La salud de tus encías es fundamental para mantener tus dientes toda la vida. No esperes a que el problema avance. Si has sufrido recesión en la zona gingival y tu diente ha quedado desprotegido, no te pierdas este artículo donde te contamos cómo recuperar la salud de tus encías.
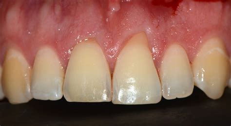
La recesión gingival se define como el desplazamiento del margen de la encía hacia apical, exponiendo progresivamente la superficie radicular del diente. El efecto estético son dientes de apariencia largos que los dientes contiguos.
Realmente, una vez que esta parte de la boca comienza a retraerse -por diversas razones que explicaremos más adelante-, no vuelven a crecer. Recuerda que una encía retraída deja desprotegido al diente y, en última instancia, acaba provocando su caída.

Ejemplo de recesión gingival y posible tratamiento.
¿Qué es la Técnica Pinhole?
Una de las opciones para recuperar parte de la encía que se ha perdido, ya sea por un cepillado agresivo o por una enfermedad periodontal, consiste en la técnica pinhole. Sin embargo, se engloba dentro de los procedimientos de regeneración gingival, cuyo fin es no solo devolver la estética a las encías, sino asegurar la protección de los dientes.
La técnica Pinhole, también conocida como Pinhole Surgical Technique (PST®), fue desarrollada e introducida por el Dr. John Chao en Estados Unidos alrededor del año 2006, aunque su descripción detallada en la literatura científica data de 2012. Fue el profesor Chao quien puso en práctica esta nueva forma de abordar casos de recesión gingival o pérdida de encía.
El concepto revolucionario de la técnica Pinhole radica en su enfoque conservador y poco traumático. A diferencia de los métodos tradicionales, el pinhole no utiliza injertos ni requiere puntos de sutura. Además, requiere pocos puntos de sutura y resulta muy poco invasiva.
El tratamiento tiene como objetivo identificar y eliminar la causa de la recesión así como cubrir la recesión. El éxito del tratamiento está relacionado con la causa que la originó, y con la técnica que se utilice para cubrir la recesión.
Así, los estudios relacionados con ello indican que los tratamientos con injertos obtenidos de la mucosa masticatoria palatina del propio paciente obtienen el mayor índice de éxito, tanto por el nivel de recubrimientos conseguido como por el número de dientes que consiguen un recubrimiento total de su raíz expuesta.
Nosotros, somos pioneros y describimos en el año 1999 la técnica encaminada al recubrimiento de las raíces expuestas en múltiples dientes adyacentes. En la actualidad, la incorporación de proteínas regenerativas derivadas del esmalte (EMDOGAIN®) añadidas al tratamiento con injertos de tejido conectivo están revelando resultados incluso superiores a los conseguidos únicamente con el injerto de mucosa del paladar.

Representación visual de la técnica Pinhole.
¿Cómo se Realiza la Técnica Pinhole?
Solución, sin dolor y sin grandes cirugías, a la recesión de encías gracias a la técnica #pinhole.
Estabilización con colágeno: Para mantener la encía en su nueva posición y favorecer la cicatrización, se insertan pequeñas tiras de colágeno reabsorbible a través de las perforaciones iniciales.
Estudios y Resultados de la Técnica Pinhole
En un principio, la técnica pinhole supuso una gran revolución en las técnicas de regeneración gingival, y realmente es un paso para investigar nuevas formas de proceder ante este tipo de casos. Así lo demostraba una investigación que siguió la evolución durante 33 meses de 43 pacientes con 121 recesiones.
En todas estas personas se realizó la técnica pinhole y se obtuvieron resultados similares a los conseguidos mediante los injertos libres, considerados como los más efectivos dentro de los tratamientos de recubrimiento radicular.
Aun así, la técnica pinhole descrita en los estudios publicados por el profesor Chao, recogen que logra un resultado satisfactorio en el 81,2% de los casos tratados. Los estudios disponibles sobre la técnica Pinhole muestran resultados variables.
Según investigaciones citadas en la literatura periodontal, el Dr. Chao reportó una tasa de éxito del 81,2% en los casos tratados.
Limitaciones y Consideraciones de la Técnica Pinhole
Es importante tener en cuenta que la técnica pinhole todavía presenta limitaciones en cuanto a su eficacia y estabilidad a largo plazo. Además, no ofrece resultados en todos los casos, por lo que es esencial que comiences tu tratamiento con un estudio completo realizado por un periodoncista profesional.
En general, la opinión de los diferentes autores en cuanto a la predictibilidad y estabilidad de resultados es que las técnicas de colgajo son más favorables para el paciente.
Mayor coste para el paciente: este proceso requiere de un instrumental específico y formación concreta solo para llevarlo a cabo. Indicaciones muy específicas: No todos los pacientes son candidatos adecuados.
Alternativas a la Técnica Pinhole
Este procedimiento consiste en tomar tejido del propio paciente (generalmente del paladar) o utilizar biomateriales específicos para cubrir la zona afectada.
Injertos Gingivales
Extracción del tejido donante: Se obtiene tejido conectivo del paladar del paciente, sin incluir la capa epitelial superficial. Esta técnica implica tomar un bloque completo de tejido (epitelio y conectivo) del paladar y trasplantarlo a la zona receptora.
Una de las preocupaciones frecuentes sobre los injertos gingivales es el postoperatorio.
En Clínica Ferrus & Bratos preferimos utilizar técnicas avaladas por estudios científicos y con resultados probados en el tiempo.
Diagnóstico Personalizado y Tratamiento Adecuado
Lo más importante es realizar un diagnóstico periodontal personalizado para determinar la causa de la retracción y elegir el tratamiento más adecuado. Los casos de retracción de encía deben valorarse individualmente, conociendo las necesidades de cada paciente. Solo así podremos aplicar la técnica de injerto de encía más adecuada y estudiar la posibilidad de recidiva a medio y largo plazo.
Cada paciente es único, y cada caso de recesión gingival requiere una evaluación profesional detallada. Confía en la experiencia, en la evidencia científica y en profesionales comprometidos con tu bienestar.
En Cleardent, nuestra filosofía clínica se fundamenta en ofrecer tratamientos con la mayor evidencia científica y los mejores resultados a largo plazo.
Puedes solicitar más información o pedir una primera cita gratis llamando al 91 768 18 12 o a través de nuestro formulario web.
¿Te fue útil este artículo?SÍNO
En Ferrus & Bratos nos guiamos por unas pautas editoriales que aseguran la veracidad de toda la información que publicamos.
En Ferrus&Bratos cumplimos con el RGPD de la UE por lo que tus datos están seguros.
Dr. Jorge Ferrús es fundador de la Clínica Dental Ferrus & Bratos, donde ejerce de periodoncista e implantólogo. Es licenciado en Odontología y se especializó a través del Máster en Periodoncia e Implantes de la Universidad Complutense de Madrid.