Los implantes dentales y las carillas dentales son dos procedimientos dentales diferentes utilizados para abordar distintos problemas y mejorar la apariencia y funcionalidad de los dientes. Están destinadas a mejorar la estética dental, pero no son lo mismo.

Diferencias entre implantes y carillas
Es importante entender las diferencias fundamentales entre estos dos tratamientos:
- Función de los implantes: Los implantes dentales se utilizan para reemplazar dientes perdidos. Consisten en la colocación de un tornillo de titanio en el hueso de la mandíbula o el maxilar, que sirve como raíz artificial.
- Procedimiento de los implantes: El proceso de colocación de implantes dentales es generalmente más invasivo y puede requerir varias etapas.
- Función de las carillas: Las carillas dentales son láminas delgadas hechas de porcelana o resina compuesta que se adhieren a la parte frontal de los dientes existentes.
- Procedimiento de las carillas: El proceso de colocación de carillas dentales es menos invasivo en comparación con los implantes dentales.
En resumen, los implantes dentales se utilizan para reemplazar dientes perdidos, mientras que las carillas dentales se utilizan para mejorar la apariencia de los dientes existentes. Los implantes dentales implican la colocación de una raíz artificial en el hueso, mientras que las carillas dentales son láminas adheridas a los dientes existentes.
La clave es consultar a un dentista especializado para determinar cuál de estos tratamientos es el más adecuado según tus necesidades.
¿Qué es mejor, fundas o carillas?
Si estás pensando en cambiar el aspecto de tu sonrisa, seguramente te estés planteando… ¿Qué es mejor, fundas o carillas? Aunque ambas opciones resuelven problemas estéticos, no son lo mismo.
Las carillas estéticas son finas láminas que se adhieren a la cara vestibular -externa- de las piezas dentales naturales del paciente con el fin de conseguir un aspecto más armonioso. Su función es meramente estética y resulta un tratamiento muy personalizable, permitiendo modificar pequeños defectos relacionados con la forma, el color, el tamaño o la posición de los dientes.
Por otra parte, las coronas dentales son fundas que se colocan sobre un diente real o un implante, en caso de que la persona se haya sometido previamente a esta cirugía. La funda hace las veces de una pieza dental nueva y renovada, confeccionada a medida para simular el diente natural y sustituirlo a todos los efectos.
Diferencias clave entre carillas y coronas
- Las carillas dentales, por tener únicamente una finalidad funcional, se limitan a tapar la cara externa de las piezas para mejorar su aspecto. Por el contrario, las fundas deben cubrir por completo el diente remanente -real- o el implante para asegurar que no se producen filtraciones.
- Tallar el diente es imprescindible antes de colocar una funda, reduciéndose este unos 2 milímetros. Para colocar las carillas de porcelana ultrafinas también hay que tallar el diente, pero mucho menos que si fuéramos a colocar una funda. La reducción es de tan solo entre 0,3 y 0,7 milímetros.
- Además de lo que ya hemos explicado previamente, las coronas también están indicadas para realizar un puente dental. Las carillas dentales, por otra parte, posibilitan la modificación de la forma, tamaño, color o posición de un diente.
- Debido a la finalidad estética de las carillas, parece lógico que únicamente se adhieran en los dientes visibles en la sonrisa: los incisivos centrales y laterales superiores. No obstante, al tener las coronas un objetivo funcional, se pueden colocar en cualquier pieza.
- Tal como adelantábamos anteriormente, las carillas se pueden confeccionar en porcelana o composite. Aunque las coronas pueden estar fabricadas también en diferentes materiales -porcelana y metal-porcelana- las más estéticas son las de zirconio.
Cada diente exige un abordaje independiente y un estudio personalizado, por lo que en función de la persona, puede ser recomendable la combinación de carillas y coronas. Pero con el fin de despejar todas tus dudas y obtener un diagnóstico preciso, te recomendamos ponerte en manos de un dentista especialista en Estética Dental Solo así podrás saber con certeza si tu caso requiere carillas dentales, coronas o una mezcla de los tratamientos.
¿Es posible poner una carilla sobre una corona de implante?
Lo recomendable más que poner una carilla sobre una prótesis sobre implante, sería cambiar la corona sobre implante adaptándola al nuevo color de las carillas para respetar al máximo los márgenes gingivales y evitar futuros problemas, como es la inflamación.
Sin embargo, incluso es posible colocar una carilla sobre la corona existente si está bien posicionada y estructuralmente estable, lo que evita tener que retirarla.
Si tienes coronas, coronas sobre implantes o puentes, es importante que consultes con tu dentista para una evaluación personalizada.
Materiales y estética
Pueden hacerte la corona sobre el implante del mismo material cerámico que te pongas en el resto de la boca, si estas pensando ponerte carillas en los demás dientes, así quedará todo uniforme, con el mismo color, el mismo brillo y acabado.
Adicionalmente a parte de zirconia existen otros tipos de materiales que pueden ofrecer mejores resultados esteticos para las carillas , si tiene alguna duda puede ponerse en contacto con nosotros y nuestro especialista en estética la asesoría personalmente.
En ese caso se realiza una funda de zirconio sobre el canino para mejorar la estética y armonizar con el conjunto de carillas.
Blanqueamiento dental con implantes, coronas o carillas
Una pregunta común es si se pueden blanquear los dientes con implantes, coronas o carillas. Es importante tener claro que el blanqueamiento dental es un tratamiento odontológico, por lo que siempre debe realizarse bajo supervisión profesional.
Los implantes dentales y las prótesis que los acompañan -como coronas o carillas- están fabricados con materiales cerámicos inorgánicos. Esto significa que su color no puede modificarse una vez colocados. Dicho de otro modo, estas prótesis no se blanquean.
Esto supone una limitación importante a la hora de realizar un blanqueamiento, ya que el color de los implantes no cambiará y puede condicionar el resultado estético global.
Si los implantes están en zonas posteriores, que no se ven al sonreír, no hay inconveniente en realizar el tratamiento. También puede hacerse cuando la diferencia de tono entre los dientes naturales y los implantes no es demasiado marcada, o cuando el paciente está dispuesto a sustituir la corona del implante una vez se alcance el color deseado en el resto de la dentadura.
¿Qué hacer si el implante tiene un tono más oscuro?
Si deseas una sonrisa más blanca pero llevas un implante con un tono más oscuro que el que te gustaría lucir, tienes dos opciones:
- Sustituir la corona por una nueva que coincida con el color conseguido en el resto de los dientes tras el blanqueamiento.
- Optar por un tratamiento integral de estética dental que unifique el tono mediante carillas o coronas.
Las carillas dentales permiten cubrir los dientes naturales con láminas cerámicas de color y forma personalizados, proporcionando una sonrisa uniforme y estética. En los casos en que las piezas están muy desgastadas o dañadas, puede optarse directamente por coronas.
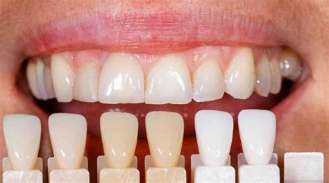
Proceso de colocación de carillas
Poner carillas dentales consiste en cubrir los dientes con unas finas láminas, normalmente de porcelana o de resina, para cambiar su aspecto y lograr una sonrisa más natural y bonita.
Primero se realiza una consulta previa donde se diagnostica al paciente y se determina cuál será el tratamiento o los tratamientos a seguir.

Carillas de composite
Cuando se decide colocar carillas de composite, estas se colocan directamente sobre el diente en la consulta. Las carillas dentales de composite, o carillas de resina, son el tratamiento más rápido y sencillo de aplicar.
Primero se ha de diagnosticar al paciente en la clínica, además de tomar fotografías y un escaneo digital de toda la dentadura y sonrisa.
Carillas de cerámica ultrafinas
Por último mencionar que existen las carillas dentales de cerámica ultrafinas o microcarillas dentales para las que no se requiere realizar el tallado previo, por lo que colocar este tipo de carillas es más rápido y menos invasivo, ofreciendo unos resultados de primera.
La alineación dental y la estabilidad de la mordida son elementos clave para determinar si eres un candidato adecuado para colocarte microcarillas sin necesidad de desgastar tus dientes naturales. En general, estas microcarillas se pueden colocar en pacientes que tienen pequeños diastemas, dientes cortos o dientes palatinizados (ligeramente inclinados hacia adentro). Si no cumples con estas condiciones, se recomendará someterte a un tratamiento de ortodoncia previo.
Ortodoncia con coronas, carillas o implantes
Es cada vez más común la colocación de prótesis dentales para mejorar la sonrisa. Por ello, muchos pacientes se preguntan si podrán llevar ortodoncia con coronas, carillas o implantes dentales.
Ortodoncia y coronas dentales
Una corona dental es una prótesis fija que se parece a un diente, salvo que está hueca por dentro. Cada corona se coloca como una funda sobre un diente desvitalizado o un implante, para restaurar la sonrisa y devolver a los dientes su función masticatoria.
Las coronas dentales y la ortodoncia son compatibles, pero únicamente si la corona se coloca en un diente endodonciado, ya que el aparato podrá seguir actuando sobre los huesos. Los dentistas pueden recomendar llevar una corona temporal mientras dure el tratamiento de ortodoncia, que será sustituida por una corona permanente una vez retirados los aparatos.
Con los alineadores invisibles no hay problema. Al igual que con otros tipos de ortodoncia, el tratamiento será efectivo en dientes con coronas siempre y cuando el diente esté endodonciado.
Ortodoncia e implantes dentales
Los implantes dentales son un tipo de tratamiento odontológico que se utiliza para sustituir la raíz dental cuando falta un diente. Se atornilla en el hueso de la mandíbula y está hecho de titanio biocompatible.
Sí, se pueden poner implantes con ortodoncia. Sin embargo, hay que tener en cuenta que estas piezas no podrán moverse y el ortodoncista tendrá que adaptar el tratamiento teniendo en cuenta que los implantes permanecerán fijos.
Generalmente, es mejor realizar la ortodoncia antes de colocar los implantes dentales, ya que los implantes son fijos y no se pueden mover. La ortodoncia permitirá alinear correctamente los dientes naturales antes de integrar los implantes en la mordida final.
Ortodoncia y carillas dentales
Las carillas dentales son reconstrucciones estéticas que permiten corregir los defectos debidos a una anomalía de tamaño, color o forma. Hechas a base de una fina capa de cerámica o porcelana, o resina o composite.
También se pueden usar carillas y ortodoncia al mismo tiempo. Sin embargo, respecto al uso de ortodoncia fija es importante saber que se puede poner ortodoncia con carillas siempre y cuando se utilice un adhesivo especial para colocar los brackets y no dañar la superficie de la prótesis.
Si, es una gran opción si queremos evitar que se estropeen las carillas. De hecho, los ortodoncistas suelen recomendar tratamientos de ortodoncia invisible con alineadores para preservar al máximo la estética de las carillas.
| Tratamiento | Descripción | Compatibilidad con ortodoncia | Consideraciones |
|---|---|---|---|
| Implantes Dentales | Reemplazo de la raíz dental con un tornillo de titanio. | Sí | Los implantes no se mueven durante la ortodoncia. |
| Coronas Dentales | Prótesis fija que cubre un diente dañado o un implante. | Sí | Debe estar en un diente endodonciado para que la ortodoncia sea efectiva. |
| Carillas Dentales | Láminas delgadas adheridas a la superficie frontal de los dientes. | Sí | Se requiere un adhesivo especial para no dañar la carilla con brackets. |