos dos veces al día: Suena básico, pero muchas personas no lo hacen de manera correcta. Usa una pasta dental con flúor y cepilla todas las superficies del diente, incluidas las zonas de difícil acceso.
- Usa hilo dental: Es esencial para eliminar los restos de comida entre los dientes, donde el cepillo no llega. Si no lo usas, estás dejando una puerta abierta para que la placa se acumule y se convierta en sarro.
- Enjuague bucal antibacteriano: Puede ayudar a reducir la cantidad de bacterias en la boca y evitar la formación de sarro.
- Visita al dentista regularmente: Es recomendable acudir al menos una o dos veces al año para realizar una limpieza dental profesional. No dejes que el sarro se acumule hasta el punto de necesitar tratamientos más invasivos.
- Evita alimentos y bebidas que manchan los dientes: Reducir el consumo de té verde, café o alimentos con pigmentos intensos puede ayudar a prevenir la aparición de manchas verdes en el sarro. Y si los consumes, cepíllate poco después.

Tener sarro verde en los dientes de abajo o arriba puede ser un indicador de que es momento de revisar tu higiene bucal y pedir cita con el dentista. No se trata solo de una cuestión estética, sino de prevenir problemas más serios como la gingivitis, la periodontitis o las caries. La buena noticia es que, con una limpieza profesional, puedes eliminarlo y evitar complicaciones futuras.
No te fíes de los tratamientos caseros que recomiendan en internet. Si buscas un poco por internet podrás toparte con artículos que hablan de métodos caseros para eliminar el sarro dental. Cuidado, ni son tan efectivos ni tan inocuos: nuestra recomendación es que acudas a tu dentista para que pueda echar un ojo y valorar tu caso.
Recuerda que el sarro se forma cuando la placa bacteriana se mezcla con saliva y restos de comida y se endurece. Esto puede ser el resultado de una mala higiene bucodental, pero no siempre es el caso. Otro factor que influye es el pH de la saliva, que varía según la persona. Por ejemplo, los pH que tienen un nivel de acidez alto debilitan más el esmalte dental, lo que nos hace más vulnerables a las caries. Los hábitos alimentarios también influyen en la aparición de sarro.
Tabla resumen: Causas, riesgos y prevención del sarro dental verde
| Causa | Riesgos | Prevención |
|---|---|---|
| Pigmentos de alimentos/bebidas | Gingivitis, periodontitis | Cepillado regular, hilo dental |
| Tabaco/cigarrillos electrónicos | Caries, halitosis | Enjuague bucal antibacteriano |
| Bacterias cromogénicas | Pérdida de dientes | Visitas regulares al dentista |
| Mala higiene dental | Infecciones | Evitar alimentos que manchan |