El bruxismo severo es una afección bucodental que va mucho más allá del simple acto de apretar o rechinar los dientes. El bruxismo es el hábito involuntario de apretar o rechinar los dientes, principalmente durante el sueño, aunque también puede presentarse durante el día. El apretar los dientes hasta hacerlos rechinar de manera involuntaria no tiene ninguna consecuencia positiva.

¿Qué es el Bruxismo?
El bruxismo es un hábito involuntario que hace que las personas que lo padecen aprieten o rechinen los dientes superiores con los inferiores. El bruxismo es más una respuesta fisiológica que una enfermedad en sí según algunos expertos. Se manifiesta de manera inconsciente a través de una presión añadida sobre la mandíbula. Quien lo padece presiona, durante el sueño, la mandíbula generando fricción entre los dientes.
Puede desencadenar sobrecarga en los tejidos de soporte del diente, desgaste e incluso pérdida del propio diente.
Manifestaciones del Bruxismo
El bruxismo y ATM no se manifiesta de una sola manera, sino que lo hace de tres formas principales:
- Rechinamiento: El rechinamiento o mejor conocido como apretar los dientes es la manifestación más frecuente de este trastorno. La presión y roce de mandíbula produce este rechinamiento. Constituye una de las formas más dañinas del bruxismo.
- Presión: La presión ocurre cuando no se genera movimiento en la mandíbula, el paciente solamente lo que hace es apretar los dientes.
- Tensión: Esta manifestación es una de las menos frecuentes dentro del bruxismo. No es fácil de detectar, ya que no deja ningún tipo de marca sobre las piezas dentales. Suele ocurrir en pacientes con problemas de respiración nasal.
Causas del Bruxismo Severo
El bruxismo y ATM suele manifestarse en personas que tienen trastornos del sueño como los ronquidos o la apnea. Por otro lado, también existen algunos factores relacionados con el estilo de vida de cada paciente en particular. Los síntomas del bruxismo nocturno indican un trastorno multifactorial que puede estar influenciado por factores físicos, emocionales y del estilo de vida. Aunque cualquier persona puede desarrollar este problema, hay ciertos factores que aumentan el riesgo de rechinar o apretar los dientes mientras duerme.

Factores Comunes:
- Estrés y Ansiedad: El estrés, la ansiedad, la depresión y otros trastornos psicológicos impactan de manera directa en el sueño, lo que puede producir un caso de bruxismo y ATM. Distintos estudios han mostrado que la gran mayoría de pacientes que sufren de bruxismo dental es a causa del estrés o la ansiedad. Muchas personas liberan la tensión acumulada durante el día apretando la mandíbula de forma involuntaria mientras duermen.
- Uso de Sustancias Psicoactivas: El bruxismo dental puede aparecer en los casos donde se utilizan sustancias psicoactivas que producen excitación o alteran el ritmo del sueño como el alcohol, la cafeína y otro tipo de drogas legales como ilegales. El consumo de cafeína, alcohol y tabaco antes de dormir puede aumentar la actividad muscular y provocar episodios de bruxismo.
- Oclusión Dental: Los dientes mal alineados pueden producir un desgaste poco natural de las piezas dentales. El cuerpo, de manera inconsciente, busca alinear y mejorar la oclusión. Sin embargo, esto produce un impacto negativo y agrava el cuadro pudiendo derivar en bruxismo y ATM. Las personas con desalineación dental o mordidas irregulares pueden ser más propensas al bruxismo nocturno.
- Trastornos del Sueño: El bruxismo nocturno se asocia con otros problemas del sueño, como el insomnio, la apnea del sueño y el síndrome de piernas inquietas. El bruxismo nocturno está estrechamente relacionado con trastornos del sueño como la apnea obstructiva del sueño; una condición en la que la respiración se interrumpe repetidamente mientras la persona duerme.
- Factores Genéticos: El bruxismo nocturno también puede tener un componente hereditario.
- Medicamentos: Algunos fármacos, especialmente los antidepresivos y medicamentos para el sistema nervioso central, pueden aumentar la incidencia de bruxismo nocturno.
Síntomas del Bruxismo Severo
Este trastorno de bruxismo se manifiesta de distintas maneras en los cuerpos. La más frecuente es apretar los dientes, pero se pueden encontrar casos donde los síntomas son sutiles y requieren de análisis precisos. Si no fuera por los síntomas del bruxismo nocturno, muchas personas no sabrían que padecen este problema, ya que sucede mientras dormimos. Identificar estos signos a tiempo es clave para prevenir daños en los dientes y la articulación temporomandibular (ATM). Los síntomas del bruxismo nocturno no solo causa molestias temporales, sino que puede generar daños progresivos en la salud bucal si no se trata. Si presentas síntomas recurrentes, es fundamental acudir a un odontólogo para evitar complicaciones graves.

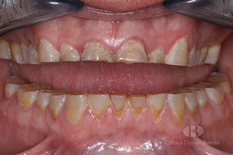
El síntoma más evidente es un desgaste notable del esmalte dental, lo que ocasiona sensibilidad extrema al frío, calor o alimentos dulces.
Signos y Síntomas Comunes:
- Desgaste de las Piezas Dentales: La manifestación más clara del bruxismo dental es el desgaste de los dientes que lleva a la sensibilidad de los cambios térmicos. El rechinamiento constante desgasta el esmalte dental, provocando que los dientes se vuelvan más sensibles al frío, calor o alimentos dulces. El esmalte es la capa más dura y protectora de los dientes. Pero el bruxismo nocturno puede desgastarlo rápidamente debido a la fricción constante entre los dientes superiores e inferiores.
- Dolor en la Mandíbula y de Cabeza: Unos de los principales signos de alarma y por los que el paciente suele acudir a consulta son el dolor en la mandíbula y de cabeza. Uno de los signos más evidentes del bruxismo nocturno es el dolor en la mandíbula, los dientes o la articulación temporomandibular (ATM) al despertar. Esta molestia se debe a la tensión acumulada durante la noche, cuando los músculos maxilares trabajan en exceso. Los problemas de bruxismo y ATM son trastornos graves que pueden acabar generando alteraciones graves en la mandíbula e, incluso, dañar los dientes además de dar como resultado dolores de cabeza constantes e incomodidades cervicales, entre otros.
- Ruidos e Inflamación de la ATM: El bruxismo y ATM se manifiesta en una ATM inflamada por la tensión que se ejerce sobre la zona causando dolor y, en los casos más graves, acúfenos. Por otro lado, también es posible notar chasquidos en la zona de la mandíbula al apretarla. Los pacientes con bruxismo nocturno pueden experimentar chasquidos, crujidos o ruidos articulares al mover la mandíbula. Estos sonidos pueden ser una señal de que la ATM está afectada y requiere atención especializada.
- Dificultad para Abrir y Cerrar la Boca: El esfuerzo excesivo que realizan los músculos de la mandíbula durante la noche puede provocar rigidez en la articulación temporomandibular (ATM). El bruxismo nocturno puede afectar la movilidad de la mandíbula y dificultar acciones básicas como masticar, bostezar o abrir completamente la boca.
- Dolor en Cuello y Oídos: Esto se debe a que la articulación temporomandibular está conectada a otros músculos y estructuras del cráneo.
- Ruido de Rechinamiento: En muchos casos, el bruxismo nocturno es escuchado por la pareja o familiares.
- Abfracción: Es decir, la pérdida de esmalte en el cuello del diente.
Complicaciones del Bruxismo Nocturno
- Fracturas Dentales: La presión excesiva que genera el bruxismo nocturno puede causar microfisuras en los dientes, las cuales pueden volverse fracturas más grandes con el tiempo.
- Problemas en la ATM: El bruxismo nocturno afecta directamente la articulación temporomandibular (ATM), que es la encargada de conectar la mandíbula con el cráneo.
- Afectaciones en las Encías: La fuerza ejercida al apretar los dientes puede afectar las encías y el tejido de soporte dental, provocando recesión gingival.
Diagnóstico del bruxismo
A la hora de diagnosticar el bruxismo es muy importante observar el estado de las piezas bucales para comprobar su desgaste y el aumento de la musculatura. La mejor manera de diagnosticarlo es acudir a una clínica dental especializada como Face Clinic, donde contamos con un equipo multidisciplinar formado por dentistas, ortodoncistas y cirujanos maxilofaciales que analizarán minuciosamente tus síntomas.
Tratamientos para el Bruxismo Severo
El bruxismo y ATM grave requiere un tratamiento multidisciplinar que incluya las siguientes especialidades. El tratamiento del bruxismo ha de basarse en eliminar los causantes de esta patología. Si la causa es estrés, es importante tratarlo para eliminar el problema o que, al menos, los episodios sean menos frecuentes y agresivos.

Si te has sentido identificado/a con los síntomas descritos en este artículo, es probable que ya hayas probado la solución más común: la férula de descarga. Si los síntomas del bruxismo severo están afectando a tu calidad de vida y la férula de descarga no te da el alivio que necesitas, es el momento de valorar una solución más avanzada. La razón es que no se está tratando la causa raíz del problema: la fuerza descontrolada del músculo masetero.
Automasaje de mandíbula para relajar la tensión
Opciones de Tratamiento:
- Odontología: Una mala oclusión se soluciona por medio de la ortodoncia. En los casos en que no se encuentre un mal alineamiento, se utilizan las férulas de descarga para detener el desgaste superficial de los dientes. Una mala oclusión aumenta el grado ,la intesidad y las consecuencias del bruxismo, por lo cual una revisión por parte de un especialista en ortodoncia puede daros soluciones para mejorar este punto, con una oclusión perfecta las fuerzas bucales se reparten de una manera uniforme y estable en la boca haciendo que todos los musculos, piezas dentales y estructuras fáciles que intervienen sufran menos desgaste. La ortodoncia puede ser una solución muy efectiva cuando el origen del bruxismo severo es una mala alineación dental. La férula de descarga es uno de los tratamientos más habituales.
- Fisioterapia: Un fisioterapeuta trabaja con el paciente para reducir los síntomas asociados al bruxismo y ATM por medio de ejercicios mandibulares. De esta forma, se alivian los síntomas y aumenta la comodidad para el paciente. Un ejercicio recomendable es poner la punta de la lengua en el paladar, justo detrás de los dientes.
- Medicina del Sueño: En los casos donde se encuentran problemas con el sueño, es necesario trabajar con un especialista en el área que realice un estudio completo y determine si existen episodios como la apnea.
- Psicología: Un psicólogo es útil cuando el bruxismo dental tiene un origen emocional que puede ser ansiedad, estrés u otro trastorno mental. El estrés y la ansiedad son factores clave en la aparición del bruxismo nocturno.
- Inyecciones de Toxina Botulínica: ¿Padeces bruxismo?
Medidas Adicionales para Reducir el Bruxismo
Si bien el bruxismo nocturno puede tener múltiples causas, existen medidas que puedes adoptar en casa para reducir su intensidad y evitar complicaciones. Estos hábitos ayudan a relajar los músculos de la mandíbula, mejorar la calidad del sueño y disminuir la presión sobre los dientes.
- Evitar Sustancias Estimulantes: El consumo de café, té, bebidas energéticas y alcohol antes de dormir puede aumentar la actividad muscular involuntaria y empeorar el bruxismo nocturno.
- Aplicar Calor Húmedo: El calor ayuda a relajar los músculos de la mandíbula y reducir la tensión acumulada durante el día.
- Mejorar la Postura Corporal: La postura corporal influye en la salud de la mandíbula y la articulación temporomandibular (ATM).
¿Qué puede hacer tu dentista?
Es muy importante que, si sufres bruxismo, tomes medidas para proteger tus dientes y que acudes a revisiones periódicas con tu dentista para paliar los efectos de la patología. ¡Imprescindible!