Las carillas dentales son una solución estética popular para mejorar la apariencia de la sonrisa. Estas finas láminas, que se adhieren a la superficie frontal de los dientes, pueden corregir imperfecciones como cambios de color, irregularidades en la forma y pequeñas malposiciones. Existen principalmente dos tipos de materiales para su fabricación: el composite y la porcelana.

En este artículo, exploraremos en detalle la técnica y sistemática del tallado de carillas de composite, sus ventajas, desventajas y el proceso clínico involucrado.
Carillas de Composite: Una Resina Moldeable
El composite es una resina moldeable que imita fielmente el color y el brillo de los dientes. Este material se adapta a la perfección al color del esmalte dental, ofreciendo una solución estética mínimamente invasiva. A diferencia de las carillas de porcelana, las de composite se pueden crear en una sola sesión, ya que el especialista trabaja el material directamente sobre el diente en la clínica.
Ventajas de las Carillas de Composite
- Técnica de dificultad media: Las habilidades necesarias para llevar a cabo un tratamiento con carillas de porcelana son asequibles a todos los odontoestomatólogos con un entrenamiento de dificultad media.
- Preparación dentaria conservadora: La cantidad de estructura dentaria a eliminar es escasa en comparación con la preparación necesaria para una corona de recubrimiento total.
- Estética elevada: La ausencia de metal permite una transmisión óptima de la luz, reflejándose en la dentina subyacente de manera similar a la del diente sano.
- Resistencia elevada a las fuerzas: Una vez cementadas, son capaces de soportar fuerzas de tracción, tensión y cizalla importantes.
- Biocompatibilidad local y general: La cerámica es, junto con el oro, el material de recubrimiento dental que menos reacciones biológicas desencadena.
- Resistencia al desgaste y a la tinción: La superficie glaseada no permite la incrustación de tinciones ni se desgasta fácilmente.
- Radiopacidad: Similar al esmalte, permite la exploración radiográfica del diente subyacente.
- Costo aceptable: Los costos y tiempos de tratamiento son inferiores a los de coronas de recubrimiento total.
Desventajas de las Carillas de Composite
- Técnica clínica compleja: Requiere varias sesiones clínicas.
- Técnica de laboratorio compleja: El laboratorio dental necesita llevar a cabo técnicas de gran precisión para lograr un ajuste exacto de la carilla.
- Fragilidad relativa: La construcción de finas láminas de porcelana da una fragilidad inherente a las carillas.
- Dificultad para la reparación: La carilla fracturada es de difícil reparación.
- Técnica adhesiva compleja: La técnica de adhesión es muy minuciosa y requiere una preparación importante.
- Tratamiento irreversible: Una vez tallado el diente no lo podemos recuperar, aunque su invasión sea mínima.
- Imposibilidad de cambiar el color: Una vez cementada la carilla.

Indicaciones de las Carillas de Composite
Las carillas de composite están indicadas principalmente para solucionar problemas estéticos, aunque también pueden tener aplicaciones para corregir alteraciones anatómicas y funcionales:
- Estéticas
- Cambios de coloración dentaria: Discromías y tinciones intrínsecas (tetraciclinas, fluorosis, dientes desvitalizados, tinción por amalgama, envejecimiento natural, etc.).
- Cambios de posición dentaria: Recolocación de dientes con rotaciones, dentro de ciertos límites.
- Cambios en la textura superficial dentaria: Corrección de rugosidades excesivas o oquedades en el esmalte.
- Cierre de diastemas: Cierre de pequeños espacios interdentarios (no aconsejable si superan 1 mm de anchura).
- Anatómicas: Solucionar anomalías de forma, tamaño o volumen dentario, tanto congénitas como adquiridas (hipoplasias del esmalte, microdoncias, dientes conoideos, fracturas, atriciones, abrasiones, etc.).
- Funcionales: Restauración de las guías anterior y canina.
- Otras indicaciones: Restauración de problemas derivados de la porcelana de una corona metal-cerámica.
Contraindicaciones de las Carillas de Composite
Aunque las carillas pueden solucionar muchos problemas, no están exentas de contraindicaciones:
- Estéticas: Alteraciones muy importantes del color dentario que son imposibles de esconder.
- Funcionales: Situaciones de carga excesiva sobre las carillas o sobre los dientes soporte (bruxismo, hábitos parafuncionales, diente antagonista de un implante).
- Otras:
- Hábitos inadecuados: Mordisqueo de bolígrafos, onicofagia, sujeción de objetos con los dientes.
- Higiene insuficiente: Acúmulo de placa bacteriana sobre la interfase diente/restauración.
- Índice de caries elevado: Aumento del riesgo de caries en la interfase cementante.
Diagnóstico y Planificación
El diagnóstico y planificación de un tratamiento con carillas deben abordarse integralmente, teniendo en cuenta todos los parámetros que habitualmente se investigan en los tratamientos protésicos. Esto incluye:
- Exploración intra y extraoral completa.
- Evaluación y registro del estado periodontal.
- Fotografías de la situación dentaria.
- Modelos diagnósticos del paciente.
- Evaluación radiográfica completa (ortopantomografía y radiografías periapicales).
- Documentación minuciosa de los detalles presentes en la dentición del paciente, especialmente en lo que se refiere al color.
Procedimiento Clínico para la Colocación de Carillas de Composite
El procedimiento para la colocación de carillas de composite de tipo directo incluye los siguientes pasos:
- Historia clínica completa: Realizar una historia clínica completa del paciente junto a un examen y unas fotografías clínicas para poder estudiar el caso.
- Impresiones: Hacer impresiones que se vacían para obtener el modelo.
- Llave de silicona: Realizar una llave de silicona sobre el encerado diagnóstico.
- Toma de color: Tomar el color de los dientes tras hacer una higiene profesional y un pulido.
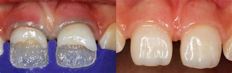
- Preparación de los dientes: Tallado o pulido para igualar las superficies donde irán las carillas.
- Grabado ácido: Grabar el diente mediante ácido ortofosfórico, lavar y secar.
- Adhesivo: Aplicación de un adhesivo específico para las carillas de composite.
- Inserción de la resina compuesta: Estratificar el material con distintas opacidades para proporcional el color perfecto del diente.
Unilaser | Paso a paso Diseño de Sonrisa superior en Resina de Alta Estética
Tipos de Carillas de Composite: Inyectadas y Estratificadas
En las clínicas dentales, existen dos tipos principales de carillas de composite:
- Carillas de composite inyectado: El composite se aplica mediante moldes y resinas fotopolimerizables, que se endurecen con una lámpara de luz de alta intensidad. Se fabrica una férula de silicona a medida de la boca del paciente.
- Carillas de composite estratificado: El composite se aplica manualmente, capa por capa, directamente sobre el diente. Permite al dentista un mayor control del aspecto final, resultando en carillas más resistentes y naturales.

Cuidados y Mantenimiento de las Carillas de Composite
Para asegurar la durabilidad de las carillas de composite, se requieren ciertos cuidados:
- Seguir buenos hábitos de higiene bucal, cepillándose los dientes después de cada comida.
- Disminuir el consumo de alimentos y bebidas con mucha coloración (vino tinto, café, té, etc.).
- Tener precaución al tomar alimentos duros.
- No fumar.
- Llevar una férula protectora por las noches para prevenir desgastes prematuros.
- Acudir a revisiones periódicas para realizar pulidos y aumentar el tiempo de vida de las carillas.
Alternativas: Carillas de Porcelana
Aunque las carillas de composite son una opción estética popular, las carillas de porcelana ofrecen una alternativa de alta calidad con mayor durabilidad y estética. Las carillas de porcelana son más resistentes a las manchas y al desgaste, y su apariencia es más natural debido a sus propiedades ópticas. Sin embargo, son más costosas y requieren un proceso de colocación en varias citas.
Tipos de Carillas de Porcelana
- Carillas de cerámica feldespática: Muy translúcidas, ideales para dientes con color claro.
- Carillas de disilicato de litio: Más opacas y resistentes, perfectas para dientes oscuros.
| Característica | Carillas de Composite | Carillas de Porcelana |
|---|---|---|
| Duración | 5-7 años | 10-15 años o más |
| Estética | Buena inicialmente, puede perder brillo y cambiar de color | Excelente, aspecto natural y duradero |
| Costo | Más económicas | Más costosas |
| Colocación | Una sola sesión | Varias citas |
| Mantenimiento | Requieren mantenimiento y reparaciones periódicas | Menos mantenimiento |
En resumen, las carillas de composite son una opción accesible y rápida para mejorar la estética dental, mientras que las carillas de porcelana ofrecen una solución más duradera y con una estética superior. La elección entre ambas dependerá de las necesidades y expectativas del paciente, así como de la evaluación del odontólogo.