El cálculo dental, también conocido como sarro dental, es una afección muy común que padecen la mayoría de personas. El sarro (tártaro o cálculo dental) es la calcificación de la placa dental. Consiste básicamente en la calcificación de la placa bacteriana, o placa dental.
Los restos de alimentos junto con las bacterias presentes en la boca van a formar la placa bacteriana o placa dental. Si la placa no se retira, al mezclarse con la saliva y los minerales presentes en ella reaccionarán formando una costra dura, la placa se calcifica y se forma el sarro.
Generalmente provoca manchas en los dientes o decoloración. Al ser más poroso, absorbe fácilmente las manchas. A nadie le gusta tener los dientes con esas feas acumulaciones amarillentas, pero la estética es el menor de los problemas.
El sarro, también conocido como tártaro dental o cálculo dental, es una acumulación endurecida de placa bacteriana que se forma en los dientes cuando esta no se elimina adecuadamente. El sarro dental es un problema común que afecta a la mayoría de las personas en algún momento de sus vidas. Aunque no suele ser doloroso, puede llevar a problemas más serios si no se trata adecuadamente.
En este artículo te explicamos qué es el sarro dental, cómo se forma, sus principales señales de alerta y los métodos profesionales para eliminar el sarro de forma segura. En BordonClinic somos expertos en la profilaxis oral que te permitirá deshacerte por completo del cálculo dental. Puedes solicitar cita en nuestra clínica dental en Madrid cuando quieras. ¡Recuerda que la primera cita es gratuita con diagnóstico incluido!. Te ayudaremos a eliminar el cálculo dental, pero por encima de todo, a que recuperes el bienestar y la salud bucodental que te mereces.

¿Qué es el Sarro Dental?
El cálculo dental, también conocido como sarro dental, es un depósito de calcio y fósforo con aglomeración de minerales como la hidroxiapatita, el silicio o el pirofosfórico, entre otros. Es una placa bacteriana endurecida que se acumula en los dientes. Se forma cuando la placa dental (una película pegajosa de bacterias y residuos) no se elimina a tiempo con la higiene diaria, entonces los minerales de la saliva la calcifican, volviéndola una capa dura adherida al diente.
Esta capa sólida se fija fuertemente a la superficie dental y no puede retirarse con el cepillado normal. El sarro está compuesto de bacterias muertas mineralizadas y proteínas salivales. El sarro, a veces denominado cálculo o tártaro dental, es la placa que se ha endurecido en los dientes debido al depósito de minerales.
A diferencia de la placa dental, que es blanda y transparente, el sarro es duro, tiene una textura rugosa y suele tener un color amarillo o marrón que mancha los dientes. Además, mientras la placa puede quitarse fácilmente cepillando y usando hilo dental, el sarro no puede eliminarse con métodos caseros una vez formado.
Esta distinción es importante, ya que el sarro acumulado actúa como superficie de adherencia para más placa, creando un círculo vicioso que agrava los problemas bucodentales. En resumen, el sarro es placa dental que se ha endurecido con el tiempo, volviéndose mucho más difícil de eliminar y más dañino para la salud oral.
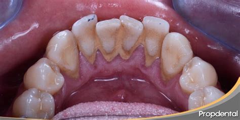
El sarro cuando se forma es de color blanquecino pero a medida que pasa el tiempo se va poniendo amarillo y luego marrón. El color del sarro depende de la edad y de dónde aparece en la boca. El sarro sobre la línea de las encías, también denominado cálculo supragingival, es amarillo o tostado. El cálculo subgingival es el sarro que aparece debajo de la línea de las encías, el cual puede ser marrón, negro o verde.
El cálculo dental es fácil de identificar ya que se encuentra en la parte superior al límite de las encías. El indicador de sarro más común es observar un color marrón o amarillento en los dientes o encías. Uno de los elementos esenciales que se perciben es que los dientes estén manchados de un color amarillento o marrón.

Causas de la Formación del Sarro Dental
El sarro aparece debido a una higiene oral insuficiente. Si no nos cepillamos bien los dientes ni usamos hilo dental con regularidad, la placa bacteriana se acumula y termina mineralizándose, aunque existen otros factores que favorecen la formación de sarro:
- Higiene inadecuada: cepillarse menos de dos veces al día o no limpiar entre dientes facilita que la placa se endurezca.
- Dieta alta en azúcares y almidones: las bacterias de la placa proliferan con alimentos azucarados o carbohidratos fermentables.
- Tabaquismo: fumar o usar productos de tabaco aumenta significativamente la acumulación de placa y sarro.
- Boca seca: la falta de saliva (por ciertos medicamentos o condiciones) impide la “autolimpieza” natural, contribuyendo a más placa.
- Dientes mal alineados o aparatos: dientes apiñados, prótesis mal ajustadas o brackets crean áreas de difícil limpieza donde el sarro puede formarse fácilmente.
- Edad avanzada: con la edad suele haber mayor propensión a acumulación de depósitos calcificados.
- Tener un PH alcalino también es un factor que puede influir en el desarrollo de cálculos dentales.
- Aunque también son claves algunos alimentos como aquellos ricos en azúcares, el tabaco, o las dietas alcalinas que contribuyen a la mineralización.
Es más frecuente que tengamos sarro en aquellos lugares donde es más difícil limpiarse bien los dientes, la parte trasera de los dientes delanteros inferiores por ejemplo. Hay un factor determinante que también nos predispone a la formación de sarro y es el ph de nuestra saliva. El ph de la saliva no es el mismo en todas las personas. La saliva con un ph más ácido nos hace más vulnerables a las caries porque contribuyen a debilitar el esmalte.
En las fases iniciales la acumulación de sarro se basa en la constitución de placa, una lámina cultivada por cocos gram positivos. Estos cocos son elevados en las primeras etapas y hasta el quinto día la cantidad de bacterias no empieza a ser cuantiosa. Las bacterias acumuladas en nuestra cavidad oral se recubren en una matriz orgánica formada a través de los restos de la degradación de los distintos fluidos orales como las glicoproteínas o lípidos.
Cuando nuestro pH no cuenta con el nivel de acidez adecuado, nos hace más propensos a la formación de sarro. Tener un PH alcalino también es un factor que puede influir en el desarrollo de cálculos dentales. Aunque también son claves algunos alimentos como aquellos ricos en azúcares, el tabaco, o las dietas alcalinas que contribuyen a la mineralización.
Tipos de Sarro
- Cálculo supragingival: Cuando los depósitos se ubican por encima de las encías hablamos de cálculo supragingival.
- Cálculo subgingival: Son aquellos depósitos que se ubican debajo de la zona gingival. Estos cálculos son de color marrón oscuro o verdoso. Es habitual que se encuentre en las zonas linguales y proximales. Se ubica por debajo de la línea de la encía, focalizándose a su vez en la raíz del diente, siendo poco visible lo que hace que sea más dañino.
Existen dos tipos de sarro, el supragingival que es el que se puede observar a simple vista y el subgingival que no es visible y es el más perjudicial para las encías y los tejidos de soporte del diente (hueso).

Consecuencias de la Formación de Sarro Dental
La formación de cálculo dental tiene algunas consecuencias en nuestra salud y estética bucodental.
Dejar que el sarro se acumule sin tratamiento no solo afecta la apariencia de tu sonrisa, sino que puede derivar en problemas serios de salud bucodental. Entre las principales consecuencias de no quitar el sarro a tiempo se encuentran:
- Caries dental: el sarro facilita la acumulación de bacterias ácidas que desmineralizan el esmalte. Con el tiempo, esto provoca agujeros en el diente (caries) si no se interviene. El esmalte debilitado por debajo de la placa calcificada se vuelve vulnerable a las caries.
- Gingivitis: el sarro irrita las encías constantemente. Esto causa inflamación, enrojecimiento y sangrado gingival. La gingivitis es una inflamación reversible de las encías, pero es la etapa inicial de problemas mayores. El cúmulo de sedimentos en dientes afecta especialmente a los tejidos blandos, produciendo inflamación e irritación de las encías. Dicha inflamación viene acompañada de sangrado y edema sin llegar al desgaste del hueso. Esta enfermedad es atacable por medio de un tratamiento periodontal básico, el cual va dirigido a desinflamar la zona.
- Periodontitis: si la gingivitis no es tratada, puede transformarse en periodontitis, una enfermedad grave de la encía y el hueso. En la periodontitis la infección y el sarro suben por debajo de la encía destruyendo el hueso y el tejido de soporte del diente, lo que puede llevar a la pérdida de piezas dentales. El sarro subgingival crónico es un detonante principal de la periodontitis. La acumulación del sarro bajo las encías, produce sangrado y debilidad absoluta ocasionando pérdidas de inserción.
- Recesión de encías: la presencia prolongada de sarro puede hacer que las encías se retraigan, dejando expuesta mayor parte del diente o raíz (aspecto de “dientes más largos”). Esta retracción provoca sensibilidad dental y facilita aún más la acumulación de placa en esas zonas expuestas.
- Manchas y deterioro estético: al ser poroso, el sarro absorbe fácilmente pigmentos de alimentos y bebidas (como café, té, vino tinto), volviendo los dientes más amarillentos u oscurecidos.
- Halitosis: o mal aliento, es un conjunto de olores desagradables que se emiten por la boca. Por ello, es común que las personas con mucho sarro sufran halitosis crónica hasta que no se elimine la acumulación.
- Problemas digestivos: se producen a causa de la infección que al tragar pasa por el tracto digestivo.
Es importante destacar que el sarro no es solo un depósito inofensivo: puede derivar en infecciones, destrucción del diente o del hueso de soporte, mal aliento y eventualmente la pérdida dental. Por ello, es fundamental tratarlo a tiempo. Mantener las encías sanas y el esmalte libre de depósitos calcificados ayudará a prevenir estas complicaciones.
Prevención del Sarro Dental
La mejor estrategia es prevenir el sarro. Si evitamos que la placa bacteriana se endurezca, no tendremos que enfrentarnos a las consecuencias del sarro.
Lo que sí que se puede hacer es prevenir el desarrollo de cálculo dental a través de unas rutinas de higiene oral adecudadas. Ahora bien, te preguntarás: ¿cómo evitar consecuencias negativas en tu salud bucodental por la formación del sarro? O de tenerlo, ¿cómo puedes eliminarlo? La higiene bucal es fundamental para mantener saludable nuestra dentadura y todos sus componentes, por lo que es fundamental aplicar adecuadamente rutinas de limpieza y la visita periódica al odontólogo.
Las siguientes prácticas de higiene y hábitos saludables ayudan a mantener el sarro a raya.
- Cepillado dental correcto: cepilla tus dientes al menos dos veces al día (idealmente después de cada comida) usando un cepillo de cerdas suaves y pasta dental con flúor. Dedica unos 2 minutos en cada cepillado, asegurándote de cubrir todas las superficies de cada diente, incluyendo la zona cerca de la encía y los molares posteriores. Un buen cepillado elimina la placa antes de que se endurezca.
- Uso de hilo dental diario: limpia entre los dientes una vez al día con hilo dental o cepillos interdentales. El cepillado por sí solo no remueve la placa que se acumula entre las piezas dentales, por lo que el hilo es indispensable para evitar depósitos en esas áreas estrechas.
- Enjuague bucal antiséptico: utiliza un enjuague bucal sin alcohol con agentes antibacterianos una o dos veces al día. Esto ayuda a reducir la cantidad de bacterias en la boca que forman la placa. Un colutorio fluorado además puede fortalecer el esmalte.
- Dieta equilibrada y baja en azúcar: modera el consumo de alimentos azucarados y bebidas carbonatadas, así como de carbohidratos refinados. Las bacterias de la placa prosperan con el azúcar, produciendo los ácidos que dañan el esmalte. Llevar una dieta sana, rica en vegetales, frutas y agua, reduce el combustible de esas bacterias. Si consumes dulces ocasionalmente, procura enjuagarte con agua o cepillarte después.
- No fumar: evita el tabaco en cualquiera de sus formas. Fumar no solo mancha los dientes, sino que incrementa notablemente la acumulación de sarro y el riesgo de enfermedad periodontal. Los fumadores suelen tener depósitos más tenaces y encías menos saludables.
- Visitas periódicas al dentista: acude a tu dentista o higienista dental al menos dos veces al año para una revisión y limpieza dental profesional. Incluso con buena higiene en casa, es necesaria una limpieza profesional regular para eliminar la placa endurecida incipiente en lugares de difícil acceso. Los odontólogos podemos, además, darte recomendaciones personalizadas; por ejemplo, aplicar selladores en molares si tiendes a tener caries, o pautar limpiezas más frecuentes si eres propenso a la acumulación de sarro.
Adoptar estos hábitos preventivos te ayudarán a mantener tus dientes libres de depósitos indeseados.
En esencia, una buena higiene diaria y cuidado profesional periódico son la clave para que la placa no se convierta en sarro. Prevenir es siempre más fácil, rápido y económico que tratar los problemas una vez aparecidos.
Recomendaciones adicionales
- Lavarnos los dientes cada vez que comamos, y como mínimo tres veces al día.
- Usar hilo dental o cepillos interdentales para eliminar restos entre los dientes, donde no llega el cepillo.
- Utilizar dentífricos y colutorios con flúor, ya que ayuda a evitar que la placa dental se endurezca y se transforme en sarro.
- Intentar no picar cosas dulces o beber zumos y refrescos entre horas.
- Comer alimentos crujientes a mordiscos también es bueno porque ayuda a arrastrar los restos de nuestros dientes.

Tratamiento Profesional para Eliminar el Sarro Dental
Una vez ya ha aparecido el sarro dental, sólo se puede eliminar en la clínica dental. Cuando el sarro se endurece, la forma de eliminarlo la tartrectomía ( limpieza dental) que debe ser realizada por un profesional en la clínica dental, el higienista dental.
Muchas personas buscan cómo eliminar el sarro en casa. En internet circulan diversos remedios caseros y “trucos” populares, pero debemos ser cautelosos con ellos.
Entre los métodos caseros contra el sarro más mencionados están: enjuagues con vinagre o jugo de limón, cepillados con bicarbonato de sodio y sal, el uso de cáscaras de fruta o incluso instrumentales comprados por internet para raspar los dientes. La realidad es que ninguno de estos remedios puede eliminar el sarro de forma segura y completa una vez que se ha mineralizado en el diente.
Los remedios caseros como puede ser el cepillarse los dientes con bicarbonato o usar agua oxigenada pueden producirnos serios problemas a medio y largo plazo. Lo ideal si tienes sarro en tus dientes es acudir a la consulta del dentista y que te lo elimine de forma profesional.
A lo sumo, algunos podrían ayudar a aflojar la placa blanda o a pulir ligeramente manchas superficiales, pero el sarro adherido permanecerá intacto. Es importante entender las limitaciones y riesgos de estos “remedios” caseros:
- Los enjuagues ácidos (como limón o vinagre) pueden temporalmente despegar algo de placa, pero su uso frecuente daña el esmalte de los dientes debido a la acidez, provocando erosión y sensibilidad dental.
- El bicarbonato de sodio es un abrasivo suave que puede ayudar a pulir manchas, pero no disuelve el sarro duro. Usarlo en exceso también puede desgastar el esmalte y lastimar las encías.
- Los kits de herramientas metálicas para “limpiar sarro” en casa son peligrosos sin entrenamiento: utilizar objetos filosos en la boca puede cortar o irritar las encías, y si se aplica mal fuerza podría incluso astillar un diente. De hecho, los odontólogos advierten que intentar raspar el sarro uno mismo suele causar más perjuicio que beneficio. Podrías crear áreas ásperas en el diente que faciliten más acumulación bacteriana o empujar la infección más profundo.
En resumen: no te recomendamos intentar remover el sarro en casa. Solo profesionales entrenados pueden hacerlo de manera segura. La manera casera más eficaz de lidiar con el sarro es prevenirlo, siguiendo los hábitos descritos en la sección anterior. Una vez que la placa se ha endurecido, la única opción segura es acudir al dentista.
Si te preocupa el sarro, en lugar de remedios milagrosos caseros, usa esa energía en mejorar tu rutina de higiene (cepillado, hilo, enjuague) y programa una limpieza dental profesional.
Procedimiento de Limpieza Dental Profesional
La limpieza dental es totalmente indolora y se lleva a cabo sin anestesia. Se realiza de forma manual y también con la ayuda de ultrasonidos que desprenden el sarro del diente. En algunos pacientes con una elevada sensibilidad dental puede resultar un poco molesta, en este caso se puede poner un spray de lidocaína para insensibilizar un poco o hacerla con anestesia local.
En la Clínica Dental Bordon Clinic, utilizamos la tecnología de ultrasonido para la eliminación de sarro. raspado coronal indoloro, por lo que se realiza sin anestesia, donde el dentista o higienista dental lo hace manualmente. Es un tratamiento profesional de higiene dental que elimina bacterias acumuladas entre los dientes y encías.
Si el paciente presenta un enfermedad de las encías más avanzada (periodontitis, o piorrea), es necesario realizar un curetaje dental o raspado dental con el fin de limpiar el sarro que se habrá acumulado bajo la línea de las encías y en las bolsas periodontales.
Durante el procedimiento, el dentista usará herramientas especiales para raspar suavemente el sarro de los dientes y las encías. Si tiene sensibilidad dental o encías inflamadas, es posible que sienta algo de incomodidad durante el tratamiento.
Durante una limpieza profunda, el dentista usará herramientas especiales para eliminar la acumulación de placa y sarro en las raíces de los dientes y las encías. Una limpieza profunda se recomienda cuando la acumulación de placa y sarro ha causado enfermedad periodontal, también conocida como enfermedad de las encías.
Es importante comprende que, en ocasiones, el sarro subgingival (bajo las encías) no es fácilmente visible. Un dentista puede diagnosticar su presencia en una revisión rutinaria, identificando las capas endurecidas en los dientes o debajo de la encía.
Si se sospechan complicaciones derivadas, como caries ocultas o enfermedad periodontal, el odontólogo podría realizar radiografías dentales o medir la profundidad de las bolsas gingivales para evaluar el daño.
En resumen, cualquier decoloración dura en los dientes, junto con encías irritadas o mal aliento que no mejora, son señales claras de acumulación de sarro.
La limpieza profesional puede causar molestias leves, especialmente si hay inflamación gingival. Un ligero sangrado las primeras 24-48 horas es normal, especialmente si había inflamación previa.
Ahora bien, si tienes sarro en tus dientes toca cuidarlos para prevenir, que es mucho más fácil y efectivo que andar experimentando en tu boca. Con una buena higiene no solamente evitarás su formación sino también la de caries y podrás venir de visita a la consulta a nuestra clínica en Tenerife una vez al año para que te demos el visto bueno y charlemos un ratito…Todo estupendo.

Nº1 REMEDIO CASERO para ELIMINAR la PLACA, el SARRO y PREVENIR la CARIES
Mitos sobre el Sarro Dental
Existen varios mitos sobre el sarro que pueden llevar a la confusión y la falta de prevención adecuada.
- Aunque el sarro puede hacer que los dientes se vean menos blancos y brillantes, también puede ser un problema de salud bucal.
- El sarro puede afectar a personas de todas las edades, incluso a niños y jóvenes.
- Los enjuagues bucales pueden ayudar a reducir la acumulación de placa bacteriana, pero no pueden eliminar el sarro una vez que se ha formado.
- No, el sarro no solo afecta a los dientes, sino también a las encías y la salud bucal en general. Además, la acumulación de sarro también puede provocar mal aliento y manchas en los dientes.
El sarro puede comenzar a formarse en 24-72 horas si no se elimina adecuadamente la placa bacteriana.
Conclusión
Mantener una sonrisa saludable requiere constancia en la higiene bucal y atención profesional periódica. El sarro dental es un enemigo silencioso que comienza como placa inofensiva, pero si se permite su acumulación puede causar desde caries hasta enfermedad periodontal avanzada. La buena noticia es que con hábitos adecuados y visitas regulares al dentista, es posible prevenir en gran medida la formación de sarro.
Como hemos visto a lo largo del artículo: la prevención y la intervención temprana son fundamentales. Si sospechas que tienes sarro (por ejemplo, ves depósitos amarillentos duros o notas tus encías inflamadas), no esperes a que aparezcan problemas mayores. Acude a tu dentista de confianza para una evaluación.
Recuerda que solo un profesional puede eliminar el sarro de forma eficaz y segura. En nuestra clínica dental en Mataró contamos con las herramientas y la experiencia para realizar limpiezas profundas y resolver tus dudas.