El sarro en los dientes y los diastemas son problemas comunes que afectan a personas de todas las edades. A continuación, exploraremos en detalle qué son, sus causas, cómo tratarlos y cómo prevenirlos, para mantener una sonrisa saludable.

¿Qué es el Sarro Dental?
El sarro dental, también conocido como cálculo, no es más que la acumulación de placa bacteriana en nuestros dientes y encías. Es decir, es la mineralización y calcificación de la placa dental, a la que se irán adhiriendo bacterias orales y otras sustancias, como la saliva o el calcio, formando una capa dura y amarillenta.
Según la encuesta de Salud Oral en España (2020), más del 30% de los adolescentes lo padecen, en torno a un 67% de los adultos también y más de 70% de los mayores de 65 años sufren esta patología.
Causas del Sarro Dental
Como hemos visto, el sarro se produce por la acumulación de bacterias y otras sustancias en la placa bacteriana, la cual con un cepillado y una correcta higiene bucodental puede eliminarse. Así pues, la principal causa de la aparición del sarro es una mala higiene bucodental. Otra causa de la aparición del sarro es la malposición de los dientes.
Tratamiento del Sarro Dental
A diferencia de la placa bacteriana que se puede eliminar en casa, el sarro dental no puede eliminarse con un cepillado de dientes. Para eliminar el sarro en los dientes, utilizamos un tratamiento profesional llamado tartrectomía o raspado radicular.
Prevención del Sarro Dental
La principal forma de evitar el sarro es manteniendo una higiene bucodental correcta. Para ello, lo ideal es cepillarse los dientes después de cada comida, con un mínimo de dos veces al día. Pero debe hacerse de forma correcta y concienzudamente, sin olvidarnos del hilo dental o cepillos interproximales. Para ello, solemos aconsejar dividir la boca en cuatro sectores: dos arriba y dos abajo.
También es importante limpiar la lengua, pues en ella se acumula gran cantidad de bacterias. Para limpiarla, hay que cepillarla varias veces desde la parte más interna hasta la punta.
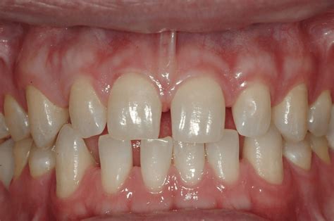
¿Qué es un Diastema Dental?
🦷¿QUÉ ES UN DIASTEMA DENTAL?🦷
Un diastema es el espacio que existe entre dos piezas dentales, incluyendo las muelas, es decir, el clásico problema de los dientes separados. Suele presentarse, sobre todo, entre los incisivos superiores centrales, comúnmente llamados «paletas» y suele ser un rasgo bastante distintivo en niños que aun están en pleno desarrollo.
De hecho, en los niños suele aparecer con frecuencia, pero, al contrario de lo que muchas personas creen, es algo totalmente normal, ya que indica que hay hueco suficiente para que los dientes definitivos se coloquen en la posición correcta cuando llegue el momento oportuno.
No debemos olvidar que los dientes definitivos son más grandes y ocupan más espacio que los dientes de leche que desarrollamos poco después de nacer. Así, en un desarrollo normal, esos huecos irán desapareciendo cuando vaya saliendo la dentadura definitiva.
Sin embargo, en la edad adulta, los diastemas dentales pueden aparecer por diferentes causas y en estos casos sí que tendremos que analizar la situación para tratar de ponerle remedio. De ello hablaremos a continuación.

Causas de los Diastemas Dentales
Son muchas las causas que pueden llevar a que un adulto presente diastemas o dientes separados en un momento u otro de su vida. Los más comunes son:
- Pérdida de una pieza dental: Perder un diente o una muela deja un hueco en la boca que podría provocar que los dientes se vayan separando con el tiempo. Por eso es importante no dejar pasar el tiempo y preparar un implante dental que permita llenar el hueco dejado por el diente original para evitar movimientos en el resto de la dentadura.
- Interponer o empujar la lengua contra los dientes: A veces esto ocurre de forma involuntaria, pero en otros casos puede deberse a que la lengua sea demasiado grande. Mucha gente tiende a empujar la lengua contra los dientes mientras duerme. Pasar tantas horas todos los días haciendo presión con la lengua al dormir, termina provocando movimientos y separaciones de las piezas dentales.
- Frenillo grueso: Tener un frenillo demasiado grueso puede provocar que los dientes de la parte superior de la boca no tengan espacio suficiente para colocarse correctamente. Esto da como resultado la aparición de piezas malposicionadas o giradas en mayor o menor medida.
- Dientes pequeños: Esta condición se presenta, normalmente, de forma genética. En este caso no hay muchas opciones de evitar el problema: si tienes los dientes pequeños siempre quedará espacio libre para que los dientes se separen y se muevan.
- Maxilares con tamaños distintos a otras piezas dentales: Un maxilar con un tamaño especialmente grande o pequeño provocará que el resto de los dientes se vean obligados a desplazarse del espacio que les corresponde habitualmente.
¿Los Diastemas Pueden Ser Peligrosos para la Salud?
Aunque un diastema no supone un peligro, es recomendable que las personas que sufran esta patología mantengan una buena higiene bucal, ya que será más fácil que se acumulen bacterias o restos de comida en el espacio entre los dientes.
El cepillado diario y el uso de hilo dental es fundamental en la rutina diaria. También recomendamos acudir al dentista con más frecuencia para evitar que se acumulen sarro y bacterias que puedan provocar infecciones a largo plazo.
Aunque los diastemas no son peligrosos para la salud dental, sí pueden aparecer problemas. Algunos están relacionados con las encías, ya que, al estar más expuestas, se pueden producir lesiones. Otros pueden derivar en aumento de caries, problemas de mordida o fonación, dolores de cuello o cabeza o, incluso, molestias musculares.
Recomendamos que, de manera periódica, se realice una limpieza dental profesional, ya que los odontólogos contamos con los recursos necesarios para limpiar piezas dentales y encías adecuadamente.
¿Se Puede Corregir un Diastema Dental?
Sí. Existen varias opciones que podemos llevar a cabo para corregir los diastemas y evitar los posibles problemas comentados anteriormente. Como dentistas especializados debemos hacer evaluaciones exhaustivas a los pacientes con estas afecciones, ya que no todos se tratan de la misma manera. Será necesario determinar el tipo para saber qué tratamiento es más efectivo en cada caso. Los más empleados son:
- Ortodoncias para movilizar las piezas dentales paulatinamente.
- Fundas dentales, sobre todo, en piezas dentales frontales. Las fundas se han convertido en una de las opciones preferidas por aquellas personas que necesitan dar estabilidad y proteger los dientes dañados.
- Implantes, tratamiento a efectuar en pacientes que hayan perdido algún diente. De esta forma evitamos que ese hueco provoque separaciones en la dentadura.
- Frenectomía para eliminar un problema asociado a un frenillo demasiado fibroso.
Diastema según la edad del paciente
Dientes separados en bebés y niños
El diastema en bebés es algo muy común y no hay por qué asustarse. Es habitual que los bebés tengan los dientes de leche separados y estos no estén perfectamente alineados. Esta separación en los dientes es normal e incluso, deseable, ya que los dientes de leche son bastante más estrechos que los definitivos.
Diastema en adultos
Una vez que hayan salido los dientes definitivos, el diastema puede ser, como ya hemos visto, localizado o generalizado. Puede ser necesario tratarlo por motivos de salud o por razones puramente estéticas.
Muchos adultos optan por corregir la separación de dientes por razones estéticas, pero también porque sienten incomodidad a la hora de comer, ya que los alimentos se quedan entre los dientes con mayor facilidad. El diastema en adultos favorece la acumulación de placa bacteriana que puede desembocar en caries y otros problemas más graves.
Riesgos de no corregir el diastema
Te recordamos que no todos los casos de diastema son un problema de salud, pero cuando lo son, es importante tratarlo lo antes posible.
El diastema puede provocar un desequilibrio en la mandíbula y en la fuerza ejercida sobre los dientes. Este desequilibrio puede provocar con el paso del tiempo un desgaste:
- Del esmalte
- De las encías
- De la estructura ósea
El diastema también puede causar molestias a la hora de comer y crear caries.
Es necesario mantener una excelente higiene oral y utilizar hilo dental después de cada comida, ya que los restos de alimentos favorecen la aparición de:
- Placa bacteriana y sarro
- Caries
- Mal aliento
¿Cómo corregir los dientes separados?
El primer paso para corregir el diastema es conocer el origen y la causa que lo ha provocado. Un buen diagnóstico permite aplicar un tratamiento adecuado a cada caso para conseguir el cierre de diastema y obtener los resultados deseados:
- Coronas dentales: Se recomiendan en situaciones en las que la ortodoncia no puede tratar el problema. Es el caso de los pacientes con dientes pequeños (espacios generalizados), en los que habrá que colocar coronas en la gran mayoría de los dientes para obtener un resultado estético.
- Frenectomía: Se trata de una cirugía mínimamente invasiva que consiste en intervenir en el freno del labio superior, responsable de la separación de los dientes. Después de este procedimiento, normalmente, se usa ortodoncia como complemento para corregir el diastema.
- Ortodoncia: La mayoría de los casos de diastema requieren un tratamiento de ortodoncia. Hoy en día existen muchas opciones ortodónticas para tratar el espacio entre los dientes: brackets metálicos, de cerámica, transparentes, aparatos linguales o alineadores invisibles. La duración total del tratamiento de ortodoncia viene determinada por la complejidad del caso de cada paciente.
Prevención del Diastema Dental
Prevenir el diastema dental es posible mediante una serie de prácticas y hábitos saludables que promuevan una buena salud bucal desde una edad temprana.

Hábitos a evitar
Algunos hábitos pueden contribuir a la aparición del diastema dental, especialmente en niños:
- Chuparse el dedo: Este hábito, común en los niños pequeños, puede ejercer presión sobre los dientes frontales, causando separación con el tiempo.
- Uso prolongado del chupete: Similar al chuparse el dedo, el uso prolongado del chupete puede afectar la alineación de los dientes.
- Empuje lingual: El hábito de empujar los dientes con la lengua puede contribuir al diastema.
- Hábitos de respiración oral: Respirar por la boca en lugar de la nariz puede afectar la alineación de los dientes.
Mitos sobre el Diastema Dental
El diastema dental es un tema que a menudo está rodeado de malentendidos y mitos. A continuación, desmentiremos algunos de los más comunes:
- No todos los casos de diastema dental necesitan tratamiento. En muchos casos, el diastema es una característica estética que no afecta la salud bucal.
- Aunque el diastema es común en los niños debido a la caída de los dientes de leche y la erupción de los dientes permanentes, los adultos también pueden tenerlo.
- La genética puede jugar un papel en la formación del diastema dental, pero no es la única causa. Factores como hábitos orales, problemas de frenillo labial y la pérdida prematura de dientes también pueden contribuir al desarrollo de espacios entre los dientes.
- Aunque muchas personas buscan tratamiento para el diastema por razones estéticas, los espacios entre los dientes pueden tener implicaciones funcionales. Puede contribuir a problemas como la acumulación de placa, caries, y enfermedades periodontales si no se mantiene una higiene bucal adecuada.
- Existen múltiples opciones de tratamiento para el diastema dental, y los brackets no son la única solución. Dependiendo de la causa y la severidad del diastema, otras opciones pueden incluir alineadores transparentes, carillas de porcelana, bonding dental y cirugía del frenillo.
tags: #separacion #de #dientes #por #sarro