En la actualidad, la estética dental se ha convertido en una prioridad para muchas personas, y las celebridades no son la excepción. Los tratamientos de estética dental se desarrollan de forma única, personalizada y en función de cada paciente, debido a que cada cavidad bucal es un mundo distinto por explorar y descubrir.
Muchos 'millennials' habrían deseado tener opciones más allá de los tradicionales brackets durante su adolescencia. La ortodoncia invisible ha revolucionado los tratamientos de alineación dental, convirtiéndose en una alternativa popular. De hecho, hoy en día, junto con los blanqueamientos dentales, es el servicio más solicitado en clínicas a nivel mundial.
A continuación, exploraremos cómo algunas celebridades han transformado sus sonrisas con la ayuda de la ortodoncia invisible y las carillas dentales.
Ortodoncia Invisible: El Secreto Mejor Guardado
El Invisalign se ha convertido en pocos años en un método cómodo y rápido para corregir la posición de los dientes, respondiendo sobre todo a una petición estética y encontrando en los adultos su mejor público. A diferencia de otros tratamientos, el Invisalign resulta prácticamente imperceptible, aspecto clave para que haya desterrado a las ortodoncias tradicionales entre adultos.
A través de férulas transparentes desarrolladas de forma única y personal para cada cliente, se consigue mover los dientes hasta alinearlos en el diseño creado por el ortodoncista. Tras la fijación de ataches, relieves de composite que se pegan al diente para sujetar las férulas y que permiten los micromovimientos dentarios, se coloca una férula transparente que el paciente debe llevar durante 22 horas al día -solo debe quitársela para comer y lavar los dientes-.
Las férulas se van cambiando de forma periódica según la dentadura vaya moviéndose en la dirección adecuada.
Este tipo de ortodoncias invisibles reducen considerablemente el tiempo de duración del tratamiento, pero requieren responsabilidad por parte del paciente. A la correcta higiene se le suma la exigencia de llevar el alineador 22 horas al día, cambiar las férulas en el tiempo correspondiente y acudir a la reglamentaria revisión mensual, exigencias que encajan más con los adultos.
Muchos famosos han reconocido utilizar el sistema Invisalign para corregir su dentadura. Si no lo cuentan, es difícil darse cuenta. El éxito de la ortodoncia invisible es el conjunto de fundas transparentes que van corrigiendo la dentadura sin que nadie lo note.
Algunos ejemplos notables incluyen a David Broncano, Nuria Roca, e incluso miembros de la realeza como el rey Juan Carlos y Máxima de Holanda, quienes han optado por esta técnica para alinear sus dientes de manera discreta.
¿COMO FUNCIONA LA ORTODONCIA INVISIBLE INVISALIGN? ¡ASI MUEVEN LOS DIENTES LOS ALINEADORES DENTALES!

El Caso de Mariló Montero
A sus 56 años, Mariló Montero forma parte de ese selecto grupo de celebrities que mantiene a raya el paso de los años. Su piel de tono uniforme y libre de manchas, su cabello con unos potentes rizos que muestra o alisa a su gusto y, desde hace unos meses, una sonrisa cada vez más alineada. A través de Instagram, la presentadora de televisión retransmite con regularidad cómo evolucionan sus dientes con la ortodoncia invisible Invisalign, el método favorito de las celebrities.
El problema de su dentadura se encontraba en sus dientes inferiores que se “apelotonaban” en el centro, algo que no molestaba a Mariló pero que, visto en consulta, llevó a la presentadora a tomar la decisión de alinearlos.
En el caso de Mariló, el buen comportamiento de sus dientes inferiores ha hecho que tenga que cambiarse las férulas cada menos tiempo. La presentadora comenzó cambiando de férula cada 15 días -dos férulas al mes- y ahora ya lo hace cada semana. El buen hacer de la presentadora también influye en el rápido movimiento de la dentadura, algo que la doctora recalca cada vez que la paciente acude a consulta una vez al mes.
La navarra comenzó su tratamiento en abril y ahora, 6 meses más tarde, ha llegado al momento del refinamiento. Cuando se termina el uso de las férulas previstas para corregir el movimiento de los dientes, el experto debe revisar el resultado y valorar si se precisa el desarrollo de más férulas para perfeccionar.
Al igual que todos ellos, en tan solo unos meses, Mariló Montero ha observado cómo sus dientes se movían hasta conseguir una mayor armonía, algo en lo que no había reparado hasta entonces, pero que tiene mucho valor para la presentadora. "La sonrisa es lo más importante que hay", aseguraba desde la propia consulta del dentista, animando a sus seguidores a hacer preguntas y resolver dudas sobre el tratamiento de moda.
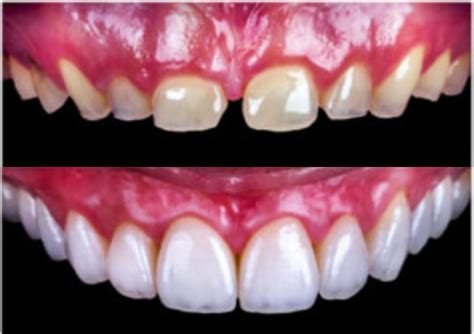
Carillas Dentales: La Transformación Definitiva
En la actualidad el uso de estas carillas es el tratamiento más demandado y utilizado en los centros odontológicos, ya que el 85% de las personas que nos visitan no solo lo hacen en busca de solucionar sus patologías periodontales o que sencillamente les devuelva su salud bucodental, sino que se enfocan en someterse a aquellos métodos que les proporcionen una mejor estética de su boca.
Y es que como es de saber nuestros actores favoritos o personajes de la televisión no nacieron con su sonrisa o mordida perfecta, ni mucho menos ha sido herencia genética por los dioses o por la naturaleza. ¡Sí, así como lo lees! Entre ellos tenemos las famosas carillas dentales para llegar a ser esa imagen pública tan reconocida y popular.
Las carillas dentales permiten corregir forma, tamaño, posición y color de nuestros dientes. Existen dos tipos en función del material empleado: de porcelana y composite.
Considerado el mejor futbolista de todos los tiempos, utilizó aparatos de ortodoncia siendo más joven y luego decidió utilizar carillas dentales de porcelana. En su juventud tenía los dientes algo inclinados y opacos.
Esta famosa cantante, actriz y filántropa solucionó sus problemas de disparidad en los tamaños de sus piezas dentales utilizando las carillas de porcelana.
Ejemplos de Celebridades y sus Problemas Dentales
A continuación, se presentan algunos ejemplos de cómo las celebridades han abordado sus problemas dentales:
- Zac Efron: Presentó un diastema interincisivo en la línea media superior, ocasionándole una maloclusión.
- Cristiano Ronaldo: Este futbolista presentó un problema de mordida debido a la ausencia congénita del incisivo lateral superior derecho, ocasionándole un desplazamiento dental. A su vez, tenía una tonalidad oscurecida y amarillenta en su dentadura.
- Miley Cyrus: Presentó un apiñamiento dental leve en sus piezas frontales, lo que conllevó a la superposición de sus piezas.
- Madonna: En su juventud padeció de diastema incisivos centrales, lo que le ocasionó espacios entre sus incisivos.
- Lindsay Lohan: Sufrió de manchas en sus piezas dentales, tonalidades amarillentas y los tamaños de las mismas eran realmente pequeñas.
- George Clooney: Presentó desgaste dental a causa de un problema llamado bruxismo generando el rechinamiento dental tras varios episodios de estrés.
- Matthew McConaughey: Exhibió una maloclusión en sus piezas frontales superiores, con un leve diastema, disparejos y amarillentos.
- Selena Gomez: Tuvo una inclinación en sus piezas dentales, lo que le causó una diferencia de tamaño entre sus incisivos centrales.
Blanqueamiento Dental: El Toque Final
El paso del tiempo, el consumo de tabaco o café y diferentes enfermedades bucodentales pueden hacer que tus dientes se vuelvan amarillos y aparezcan manchas. Sin duda, el blanqueamiento es otro de los secretos dentales de los famosos para lucir sonrisas relucientes y brillantes. El procedimiento más efectivo se centra en el uso de férulas con gel blanqueador y una sesión con lámpara de luz fría.
El Caso de Ana de Armas
Ana de Armas ha ido creciendo en su carrera como actriz desde que comenzó en 2007 hasta la actualidad. La intérprete también ha tenido una evolución en cuanto a su estilo y a su físico. La doctora Patricia Bratos, cofundadora de la Clínica Dental Ferrus & Bratos y especialista en Ortodoncia, nos explica cuáles son los tratamientos dentales a los que la actriz se habría sometido en los últimos años.
La doctora comprueba que, en sus inicios ante la pequeña pantalla, Ana de Armas tenía "los dientes ligeramente torcidos", algo que se apreciaba "en sus incisivos centrales y en los colmillos". "En una sonrisa amplia como la suya, estas piezas dentales resultan muy visibles al hablar o sonreír. Por ello, el hecho de que estuvieran desalineadas restaba estética a su imagen", explica la ordotoncista.
En 2015 reapareció para presentar una nueva película y fue entonces cuando se pudo ver un nuevo cambio en su boca que, según la doctora, fue gracias a una ortodoncia. "Mientras posaba frente a las cámaras, pudimos apreciar cómo sus dientes ya estaban completamente alineados. Al no tener un apiñamiento muy severo, es posible que su tratamiento haya tenido una duración relativamente corta, de entre 12 y 14 meses", explica.
Patricia Bratos cree que se trata de un blaqueamiento más carillas. "Durante el evento Comic-Con de 2017, la actriz lucía unos dientes brillantes e impolutos, resultado de haberse colocado carillas dentales", asegura. Estas son "finas láminas de porcelana" que se pegan en la superficie de los dientes y permiten modificar su forma, tamaño y color.

Tratamientos al Alcance de Todos
Los tratamientos de estética dental de los famosos ahora ya están al alcance de todos. En Clínica Ruiz de Gopegui nuestros especialistas se asegurarán específicamente de proponerte y ofrecerte la solución en relación con el tratamiento que mejor se acomode a tus necesidades, gustos, grado de afección o situación actual.
La ventaja que ofrece este tipo de tratamiento es que son totalmente indoloras.
En Salud Dental Blanco estamos especializados en este tratamiento. En nuestras clínicas dentales de Madrid tenemos más de 23 años de experiencia recuperando sonrisas. Y ahora, si lo necesitas, tú también puedes conseguirlo.
Tabla Resumen de Problemas Dentales y Soluciones de Celebridades
| Celebridad | Problema Dental | Solución |
|---|---|---|
| Zac Efron | Diastema interincisivo | Carillas dentales |
| Cristiano Ronaldo | Maloclusión, dientes oscurecidos | Ortodoncia, carillas de porcelana |
| Miley Cyrus | Apiñamiento dental | Ortodoncia |
| Madonna | Diastema incisivos centrales | Carillas dentales |
| Ana de Armas | Dientes ligeramente torcidos | Ortodoncia, blanqueamiento, carillas |