Actualmente, la sociedad tiene una mayor conciencia de su estética y eso se refleja también en el cuidado de la boca. Queremos mejorar el aspecto y la calidad de vida de nuestros pacientes y dibujar en sus rostros sonrisas sanas y blancas. Las carillas dentales son una solución estética popular y efectiva para mejorar la apariencia de los dientes.
Las carillas dentales son unas láminas muy finas -generalmente inferiores a un milímetro de espesor- que se fijan sobre la parte visible de uno o varios dientes. Su objetivo es corregir problemas estéticos (fracturas leves, cambios de color…) o patológicos (originados por caries). Su principal objetivo es mejorar el aspecto de los dientes, ya sea para modificar su tamaño, color, forma o posición. Por tanto, tienen una finalidad puramente estética.
Las carillas son láminas muy finas de porcelana, que se elaboran en un laboratorio para ser posteriormente colocadas sobre los dientes del paciente. Para colocarlas, primero se desgasta suavemente el diente y, después, se pega la lámina de porcelana a la superficie dental con una resina especial que hará que no se mueva ni un solo milímetro. El tratamiento estético de las carillas dentales de porcelana es personalizado a cada paciente, ya que no hay dos bocas iguales.
Las carillas dentales se colocan en la superficie frontal de los dientes con la finalidad de mejorar su aspecto. Son uno de los tratamientos dentales estéticos más demandados actualmente, tanto por su sencillez como por su precio.
Carillas Dentales Vs Diseño de Sonrisa | Lo que tienes que saber antes de decidir
Tipos de Carillas Dentales
Ahora que sabes qué son las carillas dentales, has de conocer los tipos de carillas que existen y sus principales características:
- Carillas de porcelana: Son las más populares debido a su durabilidad y apariencia natural. La porcelana es un material resistente a las manchas y capaz de imitar la translucidez de los dientes naturales, lo que proporciona un resultado estético mejor. Además, aportan un resultado muy natural, pues consigue imitar a la perfección el tono de los dientes adyacentes.
- Carillas de resina compuesta: Estas carillas son más económicas y se pueden colocar en una sola visita al dentista. Aunque no son tan duraderas como las carillas de porcelana, las carillas de resina compuesta pueden repararse fácilmente en caso de daño. El composite es un material muy usado en odontología y en caso de carillas, consiguen imitar muy fielmente el tono de los dientes adyacentes. Son muy útiles para corregir dientes rotos o tinciones.
Las carillas ultrafinas están fabricadas con porcelana feldespática, de gran calidad y resistencia. De hecho, cuidando correctamente las carillas, pueden llegar a durar 20 años. Como son algo translúcidas, dejan pasar la luz y por ello dan un resultado tan natural. Por otro lado, hablamos de las microcarillas. Tienen la particularidad de tener un grosor mínimo de 0,3 mm, similar al de una lentilla. Gracias a su ínfimo grosor, únicamente requieren de un mínimo tallado dental para alcanzar unos resultados naturales y estéticos.
La elección entre carillas de porcelana y carillas de resina compuesta dependerá de factores como el presupuesto, el tiempo disponible para el tratamiento y las necesidades específicas de cada paciente.
Carillas sin Tallado
Las carillas sin tallado son uno de los tratamientos de Estética Dental con mayor demanda entre las personas adultas. Aunque se habla mucho de las carillas dentales sin tallado, lo cierto es que no siempre se pueden realizar, ni siquiera aun estando confeccionadas en porcelana. Las carillas sin tallado son aquellas que se colocan en la pieza sin alterar en absoluto su anatomía, es decir, sin reducir el volumen de esmalte natural.
Por eso, solo se colocan en los dientes que vemos al sonreír, porque su objetivo es mejorar la estética y armonía de nuestra sonrisa. Sin embargo, las carillas sin tallado no siempre son una opción ideal. Esto se explica porque la carilla aumenta el grosor del diente. Como explicábamos previamente, si adherimos una capa extra al diente, habrá una descompensación con el resto. El tallado dental con carillas viene determinado por la posición de los dientes.
Las carillas dentales sin tallado, cumplen con las mismas funciones que las carillas dentales normales, pero en estos casos la pieza dental del paciente deberá contar con unas características para poder colocarlas. Como ventaja podemos destacar: Al no tener que limar los dientes no es necesario usar anestesia, ya que no genera ningún dolor en el paciente. Las carillas son finas láminas hechas con materiales como son la porcelana o composite.

Proceso de Colocación de Carillas Dentales
Las carillas dentales son una opción muy popular para mejorar la apariencia de tu sonrisa. Pero ¿cómo se ponen las carillas?
- Evaluación inicial: el primer paso es una consulta con tu dentista, quien evaluará si eres un buen candidato para las carillas estéticas. Se examinará la salud de tus dientes y encías, y se discutirá el resultado deseado.
- Preparación del diente: una vez decidido que las carillas dentales son la mejor opción, hay que preparar los dientes. Esto implica que el dentista elimine una pequeña cantidad de esmalte de la superficie frontal del diente, aproximadamente del mismo grosor que la carilla que se colocará. Durante la preparación de las carillas dentales, los dentistas suelen desgastar o limar la capa superficial de los dientes.
- Toma de impresiones: tras preparar los dientes, el dentista tomará impresiones o moldes de tus dientes.
- Colocación provisional: en algunos casos, se pueden colocar carillas provisionales mientras se fabrican las definitivas.
- Colocación final: una vez que las carillas estén listas, el dentista las colocará en tus dientes para verificar el ajuste y la forma. De cualquier forma, dado que las carillas se confeccionan de forma totalmente personalizada en el laboratorio, antes de colocarlas tenemos una sesión en la que hacemos un mock up. En esta cita, realizamos el diseño de sonrisa del paciente atendiendo a factores relacionados con las facciones de su rostro y simetría.
Duración de las Carillas Dentales
Una de las preguntas más frecuentes sobre los tratamientos estéticos dentales es cuánto duran las carillas dentales. La durabilidad de las carillas depende de varios factores, incluyendo el tipo de material utilizado y los hábitos de cuidado dental del paciente.
La duración de las carillas dentales está determinada por diversos factores, como los cuidados que siga el paciente en cuanto a higiene oral, alimentación, tabaco, hábitos, revisiones con el dentista, etc. Adicionalmente, la durabilidad del tratamiento también depende del material con el que están fabricadas las carillas y de la técnica de colocación (directa o indirecta). Por ello, no resulta posible determinar de antemano cuánto tiempo duran las carillas dentales. Lo que sí podemos decirte es que, con unos cuidados y unos mantenimientos adecuados, son un tratamiento pensado para durar a largo plazo.
Para prolongar la vida de las carillas, es crucial mantener una buena higiene bucal, evitar morder objetos duros y acudir regularmente al dentista para chequeos y limpiezas profesionales.
Requisitos para Poner Carillas Dentales
Es importante conocer los requisitos para poner carillas dentales para asegurar que este tratamiento estético sea adecuado para ti y que pueda proporcionar los resultados deseados.
- Salud bucal adecuada: es fundamental que no existan problemas graves de salud dental, como caries activas, enfermedades periodontales o infecciones.
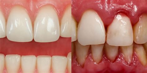
Carillas Dentales y Periodontitis
La periodontitis, a menudo denominada enfermedad de las encías, es una afección dental que va más allá de la inflamación ocasional de las encías. Esta condición generalmente se desarrolla como resultado de una acumulación de placa bacteriana, una película pegajosa de bacterias que se forma constantemente en los dientes. Factores como la genética, el tabaquismo, la diabetes y otros problemas de salud pueden aumentar la susceptibilidad de una persona a la periodontitis.
La periodontitis, en sus etapas avanzadas, puede causar daño significativo a los tejidos que soportan los dientes. Las encías comienzan a retroceder, formándose bolsas entre los dientes y las encías. Además de los problemas físicos, la periodontitis puede tener un impacto en la calidad de vida de una persona. El sangrado de las encías, la halitosis persistente y la movilidad dental pueden afectar la confianza y la comodidad al interactuar socialmente.
La periodontitis, una afección común pero a menudo subestimada, va más allá de las encías inflamadas; puede impactar directamente en la apariencia de nuestros dientes y, en consecuencia, en nuestra autoestima.
Efectos Estéticos de la Periodontitis
- Encías retráctiles: La periodontitis provoca la retracción de las encías, exponiendo partes del diente que normalmente deberían estar cubiertas.
- Pérdida de tejido gingival: La inflamación crónica causada por la periodontitis puede llevar a la pérdida de tejido gingival.
- Espacios entre los dientes: La formación de bolsas entre los dientes y las encías debido a la periodontitis puede provocar la separación de los dientes, creando espacios no deseados.
- Manchas y decoloración: La acumulación de placa y sarro asociada con la periodontitis puede causar manchas y decoloración en los dientes.
Cuando la periodontitis ha dejado su huella en la estética de tu sonrisa, las carillas dentales emergen como una solución innovadora y eficaz para restaurar la apariencia natural y la confianza en tu expresión. Las carillas dentales actúan como una cubierta protectora que se adhiere a la superficie de los dientes visibles. Estas carillas están diseñadas para corregir una variedad de problemas estéticos, desde decoloración y manchas hasta irregularidades en la forma y el tamaño de los dientes.

Beneficios de las Carillas Dentales en Casos de Periodontitis
Cuando la periodontitis ha dejado su marca en la estética dental, las carillas dentales se presentan como una opción destacada para restaurar la salud y la belleza de tu sonrisa.
- Restauración estética completa: Las carillas dentales ofrecen una solución completa para mejorar la apariencia de los dientes afectados por la periodontitis.
- Corrección de irregularidades dentales: Las carillas son excepcionalmente eficaces para corregir irregularidades en la alineación y la forma de los dientes.
- Mejora de la autoestima: La estética dental desempeña un papel crucial en la autoestima y la confianza. Al optar por carillas dentales para tratar los efectos de la periodontitis, los pacientes en Barcelona pueden experimentar una mejora significativa en su autoimagen.
- Minimización de daño adicional: Dado que las carillas dentales implican una preparación mínima del esmalte dental existente, se minimiza el daño adicional a los dientes afectados por la periodontitis.
- Resultados duraderos y resistentes: Las carillas dentales están fabricadas con materiales de alta calidad y son resistentes al desgaste diario.
- Proceso de aplicación eficiente: El proceso de aplicación de carillas dentales es eficiente y relativamente rápido.
¿Cuánto Cuestan las Carillas Dentales?
El precio de las carillas dentales varía según de qué material estén confeccionadas. Para tener una idea más precisa del precio de las carillas dentales en toda la boca, te recomendamos que nos contactes directamente para obtener más información sobre y los diferentes planes de financiación que tenemos disponibles.
| Tratamiento | Precio |
|---|---|
| Carilla sobre diente de disilicato de litio | *Consultar |
| Financiación | **Importe mínimo: 144€ |
*Incluye carilla sobre diente de disilicato de litio. Revisión y seguimiento.
**Ejemplo de financiación para un importe de 604,00€ en 12 meses. Comisión de formalización del 2,00%: 12,08€ a pagar en la primera cuota. Importe financiado: 604,00€. Primera cuota de 64,47€. 10 cuotas de 52,39€ y una última cuota de 52,35€. TIN 7,45% TAE 11,82%. Total intereses: 24,64€. Coste total del crédito: 36,72€. Importe total adeudado y precio total a plazos: 640,72€. Precio de adquisición al contado: 604,00€. Sistema de amortización francés. Financiación ofrecida por Banco Cetelem S.A.U.