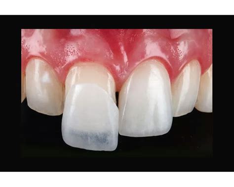
Las carillas dentales son un tratamiento estético que permite mejorar el aspecto de los dientes, convirtiéndose en una solución estrella para conseguir una sonrisa deslumbrante. Estas láminas ultradelgadas se adhieren a la superficie frontal de los dientes para corregir problemas de color, forma, tamaño, separaciones y fracturas menores.

¿Qué son las Carillas Dentales?
Las carillas dentales son láminas extremadamente finas que se adhieren a la parte frontal de los dientes para mejorar su apariencia. Se utilizan en odontología estética para corregir diversos problemas, como el color, la forma, el tamaño de los dientes, los espacios entre ellos y fracturas menores.
Tipos de Carillas Dentales
Existen diversas opciones en el ámbito de las carillas dentales, cada una diseñada para satisfacer distintas necesidades estéticas y funcionales. A día de hoy las carillas dentales se componen básicamente por dos materiales: Porcelana y composite. Fabricadas en distintos materiales, cada tipo de carilla tiene unas características particulares que la hacen diferente.
1. Carillas de Composite
Las carillas de composite están fabricadas con una resina similar a la que utilizamos para los empastes estéticos modernos. Las carillas de composite se elaboran con resina compuesta, lo que las convierte en una opción más asequible. El proceso de colocación es relativamente sencillo. Tras una preparación mínima del diente, el especialista aplica la resina capa por capa, dándole forma y puliendo hasta conseguir el resultado deseado. Sus ventajas incluyen un precio más accesible, rapidez en el tratamiento, facilidad de reparación y un tallado mínimo o nulo del diente natural. El composite se aplica directamente sobre el diente, normalmente en una única sesión. Son más económicas que las carillas de porcelana o disilicato de litio, pero también suelen durar menos tiempo.
2. Carillas de Porcelana
Las carillas de porcelana representan el estándar dorado en estética dental. Este tipo de carillas es muy popular debido a su gran capacidad para mimetizarse con el diente natural. La gran ventaja de los diversos materiales de porcelana o cerámica es su durabilidad. Como característica de las carillas de porcelana es que proporcionan una altísima durabilidad y resistencia. Ofrecen unos resultados muy naturales y apenas son perceptibles. El proceso de colocación requiere varias visitas. En la primera cita, se realiza un tallado mínimo del diente para crear espacio para la carilla. Posteriormente, se toman impresiones precisas que se envían al laboratorio, donde técnicos especializados crearán tus carillas a medida. En una segunda visita, se adhieren definitivamente. Sus ventajas son una estética excelente, gran durabilidad (10-20 años), resistencia a las manchas y al desgaste, y son biocompatibles.

3. Carillas de Disilicato de Litio
Este tipo de carilla es una evolución de la porcelana, utilizando un material cerámico que mezcla cerámica y vidrio. Estas carillas están fabricadas con disilicato de litio, un material que se caracteriza por su alta calidad, resistencia y naturalidad. El principal beneficio de las carillas de mínima invasión es que su proceso de planificación, diseño y fabricación es guiado y 100% digital.Este protocolo disminuye el tiempo total de tratamiento, reduce el margen de error humano y permite que el tallado del esmalte sea mínimo (similar al grosor de un cabello). Por tanto, las carillas mínimamente invasivas requieren muy poca o ninguna preparación del diente antes de su colocación.
4. Carillas de Zirconio
Menos comunes que otros tipos, las carillas de zirconio son reconocidas por su alta resistencia. A pesar del gran uso del zirconio actualmente en la odontología, y su gran resistencia. El principal problema de dichas carillas es que no quedan igual de estéticas por dos motivos: su poca traslucidez y la dificultad para modificarlas de tamaño o forma en la parte del proceso donde se pretende ajustar a las necesidades del paciente.
5. Carillas Ultrafinas
Estas carillas se han popularizado por su diseño delgado, que permite su colocación sin tallar el diente original. Son carillas ultrafinas (de apenas 0,3 mm) que no requieren tallado dental. Son una opción no invasiva para aquellos que buscan mejorar la estética sin comprometer el diente original.
El Proceso de Colocación de Carillas Dentales
El procedimiento para colocar carillas dentales requiere una serie de pasos meticulosos y bien planificados. La primera fase del proceso implica una evaluación exhaustiva de la salud dental del paciente. Durante esta etapa, el dentista examina el estado de los dientes y las encías, buscando posibles problemas que puedan afectar la colocación de las carillas. Es esencial discutir los deseos y expectativas del paciente en relación con el resultado final.
Una vez que se ha realizado la evaluación inicial, se procede a tomar impresiones de los dientes. Estas impresiones son cruciales para la fabricación de carillas personalizadas que se ajustarán de manera precisa a la boca del paciente. Utilizando materiales de alta precisión, el dentista asegura que la forma y la posición de los dientes sean capturadas con exactitud.
Antes de colocar las carillas, es necesario preparar la superficie dental. Las carillas de porcelana requieren un pequeño tallado de la superficie del diente para garantizar un ajuste adecuado. Este procedimiento se realiza con cuidado, minimizando el desgaste del diente original. La cantidad de esmalte a eliminar dependerá de la morfología del diente y del grosor de la carilla.
En el caso de las carillas de composite, la preparación del diente es menos invasiva. A menudo, este tipo de carillas se puede aplicar directamente sobre los dientes sin necesidad de tallar el esmalte dental, lo que las convierte en una opción atractiva para quienes buscan un tratamiento menos agresivo. Las carillas ultrafinas son aún menos invasivas, ya que son extremadamente delgadas y generalmente no requieren tallado del diente.
Una vez que las carillas han sido fabricadas y ajustadas, se procede a su colocación. El dentista utiliza un cemento especial para adherir las carillas a los dientes. Es esencial garantizar que estén en la posición correcta y que ajusten perfectamente con los dientes adyacentes. Después de aplicar la carilla, el dentista verificará la mordida y realizará los ajustes necesarios para que todo quede en armonía.
Carillas de Resina y Porcelana: Pros, Contras y Mi Experiencia.
Tallado Dental: ¿Siempre es Necesario?
Para colocar las carillas dentales, se suelen preparar los dientes previamente: hablamos de dientes tallados o preparados, comúnmente llamados dientes limados. No siempre es imprescindible tallar los dientes antes de colocarlas. Depende del estado de tus piezas dentales y del tipo de material que elijas. El tallado consiste en perfilar el esmalte de un modo superficial antes de adherir las carillas. Así, se asegura una mejor fijación a la pieza dental.
El tallado de los dientes naturales consiste en el contorneado de una parte del esmalte, que es la capa más superficial. Por lo tanto, hay que tener en cuenta que es un proceso irreversible para el diente. Por ello, es crucial que el dentista valore la salud oral del paciente a fin de conocer sus necesidades y preferencias.
Cuidados Posteriores y Mantenimiento
El cuidado de las carillas dentales es fundamental para prolongar su vida útil y mantener su estética. Es importante seguir prácticas adecuadas de higiene bucal. Esto incluye cepillarse los dientes al menos dos veces al día y utilizar hilo dental con regularidad. Asimismo, se debe tener cuidado con el consumo de ciertos alimentos y bebidas que pueden afectar las carillas, como aquellos muy duros o que tienden a manchar, como el café y el vino tinto.
Considerar el uso de un protector bucal si se practican deportes de contacto o si se tiene la costumbre de apretar o rechinar los dientes durante la noche puede ser muy beneficioso.
¿Cuándo No son Recomendables las Carillas Dentales?
Las carillas dentales no son apropiadas para todas las personas:
- Bruxismo importante: Cuando la costumbre de rechinar los dientes es dañina para tu salud dental, supone un problema significativo para las carillas. Los estudios demuestran un mayor riesgo de rotura o despegado de carillas en pacientes que sufren esta condición.
- Mala salud de las encías: Los problemas gingivales como la gingivitis o la periodontitis pueden ser un obstáculo para este tratamiento.
Si sufres alguno de estos problemas bucales, debes saber que existen otras alternativas para mejorar el aspecto de tu dentadura.
Coste de las Carillas Dentales
El coste del tratamiento varía según el material elegido. En España, el precio de una carilla de disilicato de litio ronda los 400 €, de manera aproximada. El precio de las carillas dentales puede variar significativamente según el material y la clínica dental.
- Carillas de composite: Estas son las más asequibles, hechas de resina compuesta. Su precio por diente oscila entre 150 y 300 euros, dependiendo de la clínica y de si son hechas directamente o prefabricadas.
- Carillas de cerámica: Son más duraderas y resistentes a las manchas, lo que las convierte en una opción muy popular. El coste por diente suele variar entre 400 y 700 euros, siendo una inversión a largo plazo dada su duración, que puede superar los 10 años.
Este presupuesto no incluye las carillas provisionales que pueda requerir el paciente ni cualquier otro procedimiento adicional.
Alternativas a las Carillas Dentales
Existen diversas alternativas a las carillas dentales que se pueden considerar para mejorar la estética de la sonrisa.
Consideraciones Finales
La elección de carillas dentales implica contemplar no solo los resultados estéticos, sino también sus efectos funcionales en la salud bucal. Las carillas dentales son una herramienta poderosa en el ámbito de la estética dental. Proporcionan una solución efectiva para diversos problemas estéticos, como dientes desiguales, manchas o desgaste dental. Las carillas no solo se enfocan en lo estético; también pueden influir positivamente en la salud dental en general.
Un cambio estético positivo puede repercutir en el bienestar emocional del paciente. Las carillas no solo mejoran la apariencia de la sonrisa, sino que también pueden aportar confianza y bienestar emocional.
Preguntas Frecuentes
Existen numerosas inquietudes en torno a las carillas dentales, ya que son un tratamiento popular para mejorar la estética y salud dental.
¿Cuánto duran las carillas dentales?
La duración de las carillas dentales puede variar dependiendo del tipo de material utilizado y los hábitos de cuidado del paciente. Generalmente, las carillas de porcelana pueden durar entre 15 y 20 años. Por su parte, las carillas de composite tienen una vida útil de aproximadamente 5 a 10 años, mientras que las carillas de cerámica de disilicato de litio pueden superar los 20 años, brindando un aspecto estético duradero.
¿Es reversible el procedimiento de colocación de carillas dentales?
El procedimiento para colocar carillas dentales no es reversible. Esto se debe a que, en la mayoría de los casos, se requiere tallar ligeramente la superficie del diente original para asegurar un ajuste adecuado de la carilla. Como resultado, una vez colocadas, las carillas forman parte permanente de la estructura dental del paciente.
¿Es importante la salud de las encías para las carillas dentales?
La salud de las encías es crucial para el éxito de las carillas dentales. Por lo tanto, un chequeo dental previo es fundamental para asegurar que no existan problemas periodontales que puedan comprometer la colocación y durabilidad de las carillas.
Ahora ya conoces con más detalle todo sobre la preparación de los dientes para carillas.