¿Notas que tus dientes ya no se ven tan blancos como antes? Las manchas en los dientes son comunes, pero no todas significan lo mismo. Algunas afectan solo a la estética; otras pueden ser señales tempranas de problemas como caries o el desgaste por malposición, bruxismo y apretamientos. La sonrisa es una de nuestras mejores cartas de presentación, y los dientes bonitos son el reflejo de una buena salud bucal.
En Dental Care Barcelona, sabemos de la importancia de mantener tus dientes no solo saludables, sino también radiantes. Todos hemos escuchado la frase «una sonrisa vale más que mil palabras,» y es cierto. Una sonrisa sincera puede iluminar una habitación, pero ¿qué sucede cuando manchas en los dientes oscurecen esa luminosidad?

¿Qué son las Manchas en los Dientes?
Las manchas en los dientes son esas imperfecciones que aparecen en tus dientes en colores diferentes al tono perlado del esmalte. El tono natural de los dientes puede alterarse por múltiples factores. Muchas de ellas están presentes en el día a día de la mayoría de las personas.
Tipos de Manchas en los Dientes
Hay diferentes maneras de clasificar los tipos de manchas en los dientes. Existe una tipología aceptada para las manchas dentales hoy en día. No obstante, para los pacientes la forma más fácil de identificar las manchas es por colores.
¿Cómo eliminar manchas en los dientes sin desgastarlos, en una sola cita y sin carillas?
Manchas según la zona en la que aparezcan
- Manchas Extrínsecas (Superficiales): Algunas manchas dentales se desarrollan en la superficie del esmalte por contacto con alimentos pigmentados, bebidas oscuras o tabaco. Suelen ser de color marrón claro u oscuro. Su aparición se da sobre el diente y también entre dos piezas. Las causas más comunes para este tipo es la higiene deficiente y consumo elevado de alimentos y bebidas con fuerte pigmentación. Al ser más superficiales, son más fáciles de quitar.
- Manchas Intrínsecas: Estas manchas se originan dentro del diente y no se eliminan con limpieza convencional. Estas están en el esmalte o en la dentina, formando parte del diente. Otras se originan en el interior del diente, como consecuencia de medicamentos, golpes o envejecimiento.
- Manchas de depósitos blandos: Son de color marrón o blanco y tienen un preocupante origen bacteriano.
- Manchas intrínsecas: Son de color blanco o gris y tienen forma de líneas sobre el esmalte dental.
Manchas por Color
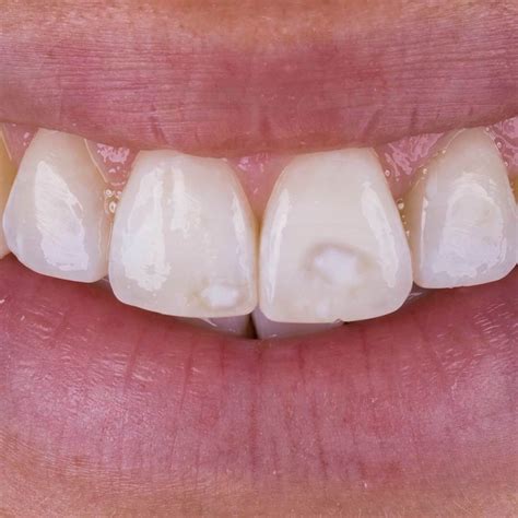
- Manchas Blancas: Las manchas blancas son las más frecuentes y pueden deberse a causas muy dispares. Estas manchas indican pérdida de minerales. Esta afección se puede acompañar de manchas blancas en los dientes que aparecen generalmente en el borde con la encía. Las manchas blancas en los dientes destacan porque son más claras que el color cremoso natural del diente y procede una descalcificación del esmalte. Aunque muchos pacientes desconocen este dato, las manchas blancas en los dientes pueden ser un indicador de caries. Caries incipiente: la caries comienza con una ligera descalcificación del esmalte. Hipoplasia del esmalte: se trata de una malformación del esmalte que tiene lugar durante la niñez.
- Manchas Amarillas: Las manchas amarillas en los dientes son las más frecuentes. Las manchas blancas y amarillas en los dientes son las más frecuentes, pero estos pueden presentar coloraciones muy variadas. Los dientes con manchas amarillas también pueden ser el resultado de un traumatismo. Por su parte, ciertos medicamentos pueden provocar alteraciones en la coloración de los dientes y volverlos amarillentos. Ciertos alimentos y bebidas también pueden estar detrás de este tipo de manchas en los dientes. Las manchas amarillas en los dientes son características del sarro, sobre todo cuando este no se ha tratado en fases iniciales y, como consecuencia, la placa bacteriana se calcifica. Es decir, el tono amarillento puede aparecer como consecuencia del bruxismo, que es un hábito inconsciente que consiste en rechinar y/o apretar los dientes, especialmente durante las horas de sueño. Sin embargo, también puede darse durante el día (bruxismo diurno). Adicionalmente, hay otros factores que conllevan un desgaste del esmalte y que provocan manchas o un aspecto amarillento.
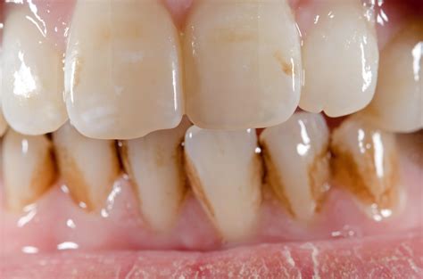
- Manchas Marrones y Negras: Algunas personas de mediana edad tienen manchas de color marrón en sus dientes. Y es que, los malos hábitos de higiene oral también pueden provocar esta coloración de los dientes debido a la aparición de sarro. Las manchas marrones en los dientes pueden aparecer cuando las caries progresan o la acumulación de placa bacteriana (sarro) es severa. Hay veces en las que, al retirar la ortodoncia, pueden aparecer manchas marrones en los dientes por brackets. La aparición de manchas negras entre la encía y el diente suele ser por caries o sarro en fases avanzadas. Destacan mucho por su color oscuro, que puede deberse a una tinción del diente o a la edad. Aunque son las manchas negras en los dientes sean las más antiestéticas de todas porque destacan mucho, son las más fáciles de eliminar porque a menudo son superficiales. También pueden formarse por acumulación de placa bacteriana en los Brackets, debido a una mala higiene. Manchas marrones y negras: se producen por el consumo de café, vino tinto y el hábito de fumar. Una de las causas principales son los hábitos alimenticios. El consumo de café, de té y de bebidas como el vino favorece que los dientes se amarilleen. Las manchas marrones también son muy comunes. Este tipo de manchas pueden deberse a la misma causa que las amarillas (sarro, alimentación, tabaco…). Es decir, hay manchas superficiales que se pueden eliminar de manera relativamente sencilla mediante una limpieza dental profesional.
- Manchas Rojas: Tener una mancha roja en el diente puede ocurrir si este ha sufrido un traumatismo, debido a la hemorragia que se produce en el interior. Otra causa de manchas rojas, aunque poco frecuente, es la porfiria.
- Manchas Azules: Las manchas azules en los dientes pueden aparecer por el consumo de ciertos antibióticos como la minociclina, el linezolid y la amoxicilina.
Causas de las Manchas en los Dientes
El no cepillar los dientes después de cada comida provoca que los restos de alimentos se conviertan en placa bacteriana y, posteriormente, en sarro. Los dientes con sarro tienen una apariencia amarillenta que se manifiesta, sobre todo, en sus bordes. Para evitar que los dientes se vuelvan amarillos por este motivo, es recomendable moderar la frecuencia con la que se consumen alimentos y bebidas con mucha pigmentación. O, en su defecto, cepillarse los dientes 20 minutos después de comer.

Adicionalmente, existen otros factores que pueden contribuir a la aparición de manchas:
- Higiene bucal deficiente: Al tener prácticas descuidadas cuando se trata de la higiene bucal, es fácil permitir a las manchas aparecer en los dientes. Una higiene dental inadecuada es una de las principales razones detrás de la formación de manchas en los dientes.
- Alimentos con Colores Intensos: Como mencionábamos antes, hay alimentos que tienen pigmentos muy fuertes, los cuales pueden manchar de forma irremediable los dientes. Una alimentación rica en pigmentos y ácidos puede tener un impacto significativo en la apariencia de tus dientes. Algunos alimentos y bebidas que merece la pena mencionar incluyen el café, el té, el vino tinto, los refrescos oscuros, los alimentos con colorantes artificiales y los cítricos.
- Consumo de Tabaco: Uno de las más grandes amenazas a la salud bucal, incluyendo para la buena apariencia del esmalte dental, es el fumar tabaco. El hábito de fumar es muy nocivo para la salud general y, por supuesto, para la boca. El mecanismo de acción es similar al de los alimentos y bebidas, salvo que en este caso los responsables son la nicotina y el alquitrán. El tabaco es una de las principales causas de manchas intrínsecas y extrínsecas en los dientes. Los químicos presentes en el tabaco pueden amarillear los dientes y dejar manchas difíciles de eliminar.
- Tratamientos Médicos: Existen medicamentos que tienen el riesgo de causar manchas dentales, sobre todo algunos antibióticos que contienen Tetraciclina, que si son ingeridos en la edad infantil cuando los dientes definitivos pueden salir con tinciones grises y en capas, que dependiendo de la cantidad ingerida será más o menos acusado, esto ocurría en las décadas de los 60 y 70, a día de hoy los antibióticos para niños no contienen este producto. Hay algunos medicamentos que pueden alterar el esmalte dental. La clorhexidina es una sustancia antiséptica que se encuentra en algunos enjuagues y colutorios bucales. Los odontólogos la pautan tras realizar determinados tratamientos dentales, como los raspados y alisados radiculares (curetajes) o las cirugías de implantes. Sin embargo, su uso no controlado da lugar a antiestéticas tinciones y manchas marrones en los dientes. Causas frecuentes: Antibióticos como las tetraciclinas durante el desarrollo dental.
- Traumatismos: Los golpes en la boca, especialmente cuando son directamente en los dientes, pueden causar una necrosis pulpar, es decir, que muera el nervio. Al perder la vitalidad el diente progresivamente ira cambiando su coloración y tinción. Los golpes en la boca también son una de las principales causas por las que aparecen manchas. La pulpa es la parte más interna del diente y la que alberga, a su vez, los vasos sanguíneos y las terminaciones nerviosas. Por ello, si el golpe alcanza la pulpa se produce una necrosis pulpar. Es decir, el nervio muere y, como consecuencia, el diente cambia su color y se vuelve más oscuro. Otra causa puede ser haber sufrido una fractura o un golpe fuerte. Cuando hay un traumatismo importante, el diente puede sufrir un proceso de degradación que lleve a la necrosis. Esos suelen ser los principales motivos que hacen que las piezas dentales presenten esta coloración tan oscura. Traumatismos. Dientes desvitalizados (sin riego sanguíneo).

Tratamientos para las Manchas en los Dientes
Sea cual sea el tipo de mancha, el deber del paciente es asistir oportunamente al dentista. Este debe determinar la causa detrás de la mancha y proponer un tratamiento adecuado. En otras ocasiones estas tinciones dentales son consecuencia de una enfermedad bucal e incluso sistémica y es necesario tratar la causa cuanto antes.
Para eliminar las antiestéticas manchas en los dientes es fundamental que acudas a tu dentista. Por lo general, es recomendable potenciar el efecto de la limpieza con un blanqueamiento dental. Por ello, lo más adecuado es realizar una limpieza profesional para eliminar las manchas superficiales y, posteriormente, recurrir a un blanqueamiento. Así, además de eliminar las manchas, se conseguirá aclarar el color del diente de manera uniforme. Por ejemplo, esto ocurre con unas de las manchas más difíciles de eliminar de todas: las provocadas por las tetraciclinas.
Ya has visto que hay muchos tipos de manchas, algunas incrustadas en la dentina y difíciles de eliminar o matizar. Para ello, los dentistas o higienistas dentales usamos un raspador de metal manual, una pistola de bicarbonato o air flow, o ultrasonidos. Cuando la limpieza profesional no consigue eliminar las manchas de tus dientes, esta puede ser la solución. Para ello, los dentistas o higienistas dentales usamos un raspador de metal manual, una pistola de bicarbonato o air flow, o ultrasonidos.
Si quieres eliminar las manchas y devolverle la luz a tu sonrisa, el blanqueamiento dental es una de las mejores opciones. El blanqueamiento dental es una opción efectiva para eliminar manchas extrínsecas y recuperar la luminosidad de tus dientes. Este procedimiento seguro y probado puede llevarse a cabo en la comodidad de nuestra clínica dental. Durante el tratamiento, se utiliza un gel especial que elimina las manchas y decoloraciones superficiales sin dañar el esmalte dental.
Tratamientos eficaces:
- Blanqueamiento adaptado para tetraciclinas, más prolongado y específico.
- Blanqueamiento interno, si el diente ha sido tratado endodónticamente.
- Carillas dentales en casos en los que el blanqueamiento no es suficiente.
Prevención de Manchas en los Dientes
Para evitar la aparición de manchas, lo primero que hay que hacer es llevar una correcta higiene oral en casa. La prevención es clave para mantener tus dientes libres de manchas. Además del tratamiento, es fundamental que cuides tu salud bucal a diario. Las manchas en los dientes no tienen por qué acompañarte siempre.
Una alimentación equilibrada rica en frutas, verduras y productos lácteos puede fortalecer tus dientes y prevenir manchas. Además, recuerda visitar regularmente a tu dentista para chequeos dentales y limpiezas profesionales.
La aparición de manchas en los dientes es algo que va más allá de una cuestión estética, puede anunciar un problema que desemboque en caries. Y si ya tienes manchas que deseas eliminar, solicita una visita previa al tratamiento de blanqueamiento en Clínicas Den.
En Bellmunt te brindamos la mejor atención y los mejores tratamientos de salud bucodental. Dispones de dos centros en la provincia de Barcelona: una clínica dental en Vilassar de Mar, en la Avenida Montevideo, 164 (teléfono 93 759 29 71) y una clínica dental en Cabrera de Mar, en Can Pau Ferrer, 8 (teléfono 93 750 63 48). Para saber más sobre nuestros tratamientos de estética dental, no te olvides de visitar nuestra página web.
En Instituto Volpe, clínica dental de referencia en Barcelona, tratamos las manchas dentales con precisión y tecnología de última generación. Cuando un paciente acude a una de nuestras clínicas porque tiene manchas en los dientes, suele hacerlo por una razón estética. Sin embargo, esta alteración puede ser un síntoma de una patología o de un trastorno oral, por lo que acudir al dentista también es una cuestión de salud.
Si estás pensando en hacerte un blanqueamiento dental, te invitamos a reservar una primera visita.