La tomografía computarizada de haz cónico (TCHC), más comúnmente conocida por sus siglas en inglés (CBCT, cone beam computed tomography), también se conoce como 3D gracias a su capacidad para generar imágenes tridimensionales, es, indudablemente, la técnica de diagnóstico por imagen con mayor proyección actualmente.
El Cone beam o CBCT (Cone Beam Computed Tomography), llamado también tomografía volumétrica digital de haz cónico, es una técnica de imagen seccional en 3D en pleno auge. Primero, definiremos el Cone Beam y analizaremos el principio físico de este procedimiento radiológico. A continuación, veremos rápidamente las diferencias entre el escáner y el Cone Beam. Reflexionaremos sobre las ventajas y los límites del CBCT, siempre comparándolo con el escáner. Por último, volveremos a tratar las indicaciones de esta técnica.
El desarrollo de la CBCT como técnica de diagnóstico bucofacial representa un cambio radical de la radiología dental y maxilofacial, ya que acerca la tomografía computarizada a la práctica clínica diaria. El éxito de la CBCT se debe a que ha facilitado de forma generalizada la transición de las imágenes radiográficas, en el diagnóstico odontoestomatológico, desde el 2D al 3D.

Esquema de la tomografía computarizada de haz cónico (CBCT)
¿Qué es el TAC Dental CBCT?
Como su nombre indica, el tac dental consiste en un generador de rayos X que emite un haz de irradiación abierto de forma cónica que, en una rotación completa (360º) o semicompleta (180º), permite recorrer todo el volumen a explorar antes de analizarlo tras atenuar los rayos mediante un sistema de detección.
La técnica pudo ser desarrollada gracias al aumento en el rendimiento de los procesadores informáticos en los años 1990 y del desarrollo de tubos de rayos X capaces de efectuar una exposición continua. El primer aparato CBCT para uso dental, inventado por Tacconi y Mozzo, fue denominado NewTom®.
Ventajas del CBCT
El escáner CBCT nos reporta múltiples beneficios en comparación con otras técnicas.
- Baja radiación: La radiación a la que debe someterse el paciente es muy baja. Las dosis de exposición del Cône Beam son de 1,5 a 12 veces más bajas que los escáneres médicos convencionales.
- Rapidez: La duración del estudio es mucho más corto. Todo el proceso de tomado de radiografía 3D y envío al ordenador se lleva a cabo en aproximadamente unos dos minutos.
- Comodidad: En el CBCT, al paciente se le realiza el escáner de pie, en vez de tumbado como se hace en el TAC. De esta forma conseguimos llevar a cabo un examen en la posición natural de la cabeza. La toma de la imagen es más sencilla, rápida y cómoda para el paciente, que no está obligado a estar tumbado, sino que está de pie como para la toma de una imagen panorámica.
- Costo: El CBCT es bastante más barato que el escáner.
La gran diferencia a destacar entre ambos, es el grado de radiación al que es sometido el paciente. Asimismo, la duración del estudio es mucho más corto.
ventajas y desventajas de las radiografías computarizada , directa con respecto a la convencional.
Limitaciones del Cone Beam
En la fase de toma de imágenes por CBCT, el paciente está de pie, por lo que es difícil permanecer inmóvil durante el tiempo de la rotación del aparato (20-30 segundos). El riesgo de que el paciente se mueva es por lo tanto significativo, lo que puede causar artefactos cinéticos. Dada a la duración relativamente larga de la toma de imagen en comparación con el escáner, todos los dispositivos Cone beam deben incluir un sistema de inmovilización eficaz para limitar este riesgo de desplazamiento casi inexistente en la tomografía debido a un tiempo de exposición muy corto (aprox.
Aunque el Cone beam proporciona una resolución más alta que la imagen panorámica dental o el escáner, su escala de densidad es mucho menor debido a su baja irradiación. Cuanto más elevada es la relación señal/ruido (S/R), mejor es la resolución en densidad.
Indicaciones del CBCT
Actualmente se prescribe cuando no se necesita realizar un estudio de los tejidos blandos y cuando una imagen 3D es necesaria. Las ventajas del Cone beam ya están bien determinadas en todos los campos de la imaginería dentomaxilar.
Especialidades Indicadas
Debido a sus cualidades de doble medición y la precisión que aporta gracias a su particularidad isotrópica que garantiza mediciones lineales exactas, el CBCT se aplica en implantología que necesita mucho uso de la biometría. Permite establecer una evaluación preoperatoria del diagnóstico tras un examen clínico y radiológico estándar del paciente, para establecer la conveniencia de la colocación del implante en caso de duda o establecer la contraindicación, y en algunos casos para realizar el seguimiento postoperatorio.
El uso del TAC Dental está indicado para otorrinolaringología y cirugía maxilofacial. Permite principalmente la exploración de los senos de la cara y las fosas nasales, la navegación quirúrgica con imágenes preoperatorias en cirugía endoscópica del seno y la realización de una evaluación de las patologías de los ATM (articulaciones temporomandibulares).
Además, se trata de una herramienta muy práctica para detectar un posible fracaso en endodoncia, debido a su capacidad para ver cómo han sido tratados los conductos y la longitud que puede alcanzar la obturación.
Oído y Senos Paranasales
- Estudios de oído: Las imágenes CBCT identifican la correcta posición de los implantes tanto en la ventana redonda como en el yunque, con la ventaja de exponer al paciente a menos dosis de exposición.
- Estudio de senos: En el estudio de senos paranasales, se puede observar senos maxilares, etmoidales, frontales, esfenoidales, fosas nasales y retrofaringe.
Consideraciones en Implantología
A fines de la década de 1990 se incorporó a la odontología la tomografía computarizada de haz cónico (CBCT, del inglés cone-beam computed tomography), con aplicaciones en distintas especialidades, incluyendo la implantología.
La CBCT es empleada principalmente en la evaluación pre-quirúrgica en implantología para:
- Determinar las características cuantitativas del proceso alveolar.
- Determinar las características cualitativas del proceso alveolar.
- Determinar las características morfológicas del proceso alveolar.
- Determinar las características anatómicas y/o patológicas del proceso alveolar.

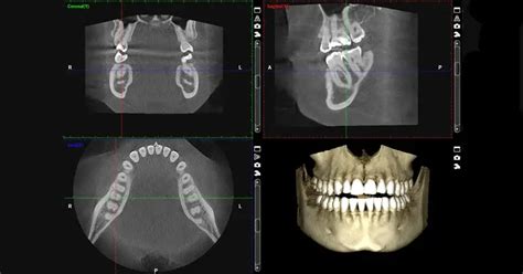
Ejemplo de imagen obtenida mediante TAC Dental
Fases del Tratamiento con Implantes y el Rol del CBCT
La CBCT juega un papel importante en las diferentes fases del tratamiento con implantes:
- Fase Pre-quirúrgica: Corresponde a la fase previa a la colocación de los implantes. Esta fase se compone de dos etapas: etapa de diagnóstico por imagen pre-quirúrgica y etapa de planificación pre-quirúrgica. En la etapa de diagnóstico por imagen pre-quirúrgica se analiza la situación inicial del paciente, evaluando no sólo el sitio a rehabilitar sino también el estado general de la dentición remanente cuando ésta exista.
- Fase Quirúrgica: Esta fase se centra fundamentalmente en el tratamiento quirúrgico, en el que la imagenología juega un rol importante para que el clínico asegure la correcta posición y orientación del implante durante e inmediatamente después de la cirugía.
- Fase de Mantenimiento: Corresponde al período comprendido desde la colocación del implante, prolongándose por todo el tiempo que este implante permanezca en el tejido óseo. Lo que se busca en esta fase a través del examen imagenológico es determinar posibles cambios de posición del implante.
La elección del aparato de radio Cone beam depende del pliego de condiciones a cumplir, ya que existen aparatos con mejor rendimiento en implantología, y otros están más orientados al diagnóstico en patología y cirugía oral, o incluso en endodoncia.
Consideraciones sobre las Guías de Uso de CBCT
Si bien en la actualidad existe creciente evidencia científica que avala los beneficios que aporta la CBCT en una serie de indicaciones clínicas, hasta hace poco tiempo no existían guías ni parámetros establecidos que determinaran el uso apropiado de la CBCT. Esta situación, sumada a la rápida y descontrolada adopción de esta tecnología en la práctica odontológica, podría dar lugar a un uso poco crítico, injustificado e incorrecto del equipo.
tags: #tomografia #cone #beam #maxilar #inferior