La preocupación de la sociedad por el estado bucodental no siempre coincide con la opinión de los profesionales. Como ya sabemos, el diente está compuesto de una corona y de una raíz, que se inserta en el hueso alveolar.
Cualquier cambio que pueda afectar a la corona, tiene consecuencias en la transmisión y el modo en el que la luz es reflejada, lo que resulta en un cambio en su color. Normalmente, el esmalte está compuesto por un 96% de compuestos minerales, 2% de agua, 1% de proteínas y 1% de otros materiales. Cualquier cambio en esta composición va a producir un cambio en la superficie del esmalte.
La resistencia y la dureza del esmalte está relacionado con la presencia de cristales de hidroxiapatita. Además, la saliva va a formar una fina capa de glicoproteínas que se adhiere a la superficie de los dientes, conocida como película adquirida. Esta va a proporcionar resistencia ante los ácidos y permite la remineralización de la superficie del diente, además de jugar un papel importante en la adhesión de sustancias causantes de manchas.
Las descoloraciones dentales son un cambio en el tono, chroma, valor o en la translucidez del diente, puesto que el tejido adamantino es permeable, poco a poco se va tiñendo a causa de diferentes factores externos como pueden ser pigmentos (cromóforos) contenidos en alimentos o bebidas como los tomates, zanahorias, café, té o infusiones varias, que tienden adherirse a los tejidos orgánicos que ocupan los espacios interprismáticos mediante unión química a sus grupos hidroxilo y amino.
Por otro lado numerosos estudios confirman que el tabaco es otro de los factores que alteran el color natural de los dientes, ya sea en cigarrillo, puros, pipa y aún no existe suficiente evidencia sobre el vapor de tabaco. El mecanismo de acción para la decoloración por el tabaco es similar al de los alimentos, salvo que en estos casos se trata de la nicotina, el grupo de alquitranes y el furufral, los cuales se depositan en la superficie dental o incluso llegan a penetrar en los túbulos dentinarios, siendo muy difícil su eliminación. Este tipo de decoloraciones se denominan extrínsecas.
En la superficie del diente pueden encontrarse 2 tipos de manchas: las intrínsecas, que pueden ser clasificadas según su naturaleza en congénitas, asociadas normalmente a alteraciones estructurales en el momento de formación del diente, y adquiridos, que pueden subdividirse en preeruptivos y posteruptivas.
Entre las preeruptivas, la más común es aquella debida al uso de tetraciclinas, y entre las posteruptivas, los traumatismos dentales, asociados a la necrosis o no, suelen ser las etiologías más comunes.
Existen en el mercado, diversos productos y técnicas mediante las que llevar a cabo estos procesos que dependerán de varios factores: aquellos relacionados con la técnica (llevada a cabo en casa, en la clínica o una combinación de ambas) y aquellos relacionados con el estado de los dientes (vitales o no vitales). Podemos decir que a pesar del inmenso catálogo de productos disponibles, tanto para el profesional como para el público, los productos se basan en dos compuestos químicos: el peróxido de hidrógeno a concentraciones comprendidos entre el 6 - 35% y el peróxido de carbamida al 6 - 45%.
Descubre los Secretos y Riesgos del Blanqueamiento Dental
Medición del Color Dental
Por este motivo, en 1931, se creó “la Commissión Internacionale de l´clairage” (C. I. E), que en 1976 estableció como medir el color el “C. I. E Lab”, espacio del color que se representa por un eje tridimensional de coordenadas donde los ejes son L* o valor o luminosidad, que va desde el cero o negro al 100 o máxima luminosidad, él a* que oscila desde el a* positivo que es el rojo a el a* negativo que es el verde y el b* donde él b* positivo es el amarillo y el b* negativo es el azul (2). De esta manera se establece una unidad objetiva para determinar cada color, pero ¿cómo se puede trasladar el color del diente en boca a este eje de coordenadas?
En el transcurso de los años se han utilizado varios sistemas para establecer el color de los dientes. Clásicamente se ha empleado la medición visual, que usa una guía de colores y la compara con el color del diente a estudiar. Este es el método más frecuente rápido y económico (3), pero está sujeto a múltiples variables del observador como la edad, la visión, la experiencia, la fatiga…
El colorímetro es otro sistema que mide el color con valores C. I. E lab o empleando tres variables X, Y y Z (3,8). En general los resultados son buenos pero no concluyentes ya que algunos autores no obtienen una buena concordancia de color con la medición del colorímetro y la visual (9,10,11) a pesar de que en otros estudios esta relación es buena.
El color es un parámetro complejo que no depende de un solo factor. Se ha expuesto como el observador es un factor muy importante y variable y como podemos disminuir la subjetividad del mismo.
Factores que Influyen en el Color Dental
El color dental depende de cuatro fenómenos que se producen cuando la luz incide sobre el diente: 1ª) La trasmisión especular a través del diente, 2ª) la reflexión especular en la superficie, 3ª) la reflexión difusa de la superficie y 4ª) la absorción y dispersión.
Éstos cuatro fenómenos son diferentes en las zonas distintas del diente, y mientras que en el esmalte la hidroxiapatita produce una gran dispersión, la dentina debe su isotropía óptica a la presencia de los túbulos dentinarios (20). Por último, y no por ello menos importante en la percepción del color, están los factores objetivos y socioculturales, sobre los que se han hecho múltiples estudios, y se conoce que el aspecto de los dientes es más importante para las mujeres que para los hombres, así como para los jóvenes que los ancianos (25), a pesar de que Grosofsk y col. (26) comprobaron que el ser más o menos atractivo no depende del color dental. Para demostrarlo, modificaron el color de los dientes en fotografías de caras haciéndolos más blancos y no encontrando un aumento del atractivo esperado. Objetivamente sin embargo, si se ha comprobado como el grado de satisfacción es mayor cuando los cambios de color se producen en el parámetro b* del C. I.
Por último expondremos algo de la epidemiología o distribución del color, aunque ya se indicó al comienzo de este estudio que es muy variable de una persona a otra.
- Humedad: clásicamente se piensa que los dientes secos parecen más claros que los humedecidos, hecho que es real. Russell y cols (29) demostraron como el colocar el dique de goma durante 15 minutos producía un aumento de los valores de L* y a*, recuperándose el color base a los 20 minutos de retirar del dique.
- Diente: también se observan variaciones en función del diente que observemos.
- Región del diente: también es habitual recoger el color en la zona central del diente ya que es el área más estable, pero esto nos está indicando que existen diferencias entre las distintas zonas del diente. Si dividimos el diente en tres zonas comprobamos cómo la zona incisal es más traslúcida, pero además presenta valores más bajos de a* y b*, mientras que la zona cervical presenta los valores de a* y b* más elevados, o lo que es lo mismo, la zona es más saturada.
Resulta extraordinariamente complejo encuadrar la gran diversidad de discoloraciones existentes (4, 5). Quizás la más aceptada sea atendiendo a su etiología, haciendo hincapié en las discoloraciones de causa externa, como son las generadas por el tabaco, entre otros. Así, las principales causas que pueden generar alteraciones internas del color del diente, que en gran medida responden a una etiología sistémica causada por enfermedades metabólicas en su mayoría, son (mayor % de incidencia): alcaptonuria; profiria eritropoyética congénita; hiperbilirrubinemia congénita; amelogénesis imperfecta; dentinogénesis imperfecta; tetraciclinas; fluorosis; hipoplasia del esmalte; pulpa y conductos hemorrágicos; reabsorción radicular; envejecimiento.

Causas de la Decoloración Dental
Las causas de la decoloración dental pueden ser generales o locales:
- Generales:
- Enfermedades sistémicas:
- Alteraciones hepáticas.
- Alteraciones hemolíticas.
- Alteraciones metabólicas.
- Alteraciones endocrinas.
- Displasias dentales:
- Amelogénesis imperfecta.
- Dentinogénesis imperfecta.
- Ingesta de sustancias:
- Tetraciclina y otros antibióticos o fármacos.
- Fluorosis.
- Déficit vitamínico y de otras sustancias.
- Alteraciones por calor.
- Enfermedades sistémicas:
- Locales:
- Procesos pulpares y traumatismos:
- Hemorragias pulpares.
- Calcificaciones.
- Necrosis.
- Restos pulpares.
- Patologías dentales:
- Caries.
- Reabsorción radicular.
- Hipoplasias del esmalte.
- Diente de Turner.
- Procesos pulpares y traumatismos:
Es importante saber que para que las tinciones extrínsecas se produzcan en necesario que previamente se haya formado sobre la superficie dental la película adquirida o que existan restos de la membrana de Nashmith. Sin esta estructura proteínica previa es imposible que se produzca el depósito de pigmentos.
El cromógeno se une a la superficie dental (en la película adquirida) para provocar la decoloración. Estos cromógenos orgánicos que están en la saliva son absorbidos por el esmalte fruto de una combinación de fuerzas de corto y largo alcance. De éstas, las fuerzas electrostáticas son las que predominan porque el esmalte tiene una carga negativa la cual puede resultar de la adhesión selectiva de proteínas. Esta adhesión se cree que ocurre a través de puentes de calcio. En este caso el color está determinado por el color natural del cromógeno, lo cual sugiere la unión directa del mismo.
Algunas de las sustancias que son responsables de causar la mancha son taninos y están compuestos de polifenoles como las catequinas y leucoantocianinas. Estos materiales generan colores debido a la presencia de dobles enlaces conjugados y se cree que interaccionan con la superficie del diente a través de un intercambio iónico. Incluimos aquí adhesiones bacterianas a la película, que también pueden producir una mancha dental.
La unión de bacterias es un proceso selectivo regido por fuerzas físicas como (energía libre superficial, fuerzas electroestáticas o hidrófobas). Los metales también pueden inducir a estas manchas ya que, cuando el esmalte está inmerso en la saliva, la carga negativa es rápidamente neutralizada por iones de carga opuesta, lo que se conoce como capa de popa o la capa de hidratación. La presencia de cobre junto a hierro en la capa de popa puede producir las manchas. Esto se evidencia en los trabajadores del cobre que muestran manchas verdes y negruzcas, así como en trabajadores del mundo del acero o aquellos que toman ingesta durante largo tiempo de suplementos férricos.
Cuando el cromógeno cambia el color después de la unión al diente. El cambio de color puede ocurrir como resultado de cualquier acumulación adicional o modificación química de las proteínas de la película, por ejemplo, desnaturalización por ácidos o detergentes. Suelen ser manchas de color amarillento en las áreas proximales de los dientes y el paso a un color más amarronado con la edad.
También englobamos en este grupo, aquellas manchas efectuadas por alimentos y de tabaco que han estado en contacto con la superficie dental un tiempo prolongado. Son las denominadas manchas indirectas, en las que un material transparente o incoloro (o material pre-cromógeno) se une al diente y sufre una reacción química que produce la mancha. Análisis químicos de material cromógeno después del uso de la clorhexidina ha demostrado la presencia de furfurales y furfuraldehídos que son productos producidos por una serie de reacciones de transposición entre azúcares y aminoácidos, a esta reacción se le conoce con el nombre de ‘reacción no enzimática de browing’. Ejemplos de éste tipo de manchas incluyen el oscurecimiento de alimentos como carbohidratos y azúcares tales como la manzana y las patatas.
Bien es cierto y así se deduce, Nathoo y cols., no incluyeron el tabaco dentro de su clasificación, muchos son los estudios que confirman que hay una relación directa entre el consumo de tabaco y la aparición de manchas dentales, en general todos aquellos que las clasifican y en concreto, por ejemplo, un estudio realizado en Reino Unido se les preguntó a una muestra de 3384 adultos el grado de decoloración de sus dientes, para ello utilizaron 7 fotografías con diferentes niveles de decoloración, se encontraron diferencias significativas entre las personas no fumadoras y las fumadoras. Un 28% de los fumadores confirmaron tener niveles moderados/ severos de decoloración frente a un 15% de los no fumadores.
Las manchas se pueden clasificar en:
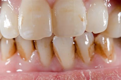
- Manchas metálicas: las manchas metálicas extrínsecas pueden asociarse con exposición a sales metálicas, como por ejemplo: tinción de color negro en las personas que toman suplementos de hierro o en trabajadores relacionados con éste mineral. También ciertos enjuagues bucales generan éste tipo de machas adquiriendo tonos verdes, por su contenido en cobre.
- Manchas no metálicas: son aquellas que se absorben en depósitos sobre la superficie del diente como la placa o la película adquirida. Generalmente la etiología incluye componentes de la dieta, bebidas, tabaco, enjuagues bucales y otros medicamentos cromogénicos.

Las manchas extrínsecas tienden a formarse en las zonas de los dientes que son menos accesibles a la limpieza diaria con el cepillo dental.
Los hidratos de carbono de la dieta se han reconocido como una causa necesaria en la caries dental, entre los que se destacan a los azúcares, especialmente la sacarosa. El consumo de bollería, bocadillos azucarados, pan industrial y refrescos muestra una asociación positiva con la caries dental, mientras con el de nueces, cacahuates, gelatina, palomitas de maíz sin azúcar, yogurt y queso tiene una asociación negativa. El consumo de queso puede prevenir la desmineralización del esmalte por lo menos a través de dos mecanismos diferentes: por estimulación del flujo salival, lo cual amortigua la placa dental, y por incremento de las concentraciones de calcio y fosforo en la placa dental, lo que favorece la remineralización.