Si sientes un dolor agudo en un diente o una muela, podrías estar sufriendo una infección. Precisamente, el dolor de muelas u odontalgia es uno de los motivos más frecuentes de urgencia odontológica entre los pacientes. Esta situación, además, siempre requiere recibir la atención necesaria, ya que puede llegar a complicarse, hasta el punto de tener que llegar a extraer la pieza afectada.
Algunos síntomas pueden indicarnos que existe algún tipo de infección en la boca. Entre ellos, el dolor intenso, agudo y pulsátil, la sensibilidad al frío o al calor, la aparición de un absceso o flemón o la inflamación de esa zona de la cara.
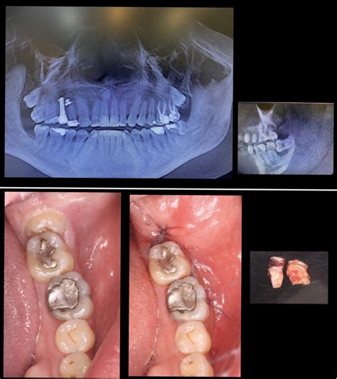
Por lo general, las caries superficiales, que afectan al esmalte y que no han sido tratadas con una obturación o empaste, pueden seguir avanzando hacia el interior del diente, dañando la pulpa dentaria. Cuando, efectivamente, la pieza dental está infectada, antes de realizar cualquier tratamiento, es necesario que el paciente tome antibióticos para eliminarla. De esta manera, posteriormente, podremos tratar el motivo que la ha originado.
En muchos casos, podemos realizar una endodoncia, con la que podemos salvar la pieza. De esta manera, por lo tanto, un diente o una muela con una infección activa no puede extraerse ni recibir ningún tipo de tratamiento odontológico conservador. Sin embargo, existen algunas excepciones, en las que se puede actuar al momento, siempre bajo el criterio del facultativo. Por ejemplo, ante un absceso localizado de pus, se puede drenar para ayudar a la acción del medicamente.
Igualmente, se pueden realizar aperturas camerales en un diente para drenar la supuración y, posteriormente, llevar a cabo el tratamiento de conductos con la infección controlada. Si sientes dolor en un diente o una muela, no dejes pasar el tiempo y visita a tu dentista.
La extracción de las muelas del juicio es una intervención quirúrgica frecuente en la edad adulta. Aunque suele tratarse de una cirugía ambulatoria sencilla, el proceso de recuperación varía según cada persona y puede generar dudas: ¿cuánto dura la inflamación? ¿Cuántos días de reposo se necesitan? ¿Qué complicaciones pueden aparecer?
La recuperación tras la extracción de las muelas del juicio no ocurre de un día para otro. Justo después de la intervención, es normal sentir entumecimiento, molestia e hinchazón en la zona. En esta etapa, el cuerpo comienza a formar un coágulo que protege el hueso y los nervios. No escupir ni enjuagarse con fuerza es fundamental para evitar que ese coágulo se desprenda.
¿Qué son las muelas del juicio?
Son los últimos dientes permanentes en salir, también conocidos como terceros molares, y se ubican en la parte posterior de tu boca. Aparecen en los últimos años de la adolescencia o al principio de los veinte. Estos dientes pueden ser importantes dentro de la función masticatoria si crecen sanos y bien alineados.
Pero si están mal alineados pueden requerir su extracción. Reciben el nombre de muelas de juicio porque usualmente aparecen cuando la persona tiene entre 17 y 21, que tienen más juicio.
¿Por qué NO debes extraer solamente UNA muela del juicio? | ¡Deberías retirarte las demás!
¿Es necesario extraer los terceros molares?
En ocasiones estos molares se desarrollan bien y brotan sin problemas. Pero hay casos en los que no tienen suficiente espacio. Esto causa que queden retenidas o salgan solo de forma parcial. En este último caso puede ocurrir que crezca en ángulo hacia el segundo molar o hacia atrás; o que esté derecha, pero atrapada en el maxilar.
Cuando crecen y salen estos dientes con normalidad no hay ningún problema, aquí estaría descartada la cirugía. Sin embargo, en cualquier otra situación puede ser conveniente la extracción de muela de juicio por cirugía. Incluso aunque aún no hayan ocasionado ningún inconveniente.
Los alimentos pueden quedar retenidos en las muelas del juicio, lo que aumenta la acumulación de bacterias. Además, cuando están en ángulo contra el diente vecino provocan el surgimiento de caries en este. La formación de quistes es otro de los problemas que pueden afectar. El dolor y las infecciones también son posibles problemas que pueden aparecer debido a las muelas impactadas.
También hay situaciones en las que estas muelas impiden la efectividad de los tratamientos de ortodoncia. Por ello, hay que recurrir a una cirugía maxilofacial en Salamanca para extraerlas. Aunque el debate sobre si es bueno quitarse las muelas del juicio continúa, en las situaciones anteriores es lo más conveniente. Pero siempre será importante escuchar lo que diga tu dentista al respecto.
Quizá no sea necesario extraerlas todas, sino una o varias. En caso de que el dentista decida extraer más de una, lo podrá hacer en una sola cirugía, así el paciente pasa por un solo proceso. Sin embargo, se pueden extraer por separado. Conversa con el dentista sobre cómo será la extracción de las muelas.

Preparación para la extracción de las muelas del juicio
El dentista evaluará si es necesario hacer la cirugía y, de ser así, te explicará cómo es el procedimiento, qué esperar de la extracción de los terceros molares y cómo prepararte. Aclara todas las dudas que tengas y haz todas las preguntas que sean necesarias. Como en cualquier otra cirugía, hay ciertas medidas que debes tomar con anterioridad. Por ejemplo, evitar fumar o tomar alcohol algunos días antes de la extracción.
Tipos de anestesia utilizada
Antes de extraer la muela de juicio, se aplica anestesia local en el diente y el tejido adyacente. El dentista o cirujano decidirá si aplica sedación para controlar la ansiedad, se pueden aplicar medicamentos como óxido nitroso, o sedantes orales, incluso los administrados por vía intravenosa. Es común que la extracción se haga solo con anestesia local.
De esta manera, el paciente no sentirá dolor, pero estará consciente durante la extracción. Si optan por sedación o anestesia general, te darán las instrucciones que debes seguir, por ejemplo, tener a alguien que te acompañe el día de la extracción para que te lleve a casa una vez que el especialista lo autorice.
Procedimiento de extracción
La facilidad o dificultad con la que tu dentista o cirujano maxilofacial puede extraer las muelas de juicio depende de su posición y desarrollo. El especialista tendrá una idea de qué esperar a partir de los exámenes preoperatorios. Un tercer molar que salió completo, normalmente se puede extraer con la misma facilidad que cualquier otro diente.
Pero si está debajo de las encías, más incrustado en el maxilar, si puede requerir una incisión, eliminar una porción de hueso, por lo que requerirá un proceso de extracción más complicado.
Complicaciones al extraer las muelas del juicio
La extracción de los terceros molares es quizá la cirugía oral más común. Hay riesgos, pero estos no suelen ser muchos. El dentista o cirujano debe explicar bien los riesgos al paciente y cómo actuar en caso de alguna dificultad. También le indicará cuáles son los cuidados después de una cirugía oral.
Aunque no son tan frecuentes, siempre es posible que aparezca alguna complicación al extraer los terceros molares. A continuación, te presentamos una lista de situaciones que pueden ocurrir:
Infecciones y cómo evitarlas
Las infecciones son un riesgo implícito en cualquier tratamiento quirúrgico. En la extracción de las muelas del juicio, el tipo de infección más frecuente es la alveolitis. Puede ser seca o supurada, y su tratamiento es similar. El cirujano puede recetar antibióticos en caso de que ocurra.
La osteítis alveolar y periostitis, son otros procesos infecciosos. La osteítis puede ocurrir por la infección de alguna esquirla ósea; la periostitis, por su parte, puede ser consecuencia de una infección previa, como la osteítis. Los signos de infección incluyen fiebre, náuseas, incomodidad frecuente e hinchazón, así como secreción amarilla con mal sabor.
Alvéolo seco: causas y tratamiento
Es la complicación más común cuando se extraen las muelas de juicio, se da cuando no se ha formado el coágulo de sangre en el alvéolo del diente extraído o cuando el coágulo de sangre que se formó se desprendió. Esto ocasiona que la recuperación tarde más tiempo. El alvéolo seco generalmente aparece 3 o 4 días tras la extracción y sentirás un dolor moderado a severo, así como mal olor en la boca.
Debes acudir al dentista ante estos síntomas, ya que el alvéolo seco se trata al colocar un medicamento en esta zona.
Dolor e incomodidad: manejo y consejos
Un poco de dolor después de la extracción de los terceros molares es normal debido a la manipulación dentro de la boca. Hay casos que son más complicados que otros y provocan mayor dolor. Sin embargo, también influye la tolerancia de la persona. Se siente dolor en los dientes adyacentes y dificultad para abrir la boca. Además, puede haber un poco de dolor de garganta y de oídos.
El dolor se puede extender durante varios días, para ello se recetarán analgésicos que ayuden a tolerar la incomodidad. Las compresas frías también ayudarán a bajar la inflamación y reducir el dolor.

Hinchazón: cómo reducirla
El área de la cara puede inflamarse y en ocasiones aparecen hematomas que desaparecen luego de unos días. De igual manera se siente cierta dificultad para abrir la boca. Una duda frecuente es cuantos días dura la inflamación por extracción de muelas del juicio. La respuesta es que depende, porque cada persona reacciona de una manera distinta. Sin embargo, después de los 2 días debe de comenzar a ceder la hinchazón.
Para minimizar la hinchazón, colócate una compresa fría, hielo envuelto en un paño, sobre la zona afectada por 10 minutos, descansa 20 minutos. Repite cuantas veces sea necesario por las primeras 24 horas.
Sangrado postoperatorio: qué esperar
Es normal que ocurra un sangrado leve después de una cirugía oral, sobre todo durante el primer día. Para controlarlo se recomienda colocar una gasa donde se extrajo la muela y morder con la encía. En unos 15 minutos la sangre debe haberse detenido. De lo contrario, infórmale al dentista al respecto. También es probable que ocurra un poco de sangrado durante el cepillado.
Lo que no es normal es que la sangre inunde la boca y si esto ocurre debes contactar de inmediato al dentista. Esto último puede ocurrir en pacientes que tomen anticoagulantes, que tengan fragilidad vascular, entre otros factores. El riesgo también es mayor en personas de avanzada edad.
Parestesias y otras complicaciones nerviosas
Ocurren cuando el nervio de se ve afectado durante la extracción. Puede ser porque la inflamación lo comprime o por la técnica utilizada. Esta lesión es más frecuente en el nervio alveolar inferior. Las lesiones nerviosas incluyen parestesias del nervio lingual y del nervio dentario. La parestesia se presenta como una sensación de hormigueo o adormecimiento, no produce dolor.
Puede aparecer por la presión sostenida sobre un nervio. Es poco común, pero puede ocurrir. En ese caso, informa de inmediato al dentista.
Complicaciones en los senos nasales
Si la muela está cerca de la cavidad sinusal, puede que se produzcan complicaciones en los senos nasales, en la comunicación sinusal, específicamente. Esto se refiere a una abertura entre el alvéolo dental y la cavidad sinusal, lo que puede causar complicaciones en la recuperación. Evita sonarte la nariz por unos días para facilitar la curación de esta área.
Complicaciones menos comunes
- Fístula oroantral: Ocurre cuando la raíz de la muela está en contacto con el seno maxilar. Podría cerrarse de forma espontánea después de varias semanas. Pero hay ocasiones en las que se requiere otra intervención quirúrgica.
- Trismus: Es la imposibilidad de abrir bien la boca debido a la inflamación de los músculos y puede remitir después de varias semanas. El dentista puede recomendar un tratamiento para relajar los músculos y ejercicios específicos para la zona.
- Fracturas: No son muy frecuentes, pero pueden ocurrir. Se producen por el exceso de fuerza que se aplica, puede ser en los dientes adyacentes, es más probable que suceda si tiene caries o tratamientos restaurativos. También está la fractura de tablas óseas, que puede dejar una esquirla del hueso que hay que retirar. Y la fractura de mandíbula es aún menos frecuente que las anteriores y requiere tratamiento quirúrgico.
- Otros daños a dientes adyacentes: Aquí ya no hablamos de fracturas, sino de otros tipos de consecuencias en los dientes adyacentes a las muelas del juicio. Es posible que se produzca una luxación o avulsionado, lo que deberá corregirse en el momento.
Reacciones a la anestesia
Son raras, pero pueden suceder reacciones alérgicas y otras complicaciones, normalmente causan mareos, náusea y vómitos. En casos más complicados pueden ocasionar confusión, agitación y convulsiones.
Cuidados postoperatorios esenciales
Después de la extracción de las muelas de juicio, la velocidad de la recuperación dependerá del grado de dificultad de la cirugía, es decir, si fue simple o si tuvieron que romper el hueso. Prepara con antelación lo que necesitarás después de la cirugía. Compra los medicamentos que indique el dentista. Es posible que estos incluyan analgésicos para el dolor. Así puedes iniciar el tratamiento al llegar a casa.
Dieta recomendada post-extracción
Durante las primeras 24 horas se deben ingerir solo alimentos blandos, después de eso pasa a semiblandos por los primeros cinco días. No fumes, ni chupes, nada con pajilla, también evita las bebidas y comidas calientes, como té, café o sopa. Ya que esto puede afectar el coágulo que se está formando, lo que puede causar el desarrollo del alveolo seco. Asimismo, evita consumir bebidas alcohólicas, puesto que afectan la recuperación tras la cirugía.
Higiene bucal después de la cirugía
La higiene bucal es fundamental para evitar infecciones, pero tiene que ser cuidadosa y no se debe utilizar enjuague bucal por el tiempo que se indique. Cepíllate los dientes, evitando la zona cercana a la extracción por las primeras 24 horas, asimismo evita enjuagarte la boca o escupir por ese tiempo. Enjuaga tu boca con agua con sal después de las comidas y antes de acostarte.
Hazla disolviendo media cucharada de sal en una taza de agua tibia.
Restricciones en la actividad física
También se indicarán varios días de reposo para apoyar la recuperación y evitar que el coágulo se desprenda. Aunque el paciente puede volver a su vida normal en unos pocos días, debe evitar hacer esfuerzos durante las primeras semanas.

Cuándo contactar a tu dentista
Debes consultar a tu dentista si experimentas algunas de las complicaciones al extraer las muelas del juicio, como signos de infección (hinchazón, dolor, fiebre y secreciones en la zona de la extracción), dolor persistente o algún otro síntoma que te cause preocupación.
Es importante destacar que la mayoría de las cirugías de extracción dentarias no tienen complicaciones. Estas son solo algunas posibilidades. Por eso, seguir los cuidados después de una extracción de muela del juicio es importante para una buena recuperación.
¿Cómo se ve una infección de muela del juicio?
Ante los primeros síntomas de muelas del juicio infectadas, es muy común experimentar inflamación, enrojecimiento y sensibilidad al tacto en la zona. Además, la hinchazón es bastante evidente y, en la mayoría de personas, puede haber presencia de pus. Cuando esto sucede, estamos ante una infección grave.
Por otro lado, para entender cómo se ve una infección de muela del juicio, debemos mencionar síntomas como dolor agudo, dificultad para masticar, mal aliento y, en casos graves, fiebre.
Aunque todo ello puede variar en intensidad de una persona a otra, es crucial acudir a los especialistas ante cualquier cambio o molestia.
Síntomas de infección en la muela del juicio
Tratándose de infecciones de muelas del juicio, lo habitual es que los síntomas vayan de menos a más a medida que pasa el tiempo. No obstante, en algunas personas la infección se manifiesta de forma inmediata con síntomas que causan grandes molestias. Eso sí, siguiendo las indicaciones de los especialistas.
Causas de las infecciones de muelas del juicio
El riesgo de sufrir infección de muela del juicio es mayor cuando el cordal no ha podido emerger totalmente por falta de espacio. Pero, incluso si han erupcionado bien, estas muelas tienen más posibilidades de sufrir lesiones que el resto.
Dicho esto, a continuación veremos las dos causas más comunes de infección en la muela del juicio.
- Infección en la muela del juicio por pericoronaritis: Es una inflamación del tejido que rodea a la muela del juicio, que es más común cuando la muela no ha erupcionado del todo. La razón es que alrededor de ella se crea una capa de tejido blando que suele acumular restos de alimentos. En consecuencia, se convierte en un nido para las bacterias que suele derivar en infecciones. Un problema que puede producirse incluso si el cordal todavía continúa totalmente debajo de la encía.
- Infección en la muela del juicio por una mala higiene: La forma y posición de las muelas del juicio dificulta mucho su limpieza. Al situarse tan al fondo de la boca, limpiar totalmente la superficie del diente, e incluso pasar el hilo dental entre las muelas, se vuelve algo complicado. La falta de una buena limpieza incrementa las posibilidades de que acaben apareciendo caries y, con ellas, molestias que pueden derivar en una infección más o menos grave.
¿Cómo curar una infección en la muela del juicio?
Una infección en la boca es un tema delicado que puede tener importantes implicaciones sobre la salud. Por eso, ante la aparición de cualquier tipo de molestia en las muelas del juicio, lo más aconsejable es acudir inmediatamente al especialista.
Es el dentista el que puede valorar la situación y determinar el tratamiento a seguir. Lo habitual en estos casos es que se prescriban antibióticos para que la infección remita. Además, el especialista dará consejos al paciente sobre cómo debe ser la higiene de la boca en un momento tan delicado.
Cuando la infección está controlada es hora de tomar decisiones respecto a ese cordal. Si se puede conservar, se haría una endodoncia para matar el nervio. Pero si la pieza está muy dañada, lo más recomendable es su extracción.
Tratamientos para una muela infectada
Los tratamientos para una muela infectada pueden incluir un empaste dental, una endodoncia, o la extracción de la muela completa o sus restos radiculares.
- Empaste dental: Cuando la causa que ha originado la infección es una caries, uno de los tratamientos más habituales es el empaste dental. El objetivo final del empaste, además de retirar la caries, es realizar un buen sellado de la muela para evitar la posterior entrada de bacterias.
- Endodoncia: Mediante una endodoncia, el dentista accederá hasta la pulpa y la limpiará completamente. La endodoncia es conocida coloquialmente con la expresión “matar el nervio”. Esto se debe a que el nervio dental se elimina y se sustituye por el material que acabamos de mencionar.
- Extracción de la pieza dental: Hay casos en los que la muela no puede salvarse mediante un empaste o una endodoncia ya que sufre una destrucción muy severa de su estructura y no puede reconstruirse con garantías. En este caso, lo más probable es que se tenga que extraer la pieza dental completa. Antes de comenzar con la extracción, el dentista aplicará anestesia local para que el paciente no experimente dolor ni molestias durante la intervención. Una vez haya anestesiado, el odontólogo utilizará su instrumental para separar el diente de la encía y extraerlo. Tras la extracción, el profesional limpiará el hueco que ha dejado la muela y eliminará todos los restos de infección que hayan quedado en la cavidad.
Recomendaciones post-extracción
Aunque tengas muchas ganas de escupir o enjuagarte la boca, es necesario que evites este comportamiento porque te puede producir una hemorragia, lo que puede implicar que tengas que acudir de urgencia a tu dentista. Tras la extracción, tu odontólogo te dirá cuánto tiempo debes esperar para enjuagarte (normalmente son 24 horas). Luego, probablemente, tendrás que utilizar un colutorio con clorhexidina ya que tiene un efecto antiséptico.
Mantén una dieta blanda y fría durante las primeras horas. Es importante que el día de la intervención cambies tu rutina diaria. Es posible que la zona intervenida se inflame y que dicha hinchazón llegue a la parte de la cara donde se encontraba la muela. Cuando llegue el momento de irse a la cama, deberás dormir boca arriba. Ya sabemos que es complicado cambiar tu forma de dormir. Sin embargo, de este modo evitarás ejercer presión sobre la zona afectada, lo que aliviará las molestias.
Sigue las pautas de medicación prescritas por tu doctor.
Alveolitis tras extracción dental
Este proceso origina mucho dolor y malestar después de la extracción de un diente o muela. Incluso aparece pasados los 2-3 días, y cursa con mal olor y sabor de boca. Puede ocurrir tanto en los dientes de la parte superior, como de la parte inferior. Siendo la inferior las que mayores problemas suelen originar (hasta 2,5 veces más) , ya que el hueso mandibular es un hueso más duro y con menos vasos sanguíneos.
Los estudios demuestran que tras extraer las muelas del juicio inferiores son las que mayores complicaciones tienen. Afecta más a adultos que a jóvenes, porque existe un menor espacio para el ligamento periodontal. En pacientes con enfermedad periodontal o de las encías, se encontró también mayor incidencia. El dolor suele aumentar al succionar o masticar por la zona. Incluso puede aparecer un trismus, que es la falta de apertura normal de la boca.
El potencial de cicatrización de cada paciente, determinará la duración de este proceso. Así como la higiene tanto de la boca, como de la zona tratada en la extracción. Se debe realizar enjuagues de agua y sal o clorhexidina en la zona, pero no de manera muy fuerte, ya que puede hacer que el coágulo se salga y se genere la alveolitis.
Una vez valorado en consulta, el dentista deberá de evaluar la zona, y ver si existe coágulo o no en la zona de la extracción, posteriormente limpiará la zona con suero y clorhexidina al 0,2%. Se deben de cumplir a rajatabla las órdenes de nuestro dentista para conservar ese coágulo sanguíneo en su sitio, según las indicaciones postoperatorias tras una extracción dental.
Al día siguiente, debe realizarse enjuagues con agua con sal 2 veces al día durante una semana. Estos enjuagues no deben ser efusivos, sino simplemente dejar actuar sobre la zona de la herida.
Tabla Resumen de Cuidados Post-Extracción Dental
| Cuidado | Instrucciones |
|---|---|
| Dieta | Alimentos blandos y fríos durante las primeras 24 horas; evitar alimentos duros, calientes o picantes. |
| Higiene Bucal | Cepillado suave evitando la zona de extracción; enjuagues con agua y sal después de las comidas. |
| Actividad Física | Reposo; evitar esfuerzos físicos durante la primera semana. |
| Hábitos | No fumar ni consumir alcohol durante al menos 72 horas. |
| Medicación | Seguir las indicaciones del dentista para analgésicos y antibióticos. |