En la actualidad, existen diversos tipos de ortodoncia diseñados para solucionar diferentes problemas bucales. La ortodoncia se define como la rama de la odontología que previene y trata las alteraciones en el desarrollo de los maxilares y los dientes.
Existen tres tipos principales de ortodoncia: la preventiva, la interceptiva y la correctiva. Para determinar el tipo de ortodoncia más adecuado, el ortodoncista debe realizar un diagnóstico completo del paciente, incluyendo modelos de estudio tridimensionales de la boca y radiografías panorámicas y laterales del cráneo.

¿Qué es la Ortodoncia Correctiva?
Cuando el tratamiento interceptivo no ha sido suficiente o no se ha realizado, es necesario recurrir a un tratamiento correctivo. Este tipo de ortodoncia se suele realizar con aparatos fijos o removibles y se inicia en la etapa de dentición permanente completa. Es el método más empleado en el tratamiento ortodóncico, respaldado por años de experiencia y evidencia científica.
El "tratamiento de ortodoncia correctiva, completa o de segunda fase" se aplica en pacientes adultos o adolescentes, generalmente durante o después del pico de crecimiento. Se lleva a cabo una vez que se ha completado el recambio dental y el paciente tiene toda su dentición permanente, incluyendo el segundo molar.
Objetivos de la Ortodoncia Correctiva
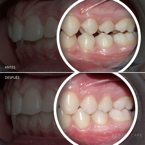
El principal objetivo de estos tratamientos es mejorar la función, la biología y la estética. Al alinear y nivelar los dientes, cambiando su posición a una más idónea, se mejora la función masticatoria del paciente. También se corrigen problemas como dientes inclinados por la ausencia de dientes adyacentes, espacios negros de encía entre dientes rotados o superpuestos, desniveles entre dientes largos y cortos, y apiñamientos que dificultan la higiene.
La ortodoncia correctiva elimina cualquier complejo que puedas tener con tu sonrisa, devolviéndote la autoestima y haciéndote sentir bien contigo mismo. Este es un valor importante en la sociedad actual.
Tipos de Ortodoncia actualizado a 2024 ✅
Tipos de Ortodoncia Correctiva
Actualmente, contamos con diferentes tipos de ortodoncia que podemos ofrecer a nuestros pacientes, cada uno con sus ventajas y desventajas:
- Ortodoncia Fija con Brackets Metálicos: Son los más comunes. Los brackets con autoligado son metálicos y permiten distanciar las visitas para el control de la aparatología.
- Brackets Estéticos: Dentro de la ortodoncia fija, existen brackets estéticos que se mimetizan con el color del diente, ofreciendo una opción más discreta.
- Ortodoncia Lingual: Este tipo de ortodoncia fija actúa desde las caras internas de los dientes, evitando la visualización de los brackets. Por esta razón, se le denomina ortodoncia invisible. La técnica lingual también emplea material metálico.
- Brackets de Zafiro: El zafiro es un material de color blanco-transparente que favorece la estética del paciente portador de ortodoncia.
- Ortodoncia Removible: En este caso, la aparatología puede quitarse de la boca, lo que requiere la responsabilidad del paciente en su utilización adecuada. Aquí se incluyen los alineadores o férulas transparentes, como Invisalign®.

Tabla Comparativa de Tipos de Ortodoncia Correctiva
| Tipo de Ortodoncia | Ventajas | Desventajas |
|---|---|---|
| Brackets Metálicos | Eficaz, económico | Menos estético |
| Brackets Estéticos | Más estético que los metálicos | Ligeramente más caros |
| Ortodoncia Lingual | Invisible | Más caro, puede ser incómodo al principio |
| Alineadores Transparentes | Removible, estético | Requiere disciplina del paciente, puede ser más caro |
¿Cuándo es el Mejor Momento para Llevar Ortodoncia Correctiva?
Siempre que estés dispuesto, será un buen momento. No hay límite de edad para utilizar un tratamiento con ortodoncia. La mayoría de los pacientes que acuden hoy en día al odontólogo son adultos. Los niños están en crecimiento, lo que permite modificar el tratamiento o aventajarnos, por la flexibilidad que esto ofrece.
Asimismo, debemos tener en cuenta que los objetivos de tratamiento y la psicología son diferentes tanto para el ortodoncista que enfoca el caso, como para el paciente que recibe el tratamiento. Y, del mismo modo, la planificación del caso tampoco será igual.
Consideraciones Adicionales
- No hay evidencia científica de mejor aparatología o técnica, por lo que el mejor aparato de ortodoncia es el que el ortodoncista domina, haciéndolo más eficaz.
- No debe notarse dolor si la ortodoncia correctiva está pautada correctamente por tu ortodoncista y tienes buena salud bucal. La aparatología de hoy permite movimientos ligeros deliberando fuerzas continuas y leves en el tiempo.
- Los tratamientos varían en su duración según su complejidad. No siempre serán más largos los tratamientos de adultos, ni los dientes se moverán a una velocidad más lenta que en los niños.

La Importancia de la Retención
Una vez acabado el tratamiento de ortodoncia activa, llega la fase más importante: la retención. Solo esta fase va a permitir que tus dientes no se muevan a largo plazo.
tags: #tipos #de #ortodoncia #correctiva