Si estás en tratamiento de ortodoncia, es probable que tu ortodoncista te haya mencionado los "topes oclusales" o "levante de mordida". Pero, ¿qué son exactamente y para qué sirven? En este artículo, te explicamos todo lo que necesitas saber sobre los topes oclusales.
Entendiendo los Topes Oclusales
Los topes oclusales, también conocidos como levantes de mordida, son pequeños elementos utilizados en tratamientos de ortodoncia que evitan que los dientes engranen de forma completa.

¿Qué son los topes oclusales?
Los topes oclusales se colocan en los dientes para prevenir el contacto excesivo entre los dientes superiores e inferiores, ayudando a aliviar la presión en ciertas áreas de la boca.
¿Qué funciones tienen?
Los topes oclusales al crear «desoclusión» (desengranar los dientes) y dependiendo de si son colocados en la parte anterior o posterior tienen diferentes funciones, entre las cuales están:
- Desengranar los dientes para solventar mordidas cruzadas.
- Extrusión de los dientes posteriores así como la intrusión de los dientes anteriores: esto se consigue al colocarlos en la parte anterior.
- Evitar contactos de los dientes superiores con los brackets inferiores: los contactos muy fuertes entre dientes superiores contra los brackets inferiores pueden facilitar la caída de brackets.
- Estabilizar la mordida de forma temporal: En algunos tratamientos, pasamos por mordidas transicionales hasta conseguir la oclusón ideal. Estas mordidas transicionales pueden ser incómodas para el paciente. En estos casos los levantes de mordida pueden aliviar dichas molestias permitiendo tener contactos estables al morder.

Cuando se localiza en la parte anterior también recibe el nombre de «Turbo Bites»

Tipos de Topes Oclusales
El levantamiento de mordida es un método esencial en ortodoncia utilizado para mejorar la oclusión dental. Su propósito principal es crear una separación entre los dientes de arriba y los de abajo. Esta técnica se aplica tanto en la parte anterior como en la posterior de la cavidad bucal, según la necesidad del paciente. Dependiendo del tipo de maloclusión, el ortodoncista determinará la ubicación más adecuada.
Frecuentemente conocida como topes oclusales, la elevación de mordida ayuda a desbloquear la oclusión dental, permitiendo que los dientes superiores no rocen contra los brackets inferiores.
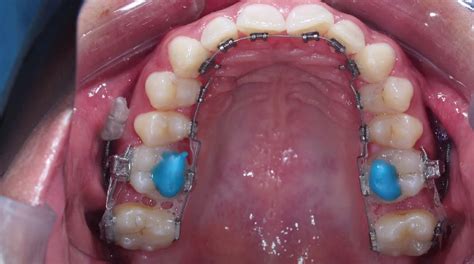
- Región anterior: Levante efectuado en las caras palatinas de los incisivos centrales superiores.
- Región posterior: Levante realizado en la cara oclusal de los molares y premolares.
Materiales Utilizados en el Levante de Mordida
La elección de materiales para el levante de mordida es clave para la efectividad del tratamiento. A continuación, se describen los materiales más utilizados.
- Composite: Es el material más comúnmente utilizado, conocido por su durabilidad y fácil manipulación. Se emplea para crear tanto levantes de mordida prefabricados como personalizados.
- Resina fotopolimerizable: Este material se usa particularmente en levantes posteriores y tiene la ventaja de liberar flúor, lo que brinda protección adicional a los dientes.
- Mini moldes de composite: Permiten una aplicación rápida y precisa, especialmente útil en la región anterior.
La elección del material adecuado es fundamental para garantizar un tratamiento exitoso y duradero.
Duración del Tratamiento
La duración del tratamiento de levante de mordida puede variar según el caso individual de cada paciente. Usualmente, los levantes de mordida permanecen en la boca alrededor de 8 meses. En casos más complejos, como aquellos que requieren tratamientos más prolongados, se pueden aplicar técnicas alternativas. Por ejemplo, los levantes en los segundos molares se pueden retirar y reintegrar después de algunos meses.
Factores como el tipo de maloclusión y la respuesta del paciente al tratamiento son determinantes. Los levantes de mordida pueden ser temporales y se retiran una vez que se ha logrado el objetivo deseado, minimizando cualquier incomodidad a largo plazo.
Levante de Mordida Posterior
El levante de mordida posterior es una técnica precisa recomendada por el ortodoncista para asegurar la alineación dental correcta y prevenir complicaciones antes de la colocación de los brackets. En pacientes con overjet aumentado, se sugiere colocar el ajuste en los caninos para brindar un mejor soporte.
Materiales Recomendados
El éxito del ajuste de la mordida posterior depende en gran medida de los materiales utilizados. Las resinas compuestas son las más comúnmente recomendadas por su capacidad de adaptación y resistencia. Otros materiales que pueden ser utilizados incluyen acrílico, ionómero de vidrio y cerámica, cada uno con sus propias ventajas y desventajas, que el ortodoncista evaluará y recomendará según las necesidades específicas del paciente.
Duración y Mantenimiento
La duración del ajuste de la mordida posterior puede variar de un paciente a otro y depende del material utilizado, pudiendo abarcar desde unos pocos meses hasta más de un año. Es crucial que los pacientes asistan a las citas de seguimiento programadas por el ortodoncista para evaluar la efectividad del tratamiento y llevar a cabo los ajustes necesarios.
Levante de Mordida Anterior
El levante de mordida anterior se puede realizar mediante diversas técnicas. La elección del método depende de factores como el diagnóstico clínico, la preferencia del ortodoncista y las necesidades específicas del paciente.
Métodos de Confección
- Resina compuesta: Utilizada por su versatilidad y facilidad de aplicación.
- Coronas temporales: En casos donde se requiere una solución temporal.
- Dispositivos removibles: Permiten ajustes periódicos y son ideales para pacientes en crecimiento.
Es fundamental que el ortodoncista evalúe cada caso individualmente para seleccionar el método más adecuado y asegurar un resultado exitoso.
El levante de mordida anterior se utiliza principalmente para tratar ciertos problemas ortodónticos, como la corrección de sobremordida, la prevención de desgaste dental y el tratamiento de maloclusiones.

Materiales para el Levante de Mordida Anterior
- Resina compuesta: Popular por su adaptabilidad y estética.
- Acrílico: Utilizado en dispositivos removibles, proporciona una opción duradera y económica.
- Cerámica: En soluciones permanentes como coronas, la cerámica ofrece una excelente estética y resistencia.
Patologías que corrige el levante de mordida
El levante de mordida puede ser una solución eficaz para diversos problemas de oclusión, la oclusión dental adecuada es esencial para la función y la estética bucal.
- Clase 1: En la oclusión Clase 1, los problemas surgen de la posición de los dientes más que de la estructura del maxilar. Aunque los maxilares tienen una relación normal, los dientes pueden estar apiñados o desalineados.
- Clase 2: El retrognatismo o Clase 2 se caracteriza por un maxilar superior que sobresale significativamente sobre el maxilar inferior. Esto no solo afecta la estética facial, sino que también puede causar problemas funcionales al masticar y hablar.
- Clase 3: La mordida cruzada y la mordida abierta, ambas de Clase 3, ocurren cuando los dientes superiores se alinean detrás de los inferiores, o hay un espacio notable entre ellos al morder.
El levante de mordida ayuda a redistribuir la presión dental, mejorando la alineación y la función de los dientes. Los pacientes y los profesionales dentales deben considerar esta técnica como una opción viable para tratar problemas de oclusión que afectan la calidad de vida.
Recomendaciones para pacientes de ortodoncia con topes Oclusales
Cuidado y Mantenimiento
- Higiene Oral Rigurosa: Mantén una rutina de higiene bucal estricta. Los topes oclusales pueden acumular placa si no se limpian adecuadamente.
- Evita Alimentos Duros o Pegajosos: Estos pueden dañar o desplazar los topes oclusales.
- Revisiones Periódicas: Es crucial asistir a todas tus citas programadas. Tu ortodoncista ajustará o reemplazará los topes oclusales según sea necesario.
- Periodo de Ajuste: Puede tomar un tiempo acostumbrarse a los topes oclusales. Ten paciencia y sigue las instrucciones de tu ortodoncista.
Es cierto que puede tomar un tiempo acostumbrarse a ellos, pero en 1-2 semanas ya no te acordarás de ellos.
Beneficios de los Topes Oclusales
- Mejora de la Mordida: Ayudan a corregir problemas de mordida, lo que lleva a una función masticatoria más eficiente.
- Prevención de Daños: Protegen contra el desgaste excesivo de los dientes.
Los levantes de mordida pueden utilizarse también con la ortodoncia invisible.
Si tienes alguna pregunta o necesitas más información sobre ortodoncia no dudes en contactarme. Soy especialista en ortodoncia invisible en Las Palmas de Gran Canaria y Telde, así como ortodoncia con brackets en el paciente adulto e infantil.

🛑𝑻𝑶𝑷𝑬𝑺 𝑫𝑬 𝑹𝑬𝑺𝑰𝑵𝑨 para levantar MORDIDA🛑Que son los LEVANTES DE MORIDA en ortodoncia con BRACKETS
| Característica | Topes Oclusales Anteriores | Topes Oclusales Posteriores |
|---|---|---|
| Ubicación | Caras palatinas de los incisivos centrales superiores | Cara oclusal de los molares y premolares |
| Función Principal | Intrusión de dientes anteriores, extrusión de dientes posteriores | Desoclusión para corregir mordidas cruzadas |
| Materiales Comunes | Resina compuesta, acrílico, cerámica | Resina compuesta, resina fotopolimerizable |
| Ventajas | Estética, fácil ajuste | Protección con flúor (resina fotopolimerizable) |