Si estás en tratamiento de ortodoncia, es probable que hayas escuchado sobre los topes oclusales o levantes de mordida. Estos pequeños elementos juegan un papel crucial en ciertos tratamientos. Aquí te explicamos todo lo que necesitas saber.

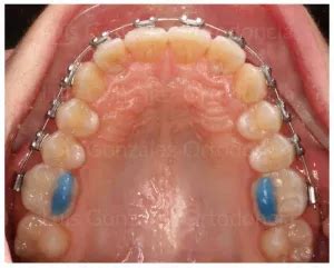
Ejemplo de Topes oclusales posteriores realizados con composite azul.
Entendiendo los Topes Oclusales
Los topes oclusales, también conocidos como levantes de mordida, son pequeños elementos utilizados en tratamientos de ortodoncia que evitan que los dientes engranen de forma completa.
¿Qué son los topes oclusales?
Los topes oclusales se colocan en los dientes para prevenir el contacto excesivo entre los dientes superiores e inferiores. Esto ayuda a aliviar la presión en ciertas áreas de la boca.
¿Qué funciones tienen?
Los topes oclusales al crear «desoclusión» (desengranar los dientes) y dependiendo de si son colocados en la parte anterior o posterior tienen diferentes funciones, entre las cuales están:
- Desengranar los dientes para solventar mordidas cruzadas.
- Extrusión de los dientes posteriores así como la intrusión de los dientes anteriores: esto se consigue al colocarlos en la parte anterior.
- Evitar contactos de los dientes superiores con los brackets inferiores: los contactos muy fuertes entre dientes superiores contra los brackets inferiores pueden facilitar la caída de brackets.
- Estabilizar la mordida de forma temporal: En algunos tratamientos, pasamos por mordidas transicionales hasta conseguir la oclusón ideal. Estas mordidas transicionales pueden ser incómodas para el paciente. En estos casos los levantes de mordida pueden aliviar dichas molestias permitiendo tener contactos estables al morder.

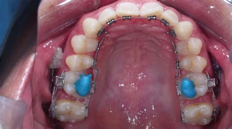
Ejemplo de Tope oclusal o levante de mordida. Cuando se localiza en la parte anterior también recibe el nombre de «Turbo Bites»
🛑𝑻𝑶𝑷𝑬𝑺 𝑫𝑬 𝑹𝑬𝑺𝑰𝑵𝑨 para levantar MORDIDA🛑Que son los LEVANTES DE MORIDA en ortodoncia con BRACKETS
Beneficios del levante de mordida
Existen diversos beneficios esenciales para la salud dental y la calidad de vida del paciente.
- Mejora de la Mordida: Ayudan a corregir problemas de mordida, lo que lleva a una función masticatoria más eficiente.
- Prevención de Daños: Protegen contra el desgaste excesivo de los dientes.
- Mejora la estética dental: Al corregir la oclusión, se logra una alineación más adecuada de los dientes, dando como resultado una sonrisa más atractiva.
- Prevención de lesiones bucales: Al evitar el contacto entre los dientes superiores e inferiores, se disminuye el riesgo de heridas en labios, lengua y mejillas.
- Mejora la funcionalidad dental: Permite una masticación más efectiva y cómoda, lo cual es crucial para la digestión y la salud general.
- Previene problemas futuros: Al corregir maloclusiones a tiempo, se evitan complicaciones más extremas que podrían requerir tratamientos más invasivos.
Materiales utilizados en el levante de mordida
La elección de materiales para el levante de mordida es clave para la efectividad del tratamiento. A continuación, se describen los materiales más utilizados.
- Composite: Es el material más comúnmente utilizado. Este material es conocido por su durabilidad y fácil manipulación. Se emplea para crear tanto levantes de mordida prefabricados como personalizados.
- Resina fotopolimerizable: Este material se usa particularmente en levantes posteriores y tiene la ventaja de liberar flúor, lo que brinda protección adicional a los dientes.
- Mini moldes de composite: Los mini moldes de composite permiten una aplicación rápida y precisa, especialmente útil en la región anterior.
Duración del tratamiento
La duración del tratamiento de levante de mordida puede variar según el caso individual de cada paciente. Usualmente, los levantes de mordida permanecen en la boca alrededor de 8 meses.
Factores como el tipo de maloclusión y la respuesta del paciente al tratamiento son determinantes. Los levantes de mordida pueden ser temporales y se retiran una vez que se ha logrado el objetivo deseado.
Tipos de levante de mordida
El levante de mordida se puede aplicar en diferentes áreas de la boca, dependiendo de las necesidades del paciente:
- Región anterior: Levante efectuado en las caras palatinas de los incisivos centrales superiores.
- Región posterior: Levante realizado en la cara oclusal de los molares y premolares.
Levante de mordida posterior: Procedimiento y aplicaciones
El levante de mordida posterior es una técnica precisa recomendada por el ortodoncista para asegurar la alineación dental correcta y prevenir complicaciones antes de la colocación de los brackets.
En pacientes con overjet aumentado, se sugiere colocar el ajuste en los caninos para brindar un mejor soporte. Para corregir mordidas irregulares, se puede aplicar el ajuste uniendo los dientes anteriores de canino a canino, lo que ayuda a prevenir la formación de espacios entre los dientes.
Las resinas compuestas son las más comúnmente recomendadas por su capacidad de adaptación y resistencia. Otros materiales que pueden ser utilizados incluyen acrílico, ionómero de vidrio y cerámica, cada uno con sus propias ventajas y desventajas.
Levante de mordida anterior: Técnica y casos de uso
El levante de mordida anterior se puede realizar mediante diversas técnicas. La elección del método depende de factores como el diagnóstico clínico, la preferencia del ortodoncista y las necesidades específicas del paciente.
Entre los métodos más comunes, encontramos:
- Resina compuesta: Utilizada por su versatilidad y facilidad de aplicación, la resina compuesta es una opción popular para el levante de mordida anterior.
- Coronas temporales: En casos donde se requiere una solución temporal, las coronas pueden proporcionar una elevación de mordida efectiva.
- Dispositivos removibles: Estos aparatos permiten ajustes periódicos y son ideales para pacientes en crecimiento.
El levante de mordida anterior se utiliza principalmente para tratar ciertos problemas ortodónticos:
- Corrección de sobremordida: Cuando los dientes superiores cubren excesivamente los inferiores, el levante ayuda a equilibrar la mordida.
- Prevención de desgaste dental: Una mordida desequilibrada puede llevar al desgaste prematuro de los dientes.
- Tratamiento de maloclusiones: En casos de maloclusiones severas, un levante puede mejorar la funcionalidad y estética dental.
Patologías que corrige el levante de mordida
El levante de mordida puede ser una solución eficaz para diversos problemas de oclusión, que a menudo se clasifican en tres categorías principales: Clase 1, Clase 2 y Clase 3. La oclusión dental adecuada es esencial para la función y la estética bucal.
En la oclusión Clase 1, los problemas surgen de la posición de los dientes más que de la estructura del maxilar. Aunque los maxilares tienen una relación normal, los dientes pueden estar apiñados o desalineados.
El retrognatismo o Clase 2 se caracteriza por un maxilar superior que sobresale significativamente sobre el maxilar inferior. Esto no solo afecta la estética facial, sino que también puede causar problemas funcionales al masticar y hablar.
La mordida cruzada y la mordida abierta, ambas de Clase 3, ocurren cuando los dientes superiores se alinean detrás de los inferiores, o hay un espacio notable entre ellos al morder.
El levante de mordida ayuda a redistribuir la presión dental, mejorando la alineación y la función de los dientes.
Recomendaciones para pacientes de ortodoncia con topes Oclusales
Cuidado y Mantenimiento
- Higiene Oral Rigurosa: Mantén una rutina de higiene bucal estricta. Los topes oclusales pueden acumular placa si no se limpian adecuadamente.
- Evita Alimentos Duros o Pegajosos: Estos pueden dañar o desplazar los topes oclusales.
- Revisiones Periódicas: Es crucial asistir a todas tus citas programadas. Tu ortodoncista ajustará o reemplazará los topes oclusales según sea necesario.
- Periodo de Ajuste: Puede tomar un tiempo acostumbrarse a los topes oclusales. Ten paciencia y sigue las instrucciones de tu ortodoncista.
¿Se evitan los topes oclusales con los alineadores?
Los levantes de mordida pueden utilizarse también con la ortodoncia invisible.
Es cierto que puede tomar un tiempo acostumbrarse a ellos, pero en 1-2 semanas ya no te acordarás de ellos.
tags: #topes #ortodoncia #experiencia