La salud bucal es fundamental para nuestro bienestar general, y las encías juegan un papel crucial en ella. Las encías retraídas son uno de los problemas bucodentales más frecuentes hoy en día. ¿Has notado alguna vez que tus dientes parecen más largos de lo normal o sientes sensibilidad en la línea de las encías? Las encías retraídas se producen cuando el tejido de las encías se separa de los dientes, dejando al descubierto las raíces y exponiéndose a caries y sensibilidad. La buena noticia es que existen opciones de tratamiento para ayudar a prevenir daños mayores y restaurar el tejido de las encías. Por tanto, este artículo te puede interesar bastante.
Las encías son los tejidos blandos que cubren los huesos de la boca y ayudan a sostener los dientes. Las encías retraídas se producen cuando el tejido gingival que rodea los dientes se desprende, dejando al descubierto la raíz del diente. Si no se trata, puede provocar sensibilidad, caries e incluso la pérdida del diente.
👉 𝗘𝗡𝗖𝗜𝗔𝗦 𝗥𝗘𝗧𝗥𝗔𝗜𝗗𝗔𝗦 Solución DEFINITIVA ,¡FIN a la 𝗥𝗘𝗧𝗥𝗔𝗖𝗖𝗜𝗢𝗡 𝗚𝗜𝗡𝗚𝗜𝗩𝗔𝗟 Causas y Tratamiento!
¿Qué son las Encías Retraídas?
Las encías retraídas, también conocidas como recesión gingival, ocurren cuando el tejido que rodea los dientes se retira, revelando una mayor parte de la raíz del diente. La retracción de las encías, o también llamada recesión gingival, es el desplazamiento de la encía hacia abajo respecto a la unión del esmalte con la raíz dental, dejando expuesto la superficie de la encía. El paciente va a percibir que su diente aparece más largo.
Síntomas y Señales de Alerta
La recesión gingival ocurre cuando las encías se contraen y dejan expuesta la raíz (o parte de ésta). Lo primero que se nota en una mayor sensibilidad dental y que los dientes parecen más largos. Estos son los primeros síntomas que se ven y se notan, pero no siempre es fácil saber si se tienen las encías retraídas.
Es recomendable acudir al dentista para realizar revisiones periódicas ya que un dentista profesional puede tratar los problemas gingivales. Además, en el caso de las encías retraídas es mejor comenzar el tratamiento cuanto antes para que no empeoren.
Causas de la Pérdida de Encías
Si tus encías comienzan a desaparecer y cada vez son más visibles las raíces de los dientes, los motivos pueden ser múltiples. A la hora de poner tratamiento para recuperar las encías retraídas, es importante tener en cuenta a qué dos tipos de factores se debe este problema.
¿A qué se debe la retracción de encías? Por lo general, la retracción de encías puede darse en pacientes que tienen un buen control de placa.

Factores Predisponentes
- Falta de encía adherida: Cuando nuestras encías son duras, de un color más rosado claro, no móviles y rodean a los dientes sanos. Con la pérdida de dientes o hueso
- Malposición dentaria: Los dientes desordenados o apiñados favorecen la aparición de retracción gingival.
- Dehiscencias óseas: Estos defectos óseos vestibulares o palatinos, en los que la raíz del diente no tiene hueso y solo está cubierta por periostio y encía, conllevan la presencia de recesión de encías.
- Inserción alta de frenillos: Los distintos frenillos presentes en la boca pueden “tirar” del tejido favoreciendo la pérdida de encías.
- Trauma oclusal: En determinadas malposiciones de los dientes puede ser que al morder en el sitio incorrecto (en lugar de sobre los dientes opuestos se muerde sobre la encía) aparezcan retracción de las encías.
- Edad: Es cierto que la edad influye en esta dolencia y conforme vamos cumpliendo años, nuestras encías pueden ir desapareciendo. No obstante, la retracción gingival y sus derivados problemas con las encías pueden ser heredados.
Algunas personas están genéticamente predispuestas a tener encías sensibles y a sufrir retracción gingival. Esto significa que, aunque mantengan una buena higiene bucal y cuiden su salud dental, podrían desarrollar problemas en las encías debido a factores genéticos.
Factores Desencadenantes
- Inflamación por placa bacteriana: debida a una mala higiene. Si no cuidas tu higiene dental, la placa dental irá acumulándose. Este hecho puede provocar la pérdida de tus encías.
- Cepillado demasiado agresivo: En algunas ocasiones, la dureza de las cerdas del cepillo pueden llegar a influir de forma negativa originando un traumatismo. Por ello, lo ideal es usar cepillos de dureza media y cambiarlos cuando las cerdas estén abiertas.
- Iatrogenia: Un medicamento o una terapia alternativa pueden hacer que tus encías se pierdan.
- Movimiento ortodóncico no controlado. El uso de ortodoncia para corregir los dientes y la mordida, como pueden ser los brackets, puede producir pérdida en las encías debido a los movimientos que genera la ortodoncia. En Dobleese, en algunos casos (cuando es necesario) realizamos un tratamiento para la retracción de encías antes incluso de colocar la ortodoncia al paciente.
- Hábitos nocivos: El consumo del tabaco o el morderse las uñas son algunos de las costumbres nocivas que conllevan la aparición de la retracción gingival.
También, suelen darse casos de retracción de encías en pacientes que tienen un piercing en la boca. Los piercings en la boca, como los que se llevan en la lengua o en el labio, también pueden provocar retracción de encías. Esto se debe a que los piercings tienden a apoyarse o a contactar con las encías.
Otros Factores de Riesgo
Además de los motivos anteriormente mencionados, las encías retraídas también pueden deberse a factores tanto intrínsecos como extrínsecos. Algunos de ellos son:
- Factores genéticos: La genética también influye a la hora de sufrir algún tipo de enfermedad en las encías.
- Mala higiene oral: No llevar a cabo una correcta higiene oral hace que se acumule placa en los dientes. Hay que evitar que se llegue a formar sarro ya que es una de las principales causas de esta enfermedad periodontal.
- Tabaco: Al igual que para otras enfermedades dentales, el tabaco afecta negativamente a la salud y a las encías. Como consecuencia, el tabaco enmascara los clásicos síntomas de las enfermedades periodontales: enrojecimiento, inflamación y sangrado de encías. El tabaco contribuye a la retracción de encías en pacientes con periodontitis.
- Enfermedades sistémicas: Este tipo de enfermedades como la diabetes o enfermedades que afectan al sistema inmunitario hacen que el riesgo de desarrollar infecciones sea mayor.
Enfermedad Periodontal
La periodontitis -también llamada piorrea- es una enfermedad de las encías que se caracteriza por ser crónica y está causada por la acumulación de bacterias en la boca. La periodontitis hace que pierdas hueso. Por consiguiente, pierdes encías. Una característica de la retracción de encías por periodontitis es que afecta a toda la boca, a diferencia de otras causas como la ortodoncia o el cepillado agresivo que afectan solo a unos pocos dientes.
En el caso de la periodontitis, la recesión de encías suele manifestarse de manera generalizada. Es decir, en todos o casi todos los dientes de la boca.
La gingivitis y la periodontitis son formas de enfermedad periodontal. Afectan a una gran parte de la población. Consisten en la inflamación de las encías y los tejidos que envuelven los dientes provocada por las bacterias de la placa dental. Puede ocurrir sin destrucción de hueso (gingivitis) o con destrucción del hueso que sostiene los dientes (periodontitis).
¿Puedo Recuperar mis Encías Retraídas?
Antes de nada, es imprescindible entender que las encías retraídas no se regeneran por sí mismas. La posibilidad de recuperar las encías retraídas dependerá de cada caso. Sin embargo, la pérdida de encías por periodontitis es un caso diferente. Pues se trata de una enfermedad que hace que se pierda hueso. Y si no hay hueso, no hay encía.
La encías retraída es una alteración no solo de la estética de tu sonrisa, sino también de tu salud bucal en general.
¿Cómo Recuperar las Encías Retraídas?
Ahora que ya conoces en qué casos se pueden recuperar las encías retraídas, responderemos a las preguntas: ¿Cómo solucionar la retracción de encías? ¿Cómo curar las encías retraídas?
Existen técnicas quirúrgicas para recuperar las encías que aplicamos en nuestra clínica dental en Gijón.

Tratamientos Profesionales
El tratamiento de las encías retraídas varía según la causa y la severidad de la condición. El tratamiento para solucionar la recesión pasará por un injerto de encía en los dientes afectados cuando la retracción gingival se debe a un cepillado abrasivo.
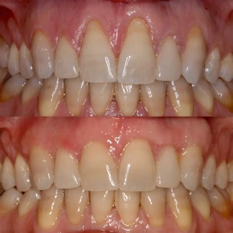
- Injerto de tejido blando: Para corregir la pérdida (estética) de las encías, se puede realizar un injerto de tejido blando utilizando tejido del propio paciente o de fuentes donantes. Un injerto de encía (o cirugía mucogingival) es un trasplante de tejido conectivo de una zona donde hay mucho (paladar) a una zona donde no hay o hay muy poco tejido (encías retraídas). Es una técnica que es sensible al operador, es decir, depende mucho de quien la realice el que se consigan mejores o peores resultados. Por eso es importante siempre acudir a un especialista en encías que esté acostumbrado a realizar este tipo de cirugías. En nuestras clínicas, utilizamos la técnica de microcirugía mínimamente invasiva, garantizando el mejor resultado sin dolor.
- Raspado y alisado radicular: Consulta más sobre nuestro tratamiento de Raspado y alisado radicular, también conocido como Curetaje Dental, donde conseguimos eliminar el sarro y las bacterias acumuladas bajo las encías, alrededor de las raíces de los dientes. En ocasiones, tras este tratamiento, es necesario emplear medicación antibiótica para mantener el control de las bacterias. Para minimizar el riesgo de que esto ocurra, será imprescindible que el paciente siga unas buenas rutinas de higiene en casa.
Otras Técnicas Quirúrgicas
Una vez controlados los factores que producen la enfermedad, es posible realizar una cirugía plástica de las encías.
- Injertos libres: Se trata de extraer tejido gingival de una zona donante (por lo general, el paladar) e injertarla en la zona receptora. Esta técnica se utiliza en grandes recesiones (amplias zonas afectadas).
- Gingivectomía: En casos graves sería necesario realizar una gingivectomía, es decir, una eliminación de tejido gingival para reducir la bolsa alrededor del diente y poder facilitar la higiene, eliminando el factor de riesgo.
Estas técnica pueden aplicarse en un solo diente o en varios.
Se trata de procedimientos complejos y no dolorosos, aunque el paciente puede sufrir molestias en las 24-48 siguientes a la intervención, que se calman con analgésicos.
Higiene Bucal Mejorada
Una higiene bucal adecuada es esencial para prevenir y tratar la retracción gingival. Lo recomendable es cepillarse tres veces al día después de cada comida y usar la seda dental. No hay que olvidar que el cepillado tiene una doble función, además de limpiar los dientes estimula el flujo sanguíneo en las encías. Masajear la encía con el cepillo contribuye a mantener su salud.
Recuerda que debes hacer un cepillado suave, desde del borde de la encía hacia el extremo del diente, utilizando un cepillo de cerdas suaves o de dureza media. Y es importante cepillar la línea de la encía, para eliminar los restos de comida que pueden acumularse.
El uso de la seda dental es también un factor decisivo para la correcta higiene bucodental. Con ella es posible acceder a las zonas del diente donde el cepillo no alcanza. Usa la seda dental de forma habitual durante la higiene bucodental diaria. Es una de la mejores formas de prevenir la recesión gingival.
Para evitar una mayor recesión de las encías, es importante practicar una buena higiene bucal, que incluye cepillarse los dientes dos veces al día, usar hilo dental a diario y utilizar un enjuague bucal antiséptico.
Adaptación de Hábitos
En el caso de los pacientes bruxistas, será necesario que empiecen a llevar, cuanto antes, una férula de descarga.
Todas las técnicas de recuperación gingival requieren de la colaboración extrema del paciente para su éxito que tienen que ver con los cuidados postoperatorios (adecuada higiene, reposo tras la intervención, colocación de geles y colutorios tópicos antisépticos, eliminación del consumo de tabaco, etc.).
En esos casos, la solución nunca estará en la propia casa del paciente o en los remedios caseros que aparecen en Internet. Por tanto, te recomendamos que, si notas tus encías retraídas, acudas cuanto antes a uno de nuestros odontólogos. En solo una visita, que además es gratuita, podrán determinar cuál es la causa de la recesión. Posteriormente, pautarán el tratamiento adecuado para que esta cese.
Tabla Resumen de Tratamientos
| Tratamiento | Descripción | Indicación |
|---|---|---|
| Injerto de tejido blando | Trasplante de tejido conectivo del paladar a la zona afectada. | Corrección estética y funcional de la recesión gingival. |
| Raspado y alisado radicular | Eliminación de sarro y bacterias bajo las encías. | Control de la enfermedad periodontal. |
| Gingivectomía | Eliminación de tejido gingival para reducir bolsas periodontales. | Casos graves de periodontitis. |
| Férula de descarga | Dispositivo para evitar el bruxismo. | Pacientes con bruxismo. |
Preguntas Frecuentes (FAQs)
¿Las encías retraídas pueden regenerarse naturalmente?
No, las encías retraídas no pueden regenerarse por sí solas.
Conclusión
Reconocer los síntomas temprano y buscar tratamiento profesional es crucial para mantener una boca sana. Recuerda, la prevención a través de una buena higiene bucal y visitas regulares al dentista es la mejor estrategia para combatir este problema.
tags: #tratamiento #perdida #de #encia