Cuidar de nuestra sonrisa, tanto en consulta como en casa, es fundamental para poder disfrutar de una completa salud oral. El sarro dental, a menudo pasado por alto hasta que es demasiado tarde, es uno de los problemas más comunes y persistentes en la salud bucal. En esta publicación hablamos del sarro dental y damos respuesta a muchas preguntas sobre esta sustancia dañina para nuestra sonrisa. Reconocer los síntomas del sarro en los dientes es el primer paso para abordarlo efectivamente.

¿Qué es el Sarro Dental?
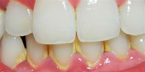
El sarro dental, también conocido como cálculo dental, es una sustancia de color amarillenta que se adhiere a los dientes. El sarro se encuentra debajo de las encías, extendiéndose por la raíz del diente. El sarro es placa dental endurecida que puede generarse en los dientes, tanto por encima como por debajo de la línea de las encías. La placa dental es una película pegajosa y transparente que se desarrolla de forma continua en los dientes. Está compuesta, sobre todo, por bacterias, restos de alimentos y saliva.
Cuando esta placa no se elimina de manera adecuada a través de una buena higiene oral, los minerales presentes en la saliva, como el calcio y el fósforo, se depositan sobre la placa. El sarro está compuesto sobre todo por bacterias muertas que se han mineralizado, mezcladas con una pequeña cantidad de proteínas mineralizadas de la saliva.
El sarro puede formarse tanto en la superficie visible de los dientes como debajo de la línea de las encías. Esta acumulación, ya sea visible o no, es difícil de eliminar de forma completa mediante los métodos convencionales de cuidado bucal, como el cepillado y el uso de hilo dental.
El sarro dental es el causante de un gran número de afecciones de nuestra boca. Este cúmulo de bacterias genera un ácido que provoca daños en nuestros dientes y encías por lo que es muy importante cepillarse los dientes después de cada comida. En los casos más graves estas bacterias pueden afectar a las raíces de los dientes y provocar su pérdida.
Diferencia entre Placa y Sarro
No, el sarro y la placa son diferentes. La placa dental es una película blanda y pegajosa de bacterias y restos de comida que se forma constantemente en los dientes. La placa puede comenzar a endurecerse y convertirse en sarro en tan solo 24 a 72 horas después de la formación de la placa.
Síntomas del Sarro Dental
La acumulación de sarro puede contribuir a la formación de pequeños espacios entre encías y dientes que favorecen la acumulación de bacterias y restos de alimentos. Cuando el sarro se acumula en los dientes, puede desencadenar diversos problemas dentales y afectar la salud bucal de manera significativa.
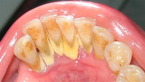
- Una costra: Uno de los signos característicos del sarro es la aparición de una capa dura que se asemeja a una costra, la cual se forma en la superficie de los dientes. Esta solidificación es el resultado de la mineralización de la placa dental. El sarro cuando se forma es de color blanquecino pero a medida que pasa el tiempo se va poniendo amarillo y luego marrón.
- Mal aliento: La halitosis, o mal aliento, es un síntoma común asociado con la formación de sarro. El sarro huele mal.
- Indicios de gingivitis: Las encías pueden mostrar signos de inflamación, enrojecimiento o sangrado, que son síntomas de gingivitis. El sarro puede irritar las encías y contribuir al desarrollo de gingivitis o enfermedad periodontal.
- Retención de bacterias: El sarro proporciona una superficie rugosa y porosa que facilita la retención de bacterias.

Problemas Dentales Causados por el Sarro
Además de problemas estéticos, que pueden ocasionar baja autoestima por tener los dientes amarillentos, la acumulación de sarro dental provoca problemas de salud bucodental a medio y largo plazo.
- Gingivitis o enfermedad de las encías: El sarro puede contribuir a la inflamación de las encías, conocida como gingivitis.
- Periodontitis: Esta enfermedad pone en peligro la salud de la boca en general. Puede causar el aflojamiento de los dientes.
- Recesión de las encías: La acumulación persistente de sarro puede llevar a la retracción de las encías, lo que deja a la vista parte de las raíces de los dientes.
- Caries: Son una de las consecuencias más comunes de la acumulación de sarro. El problema de las caries es que pueden ser muy perjudiciales si no se tratan enseguida.
- Halitosis: Un síntoma que ayuda a saber si tienes sarro en tus dientes, incluso si no está en la parte visible, es la halitosis o mal aliento.
- Problemas periodontales avanzados: La falta de tratamiento del sarro puede llevar a una enfermedad periodontal más avanzada.
¿Acumulas mucho sarro dental? Evítalo así. Te lo explico rápido y fácil.
Tratamiento del Sarro Dental
Dependiendo del nivel de sarro que tengan tus dientes, se pueden realizar diversos tratamientos para poder eliminarlo completamente. Tu dentista es el que valorará si tienes sarro superficial o profundo y en base a esto te recomendará realizar un tratamiento simple, como una higiene bucodental, o en caso de que el sarro esté presente por debajo de las encías un tratamiento periodontal mediante un raspado y alisado radicular.
La base del tratamiento para el sarro es una limpieza dental profesional. La única manera efectiva de tratar el sarro es acudiendo a un dentista o higienista dental. Para eliminar el sarro de los dientes, es necesario realizar una limpieza dental profesional en la clínica dental. Los dentistas o higienistas utilizan instrumentos especializados para raspar y eliminar el sarro de manera segura y efectiva.
En primer lugar, el dentista hará uso de la punta de ultrasonidos para eliminar los depósitos de cálculo. Posteriormente, el higienista empleará la seda dental, pasándola por todas las superficies de las piezas. Además, aplicará tiras de pulir y la pasta de profilaxis, que eliminarán cualquier mancha superficial. Si el paciente presentase más resistencias, el odontólogo utilizará un aeropulidor con spray de bicarbonato.
La limpieza del sarro superficial se hace con ultrasonidos en la clínica dental. No obstante, la eliminación del sarro profundo requiere de curetajes y alisados radiculares. Una vez eliminado el sarro dental, el periodoncista procede a pulir los dientes. El fin del pulido dental es evitar cualquier depósito de sarro dental, que se podría adherir a las irregularidades con facilidad.
La limpieza profesional puede causar molestias leves, especialmente si hay inflamación gingival. Un ligero sangrado las primeras 24-48 horas es normal, especialmente si había inflamación previa.
Tipos de Limpieza Dental Profesional
- Profilaxis dental: Este tratamiento puede resultar molesto pero no llega a ser doloroso. La profilaxis es un proceso totalmente indoloro para el paciente, que no requiere de anestesia.
- Curetaje: Es un tratamiento parecido al anterior, pero en este caso, la limpieza es más a fondo aun llegando incluso a las bolsas periodontales. Si el paciente presenta un enfermedad de las encías más avanzada (periodontitis, o piorrea), es necesario realizar un curetaje dental o raspado dental con el fin de limpiar el sarro que se habrá acumulado bajo la línea de las encías y en las bolsas periodontales.
Prevención del Sarro Dental
Prevenir la formación de sarro reduce el riesgo de problemas bucodentales, como caries y enfermedad de las encías. Si bien el sarro no se elimina con una buena higiene mental, sí se previene con esta. La clave está en la prevención: cepillado correcto, uso de hilo dental, enjuague bucal y limpiezas profesionales cada 6 meses.
| Acción | Descripción |
|---|---|
| Cepillado regular | Cepilla tus dientes de forma meticulosa dos o tres veces al día. Para ello, utiliza un cepillo de cerdas suaves y una pasta dental con flúor. Es imprescindible realizar un buen cepillado de los dientes, al menos durante un tiempo de 5 minutos. Los cepillos eléctricos tienen mayor efectividad de limpieza que los cepillos manuales. |
| Uso de hilo dental y cepillos interdentales | Complementa el cepillado con el uso diario de hilo dental para dejar limpios los espacios que hay entre los dientes. Asimismo, se aconseja el uso del hilo dental o cepillos interproximales. |
| Enjuague bucal antibacteriano | Usa un enjuague bucal antibacteriano sin alcohol dos veces al día. |
| Visitas regulares al dentista | Programa visitas para exámenes bucodentales y limpiezas profesionales. Lo recomendable es acudir al dentista al menos una o dos veces al año para hacerse una limpieza completa de los dientes y un examen oral. |
Otras recomendaciones:
- No picotear entre horas sobre todo alimentos dulces y pegajosos.
- Comer alimentos crujientes a mordiscos también es bueno porque ayuda a arrastrar los restos de nuestros dientes.
Importante: Los remedios caseros como puede ser el cepillarse los dientes con bicarbonato o usar agua oxigenada pueden producirnos serios problemas a medio y largo plazo. Lo ideal si tienes sarro en tus dientes es acudir a la consulta del dentista y que te lo elimine de forma profesional.
Una vez tengas los dientes libres de sarro toca cuidarlos para prevenir, que es mucho más fácil y efectivo que andar experimentando en tu boca. Con una buena higiene no solamente evitarás su formación sino también la de caries.
El sarro puede comenzar a formarse en 24-72 horas si no se elimina adecuadamente la placa bacteriana.
Cuidar nuestros dientes es esencial para mantener no solo una sonrisa brillante sino también una buena salud general. No olvides cuidar de tu salud bucodental. Acude a tu dentista de confianza para que puedan revisar el estado de tus dientes.