¿Sueñas con tener una sonrisa radiante y perfecta? Las carillas dentales pueden convertir ese sueño en realidad. Tener una sonrisa deslumbrante es el deseo de muchas personas. Cuando el color, la forma o el tamaño de los dientes no son los adecuados, las carillas dentales son una solución eficaz para lograr una sonrisa perfecta y radiante.

¿Qué son las Carillas Dentales?
Las carillas dentales son láminas delgadas, de porcelana o resina compuesta, que se adhieren a la parte frontal de tus dientes naturales. Se trata de prótesis estéticas fijas que, una vez adheridas, son difíciles de despegar, proporcionando un aspecto saludable y estético a los dientes dañados o poco vistosos.
Tipos de Carillas Dentales
Existen principalmente dos tipos de carillas dentales:
- Carillas de porcelana: Hechas a medida en los mejores laboratorios de alta estética. Se trata de varias capas de porcelana, añadidas en varias cocciones, y constan de una primera capa más opaca capaz de enmascarar el color oscuro del diente y darle un aspecto más luminoso. Sobre esta capa de porcelana se van añadiendo cuerpos de porcelana de diferentes tonos y transparencias, de modo que el resultado final es muy natural, con muchos matices, imitando la anatomía real de un diente.
- Carillas de composite (resina): Las carillas dentales de composite, o carillas de resina, son el tratamiento más rápido y sencillo de aplicar. Debido a la naturaleza del material empleado, se ha de tener en cuenta que el tratamiento con carillas de composite o resina es el menos duradero (unos 5-7 años aproximadamente) y el que tiene mayor probabilidad de deteriorarse o sufrir manchas o tinciones.
Proceso de Colocación de las Carillas Dentales
¿Alguna vez te has preguntado, ¿cómo se ponen las carillas dentales? Poner carillas dentales consiste en cubrir los dientes con unas finas láminas, normalmente de porcelana o de resina, para cambiar su aspecto y lograr una sonrisa más natural y bonita.
Preparación y Planificación
El tratamiento con carillas requiere de pocas sesiones para llevarse a cabo, sin embargo, requiere de una correcta y compleja planificación. Es muy importante estudiar la sonrisa del paciente para poder decidir que parámetros se van a modificar. Las personas tienen diferentes fisionomías, y a cada una le corresponde un tipo de diente, no se trata de colocar carillas “en serie” y dejar a todos los pacientes con una sonrisa similar, sino que lo que se pretende es dotar al paciente de una sonrisa natural y armónica con las facciones de su rostro.
Para realizar el estudio se toman unas fotografías de la boca del paciente en diferente posiciones (reposo, media sonrisa, sonrisa completa, perfil, etc.) y unos moldes de ambas arcadas. En base a las fotografías se realiza un encerado diagnóstico o “mock up”, que es una predicción de cómo quedarán las carillas en la boca de ese paciente. Gracias a este encerado el paciente puede, en la segunda cita, decidir si sigue adelante con el tratamiento o no.

Preparación del Diente
En algunos casos, es necesario realizar un ligero tallado de la superficie externa de los dientes para asegurar que las carillas se adhieran de manera segura y estén alineadas correctamente. Para la realización de la carilla es preciso pulir parte de la superficie del esmalte, menos de 1 mm. De este modo, el diente no queda desprotegido y la carilla se adhiere mejor. En los casos en los que realizamos carillas sin tallado, no se necesita anestesia. En esta cita se remueve una pequeña cantidad de esmalte, bajo anestesia local para evitar sensibilidad. Se toman unos moldes de los dientes reducidos y unos registros de mordida muy precisos.
Colocación de las Carillas
Las carillas dentales, hechas a medida en los mejores laboratorios de alta estética, se adhieren cuidadosamente a la superficie externa de tus dientes. Por último, se confeccionan unas carillas provisionales de composite para que el paciente no padezca sensibilidad y pueda realizar una vida social normal mientras un laboratorio de prótesis confecciona las carillas de manera artesanal en función de los datos obtenidos del estudio previo y las preferencias y deseos del paciente.
Una vez terminadas las carillas, se sumergen en líquidos antisépticos para su esterilización antes de ser probadas en la boca en espera del beneplácito del paciente para ser adheridas definitivamente. Para poder adherirlas, deben ser tratadas químicamente mediante grabados ácidos y sustancias permeabilizantes. Tras su adhesión, han de ser pulidas y perfiladas.
Duración del Tratamiento
La duración del tratamiento puede variar según la cantidad de carillas que se coloquen. El laboratorio tarda una media de 7 a 10 días en preparar las carillas. Los laboratorios más económicos suelen realizar pocos cuerpos de porcelana y por lo tanto el número de cocciones es reducido, por lo que pueden tardar poco tiempo en preparar unas carillas, sin embargo el resultado que cabe esperar es, por supuesto, mediocre. Los laboratorios de calidad suelen realizar las carillas aplicando varias capas de porcelana para lograr diferentes efectos ópticos que asemejan la carilla a un diente real.
Esta cuarta cita en la que se prueban y adhieren las carillas lleva también varias horas. Los efectos de la anestesia desaparecen rápidamente, lo que te permite volver a tu vida normal sin interrupciones.
Consideraciones Adicionales
Es importante tener en cuenta que las carillas son un tratamiento meramente estético, que suele demandar el paciente más que recomendarlo el profesional. Pacientes bruxistas: tienden a desgastar los dientes.
La duración media de una carilla es de unos 10 a 15 años. El daño dentario es mínimo, con lo que no suele haber sensibilidad post-operatoria.

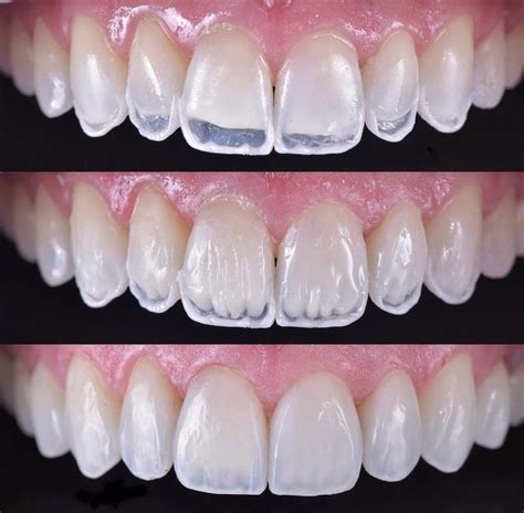
Prueba Pre - Colocacion carillas lumineers
Blanqueamiento Dental: Un Complemento para una Sonrisa Perfecta
Los dientes modifican su color con el paso del tiempo, debido a colorantes alimenticios: café, vino, tabaco; esto se debe principalmente a que el esmalte dental posee una estructura cristalina microscópica, y entre cada prisma del esmalte se acumulan con el tiempo diferentes partículas o impurezas que “ensucian” la superficie del diente. Está indicado en aquellas alteraciones del color de los dientes producidas a causa de la alimentación y los hábitos.
Existen dos tipos principales de blanqueamiento dental:
- Blanqueamiento en clínica: Es el tipo de blanqueamiento que se realiza en la clínica dental y es llevado a cabo por el personal de la clínica. Se realizan de 1 a 5 sesiones, cada una de unos 45 minutos, separadas de varios días. El procedimiento consiste en el aislamiento de los dientes mediante un retractor de los labios y un protector de la encía. A continuación se aplica un gel sobre la superficie de los dientes, y este gel es activado por una luz que genera calor o un láser.
- Blanqueamiento en casa: Es el tipo de blanqueamiento que el paciente realiza en su propia casa. El procedimiento consiste en tomar unos moldes de la boca del paciente y confeccionar unas férulas o dispositivos de plástico muy blando con la forma de los dientes del paciente. Al paciente se le entregan, junto con las férulas, unas jeringas de gel de una concentración más baja que el que se emplea en el blanqueamiento por luz o láser. Generalmente, este tipo de blanqueamiento se emplea por la noche, mientras el paciente duerme. Este tipo de tratamiento tiene múltiples ventajas sobre el otro tipo de blanqueamiento, ya que el gel está muchas más horas en contacto con la superficie de los dientes y penetra a mayor profundidad, con lo que el blanqueamiento es más eficaz y más duradero. Además, su concentración es menor, de manera que la sensibilidad posterior al tratamiento es mucho más leve.
| Característica | Blanqueamiento en Clínica | Blanqueamiento en Casa |
|---|---|---|
| Lugar de Aplicación | Clínica Dental | Casa del Paciente |
| Concentración del Gel | Alta | Baja |
| Duración de la Sesión | 45 minutos por sesión (1-5 sesiones) | Toda la noche |
| Eficacia | Eficaz | Más eficaz y duradero |
| Sensibilidad | Mayor | Menor |
En González y Casado, estamos comprometidos con la excelencia en alta estética dental pues nuestro anhelo es poder ayudarte a conseguir la sonrisa que siempre has deseado. Confía en González y Casado para transformar tu sonrisa y conseguir los resultados de calidad que te harán sentirte mejor que nunca.
En Enyident ofrecemos tratamientos completos para cuidar tu salud bucodental, desde la infancia hasta la edad adulta. Brackets metálicos, estéticos o de zafiro, ortodoncia invisible, retenedores y ortopedia infantil. Reposición de piezas, puentes sobre implantes y rehabilitaciones completas. Tratamos y salvamos dientes dañados desde la raíz. Selladores, empastes, control de crecimiento, fluorizaciones y educación en higiene. Enyident no es solo una clínica dental, es un espacio donde el cuidado nace de la confianza y la cercanía. Cada paciente es único.
¿A qué esperas para lucir la mejor de tus sonrisas? ¿Tienes dudas o quieres que valoremos tu caso?Pide tu cita sin compromiso.
Enyident estarás en buenas manos.
Algunos testimonios de pacientes:
- «Me colocaron una prótesis fija y no puedo estar más contento. Son muy profesionales, puntuales y el trato es cercano, como en familia.
- «Tenía miedo al dentista desde pequeña, pero aquí me sentí tranquila desde el primer minuto. Me explicaron todo con mucha paciencia. M.R.P.
- «Llevé a mi hija de 7 años y la trataron con una dulzura increíble. Todo adaptado a ella, sin prisas. S.G.B.
- «Tuve una urgencia dental y me atendieron súper rápido. Sin dolor, sin esperas y con todo muy claro desde el principio. F.A.R.
- «Me hice un blanqueamiento y varios empastes estéticos. Me asesoraron genial, con resultados muy naturales. L.V.M.
- «Desde que llevo la ortodoncia he mejorado muchísimo la mordida y de paso mi sonrisa. Me siento como en casa. D.T.N.