El sarro es una de las afecciones bucales más comunes y una de las causas principales de patologías bucodentales. A pesar de ser tan común, muchos pacientes desconocen qué es realmente el sarro y por qué debemos prevenir su aparición.
El sarro, también conocido como cálculo dental o tártaro, es la acumulación de calcio y fósforo sobre los dientes. Lo más frecuente es que el sarro aparezca en aquellos lugares del diente donde es más difícil limpiarse bien.
Cuando hablamos del sarro dental estamos hablando de una calcificación de la placa dental. Por esto, debes tener en cuenta que la placa bacteriana o dental se forma debido a los restos de alimentos junto con las bacterias en la boca. Esta placa debe ser retirada de forma periódica, para que no se vaya a acumular, a ponerse dura y a calcificar porque se formará el sarro dental.
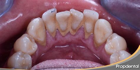
En un principio el sarro se formará de un color blanquecino, pero cuando va pasando el tiempo este se va poniendo amarillo y después marrón. A nadie le gusta tener los dientes con acumulaciones amarillentas, en especial porque afectarán en gran medida el estado estético de tu sonrisa.
El sarro se identifica fácilmente como una pasta amarillenta o marrón que se adhiere a nuestros dientes, pero es en realidad la calcificación de la placa dental. La placa se origina a través del contacto entre la saliva y las bacterias derivadas de los alimentos.
A diferencia de la placa bacteriana, el sarro no se puede eliminar con el cepillado dental. El sarro solamente puede eliminarse en la consulta dental, una vez formado, el cepillado y el uso de hilo dental no lo eliminan.
El color del sarro depende de la edad y de dónde aparece en la boca. El sarro sobre la línea de las encías, también denominado cálculo supragingival, es amarillo o tostado. El cálculo subgingival es el sarro que aparece debajo de la línea de las encías, el cual puede ser marrón, negro o verde.

Causas del Sarro
La principal causa de la aparición del sarro subgingival es la acumulación de placa bacteriana en la superficie dental que se encuentra debajo de la línea de las encías. La placa bacteriana es una película pegajosa y transparente compuesta por bacterias, restos de alimentos y saliva que se forma constantemente sobre los dientes.
Como hemos comentado, el sarro se forma cuando la placa bacteriana se mezcla con saliva y restos de comida y se endurece. Esto puede ser el resultado de una mala higiene bucodental, pero no siempre es el caso.
Hay otro factor muy influyente en la formación del sarro. Las personas que tienen saliva con un pH más ácido son más propensas a las caries porque contribuye a debilitar el esmalte. Otro factor que influye es el pH de la saliva, que varía según la persona. Por ejemplo, los pH que tienen un nivel de acidez alto debilitan más el esmalte dental, lo que nos hace más vulnerables a las caries. Los hábitos alimentarios también influyen en la aparición de sarro.
La causa del sarro es la no eliminación de la placa bacteriana después de las comidas. Este pude acumularse fácilmente sobre los dientes, pero también entre ellos y las encías, por lo cual en ocasiones puede que no sea del todo visible. Por este motivo, lo más común es que aparezca en la parte trasera de los dientes delanteros inferiores que es una zona difícil de limpiar.
No todas las personas tienen el mismo pH en la saliva, y las personas que tienen un pH más ácido son mucho más vulnerables a las caries dentales. Sin embargo, si el pH de tu boca es más básico, esto ayudará a que tus dientes estén más protegidos de las caries.
Factores de Riesgo
- El consumo excesivo de alimentos o bebidas ricos en azúcar.
- El tabaquismo.
- El consumo excesivo de café, té o vino.
- El uso incorrecto o prolongado de algunos colutorios.
- La malposición o mala alineación de los dientes.
- Factores genéticos que afectan a la saliva como el grado de acidez (pH).
- Producir una cantidad insuficiente de saliva debido al uso de medicamentos u otras condiciones médicas.
- Tener edad avanzada.
Consecuencias de la Acumulación de Sarro
La acumulación de sarro causa una gran variedad de problemas dentales. Es importante destacar que la acumulación de sarro subgingival puede llevar al desarrollo de enfermedades periodontales, como la gingivitis y la periodontitis, que pueden tener consecuencias graves para la salud bucal, como la pérdida de dientes.
Además de problemas estéticos, que pueden ocasionar baja autoestima por tener los dientes amarillentos, la acumulación de sarro dental provoca problemas de salud bucodental a medio y largo plazo.
El sarro subgingival puede tener graves consecuencias para la salud oral, ya que es un factor de riesgo importante para el desarrollo de enfermedades periodontales.
La acumulación de sarro también provoca la aparición de caries, que pueden afectar al nervio dental si no tratamos a tiempo.
Estas son algunas de las consecuencias más comunes:
- Gingivitis: la gingivitis es una enfermedad en la que se irritan e inflaman las encías, causando un gran daño a los tejidos blandos dentro de la cavidad bucal. Además, produce una gran sensibilidad que dificulta llevar a cabo actividades tan rutinarias como comer o beber.
- Periodontitis: podría considerarse como una de las peores consecuencias de la acumulación de sarro. Esta enfermedad pone en peligro la salud de la boca en general. Puede causar el aflojamiento de los dientes.
- Caries: son una de las consecuencias más comunes de la acumulación de sarro. El problema de las caries es que pueden ser muy perjudiciales si no se tratan enseguida. En un estado inicial, la caries afecta exclusivamente al esmalte dental.
- Halitosis: Un síntoma que ayuda a saber si tienes sarro en tus dientes, incluso si no está en la parte visible, es la halitosis o mal aliento.
| Problema | Descripción |
|---|---|
| Gingivitis | Inflamación e irritación de las encías. |
| Periodontitis | Enfermedad grave que puede causar la pérdida de dientes. |
| Caries | Daño en la estructura del diente. |
| Halitosis | Mal aliento persistente. |
Tratamiento y Eliminación del Sarro
Si crees que ya tienes sarro subgingival es importante que consultes con tu dentista de confianza para determinar cuál es el tratamiento más adecuado para tu caso específico. Si, por el contrario, quieres evitar la aparición de este, de sarro subgingival, debes mantener una buena higiene bucal diaria para prevenir y acudir al dentista con frecuencia.
En el caso de que ya se haya endurecido el sarro en tus dientes, la forma de eliminarlo es mediante una tratrectomía. Esta es una limpieza que es totalmente indolora y no requiere de ningún tipo de anestesia para desarrollarse. Para algunos pacientes que tengan mucha sensibilidad dental puede ser un poco molesta, pero en estos casos se utilizará un spray con lidocaína para insensibilizar la zona.
Sin embargo, en el caso de que se tenga una enfermedad en las encías más avanzada se debe hacer un curetaje dental o raspado dental que será una limpieza más profunda. En estos casos, la persona podría padecer periodontitis.
A diferencia de la placa bacteriana, el sarro dental no puede eliminarse con un buen cepillado, ya que siempre quedan restos. En primer lugar, el dentista hará uso de la punta de ultrasonidos para eliminar los depósitos de cálculo. Posteriormente, el higienista empleará la seda dental, pasándola por todas las superficies de las piezas. Además, aplicará tiras de pulir y la pasta de profilaxis, que eliminarán cualquier mancha superficial. Si el paciente presentase más resistencias, el odontólogo utilizará un aeropulidor con spray de bicarbonato.
Una higiene dental o profilaxis dental realizada con las técnicas y aparatología adecuadas consigue eliminar todo el sarro de la parte visible del diente en una sesión de aproximadamente una hora. Consiste en una limpieza profunda mediante ultrasonidos y curetas profesionales que permite eliminar el sarro que hay entre el diente y la encía.
No obstante, en ocasiones, una profilaxis puede no ser suficiente para eliminar todo el sarro dental, especialmente si se acumula debajo de la línea de la encía. En estos casos, la persona podría padecer periodontitis y será necesario realizar un tratamiento conocido como raspado o alisado radicular. Este tratamiento se utiliza para eliminar el sarro subgingival de las raíces de los dientes.
La profilaxis es un proceso totalmente indoloro para el paciente, que no requiere de anestesia.
Asimismo, el sarro puede extraerse con un aparato que emite ultrasonidos que lo desintegran.
En el caso de que el sarro se haya acumulado bajo las encías, es necesario realizar un curetaje o raspado dental. Este implica una limpieza más profunda, que sí suele requerir la aplicación de anestesia local.
Prevención del Sarro
Si bien el sarro no se elimina con una buena higiene mental, sí se previene con esta. Para reducir al mínimo la placa y evitar que se forme el sarro es necesario mantener una buena higiene bucal.
La mejor forma para la prevención y mantener así una boca más sana es una buena higiene dental que te permita eliminar los restos de alimentos después de cada comida. Se recomienda el uso de hilo dental, cepillos interdentales o de un irrigador dental dependiendo de tu necesidad.
Es imprescindible realizar un buen cepillado de los dientes, al menos durante un tiempo de 5 minutos. Los cepillos eléctricos tienen mayor efectividad de limpieza que los cepillos manuales. Asimismo, se aconseja el uso del hilo dental o cepillos interproximales, así como un enjuague bucal para reforzar la eficacia de la limpieza oral.
No consumas refrescos o zumos a todas horas porque causarán que se aumente la probabilidad de formar placa.
Lavarnos los dientes cada vez que comamos, y como mínimo tres veces al día. Usar hilo dental o cepillos interdentales para eliminar restos entre los dientes, donde no llega el cepillo. Utilizar dentífricos y colutorios con flúor, ya que ayuda a evitar que la placa dental se endurezca y se transforme en sarro. Intentar no picar cosas dulces o beber zumos y refrescos entre horas.
Lo recomendable es acudir al dentista al menos una o dos veces al año para hacerse una limpieza completa de los dientes y un examen oral. Estos son algunos de los consejos para prevenir el sarro dental.
En concreto, una higiene oral completa debe incluir los siguientes cuidados personales:
- Cepillarse los dientes cuidadosamente: Debe hacerse tras cada comida pero, sobre todo, es fundamental realizar un cepillado profundo antes de irse a dormir, cuando baja la producción de saliva y los movimientos de la lengua, ya que estos contribuyen a remover la placa bacteriana. Puede utilizarse un cepillo manual o eléctrico, aunque estos últimos han demostrado retirar la placa con mayor eficacia si cuentan con tecnología oscilatoria-rotatoria. En todo caso, se recomienda que el cepillo tenga cerdas suaves o medias y que el cabezal no sea demasiado grande para que llegue a todos los rincones de la boca.
- Cepillarse las encías: Tras los dientes, debe cepillarse con suavidad la dentadura a lo largo de la línea de las encías.
- Usar un dentífrico con flúor: El dentífrico que usemos para el cepillado debe incluir flúor en su fórmula, porque ayuda a prevenir las caries. También existe la opción de realizar enjuagues bucales fluorados tras el cepillado dental. En niños deben emplearse dentífricos adaptados a su edad en contenido de flúor.
- Limpiarse los espacios interdentales: Si existe espacio suficiente, debe emplearse un cepillo interproximal o, si no, hilo o seda dental. Ambos deben usarse al menos una vez al día, preferiblemente por la noche, con el fin de asegurar la limpieza de las caras laterales de los dientes y que no queden restos de comida entre ellos. También se puede emplear un irrigador de agua para eliminar los desechos que se encuentren entre los dientes y debajo de las encías. Es especialmente importante la limpieza con cepillo interproximal, seda o irrigador, en personas que lleven implantes o puentes, ya que los espacios entre los dientes y la retracción de las encías pueden favorecer la acumulación de placa en espacios difícilmente accesibles.
- Limpiarse la lengua: Debe frotarse suavemente hacia adelante usando el cepillo de dientes o un limpiador lingual, ya que en ella se acumulan un gran número de bacterias.
¿Acumulas mucho sarro dental? Evítalo así. Te lo explico rápido y fácil.
