Probablemente no conozcas el término en sí, pero seguro que lo has visto en muchas ocasiones. Los diastemas se pusieron de moda hace unos años gracias a algunos personajes famosos, pasando de ser un defecto a un rasgo estético muy deseable. Pero, ¿sabes qué es exactamente un diastema? En el artículo de hoy te lo contamos.

¿Qué es el Diastema?
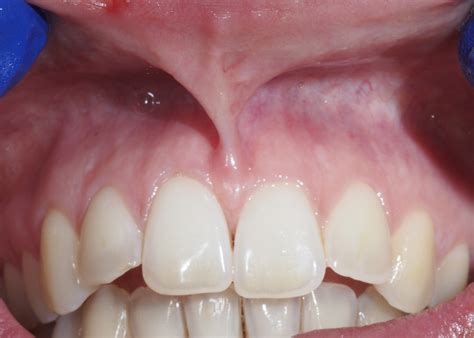
El diastema es la existencia de una separación significativa entre los dientes, delanteros fundamentalmente, es decir en los incisivos.
Si pensamos en sonrisas famosas que se han decantado por no corregir esta peculiaridad nos vienen a la cabeza artistas como Brigitte Bardot, Madonna o Vanessa Paradis.
El diastema o separación entre los dientes centrales superiores, se ha convertido en los últimos años en una tendencia. Sin embargo, y aunque no es lo más habitual, algunas personas mantienen los diastemas al llegar a la edad adulta. Este es el caso de famosos como el cantante Dani Martín, la cantante y actriz Vanessa Paradis o el actor Elijah Wood, que han querido mantener este ''defecto dental'' que les caracteriza.
El diastema dental es una condición donde exista un espacio adicional entre dos o más dientes. Aunque puede ocurrir en cualquier parte de la dentadura, es más común entre los incisivos superiores.
El hueco que se produce entre dos dientes es lo que los odontólogos conocen como diastema, aparecen con frecuencia en los incisivos centrales, con lo cual tiene una visibilidad muy importante. Seguro que al pensar en personas con dientes separados se nos viene a la cabeza algún famoso o modelo como, por ejemplo, Vanessa Paradis o Quim Gutiérrez.
Causas del Diastema
Pero, ¿por qué se produce ese espacio entre los dientes? La causa principal por la que se produce el diastema, es poca fijación muscular, pero existen otras causas:
- Por diferencias entre el tamaño de los dientes o falta de alguno de ellos
- Malos hábitos que pueden alterar el desarrollo de los maxilares provocando rasgos de maloclusión.
- Hiperactividad lingual o Macroglosia. El exceso de presión debido al superior tamaño lingual provoca que las arcadas dentarias aumenten su perímetro y los dientes se separen.
- Por un frenillo labial demasiado grande. El frenillo labial es el tejido que va desde el interior del labio superior hasta la encía, coincidiendo con el espacio entre los dos incisivos superiores.
Para conocer si esta es la causa y poder realizar la intervención quirúrgica que esto requiere el dentista suele efectuar el test de isquemia de Graber.

Las causas del diastema dental son variadas e incluyen factores genéticos, hábitos orales y condiciones de salud.
¿Es Peligroso para la Salud Bucodental?
Como comentábamos, en los últimos años, se ha puesto de moda separar los incisivos a propósito, como si de un complemento estético se trataran. Esto es un grave error. La razón es que los dientes separados tienden a concentrar mayor número de sedimentos, y pueden ser una fuente importante de bacterias.
Aunque el diastema dental en sí mismo no presenta síntomas dolorosos, puede ser indicativo de otros problemas subyacentes. Las personas con diastema pueden experimentar dificultades en la pronunciación y la masticación debido a la oclusión incompleta.
Por todo ello, Jorge Ferrús, experto en Implantología y Periodoncia en la clínica dental Ferrus&Bratos, explica que ''los diastemas no son malos por sí mismos siempre y cuando llevemos a cabo una buena higiene bucodental''.
Tratamientos para Corregir el Diastema
Existen diversos métodos para corregir el diastema, utilizar uno u otro dependerá del tamaño del diastema y de cómo ajustan los dientes.
Existen diferentes tratamientos encaminados a arreglar diastemas:
- Tratamiento de ortodoncia: Es el método más común, ya que favorece el movimiento paulatino de los dientes hasta cerrar los espacios.
- Tratamiento con carillas dentales: Permiten cerrar un diastema sin necesidad de recurrir a la ortodoncia.
- Implantes dentales: Cuando el espacio entre dientes se produce por agenesia o por la falta de alguna pieza dental, es recomendable recurrir a los implantes dentales.
- Coronas y puentes.
- Frenectomía.
Si se trata de un espacio pequeño que acaba de comenzar a abrirse, o simplemente una grieta del tamaño de un pelo, la solución más fácil es con una ortodoncia, que empujará los dientes y los juntará de nuevo en una semana o dos.
Si el espacio es más grande, hacer que se junten mediante la metodología anterior puede hacer que a su vez se genere un espacio entre otros dientes. Por lo tanto, para cerrar ese espacio, manteniendo los espacios cerrados en los dientes traseros, lo que realizamos es empujar los dientes ligeramente hacia dentro. No vamos a tirar lo suficiente como para cambiar el perfil o la posición de la dentadura, pero sí lo suficiente como para afectar a la mordida.
La corrección del diastema dental depende de su causa y severidad. La ortodoncia es el tratamiento más común para cerrar los espacios no deseados. En casos donde el frenillo labial es el culpable, se puede realizar una frenectomía.

El Diastema y la Moda
Los "paletos" separados ya no son un problema. Es más, ahora son la última moda, hasta tal punto que la firma Chanel ha creado pins con la forma de unos labios dejando ver los dientes delanteros separados, exactamente iguales a los de la mujer del actor Johnny Depp, Vanessa Paradis.
La modelo y cantante, nunca ha ocultado este rasgo tan característico de su sonrisa y, es más, nunca han dejado de lloverle trabajos y campañas publicitarias. Mientras unas se empeñan en juntar de nuevo los dientes incisivos, otras los muestran sin ningún problema.
Siempre en busca de lo último, la moda ha encontrado en los dientes superiores un encanto que para sí quisieran las dentaduras perfectamente alineadas. Lara Stone, una de las modelos más cotizadas e imagen habitual de Louis Vuitton, exhibe sus infinitas piernas con la misma naturalidad con la que desnuda sus dientes centrales superiores.
En España, el extravagante diseñador malagueño David Delfín se ha apuntado al carro de la diastema. Es habitual verle desde hace meses luciendo aparato. Reconoce que desde pequeño le llamaban la atención las imperfecciones. «Veía a la gente con aparato y yo quería llevar uno», afirma. Como muchos cuarentones se ha enganchado a la ortodoncia para emular una sonrisa infantil e idéntica a la de actores como Eddie Murphy y Elijah Wood -el 'Frodo' de 'El Señor de los Anillos'- y la 'vampira' Anna Paquin. Salta a la vista que el efecto separado aúna voluntades estéticas.
Muchos famosos han lucido orgullosamente su diastema dental, como Brigitte Bardot y Madonna, quienes han contribuido a la popularización de esta característica.
El diastema dental se ha convertido en una tendencia estética popular, especialmente entre los modelos y celebridades. Esta característica, que se refiere a la separación entre los dientes frontales, puede ser natural o artificialmente inducida para seguir la moda.

Si algo tienen las modas es que son caprichosas y aleatorias; lo que ayer estaba de moda, hoy ya pertenece al pasado. También les pasó a las sonrisas, antes se evitaba sonreír y se buscaba una sonrisa perfecta, hoy las modificaciones artificiales son incluso cool.
Nosotras y nosotros creemos en la belleza no normativa. No obstante, os vamos a contar un poquito cuáles son las causas de que se produzca esta separación.
Es muy habitual ver casos de diastema en menores, debido al pequeño tamaño de sus dientes definitivos.
Diastemas: ¿cómo corregir los dientes separados? | Clínica dental Avodent en Alcobendas
Como ves, aunque el diastema dental puede ser un elemento distintivo y deseable para algunos, es crucial considerar las posibles consecuencias para la salud bucodental antes de adoptar esta moda. La consulta con un profesional dental es esencial para quienes desean modificar su sonrisa de esta manera. ¿Vale la pena el riesgo por una moda pasajera? La odontología estética cuenta con muchos tratamientos dependiendo de cada paciente.
Si crees que entre tus dientes incisivos existe una separación poco común, ponte en manos de profesionales. En nuestra clínica dental en Avilés somos especialistas en diastemas y en ortodoncia en Avilés. Llámanos y solicita ya tu cita sin compromiso en el 984 20 94 59.