El TAC dental, también conocido como Tomografía Axial Computarizada, es una herramienta de diagnóstico por imagen esencial en la odontología moderna. Permite obtener imágenes tridimensionales de alta resolución de las estructuras óseas y dentales, lo que facilita la planificación y ejecución de diversos tratamientos.

¿Qué es un TAC Dental?
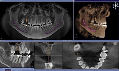
Un TAC dental es una técnica avanzada de imagenología que utiliza rayos X para obtener imágenes tridimensionales (3D) de los dientes, maxilares y estructuras circundantes. A diferencia de las radiografías convencionales, el TAC dental ofrece una visión más completa y detallada de la anatomía dental y ósea del paciente.
Historia y Evolución del TAC Dental
El Tac dental surgió gracias a la introducción de computadoras y memorias electrónicas. Inicialmente se llamó TAC (tomografía axial computarizada), pero que en la actualidad se denomina TC (tomografía computarizada), TCM (tomografía computarizada médica) y TCH (tomografía computarizada helicoidal). La técnica pudo ser desarrollada gracias al aumento en el rendimiento de los procesadores informáticos en los años 1990 y del desarrollo de tubos de rayos X capaces de efectuar una exposición continua. El primer aparato CBCT para uso dental, inventado por Tacconi y Mozzo, fue denominado NewTom®.
Tipos de TAC Dental
La exploración mediante tac dental o tomografía computarizada para el diagnóstico maxilofacial debe ser efectuada con equipos que dispongan de programas informáticos de reformación multiplanar (MPR). La tomografía computarizada de haz cónico (TCHC), más comunmente conocida por sus siglas inglesas (CBCT, cone beam computed tomography), que también se conoce como 3D gracias a su capacidad para generar imágenes tridimensionales, es, indudablemente, la técnica de diagnóstico por imagen con mayor proyección actualmente.
Cone Beam Computed Tomography (CBCT)
El Cone beam o CBCT (Cone Beam Computed Tomography), llamado también tomografía volumétrica digital de haz cónico, es una técnica de imagen seccional en 3D en pleno auge. Como su nombre indica, el tac dental consiste en un generador de rayos X que emite un haz de irradiación abierto de forma cónica que, en una rotación completa (360º) o semicompleta (180º), permite recorrer todo el volumen a explorar antes de analizarlo tras atenuar los rayos mediante un sistema de detección.

Ventajas del CBCT:
- Menor dosis de radiación en comparación con los escáneres médicos convencionales.
- Toma de imagen más sencilla, rápida y cómoda para el paciente.
- Costo más accesible que el escáner tradicional.
Limitaciones del CBCT:
- Mayor riesgo de artefactos debido al movimiento del paciente durante la toma de imágenes.
- Escala de densidad menor debido a su baja irradiación.
Indicaciones del TAC Dental
El TAC dental se utiliza en diversas especialidades odontológicas para:
- Implantología: Permite estudiar la estructura ósea para determinar la posición exacta del implante dental, comprobar la dimensión ósea y evaluar la necesidad de regeneración ósea o elevación de seno maxilar.
- Endodoncia: Facilita la observación de los conductos a tratar, su longitud y la existencia de conductos adicionales.
- Cirugía Oral y Maxilofacial: Para la extracción de muelas del juicio, evaluación de patologías de las articulaciones temporomandibulares (ATM), y planificación de cirugías ortognáticas.
- Ortodoncia: Para valorar la posición de dientes incluidos o supernumerarios, y en la planificación de tratamientos de ortodoncia invisible.
- Otorrinolaringología: Permite la exploración de los senos de la cara y las fosas nasales, y la navegación quirúrgica con imágenes preoperatorias en cirugía endoscópica del seno.

Procedimiento del TAC Dental
El procedimiento del TAC dental es sencillo y rápido:
- El paciente se coloca en el equipo de TAC, generalmente una máquina con forma de anillo.
- Se le pide al paciente que permanezca inmóvil durante el tiempo de la toma de la imagen (aproximadamente 10-20 segundos).
- El escáner rodea la zona a analizar, tomando múltiples imágenes desde diferentes ángulos.
- A continuación, se efectúa una reconstrucción informática mediante un programa informático específico.
Es posible que, durante el escaneo, la máquina emita ligeros sonidos, como un ruido de click.
Ventajas del TAC Dental
El TAC dental ofrece numerosas ventajas en comparación con las radiografías tradicionales:
- Diagnósticos y tratamientos más precisos y predecibles.
- Bajo nivel de radiación.
- Permite estudiar la estructura ósea y determinar la posición exacta para colocar el implante en el hueso.
- Visualización clara de las vías aéreas, las estructuras del oído interno, los peñascos, las mastoides y los senos paranasales.
¿Dónde Realizarse un TAC Dental?
El TAC dental se realiza en clínicas odontológicas especializadas y en centros de radiología. Es imprescindible que el procedimiento sea realizado por profesionales cualificados.
Coste de un TAC Dental
El precio de un TAC dental puede variar dependiendo del centro de diagnóstico y la región donde se realice el procedimiento. El precio habitual ronda los 150 euros por arcada dental.
Tabla comparativa: TAC Dental vs. Radiografía Convencional
| Característica | TAC Dental | Radiografía Convencional |
|---|---|---|
| Dimensión | 3D | 2D |
| Detalle | Alta resolución | Baja resolución |
| Aplicaciones | Implantes, endodoncia, cirugía maxilofacial, ortodoncia | Detección de caries, evaluación general |
| Costo | Más elevado | Más económico |
| Radiación | Baja | Muy baja |
TAC (Tomografía Axial Computerizada): ¿Qué es y cómo prepararse? - #CuidaTuSalud
El desarrollo de la CBCT como técnica de diagnóstico bucofacial representa un cambio radical de la radiología dental y maxilofacial, ya que acerca la tomografía computarizada a la práctica clínica diaria. El éxito de la CBCT se debe a que ha facilitado de forma generalizada la transición de las imágenes radiográficas, en el diagnóstico odontoestomatológico, desde el 2D al 3D.