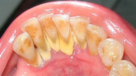
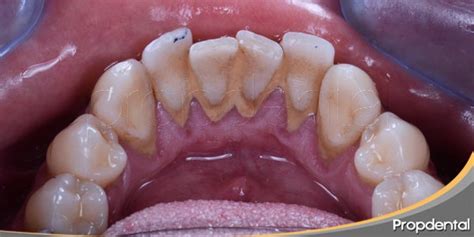
El sarro en los dientes, también conocido como tártaro o cálculo dental, es uno de los problemas orales más comunes. El sarro dental es una capa de suciedad y residuos calcificados que se acumula en los dientes como consecuencia de una higiene oral insuficiente o ineficiente.

El sarro se distingue por su color, que puede ir de blanquecino a pardo. Además los problemas estéticos derivados de su aspecto desagradable, su presencia puede traer consecuencias negativas para la salud oral.Esta capa de suciedad también se puede amontonar en el borde o debajo de las encías, llegando a irritar los tejidos gingivales. El sarro está colonizado por las bacterias de la cavidad oral o placa bacteriana, responsable a su vez de muchas de las patologías de los dientes y encías.
¿Cómo se forma el sarro en los dientes?
El sarro en los dientes se forma por la acumulación progresiva de residuos de alimentos, proteínas salivares y restos microbianos, que se calcifican alrededor de las superficies de los dientes como consecuencia de la precipitación de las sales minerales y los iones presentes en la saliva. Este acúmulo de placa dental se debe eliminar diariamente antes de su calcificación, mediante el cepillado diario tras las comidas, con una técnica adecuada, que debe incluir una correcta higiene interdental.
Una vez que esta película de restos se calcifica y endurece, precisamos de ayuda profesional para su eliminación -limpieza con ultrasonidos, curetas, etc.-. Una vez que la película de suciedad y residuos se calcifica y se endurece, solo se puede eliminar mediante una limpieza profesional

Nº1 REMEDIO CASERO para ELIMINAR la PLACA, el SARRO y PREVENIR la CARIES
¿Qué consecuencias tiene el sarro dental en nuestra salud bucodental?
La acumulación de sarro en los dientes, especialmente a nivel radicular, es nociva para los tejidos que lo rodean. Las bacterias presentes en el sarro dental son capaces de provocar, de manera directa o indirecta:
- Caries: mediante la desmineralizaciones de los tejidos duros.
- Gingivitis: Inflamación de la encía.
- Periodontitis: Pérdida del tejido gingival que sostiene al diente como consecuencia de la inflamación crónica de la encía. Es la fase avanzada de la gingivitis. Este fenómeno dental se asocia a una infección bacteriana en las piezas dentales.
- Halitosis: Los residuos y los efectos de las bacterias son el origen en muchas ocasiones de mal olor en la boca. Un síntoma que ayuda a saber si tienes sarro en tus dientes, incluso si no está en la parte visible, es la halitosis o mal aliento.
¿Cómo se puede eliminar el sarro?
El sarro o cálculo dental tiene que ser eliminado en la clínica dental mediante una profilaxis dental profesional. Existen diferentes métodos para quitar el sarro:
- Ultrasonidos: El empleo de ultrasonidos es especialmente útil cuando el sarro está ubicado por encima de la línea de las encías (unión del diente con la encía). Logran desprender el cálculo en fragmentos sin dañar la superficie dentaria. Es muy importante que el proceso sea profusamente refrigerado con agua, pues los ultrasonidos producen un aumento térmico que podría causar dolor y daño en la estructura dentaria.
- Curetaje: Las curetas dentales son dispositivos manuales con formas muy variadas, de tal manera que consiguen adaptarse perfectamente a la superficie de los dientes. Permiten llegar bien a los espacios que hay en el surco de la encía. Allí se acumula el denominado sarro subgingival, especialmente nocivo para los tejidos gingivales al estar colonizado frecuentemente por patógenos periodontales muy dañinos. En el caso de que el sarro se haya acumulado bajo las encías, es necesario realizar un curetaje o raspado dental. Este implica una limpieza más profunda, que sí suele requerir la aplicación de anestesia local.
- Fresas: Existen también fresas de diseños específicos para la eliminación de placa y sarro. Se acoplan a las turbinas y los motores dentales a diversas revoluciones.
- Aeropulverizadores: Los aeropulverizadores de polvo de glicina son de gran ayuda para eliminar la placa bacteriana y las manchas. Se trata de un método poco invasivo y muy efectivo tras la eliminación grosera del sarro con los métodos descritos en los puntos anteriores.
- Pulido: Es importante insistir en la importancia del pulido de la superficie dentaria tras la realización de cualquier tipo de procedimiento de eliminación de sarro (tartrectomía). De no ser así, se volvería a acumular nuevamente la placa y el sarro de manera aún más rápida y severa, favorecida por las rugosidades que pueden producirse al limpiar.

¿Cómo prevenir la formación de sarro?
El sarro debe prevenirse diariamente mediante una correcta higiene bucodental:
- Cepillado tras las comidas, de 2 a 3 veces al día, con especial atención en la remoción de la placa tras el sueño y el desayuno, y antes de irse a dormir por la noche.
- El cepillado debe ser enérgico, pero atraumático, con cepillos manuales con cerdas no agresivas o cepillos eléctricos.
- Se deben cepillarse correctamente todas las caras dentarias e, idealmente, debe hacerse siempre en el mismo orden para asegurarnos que quedan siempre todas las superficies barridas y limpias.
- Complementar el ritual de limpieza, al menos en una ocasión al día, con higiene interdental. Se recomienda utilizar hilo dental, seda o cinta, y/o irrigadores.
- Técnica de Bass: existen diferentes técnicas para la higiene dental. Una de las más eficaces y extendidas es la técnica de Bass, que permite eliminar adecuadamente el sarro en la zona gingival sin dañarla.
- La pasta de dientes facilita la eliminación mecánica de la placa, pero la cantidad de pasta que se colocar en el cepillo debe ser siempre reducida (un guisante).
- Utilizar colutorios o enjuagues bucales puede ser muy útil cuando hay gingivitis, si bien no es, ni mucho menos, lo más importante.
La única manera de prevención en estas afecciones bucodentales es cumplir con una estricta limpieza de manera cotidiana. La utilización de hilo dental, enjuagues e irrigadores, entre otros, te ayudará a limpiar correctamente las áreas a las que, con un cepillado común, no puedes acceder: entre los dientes y bajo la línea gingival.

Es imprescindible realizar un buen cepillado de los dientes, al menos durante un tiempo de 5 minutos. Los cepillos eléctricos tienen mayor efectividad de limpieza que los cepillos manuales. Asimismo, se aconseja el uso del hilo dental o cepillos interproximales, así como un enjuague bucal para reforzar la eficacia de la limpieza oral.
Lo recomendable es acudir al dentista al menos una o dos veces al año para hacerse una limpieza completa de los dientes y un examen oral. Estos son algunos de los consejos para prevenir el sarro dental.
Recuerda, prevenir el sarro no solo contribuye a mejorar tu salud, ¡sino a aumentar tu vida!
Este artículo ha sido redactado con información verificada y pautas editoriales que aseguran la veracidad de la información.