La rejilla lingual es un aparato ortodóncico diseñado para evitar hábitos como la interposición lingual y la deglución atípica, que pueden interferir con el correcto desarrollo de la oclusión y la alineación dental. Es una estructura metálica o de acrílico que se fija en la cara interna de los dientes superiores o inferiores, creando una barrera física que impide que la lengua empuje los dientes anteriores.
Muchos padres se preocupan al ver que sus hijos desarrollan hábitos como chuparse el dedo o empujar la lengua contra los dientes al tragar. Estos hábitos pueden parecer inofensivos al principio, pero con el tiempo afectan la correcta formación de la dentadura y la mordida del niño. Afortunadamente, en odontología existe un dispositivo especialmente diseñado para ayudar a eliminar estos hábitos de forma temprana: la rejilla lingual.

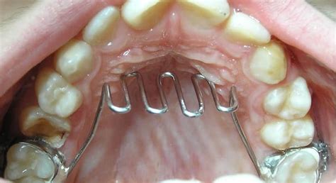
La rejilla lingual (también llamada “reja” o “jaula lingual”) es un pequeño aparato de ortodoncia funcional hecho de alambre metálico que se coloca dentro de la boca del niño, fijado generalmente a las muelas. Tiene forma de rejilla o barrera y va situada en el paladar, justo detrás de los dientes frontales superiores. Su propósito es impedir que la lengua del niño se interponga o empuje contra los dientes frontales, corrigiendo así el hábito conocido como empuje lingual o interposición lingual.
Función de la Rejilla Lingual
Su función específica es arreglar la posición de descanso de la lengua en el cielo del paladar para contribuir con la oclusión sin que perjudique en la erupción ni el alineamiento de las piezas dentales. En otras palabras, evita que al tragar o al hablar el niño coloque la lengua entre los dientes de adelante, algo que ocurre en la llamada deglución atípica. De esta forma tan directa, el niño reaprende a colocar la lengua en su posición correcta (idealmente, descansando contra el paladar en lugar de entre los dientes) y ayuda a que la mordida (oclusión) y el paladar del niño se desarrollen de manera correcta, sin la influencia negativa de hábitos orales prolongados.
La rejilla lingual es un aparato ortodóncico que corrige la interposición lingual y la deglución atípica. Previene maloclusiones, mejora la mordida y puede ser fija o removible.
Tipos de Rejillas Linguales
Es importante saber que existen dos tipos de rejilla lingual: las fijas y las removibles.
- Rejilla lingual fija: Va cementada a bandas metálicas alrededor de las muelas del niño, manteniéndose en la boca todo el tiempo.
- Rejilla removible: Viene incorporada en una placa de acrílico (similar a un retenedor) que el niño puede quitar para su higiene, aunque debe usarla la mayor parte del día para que sea eficaz.

La rejilla lingual es un aparato típico de la odontología infantil y de la ortodoncia interceptiva, indicado específicamente para niños con hábitos orales perjudiciales que están afectando el desarrollo de su boca.
Casos en los que se recomienda el uso de la rejilla lingual:
- Hábito de chuparse el dedo (succión digital) de forma prolongada: Niños que mantienen la costumbre de chuparse el pulgar u otro dedo más allá de los 3-4 años de edad.
- Empuje lingual al tragar o al hablar: Esto se refiere a cuando el niño empuja la lengua contra los dientes frontales o la coloca entre ellos cada vez que traga (lo que llamamos deglución atípica) o incluso al pronunciar ciertos sonidos.
- Uso prolongado de chupete o biberón: Niños que han usado el chupete durante muchas horas al día y hasta edades avanzadas, o que mantienen el biberón con leche/jugo por mucho tiempo, ya que esas succiones prolongadas pueden generar una mordida abierta similar a la del dedo.
Beneficios de la Rejilla Lingual
Implementar una rejilla lingual en el momento adecuado puede traer grandes beneficios para la salud bucodental presente y futura de tu hijo:
- Prevención y corrección de maloclusiones: Al evitar la presión continua de la lengua o del dedo sobre los dientes incisivos, la rejilla ayuda a corregir problemas como la mordida abierta. Muchos padres se sorprenden al ver que, tras unos meses con la rejilla, los dientes de sus hijos comienzan a acercarse y la mordida abierta reduce su tamaño.
- Mejora la función oral (masticación, habla y deglución): Un niño con la lengua constantemente entre los dientes puede tener dificultades para pronunciar ciertos sonidos (como la s, la d, la t o la r) y también para masticar correctamente los alimentos o tragar sin que se escape comida líquida.
- Evita tratamientos ortodónticos más complejos a futuro: Al ser un método interceptivo (temprano), la rejilla lingual simplifica en gran medida el tratamiento de ortodoncia que el niño pudiera necesitar más adelante. Por ejemplo, si un niño de 6 años con mordida abierta por chuparse el dedo usa la rejilla y consigue cerrar gran parte de esa mordida, es posible que a los 12 años necesite como mucho un tratamiento sencillo para alinear detalles, en lugar de un complejo tratamiento con extracciones o cirugías.
- Mejora la salud dental general y la autoestima: Al eliminar hábitos como el dedo o el chupete, no solo protegemos la posición de los dientes sino también su integridad (los dedos constantemente en la boca pueden traer microbios, y el chupete con azúcar puede propiciar caries). Además, romper con un hábito oral negativo mejora la autoestima del niño: muchos pequeños se sienten orgullosos de haber dejado atrás el chupete o el dedo, y los padres también sienten alivio al ver ese progreso.

En definitiva, la rejilla lingual es un instrumento valioso y eficaz para corregir los hábitos orales en la infancia. Usada a la edad adecuada y con la supervisión profesional debida, ofrece a tu hijo la oportunidad de desarrollar una sonrisa sana, una mordida correcta y unos hábitos orales positivos que perdurarán toda la vida.
Posicionamiento de las Rejillas Linguales
Dependiendo la gravedad de la afección y la tipología del padecimiento, las rejillas linguales pueden posicionarse de tres maneras posibles, únicamente si se trata de rejilla lingual amovible:
- Corrección de la posición inadecuada de la lengua.
- Mejora la posición lingual baja en aquellos tratamientos de características tres.
Cuidado de la Rejilla Lingual
Cuidar una rejilla lingual es fundamental para garantizar su eficacia y evitar molestias o complicaciones durante el tratamiento. Es normal sentir molestias iniciales, pero desaparecerán en unos días.
Si utilizas rejilla lingual, debes de evitar alimentos duros, muy dulces o pegajosos, así como cualquier comida que pueda dañar tus piezas dentales o la rejilla lingual. El tipo de alimentos que comas ejerce una gran predominación sobre los aparatos, pues algunas comidas pueden romper o deformar totalmente los alambres o pueden despegar las rejillas, lo que provocaría un enorme retraso en el procedimiento.
- No utilices tu dentadura para rasgar alimentos u otros objetos.
- No te preocupes si se te dificulta la pronunciación de algunas palabras.
- Es preferible que cuando comas no lo hagas dando mordiscos grandes, sino más bien, intenta partirlos en trozos.
DEGLUCION ATIPICA ORTODONCIA, CERRAR MORDIDA ABIERTA CON ORTODONCIA, REJILLA LINGUAL Y BRACKETS
Tabla resumen sobre la Rejilla Lingual
A continuación, se presenta una tabla que resume los aspectos más importantes de la rejilla lingual:
| Aspecto | Descripción |
|---|---|
| Función | Corregir la posición de la lengua y evitar hábitos como la interposición lingual. |
| Tipos | Fija y removible. |
| Indicaciones | Succión digital prolongada, empuje lingual al tragar o hablar, uso prolongado de chupete o biberón. |
| Beneficios | Prevención y corrección de maloclusiones, mejora la función oral, evita tratamientos ortodónticos complejos, mejora la salud dental y la autoestima. |
| Cuidados | Evitar alimentos duros, dulces o pegajosos. No usar los dientes para rasgar objetos. |
tags: #trampa #de #dedo #ortodoncia