Una pregunta muy repetida es: ¿desgastan los dientes las limpiezas dentales? Existe la creencia popular de que hacerse una limpieza dental puede hacer daño al esmalte de los dientes, pero no es así. Sin embargo, la idea de que una limpieza dental profesional puede causar daños a los dientes es falsa.
En este artículo te explicamos qué es el sarro dental, cómo se forma, sus principales señales de alerta y los métodos profesionales para eliminar el sarro de forma segura.
Nº1 REMEDIO CASERO para ELIMINAR la PLACA, el SARRO y PREVENIR la CARIES
¿Qué es el Sarro Dental?
El sarro dental, también llamado tártaro o cálculo dental, es una placa bacteriana endurecida que se acumula en los dientes. Se forma cuando la placa dental (una película pegajosa de bacterias y residuos) no se elimina a tiempo con la higiene diaria, entonces los minerales de la saliva la calcifican, volviéndola una capa dura adherida al diente.
Esta capa sólida se fija fuertemente a la superficie dental y no puede retirarse con el cepillado normal. Es un problema común: todos desarrollamos placa a diario, y si no la removemos eficazmente, acabará transformándose en sarro visible.
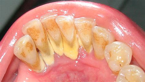
A diferencia de la placa dental, que es blanda y transparente, el sarro es duro, tiene una textura rugosa y suele tener un color amarillo o marrón que mancha los dientes. Además, mientras la placa puede quitarse fácilmente cepillando y usando hilo dental, el sarro no puede eliminarse con métodos caseros una vez formado.
Esta distinción es importante, ya que el sarro acumulado actúa como superficie de adherencia para más placa, creando un círculo vicioso que agrava los problemas bucodentales. En resumen, el sarro es placa dental que se ha endurecido con el tiempo, volviéndose mucho más difícil de eliminar y más dañino para la salud oral.

Ejemplo de sarro dental visible en la superficie de los dientes.
¿Cómo se Forma el Sarro?
El sarro aparece debido a una higiene oral insuficiente. Si no nos cepillamos bien los dientes ni usamos hilo dental con regularidad, la placa bacteriana se acumula y termina mineralizándose, aunque existen otros factores que favorecen la formación de sarro:
- Dieta alta en azúcares y almidones: las bacterias de la placa proliferan con alimentos azucarados o carbohidratos fermentables.
- Higiene inadecuada: cepillarse menos de dos veces al día o no limpiar entre dientes facilita que la placa se endurezca.
- Tabaquismo: fumar o usar productos de tabaco aumenta significativamente la acumulación de placa y sarro.
- Boca seca: la falta de saliva (por ciertos medicamentos o condiciones) impide la “autolimpieza” natural, contribuyendo a más placa.
- Dientes mal alineados o aparatos: dientes apiñados, prótesis mal ajustadas o brackets crean áreas de difícil limpieza donde el sarro puede formarse fácilmente.
- Edad avanzada: con la edad suele haber mayor propensión a acumulación de depósitos calcificados.
Tipos de Sarro Dental
Existen dos tipos de sarro:
- Sarro supragingival: es el que se puede observar a simple vista.
- Sarro subgingival: no es visible y es el más perjudicial para las encías y los tejidos de soporte del diente (hueso).
Señales de Alerta del Sarro Dental
Es importante comprender que, en ocasiones, el sarro subgingival (bajo las encías) no es fácilmente visible. Un dentista puede diagnosticar su presencia en una revisión rutinaria, identificando las capas endurecidas en los dientes o debajo de la encía.
Si se sospechan complicaciones derivadas, como caries ocultas o enfermedad periodontal, el odontólogo podría realizar radiografías dentales o medir la profundidad de las bolsas gingivales para evaluar el daño.
En resumen, cualquier decoloración dura en los dientes, junto con encías irritadas o mal aliento que no mejora, son señales claras de acumulación de sarro.
Consecuencias de No Quitar el Sarro a Tiempo
Dejar que el sarro se acumule sin tratamiento no solo afecta la apariencia de tu sonrisa, sino que puede derivar en problemas serios de salud bucodental. Entre las principales consecuencias de no quitar el sarro a tiempo se encuentran:
- Caries dental: el sarro facilita la acumulación de bacterias ácidas que desmineralizan el esmalte. Con el tiempo, esto provoca agujeros en el diente (caries) si no se interviene. El esmalte debilitado por debajo de la placa calcificada se vuelve vulnerable a las caries.
- Gingivitis: el sarro irrita las encías constantemente. Esto causa inflamación, enrojecimiento y sangrado gingival. La gingivitis es una inflamación reversible de las encías, pero es la etapa inicial de problemas mayores.
- Periodontitis: si la gingivitis no es tratada, puede transformarse en periodontitis, una enfermedad grave de la encía y el hueso. En la periodontitis la infección y el sarro suben por debajo de la encía destruyendo el hueso y el tejido de soporte del diente, lo que puede llevar a la pérdida de piezas dentales. El sarro subgingival crónico es un detonante principal de la periodontitis.
- Recesión de encías: la presencia prolongada de sarro puede hacer que las encías se retraigan, dejando expuesta mayor parte del diente o raíz (aspecto de “dientes más largos”). Esta retracción provoca sensibilidad dental y facilita aún más la acumulación de placa en esas zonas expuestas.
- Manchas y deterioro estético: al ser poroso, el sarro absorbe fácilmente pigmentos de alimentos y bebidas (como café, té, vino tinto), volviendo los dientes más amarillentos u oscurecidos. Por ello, es común que las personas con mucho sarro sufran halitosis crónica hasta que no se elimine la acumulación.
Es importante destacar que el sarro no es solo un depósito inofensivo: puede derivar en infecciones, destrucción del diente o del hueso de soporte, mal aliento y eventualmente la pérdida dental. Por ello, es fundamental tratarlo a tiempo. Mantener las encías sanas y el esmalte libre de depósitos calcificados ayudará a prevenir estas complicaciones.

La periodontitis puede llevar a la pérdida de dientes si no se trata a tiempo.
¿Cómo Prevenir la Formación de Sarro?
La mejor estrategia es prevenir el sarro. Si evitamos que la placa bacteriana se endurezca, no tendremos que enfrentarnos a las consecuencias del sarro.
Las siguientes prácticas de higiene y hábitos saludables ayudan a mantener el sarro a raya:
- Cepillado dental correcto: cepilla tus dientes al menos dos veces al día (idealmente después de cada comida) usando un cepillo de cerdas suaves y pasta dental con flúor. Dedica unos 2 minutos en cada cepillado, asegurándote de cubrir todas las superficies de cada diente, incluyendo la zona cerca de la encía y los molares posteriores. Un buen cepillado elimina la placa antes de que se endurezca.
- Uso de hilo dental diario: limpia entre los dientes una vez al día con hilo dental o cepillos interdentales. El cepillado por sí solo no remueve la placa que se acumula entre las piezas dentales, por lo que el hilo es indispensable para evitar depósitos en esas áreas estrechas.
- Enjuague bucal antiséptico: utiliza un enjuague bucal sin alcohol con agentes antibacterianos una o dos veces al día. Esto ayuda a reducir la cantidad de bacterias en la boca que forman la placa. Un colutorio fluorado además puede fortalecer el esmalte.
- Dieta equilibrada y baja en azúcar: modera el consumo de alimentos azucarados y bebidas carbonatadas, así como de carbohidratos refinados. Las bacterias de la placa prosperan con el azúcar, produciendo los ácidos que dañan el esmalte. Llevar una dieta sana, rica en vegetales, frutas y agua, reduce el combustible de esas bacterias. Si consumes dulces ocasionalmente, procura enjuagarte con agua o cepillarte después.
- No fumar: evita el tabaco en cualquiera de sus formas. Fumar no solo mancha los dientes, sino que incrementa notablemente la acumulación de sarro y el riesgo de enfermedad periodontal. Los fumadores suelen tener depósitos más tenaces y encías menos saludables.
- Visitas periódicas al dentista: acude a tu dentista o higienista dental al menos dos veces al año para una revisión y limpieza dental profesional. Incluso con buena higiene en casa, es necesaria una limpieza profesional regular para eliminar la placa endurecida incipiente en lugares de difícil acceso. Los odontólogos podemos, además, darte recomendaciones personalizadas; por ejemplo, aplicar selladores en molares si tiendes a tener caries, o pautar limpiezas más frecuentes si eres propenso a la acumulación de sarro.
Adoptar estos hábitos preventivos te ayudarán a mantener tus dientes libres de depósitos indeseados.
¿Qué Implica una Limpieza Dental Profesional?
Una limpieza dental, también llamada profilaxis dental, elimina la placa (una película pegajosa de bacterias que se forma en los dientes) y el sarro. El sarro es una placa endurecida y fuertemente adherida a la superficie del diente. Raspar y eliminar el sarro y la placa de la superficie de los dientes es el primer paso de una limpieza dental profesional.
Las limpiezas generalmente las realiza un profesional dental autorizado que está capacitado para eliminar el sarro y la placa que son imposibles de abordar por su cuenta. Entonces, ¿qué pasa en una limpieza dental? Una limpieza va más allá de las capacidades del simple cepillado y uso de hilo dental. El dentista comienza utilizando instrumentos especiales para eliminar la placa y el sarro de todas las superficies de los dientes. Luego usa hilo dental entre los dientes para limpiar las superficies a las que nuestros instrumentos no pueden llegar. El pulido cerca del final de tu visita crea un acabado suave y limpio.
Después de raspar el sarro de tus dientes, el higienista dental pulirá tus dientes con un instrumento electrónico. Después de pulir los dientes, el higienista dental utilizará un enjuague de flúor o aplicará un barniz de flúor en los dientes para fortalecer el esmalte dental y reducir el riesgo de caries.
Afortunadamente, sólo se utilizan dos productos químicos durante las limpiezas dentales, y ambos son suaves y seguros. La buena noticia es que el esmalte dental es extremadamente fuerte y puede soportar el tratamiento.
Sensibilidad Después de la Limpieza
Es cierto que se pueden sentir algunas molestias si ha pasado mucho tiempo desde la última limpieza. Esta sensibilidad pasa en pocos días, y la limpieza periódicamente es necesaria. Lo más común es hacerse una limpieza una vez al año, pero dependiendo de cada situación puede hacerse más seguido. Cada seis meses o incluso cada tres meses.
Es normal tener sensibilidad después de una higiene dental, y se verá acentuada en los pacientes que acumulen más sarro. En los casos en que el sarro haya afectado al hueso que tenemos detrás de la encía, una vez lo eliminamos, la encía baja (se retrae), dejando una parte de la base del diente descubierta y pudiendo generar sensibilidad en esa zona.
Estas leves molestias irán mejorando gradualmente y desaparecerán en un par de días sin necesidad de tratamiento. Después de este tiempo, es importante seguir cuidando los dientes para mantener los resultados durante el mayor tiempo posible. También puedes utilizar un dentífrico y un cepillo especial para dientes sensibles y evitar comer alimentos o tomar bebidas a temperaturas extremas durante unos días.
¿Las Limpiezas Dentales Dañan el Esmalte?
Al quedar libre estos espacios y retirar el sarro de la encía de los dientes, ésta queda mucho más expuesta. El esmalte recubre los dientes y los protege de las bacterias que se producen por los restos de bebidas o comidas. Cuando se nota un cambio en la boca después de hacerse las limpiezas con el dentista puede pensarse que esto disminuye la capa exterior de los dientes.
A algunas personas les preocupa que las limpiezas dentales dañen el esmalte o la fina capa exterior del diente. Aunque el esmalte es fino, también es más duro de lo que crees. Un dentista no puede romper el esmalte con simples herramientas dentales. Sin embargo, la erosión del esmalte ocurre durante un largo período de tiempo cuando se consume una dieta rica en azúcares, almidones y alimentos ácidos.
A veces parece que hay un nuevo hueco entre los dientes, especialmente si la limpieza ha eliminado una acumulación importante de sarro entre los mismos.
Remedios Caseros para Eliminar el Sarro: ¿Son Seguros?
Muchas personas buscan cómo eliminar el sarro en casa. En internet circulan diversos remedios caseros y “trucos” populares, pero debemos ser cautelosos con ellos.
Entre los métodos caseros contra el sarro más mencionados están: enjuagues con vinagre o jugo de limón, cepillados con bicarbonato de sodio y sal, el uso de cáscaras de fruta o incluso instrumentales comprados por internet para raspar los dientes. La realidad es que ninguno de estos remedios puede eliminar el sarro de forma segura y completa una vez que se ha mineralizado en el diente.
A lo sumo, algunos podrían ayudar a aflojar la placa blanda o a pulir ligeramente manchas superficiales, pero el sarro adherido permanecerá intacto. Es importante entender las limitaciones y riesgos de estos “remedios” caseros:
- Los enjuagues ácidos (como limón o vinagre) pueden temporalmente despegar algo de placa, pero su uso frecuente daña el esmalte de los dientes debido a la acidez, provocando erosión y sensibilidad dental.
- El bicarbonato de sodio es un abrasivo suave que puede ayudar a pulir manchas, pero no disuelve el sarro duro. Usarlo en exceso también puede desgastar el esmalte y lastimar las encías.
- Los kits de herramientas metálicas para “limpiar sarro” en casa son peligrosos sin entrenamiento: utilizar objetos filosos en la boca puede cortar o irritar las encías, y si se aplica mal fuerza podría incluso astillar un diente. De hecho, los odontólogos advierten que intentar raspar el sarro uno mismo suele causar más perjuicio que beneficio. Podrías crear áreas ásperas en el diente que faciliten más acumulación bacteriana o empujar la infección más profundo.
En resumen: no te recomendamos intentar remover el sarro en casa. Solo profesionales entrenados pueden hacerlo de manera segura. La manera casera más eficaz de lidiar con el sarro es prevenirlo, siguiendo los hábitos descritos anteriormente. Una vez que la placa se ha endurecido, la única opción segura es acudir al dentista. Si te preocupa el sarro, en lugar de remedios milagrosos caseros, usa esa energía en mejorar tu rutina de higiene (cepillado, hilo, enjuague) y programa una limpieza dental profesional.
Limpieza vs. Blanqueamiento Dental
Cabe destacar la diferencia entre una higiene dental y un mantenimiento de encías. Con la higiene eliminamos la placa bacteriana de la parte visible del diente y hasta dos milímetros de la placa que hay detrás de la encía. Si vemos que hay placa bacteriana más profunda, recomendaremos realizar limpiezas más profundas con anestesia.
La limpieza y el blanqueamiento son dos procedimientos diferentes con propósitos distintos. La limpieza dental se centra en la salud bucal eliminando placa y sarro, mientras que el blanqueamiento se enfoca en mejorar la apariencia de los dientes al hacerlos más blancos.
Beneficios de la Limpieza Dental Profesional
Muchos pacientes suelen preguntar cada cuánto hay que hacer una limpieza dental y cuáles son sus beneficios. Una limpieza dental regular es esencial para mantener una buena salud bucal. Muchas personas se preguntan cuáles son los beneficios de una higiene dental profesional.
La limpieza dental ayuda a prevenir las caries eliminando la placa bacteriana y los restos de alimentos que se acumulan en los dientes. El sarro es una placa endurecida que se forma en los dientes y solo puede ser eliminado por un profesional dental. Las enfermedades de las encías, como la gingivitis y la periodontitis, pueden ser prevenidas con higienes dentales regulares. La acumulación de placa y sarro puede causar inflamación de las encías y, eventualmente, llevar a enfermedades más graves. El mal aliento es a menudo causado por la acumulación de bacterias en la boca.
Durante una limpieza, el dentista puede detectar problemas de salud bucal en sus etapas iniciales, como caries pequeñas o problemas de encías. Aunque una limpieza dental no es un tratamiento de blanqueamiento, puede ayudar a mantener los dientes más blancos al eliminar manchas superficiales causadas por alimentos y bebidas. La salud bucal está estrechamente relacionada con la salud general del cuerpo. Las bacterias en la boca pueden entrar en el torrente sanguíneo y causar problemas en otras partes del cuerpo, como enfermedades cardiovasculares. Tener dientes limpios y encías saludables puede mejorar significativamente la confianza en uno mismo.
Después de una limpieza dental, los dientes quedan más limpios y suaves. Los efectos de la limpieza dental incluyen dientes más limpios y brillantes, encías más saludables y una reducción del mal aliento. Las limpiezas dentales son altamente recomendables como parte de una rutina de cuidado bucal. Si no te haces limpiezas dentales regulares, puedes experimentar una acumulación de placa y sarro, lo que puede llevar a caries, enfermedades de las encías y pérdida de dientes.
Contraindicaciones de la Limpieza Dental
Aunque la limpieza dental es un procedimiento seguro, existen algunas contraindicaciones que deben tenerse en cuenta:
- Algunas personas pueden experimentar sensibilidad dental después de una limpieza, especialmente si tienen encías retraídas o esmalte dental desgastado.
- Si has tenido procedimientos dentales invasivos recientemente, como extracciones o implantes, es posible que necesites esperar antes de realizarte una limpieza.
- En raras ocasiones, algunas personas pueden ser alérgicas a los materiales utilizados durante la higiene dental, como los selladores o los agentes de pulido.
- Las personas con aparatos de ortodoncia pueden requerir técnicas especiales para la limpieza.
- Pacientes que toman medicamentos anticoagulantes deben informar a su dentista, ya que estos medicamentos pueden aumentar el riesgo de sangrado durante el procedimiento.
Tabla Resumen: Prevención y Consecuencias del Sarro Dental
| Aspecto | Prevención | Consecuencias de No Quitar el Sarro |
|---|---|---|
| Higiene Oral | Cepillado dental 2 veces al día, uso de hilo dental diario, enjuague bucal antiséptico | Caries, gingivitis, periodontitis |
| Dieta | Baja en azúcares y almidones, equilibrada | Aumento de la placa bacteriana y desmineralización del esmalte |
| Hábitos | No fumar | Mayor acumulación de sarro y riesgo de enfermedad periodontal |
| Visitas al Dentista | Revisiones y limpiezas profesionales al menos 2 veces al año | Detección tardía de problemas bucodentales |
En resumen, la limpieza dental es un procedimiento esencial para mantener una salud bucal óptima, con numerosos beneficios que van desde la prevención de enfermedades hasta la mejora de la apariencia de los dientes.