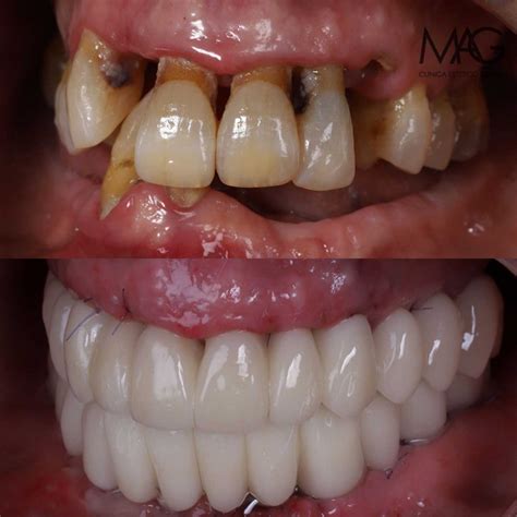
La periodontitis, comúnmente conocida como "piorrea", es una enfermedad periodontal indolora que destruye la encía y los tejidos que soportan los dientes. Es una de las causas más frecuentes de pérdida dental a partir de los 45 años. La enfermedad genera problemas masticatorios y estéticos que dificultan una vida satisfactoria a las personas que la padecen.

En este artículo, analizaremos el antes y después del tratamiento de encías retraídas y cómo se aborda esta patología en la clínica dental.
¿Qué es la Retracción de Encías?
La retracción de encías, también llamada recesión gingival, es una enfermedad de las encías que puede estar causada por diferentes razones y que consiste en que las encías retroceden y, por lo tanto, la raíz del diente queda expuesta. Para comprender la importancia de esta patología tan frecuente en la clínica dental, debemos recordar que las encías tienen la función de cubrir la raíz de las piezas dentales, es decir, mantienen los dientes protegidos y en su sitio.
Las encías son una parte esencial de la boca. A nivel de salud, se encargan de soportar y sujetar los dientes, mientras que, a nivel estético, unas encías sanas y bonitas realzan la sonrisa. Descuidar la salud de tus encías puede derivar en pérdida de encía o problemas graves de periodontitis, pudiendo provocar incluso la pérdida de piezas dentales por falta de tejido periodontal.
Si tienes consultas sobre tu sonrisa o salud bucodental, no lo dudes más.
Causas Comunes de la Retracción de Encías
- La periodontitis o “piorrea”.
- La falta de un mantenimiento bucodental profesional periódico.
- Un cepillado agresivo o traumático.
Estas son las causas de retracción de encía más frecuentes.

Problemas Derivados de la Retracción de Encías
Al retraerse el tejido de las encías, aparecen diferentes problemas:
- Hipersensibilidad dental al frío o al calor.
- Caries.
- Problemas estéticos.
- Movilidad dental, al estar la raíz expuesta.
Todo esto genera preocupación por la posible pérdida del diente a largo plazo.
Tratamientos para Encías Sanas y Estéticas
Un tratamiento de encías puede tener varios objetivos que se engloban principalmente en: abordar un problema de salud, donde destacan el tratamiento de gingivitis, periodontitis y encías retraídas; y tratamientos periodontales destinados a mejorar la estética y apariencia de las encías.
Tratamiento para la Gingivitis
El tratamiento de encías para la gingivitis consiste en retirar el sarro que queda por encima y por debajo de la encía. El sarro supragingival o que queda por encima de la encía es el que vemos normalmente al mirarnos con un espejo los dientes.
Podemos retirar este tipo de sarro mediante una profilaxis, o detartraje o tartrectomía (estos tres términos, hacen referencia a lo mismo: realizar una higiene o limpieza dental). Por otro lado, para retirar las bacterias que se encuentran debajo de la encía se realiza un tratamiento que se denomina raspado y alisado radicular. Con eso conseguimos retirar las bacterias y el sarro que evitan que la encía se pegue al diente de la manera en que debe hacerlo.
En definitiva, la gingivitis es fácil de curar solamente con un par de sesiones desinflamatorias.
Tratamiento para la Periodontitis
La periodontitis o piorrea es una enfermedad periodontal que se puede originar por muchos factores y cursa con la pérdida de los tejidos que sostienen al diente. Si no se trata a tiempo, puede acabar con la pérdida del diente por un exceso de movilidad. Tiene aspectos que pueden engañar como la ausencia de dolor o de sangrado en fumadores, y al ser asintomática muchos pacientes no saben que la tienen.
Al ser crónica (para toda la vida), es necesario tenerla controlada con mantenimientos periodontales periódicos que procuren unos niveles de bacterias bajos.
En cuanto a las soluciones y tratamiento para la periodontitis, se comienza con un tratamiento inicial que consiste en una fase desinflamatoria mediante curetaje o raspado y alisado radicular.
El tratamiento de la periodontitis consiste en una desinfección de las encías o “limpieza profunda”, un tratamiento con anestesia local que “duerme” la encía y permite limpiar el espacio entre el diente y la encía en donde se acumulan el sarro y las bacterias causantes de la enfermedad.
Incluso el caso más severo de piorrea tiene solución poniéndote en manos de especialistas en Periodoncia.

Cómo prevenir la periodontitis | En forma
Blanqueamiento Láser de Encías
Hay quienes tienen las encías oscuras, pero esto no tiene por qué significar un problema de salud. Las encías oscuras tienen solución mediante un blanqueamiento láser de encías. Es un tratamiento estético muy sencillo y rápido de hacer. En solo una sesión podemos cambiar el color de la encía, que suele resultar muy oscura en pacientes que son muy morenos y en pacientes fumadores.
El tratamiento de encías basado en un blanqueamiento láser consiste en remover la parte superficial de la encía que tiene más cantidad de melanina y que da ese aspecto oscuro que resta luz a la sonrisa.
Remodelado de Encías o Gingivectomía
El remodelado de la encía o gingivectomía es otro de los tratamientos de encías que se suele hacer para sacar a la sonrisa todo el partido, muy comúnmente utilizado para la corrección de sonrisa gingival. Muchas veces pensamos que nuestros dientes son cortos o con forma cuadrada, cuando en realidad están cubiertos por una capa de encía que no va en proporción a la que deberíamos tener.
Al sonreír se enseña mucha encía y poco diente. Tan simple como hacer un remodelado de la encía o alargamiento coronario, recortando el sobrante y dejando el verdadero tamaño de nuestros dientes expuestos, conseguimos resultados increíbles.
Microcirugía Reconstructiva con Colágeno
La aplicación de técnicas de microcirugías mínimamente invasivas, asistidas por microscopio y en las que se utilizan láminas de colágeno permiten recuperar la totalidad de la encía perdida, recuperando el aspecto natural original. Estas nuevas técnicas de reconstrucción de la encía ayudan a regenerar el tejido perdido, incluso en casos muy severos.
En algunos casos clínicos, la retracción se acompaña de inflamación de las encías, de uno o más dientes cercanos. Cuando esto sucede, previo a la intervención, se realiza una desinfección periodontal y una limpieza, para eliminar la placa bacteriana.
Caso Clínico: Antes y Después
Paciente de 32 años de edad que sufre una retracción de la encía grave en un incisivo inferior causando sensibilidad dental al frío y calor. Tras la realización de una microcirugía reconstructiva con colágeno se obtuvo un resultado estético satisfactorio y la eliminación completa de la sensibilidad dental.

Testimonios de Pacientes
Algunos pacientes comparten su experiencia tras someterse a tratamientos periodontales:
- "Me hice el tratamiento de profilaxis desinflamatoria asistida por microlupas, gingivectomia con microcirugía, la ortodoncia y estoy encantada. Son profesionales súper cercanos y amables que además de cuidarte te dan un asesoramiento que a mí personalmente me ha ido genial."
- "Fui a hacerme una gingivectomia y he salido muy contenta con el resultado."
- "Magnifico resultado de la micro cirugía láser de la manos del doctor Rafael en mis encías. Me realizaron un tratamiento de acortamiento de encías y estoy encantada. Nunca pensé que pudiera llegar a cambiar tanto mi sonrisa."
Prevención de la Retracción de Encías
Para evitar que las encías vuelvan a retraerse, los odontólogos explicamos la metodología correcta para el cepillado de dientes. Las encías no se regeneran naturalmente, porque se trata de un tejido que tiene muy poca capacidad de recuperarse por sí solo.
¿Por Qué Elegir un Especialista en Periodoncia?
Un periodoncista cura problemas de encías. Estamos aquí para ayudarte. Despeja todas tus dudas antes de tomar una decisión.
Conclusión
Hemos tratado a miles de pacientes con piorrea a lo largo de los años y todos ellos quedan sorprendidos del gran cambio que experimenta su sonrisa. No solo conseguimos devolverles la estética y la funcionalidad, sino que nuestro riguroso plan de revisiones evita la reaparición de la enfermedad periodontal. Por ello, los resultados obtenidos se mantienen a largo plazo.
tags: #tratamiento #piorrea #antes #y #despues