El levante de mordida es un método esencial en ortodoncia utilizado para mejorar la oclusión dental. Su propósito principal es crear una separación entre los dientes de arriba y los de abajo. Esta técnica se aplica tanto en la parte anterior como en la posterior de la cavidad bucal, según la necesidad del paciente.
Dependiendo del tipo de maloclusión, el ortodoncista determinará la ubicación más adecuada. Frecuentemente conocida como topes oclusales, la elevación de mordida ayuda a desbloquear la oclusión dental, permitiendo que los dientes superiores no rocen contra los brackets inferiores.
Se utiliza en tratamientos ortodónticos linguales, vestibulares y con alineadores. El levante de mordida no solo mejora la estética dental, sino que también previene las lesiones bucales y mejora la funcionalidad de los dientes. Por lo tanto, el levante de mordida es una técnica clave en ortodoncia para resolver problemas de oclusión y mejora la salud dental general.

Beneficios del Levante de Mordida
¿Por qué es tan beneficioso el levante de mordida? Existen diversos beneficios esenciales para la salud dental y la calidad de vida del paciente.
- Mejora la estética dental: Al corregir la oclusión, se logra una alineación más adecuada de los dientes, dando como resultado una sonrisa más atractiva.
- Prevención de lesiones bucales: Al evitar el contacto entre los dientes superiores e inferiores, se disminuye el riesgo de heridas en labios, lengua y mejillas.
- Mejora la funcionalidad dental: Permite una masticación más efectiva y cómoda, lo cual es crucial para la digestión y la salud general.
- Prevención de problemas futuros: Al corregir maloclusiones a tiempo, se evitan complicaciones más extremas que podrían requerir tratamientos más invasivos.
En definitiva, los beneficios del levante de mordida son múltiples y significativos para los pacientes y profesionales dentales por igual.
Materiales Utilizados en el Levante de Mordida
La elección de materiales para el levante de mordida es clave para la efectividad del tratamiento. A continuación, se describen los materiales más utilizados.
- Composite: Es el material más comúnmente utilizado, conocido por su durabilidad y fácil manipulación. Se emplea para crear tanto levantes de mordida prefabricados como personalizados.
- Resina fotopolimerizable: Se usa particularmente en levantes posteriores y tiene la ventaja de liberar flúor, lo que brinda protección adicional a los dientes.
- Mini moldes de composite: Permiten una aplicación rápida y precisa, especialmente útil en la región anterior.
Es esencial destacar que, la elección del material adecuado es fundamental para garantizar un tratamiento exitoso y duradero.
Duración del Tratamiento
La duración del tratamiento de levante de mordida puede variar según el caso individual de cada paciente. Usualmente, los levantes de mordida permanecen en la boca alrededor de 8 meses.
En casos más complejos, como aquellos que requieren tratamientos más prolongados, se pueden aplicar técnicas alternativas. Por ejemplo, los levantes en los segundos molares se pueden retirar y reintegrar después de algunos meses. Factores como el tipo de maloclusión y la respuesta del paciente al tratamiento son determinantes.
Un aspecto importante es que los levantes de mordida pueden ser temporales y se retiran una vez que se ha logrado el objetivo deseado. Esto minimiza cualquier incomodidad a largo plazo. Finalmente, la duración del tratamiento se ajusta a las necesidades específicas del paciente, brindando flexibilidad y efectividad.
Levante de Mordida Posterior: Procedimiento y Aplicaciones
El levante de mordida posterior es una técnica precisa recomendada por el ortodoncista para asegurar la alineación dental correcta y prevenir complicaciones antes de la colocación de los brackets. En pacientes con overjet aumentado, se sugiere colocar el ajuste en los caninos para brindar un mejor soporte. Para corregir mordidas irregulares, se puede aplicar el ajuste uniendo los dientes anteriores de canino a canino, lo que ayuda a prevenir la formación de espacios entre los dientes.
Indicaciones para Pacientes
Es esencial que los pacientes comprendan la importancia del ajuste de la mordida posterior y cómo cuidarlo correctamente, siguiendo las recomendaciones del ortodoncista. La higiene oral adecuada es crucial para prevenir la acumulación de placa y caries, por lo que se deben usar enjuagues bucales y cepillos interdentales según lo recomendado. Además, se debe evitar consumir alimentos duros y pegajosos que puedan dañar el ajuste.
Materiales Recomendados
El éxito del ajuste de la mordida posterior depende en gran medida de los materiales utilizados. Las resinas compuestas son las más comúnmente recomendadas por su capacidad de adaptación y resistencia. Otros materiales que pueden ser utilizados incluyen acrílico, ionómero de vidrio y cerámica, cada uno con sus propias ventajas y desventajas, que el ortodoncista evaluará y recomendará según las necesidades específicas del paciente.
Duración y Mantenimiento
La duración del ajuste de la mordida posterior puede variar de un paciente a otro y depende del material utilizado, pudiendo abarcar desde unos pocos meses hasta más de un año. Es crucial que los pacientes asistan a las citas de seguimiento programadas por el ortodoncista para evaluar la efectividad del tratamiento y llevar a cabo los ajustes necesarios. Además, mantener una buena higiene oral durante todo el tratamiento es fundamental para garantizar su durabilidad y efectividad a largo plazo.
Levante de Mordida Anterior: Técnica y Casos de Uso
El levante de mordida anterior se puede realizar mediante diversas técnicas. La elección del método depende de factores como el diagnóstico clínico, la preferencia del ortodoncista y las necesidades específicas del paciente.
Métodos de Confección
- Resina compuesta: Utilizada por su versatilidad y facilidad de aplicación, la resina compuesta es una opción popular para el levante de mordida anterior.
- Coronas temporales: En casos donde se requiere una solución temporal, las coronas pueden proporcionar una elevación de mordida efectiva.
- Dispositivos removibles: Estos aparatos permiten ajustes periódicos y son ideales para pacientes en crecimiento.
Es fundamental que el ortodoncista evalúe cada caso individualmente para seleccionar el método más adecuado y asegurar un resultado exitoso.
Indicaciones Clínicas
El levante de mordida anterior se utiliza principalmente para tratar ciertos problemas ortodónticos. Entre las principales indicaciones clínicas se incluyen:
- Corrección de sobremordida: Cuando los dientes superiores cubren excesivamente los inferiores, el levante ayuda a equilibrar la mordida.
- Prevención de desgaste dental: Una mordida desequilibrada puede llevar al desgaste prematuro de los dientes.
- Tratamiento de maloclusiones: En casos de maloclusiones severas, un levante puede mejorar la funcionalidad y estética dental.
El diagnóstico preciso y la planificación son cruciales para determinar cuándo se debe aplicar esta técnica.
Materiales Utilizados
- Resina compuesta: Popular por su adaptabilidad y estética, esta resina permite ajustes fáciles y rápidos.
- Acrílico: Utilizado en dispositivos removibles, proporciona una opción duradera y económica.
- Cerámica: En soluciones permanentes como coronas, la cerámica ofrece una excelente estética y resistencia.
La selección del material adecuado dependerá de la duración del tratamiento y las preferencias del paciente. La combinación de materiales puede ser una opción viable según las necesidades clínicas.

🛑𝑻𝑶𝑷𝑬𝑺 𝑫𝑬 𝑹𝑬𝑺𝑰𝑵𝑨 para levantar MORDIDA🛑Que son los LEVANTES DE MORIDA en ortodoncia con BRACKETS
Patologías que Corrige el Levante de Mordida
El levante de mordida puede ser una solución eficaz para diversos problemas de oclusión, que a menudo se clasifican en tres categorías principales: Clase 1, Clase 2 y Clase 3. La oclusión dental adecuada es esencial para la función y la estética bucal.
- Oclusión Clase 1: Los problemas surgen de la posición de los dientes más que de la estructura del maxilar. Aunque los maxilares tienen una relación normal, los dientes pueden estar apiñados o desalineados.
- Retrognatismo o Clase 2: Se caracteriza por un maxilar superior que sobresale significativamente sobre el maxilar inferior. Esto no solo afecta la estética facial, sino que también puede causar problemas funcionales al masticar y hablar.
- Mordida cruzada y mordida abierta (Clase 3): Ocurren cuando los dientes superiores se alinean detrás de los inferiores, o hay un espacio notable entre ellos al morder.
El levante de mordida ayuda a redistribuir la presión dental, mejorando la alineación y la función de los dientes. Los pacientes y los profesionales dentales deben considerar esta técnica como una opción viable para tratar problemas de oclusión que afectan la calidad de vida.
Daños y Heridas Evitadas
El uso del levante de mordida no solo mejora la alineación dental, sino que también previene daños y heridas en la cavidad bucal. Al corregir la maloclusión, el levante de mordida reduce el desgaste anormal de los dientes, protegiendo el esmalte y previniendo fracturas. Los sistemas de levante de mordida están diseñados para distribuir la presión de manera uniforme, evitando puntos de contacto excesivos y reduciendo el riesgo de lesiones en las encías y otros tejidos bucales.
Mejora de la Salud Bucal
Además de corregir la maloclusión, el levante de mordida contribuye a la mejora general de la salud bucal. Una adecuada oclusión facilita una limpieza dental más eficaz. El alineamiento correcto de los dientes permite que la limpieza dental y el empleo de hilo dental sean más efectivos, reduciendo el riesgo de caries y enfermedades periodontales.
La distribución uniforme de la fuerza masticatoria evita el desgaste excesivo de ciertos dientes, prolongando su vida útil y evitando tratamientos más invasivos en el futuro. El equilibrio oclusal también contribuye a una mejor digestión. Una masticación eficiente produce una trituración adecuada de los alimentos, facilitando su procesamiento en el sistema digestivo. Finalmente, el levante de mordida puede mejorar la estética facial, proporcionando una sonrisa alineada y equilibrada que aumenta la confianza del paciente.
Aditamentos para Ortodoncia
Los aditamentos para ortodoncia son piezas que se añaden a la aparatología del tratamiento (ya sea con brackets o alineadores) para reforzarla y ayudarla a cumplir su cometido. Según la forma y diseño de un aditamento, éste permitirá mover el diente en la dirección deseada.
Los aditamentos de ortodoncia se combinan, pues, con brackets y alineadores, pero también entre ellos, porque cada diente puede precisar de un aditamento concreto. Las funciones de los aditamentos de ortodoncia pueden ser, por ejemplo:
- Mover un diente que tiene un tamaño, forma o ángulo inusual en una dirección específica.
- Forzar la aparición de un diente que no ha erupcionado correctamente.
- Redirigir un diente girado en su base.
- Corregir un problema de mordida y mala oclusión de mandíbula.
Actualmente existen gran cantidad de modelos de aditamentos de ortodoncia, de distintas formas, tamaños y materiales, realizando cada uno una función específica.
Aditamentos para Tratamientos con Brackets
- Botones: Fundamentales en casos que requieren acelerar movimientos de rotación o descruzar mordida. También se usan con caninos ectópicos o incluidos.
- Muelles: Resortes destinados a la apertura y cierres de espacios, bien por el tipo de maloclusión o porque se hayan realizado extracciones.
- Crimpables y Stops: Los crimpables se colocan en vez del Hook que lleva el bracket incorporado. Los stops se colocan en los arcos redondos o rectangulares para inmovilizarlos.
- Resorte Warren: Una manera rápida y simple para controlar la técnica de torque en dientes individuales.
Aditamentos para Ortodoncia con Alineadores
Los aditamentos para alineadores transparentes son complementos que permiten que la ortodoncia invisible con alineadores sea más eficaz. Son, al igual que los aditamentos para ortodoncia tradicional, botones, topes y ganchos linguales para fijar elásticos, cadenetas o alambres y realizar movimientos dentales auxiliares.

Por ejemplo, los botones y ganchos realizados con el Mini Molde son ideales para utilizar con cualquier tratamiento donde se requiere el uso de elásticos de Clase II. Estos aditamentos se pueden usar directamente sobre los alineadores o directamente sobre el esmalte.
Caso Clínico: Corrección de Mordida Cruzada Telescópica Posterior
Es todo un reto para el ortodoncista el corregir mordidas cruzadas telescópicas posteriores, las cuales llegan a ser poco frecuentes, pero complicadas en su corrección. En la mayoría de los pacientes con mordidas cruzadas de este tipo, los dientes superiores erupcionan más allá de sus antagonistas inferiores, creando graves dificultades oclusales.
Una forma de corregir este tipo de mordidas cruzadas posteriores telescópicas es con el uso de una barra palatina de TMA Goshgarian y la ayuda de topes oclusales.
Introducción
Las mordidas cruzadas posteriores, mordida Brodie, mordida cruzada en tijera o mordida telescópica son poco frecuentes, pero cuando se presentan pueden ser extremadamente difíciles de corregir. En la mayoría de los pacientes con mordidas cruzadas telescópicas, los dientes superiores erupcionan hacia vestibular en comparación con sus antagonistas inferiores, creando graves dificultades oclusales. Este tipo de mordidas se caracterizan por la alteración en la relación transversal entre los arcos superiores e inferior.
Esta condición puede estar asociada a un compromiso esquelético, o puede presentarse por inclinaciones dentoalveolares inadecuadas. La mordida cruzada posterior puede estar constituida por uno, varios o todos los dientes posteriores unilateral o bilateralmente. Existen diferentes formas de corregir este tipo de mordidas cruzadas telescópicas, entre las cuales existe la barra palatina Goshgarian.
Reporte de Caso Clínico
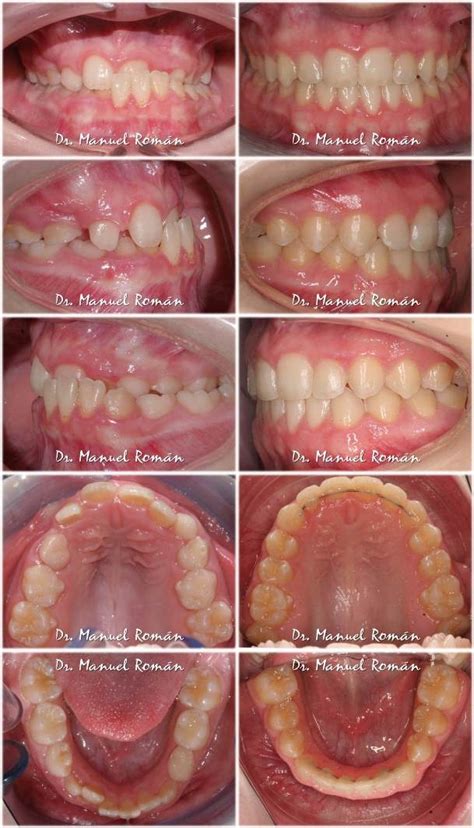
Paciente masculino de 25 de edad, que fue referido a la Clínica de Ortodoncia por presentar apiñamiento dental superior leve e inferior moderado y mordida cruzada telescópica de los segundos molares. Se realizó la colocación de la aparatología fija de autoligado superior e inferior con bandas en los primeros molares superiores e inferiores, arcos redondos de NiTi en la arcada superior y NiTi en el arco inferior. Después de 3 meses de nivelación se colocaron tubos Roth en los segundos molares inferiores y bandas con cajas linguales en los segundos molares superiores, colocando la barra palatina de TMA y topes oclusales de ionómero de vidrio en cúspides palatinas de los primeros molares maxilares para levantar la mordida y permitir el descruzamiento de los segundos molares maxilares.
Resultados
Fotografías extraorales: en la fotografía de sonrisa se observó cambio en la exposición dental mejorando corredores bucales, se corrigió la desviación de la línea media dental coincidiendo con la facial así como el apiñamiento dental; se mantuvo el perfil recto y se observó mejora en el ángulo nasolabial disminuyendo 10°.
Fotografías intraorales: se consiguieron los objetivos planeados al inicio, se observa la alineación y nivelación de las arcadas superior e inferior, se mantuvo la sobremordida vertical y la horizontal como al inicio, se obtuvo la clase I molar y se mantuvo la clase I canina, se corrigió la mordida telescópica de los segundos molares.
Análisis cefalométrico: no se encontraron cambios significativos respecto a la relación maxilomandibular conservándose la clase I esquelética, mejorando en el ángulo ANB y la convexidad de Ricketts, en el comportamiento vertical sí hubo un cambio en la dimensión vertical debido al descruzamiento de los segundos molares que se encontraban en mordida telescópica y en el análisis dental se observó que aumentó la proinclinación tanto superior como inferior pero manteniéndose en norma y en los tejidos blandos se observó mejora en el ángulo nasolabial disminuyendo 10°.
Discusión
Las mordidas telescópicas o mordida de Brodie son poco frecuentes en ortodoncia, pero difíciles de corregir. En la mayoría de los pacientes con mordidas cruzadas telescópicas, los dientes superiores erupcionan en dirección mayormente vestibular en comparación con sus antagonistas, creando graves dificultades oclusales. Este tipo de mordidas se caracteriza por la alteración en la relación transversal entre los arcos superior e inferior.
Es importante tomar en cuenta que para corregir esta alteración será necesario levantar la mordida para permitir el libre movimiento de las piezas dentales que se encuentren cruzadas; esto puede hacerse con planos de mordida removibles y la completa cooperación del paciente, o bien, con topes de resina colocados en las cúspides palatinas de los molares superiores, que presentan la ventaja de ser estables y permitir el movimiento de los órganos que se encuentran cruzados sin tener ninguna interferencia oclusal que ocasione la fractura o pérdida de la aparatología fija.
10 Claves de un Disyuntor en los Tratamientos de Mordida Cruzada en Ortodoncia
Un disyuntor es un aparato de ortodoncia empleado normalmente para realizar una disyunción de la sutura palatina media y producir una expansión esquelética en el tratamiento de la mordida cruzada posterior.
Existen varios tipos de disyuntores en ortodoncia, en este artículo nos centraremos en los disyuntores de acrílico también como Disyuntor de de McNamara (o Disyuntor de Howe).
- Elige correctamente el tornillo de disyunción: Elegiremos el de mayor tamaño posible, construido en acero inoxidable biomédico, con guías telescópicas y brazos soldados con laser.
- Guías en el acrílico para saber la cantidad de expansión: Colocaremos unas líneas en la cara oclusal del acrílico a modo de referencia.
- Personaliza el aparato: Los principales laboratorios suelen ofrecer sin coste adicional la posibilidad de personalizar el aparato de ortodoncia.
- Surcos, rieles y pozos para mayor retención: Para aumentar la retención en la cementación del disyuntor, un truco será realizar rieles, surcos o pozos en el acrílico para obtener una mayor superficie de adhesión.
- Tubos para brackets: Si decidimos mover con brackets los dientes anterosuperiores al mismo tiempo que el paciente lleva el disyuntor, debemos pedir tubos cementados en el aparato.
- Brazos anteriores para tracción anterior: En casos de clases III esqueléticas asociadas a una hipoplasia del maxilar, tendremos que pedir en nuestro aparato ganchos de tracción anterior.
- Brazos linguales para protruir o mantener la longitud de arcada: Si queremos mantener la profundidad de arcada o incluso, protruir algún diente podemos colocar brackets por vestibular o unas ramas anteriores por lingual.
- Sellar el tornillo tras la disyunción: Para los tornillos que no dispongan de un sistema antirretorno, una vez terminada la expansión convendrá fijar o sellar el tornillo para impedir que gire hacia atrás.
- Aditamentos para hábitos: reja lingual o perla lingual: Si además del problema transversal del maxilar el paciente presenta un mordida abierta anterior dentaria causada por un hábito de succión digital o interposición lingual, podemos añadirle a nuestro aparato una reja lingual.
- Tallar el acrílico para que contacten todos los dientes y evitar extrusiones: Antes de cementar el disyuntor en boca procederemos a comprobar su ajuste y su correcto funcionamiento.
tags: #topes #para #ortodoncia