Las manchas en los dientes de leche de los niños pequeños suelen causar mucha intranquilidad entre los padres. Normalmente, los dientes de leche suelen tener un tono más blanco que los dientes definitivos. Sin embargo, a veces aparecen manchas en los dientes de los más pequeños que pueden ser de distintos tipos. Los dientes son originalmente de un color blanco-azulado. Sin embargo, existen diferentes factores que pueden afectar a su coloración y hacer que aparezcan manchas en la superficie dental o cambiar por completo la tonalidad de los dientes.
En nuestra clínica dental te ayudamos a identificar las causas de las manchas en los dientes de tu pequeño y os propondremos el tratamiento que mejor se adapte a sus necesidades. El odontopediatra es el profesional que debe valorar el origen de las coloraciones y su tratamiento. En algunos casos, la aparición se puede prevenir, mientras que en otros se debe a alguna patología, lesión o un efecto adverso de algún fármaco. El tratamiento dependerá del tipo de coloración, su localización (si afecta a un solo diente o a toda la dentadura), la afectación a nivel de salud y estética.
¿Cómo prevenir las manchas de hierro?
¿Qué son las manchas en los dientes?
Las manchas en los dientes son esas imperfecciones que aparecen en tus dientes en colores diferentes al tono perlado del esmalte.

Causas de las manchas en los dientes de los niños
Las manchas en los dientes de leche pueden deberse a causas internas o externas. Las manchas de los dientes en los niños pueden aparecer por diversos motivos, pero algunos de los más comunes son:
- Incorrecta higiene dental.
- Fluorosis dental (alteración en el esmalte).
- Traumatismos en los dientes.
- Caries infantil.
- Medicamentos con tetraciclina tomados durante el embarazo.
- Enfermedades del hígado.
Tipos de manchas y sus causas
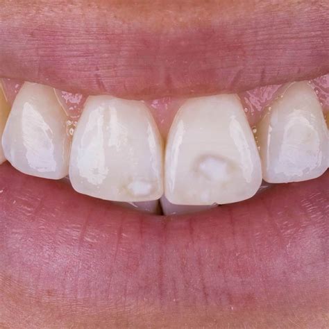
Asimismo, el color de las manchas de los dientes puede indicar cuáles son las causas que hay detrás. Las manchas en los dientes de bebés y niños pequeños pueden adquirir diferentes tonalidades. Desde la aparición de manchas blancas, hasta coloraciones amarillas, marrones, grisáceas y negras. Aunque se trata de casos poco frecuentes, también pueden observarse manchas de color rojo debido a ciertas patologías.
- Manchas blancas: Pueden ser un síntoma de caries infantil incipiente. La aparición de manchas blancas con forma de media luna sobre la parte más próxima del diente a la encía puede ser síntoma de la formación de una caries. Estas caries suelen manifestarse como ligeras coloraciones, y localizadas en el área del diente más próxima a la zona de la encía. La presencia prolongada de carbohidratos en la boca son la principal causa de caries en bebés y niños de corta edad. Son conocidas como caries de biberón porque suelen aparecer por malos hábitos como ofrecer líquidos muy azucarados en el biberón o dejar que los pequeños se duerman con él en la boca.
- Manchas amarillas o marrones: Una higiene bucodental inadecuada en los primeros años de vida puede provocar la formación de placa bacteriana en la superficie dental y su mineralización en cálculo dental. Los dientes con sarro se caracterizan por la presencia de unas manchas amarillas, o marrones en los casos más severos. Para eliminar el sarro en niños será necesario realizar una higiene bucodental profesional y para prevenir su aparición se debe mantener unos buenos hábitos de cepillado de los dientes.
- Manchas rosadas, amarillentas, marrón grisáceo o negras: Una fractura o un golpe fuerte en el diente puede provocar cambios en la coloración de la pieza afectada. La causa de este cambio de coloración se debe, generalmente, a una hemorragia en el interior del diente o, en los casos más graves, una necrosis pulpar, la muerte total o parcial del nervio.
- Manchas verdes o amarillas: Patologías como la atresia biliar pueden provocar manchas verdes o amarillas en los dientes de leche, mientras que la hepatitis neonatal puede ocasionar una coloración amarillenta o marrón.
- Manchas del marrón rosado al malva: Esta enfermedad puede causar la presencia de manchas del marrón rosado al malva como consecuencia de la deposición de porfirina durante su desarrollo.

Causas específicas de las manchas en los dientes de leche
Aunque los dientes de leches sean temporales, la aparición de manchas o cambios en la dentadura no deben obviarse. Los dientes primarios, además de permitir la masticación, permiten un desarrollo armónico de los maxilares, mantienen espacios para los dientes permanentes y permiten un adecuado desarrollo del lenguaje y la estética dental. Algunas de las causas que provocan manchas en los dientes de los bebés y niños pueden causar dolor, implicar la pérdida de piezas dentales o derivar en complicaciones infecciosas.
1. Factores de origen genético
El color viene predispuesto desde antes de la formación del esmalte. Se define hipoplasia dental a la alteración en la formación del desarrollo del esmalte. Estas piezas dentales presentan una menor cantidad de esmalte. Su origen es desconocido aunque se ha asociado a causas como:
- Procesos infecciosos de larga duración.
- Enfermedades importantes que suceden durante la etapa infantil.
- Malnutrición.
Los signos más frecuentes de la hipoplasia son:
- Desgastes que suponen un deterioro en las piezas dentales.
- Fisuras o pequeñas grietas en la superficie dental.
- Aparición de cambio de coloraciones en la superficie del diente (tonalidades amarillentas o marrones).
Todas estas causas parece que pueden influir en que el desarrollo del esmalte , haciendo que este sea más poroso y de menor dureza, y siendo más frecuente la aparición de caries y enfermedades periodontales.
2. Ingesta elevada de flúor o fluorosis dental
El flúor tiene un efecto beneficioso en la prevención de las caries. Sin embargo, si se ingiere en grandes cantidades y por un tiempo prolongado durante el periodo de formación de los dientes puede dañar el esmalte de los dientes. Es lo que se conoce como fluorosis dental. Esto sucede porque los niveles demasiado altos de fluoruros interfieren en el buen funcionamiento de las células que forman el esmalte, alterándolas e impidiendo que el esmalte madure normalmente. En las zonas del mundo donde hay una gran concentración de fluoruros en y el agua, la fluorosis es más frecuente. Esta condición suele desarrollarse generalmente desde el nacimiento hasta que se cumplen 6 u 8 años, coincidiendo con el periodo de formación de los dientes. La fluorosis suele manifestarse con la aparición de pequeñas manchas blancas. En los casos más graves, se pueden observar dientes manchados con motas, estrías y un esmalte quebradizo.
La fluorosis dental puede aparecer de distintas formas en los dientes en función de su severidad:
- Pequeñas machitas de color blanco (casos leves).
- Manchas mas grandes o extensas de color marrón o amarillento (casos más severos).
3. Ingesta de determinados medicamentos
La administración de medicamentos puede ser causa de la aparición de manchas en el diente. Al hablar de medicamentos, el principal fármaco que suele provocar este efecto adverso es la tetraciclina. Las manchas suelen aparecer cuando la madre toma este antibiótico durante el embarazo o el periodo de lactancia. En ese sentido, los dientes pueden teñirse desde los seis meses de gestación hasta los doce años, por lo que puede afectar tanto a los dientes de leche como a los permanentes. Generalmente se trata de manchas amarillas, marrones o grises que pueden ir acompañadas de bandas o líneas. La ingesta de medicamentos pediátricos con altas concentraciones de hierro puede ser causa de la aparición de manchas en el diente. En muchas ocasiones la ingesta continuada de algunos medicamentos producen tinciones sobre la superficie del esmalte. Las más frecuentes son las producidas por medicamentos infantiles con alta concentración en hierro, como pueden ser algunos complementos vitamínicos. Estas manchas aparecen como ligeras tinciones marrones o negruzcas que basta con una limpieza bucodental profesional para eliminarlas.
4. Traumatismos dentales
No es necesario que el diente presente rotura o sangrado para que debas acudir a visitar al odontopediatra. Los traumatismos dentales son muy frecuentes en niños. Pueden ser de distintos tipos, leves o no tan leves. A veces, existe la suerte de que el traumatismo es muy leve y el diente no se ve afectado; en otras ocasiones hay un poco de menos suerte y el diente cambia de color (se vuelve mas oscuro, como más grisáceo). En los casos en los que se produce una alteración en el color del diente, es necesario realizar una radiografía por parte del dentista. Esto es debido a que puede existir una necrosis en el nervio del diente y que el nervio muera.
5. Cepillado dental insuficiente
La higiene dental es muy importante en el día a día. Cuando no nos cepillamos los dientes, se produce un acúmulo de placa bacteriana en la superficie dentaria. Una higiene bucodental inadecuada en los primeros años de vida puede provocar la formación de placa bacteriana en la superficie dental y su mineralización en cálculo dental.
Tratamientos para las manchas en los dientes
El tratamiento de las manchas dependerá del tipo de coloración, su localización (si afecta a un solo diente o a toda la dentadura), la afectación a nivel de salud y estética.
- Higiene bucodental profesional: Para eliminar el sarro en niños será necesario realizar una higiene bucodental profesional y para prevenir su aparición se debe mantener unos buenos hábitos de cepillado de los dientes.
- Sellado dentario de molares: Se suele realizar en niños cuando erupcionan las muelas de los 6 años.
- Reconstrucciones u obturaciones extensas: De las piezas afectadas.
- Carillas de composite o de porcelana: En adultos el tratamiento que se suele realizar es la colocación de carillas de composite o de porcelana.
- Coronas: Colocación de coronas en los molares afectados.
- Blanqueamiento dental: En casos mas leves donde el color amarillento se puede disimular algo blanqueando los dientes.
Prevención de las manchas en los dientes
Es importante en nuestra clínica ofrecer la mayor tranquilidad y seguridad con nuestros tratamientos. Para prevenir la aparición de manchas en los dientes de los niños es fundamental:
- Enseñar a tu hijo a cepillarse los dientes correctamente, al menos, dos veces al día con pasta dental que contenga la cantidad de fluoruro adecuada para su edad.
- Reducir el consumo de alimentos y bebidas azucaradas, ya que el azúcar puede aumentar el riesgo de caries dentales.
- Programar visitas regulares al dentista, al menos, cada seis meses o según recomiende su odontólogo.
- En caso que de utilizar chupete, no se debe sumergir nunca en azúcar u otras sustancias azucaradas.
- Otra práctica desaconsejada es la de compartir cubiertos con los niños o probar la comida con sus cubiertos, ya que este hábito puede transmitir las bacterias que provocan caries.
Ante un traumatismo o golpe fuerte en la boca, hay que valorar la gravedad de la lesión. El objetivo es la preservación del diente de leche, siempre que sea posible, y prevenir procesos infecciosos.

En ARC Dental ofrecemos a los pacientes más pequeños de la familia un servicio personalizado de la mano de un equipo especialista en casos bucodentales de niños y adolescentes.