En la búsqueda de una sonrisa saludable y estética, Murcia ofrece una amplia gama de clínicas dentales y ortodoncistas especializados. Desde tratamientos tradicionales hasta las últimas innovaciones como Invisalign y la ortodoncia estética, los profesionales de la región están equipados para satisfacer las necesidades de cada paciente.

Expertos en Estética Dental en Murcia
El Dr. Ignacio Vázquez Natividad, licenciado con Premio Extraordinario en la Universidad de Murcia, es un reconocido experto en estética dental con más de una década de experiencia. Especializado en carillas dentales, ha recibido formación nacional e internacional en Portugal, Suiza e Italia. Su objetivo es mejorar la confianza y seguridad de las personas a través de tratamientos personalizados.
Para el Dr. Vázquez, la experiencia del paciente es primordial. Por ello, se asegura de que cada persona comprenda los objetivos del tratamiento y los pasos necesarios para alcanzarlos. Su especialización son las carillas dentales sin desgastar los dientes, ofreciendo resultados naturales y duraderos.
Carillas Dentales: Una Solución Duradera y Natural
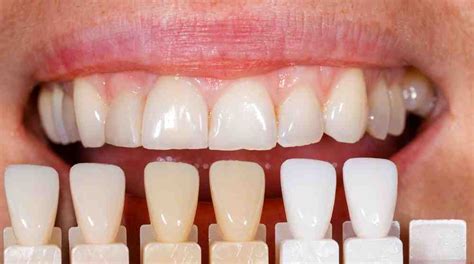
Las carillas cerámicas son láminas finas que se adhieren a la parte frontal de los dientes para mejorar su color, forma y tamaño. Estas carillas no se caen con el tiempo ni cambian de color, ofreciendo una duración superior a los 20 años. Los avances tecnológicos, como los escáneres intraorales, permiten transmitir la información de la boca a un ordenador en 3D, facilitando la visualización del resultado final antes de iniciar el tratamiento.

Clínicas y Servicios de Ortodoncia en Murcia
Murcia cuenta con numerosas clínicas dentales que ofrecen una variedad de tratamientos de ortodoncia para niños y adultos. A continuación, se presentan algunas de las opciones disponibles:
- Fuentes Dental: Ofrece tratamientos seguros y duraderos con la garantía de experiencia desde 1990.
- Blanca Ranz Clínica Dental Slp: Especializada en ortodoncia Invisalign y ortodoncia de zafiro en Molina de Segura.
- Centro Dental Señora De Los Ángeles: Tratan la ortodoncia interceptiva para niños en Murcia.
- Clínica Ortiz Carlos: Realiza ortodoncia infantil y ortodoncia blanca en Molina de Segura.
- CLINICA DENTAL MARIA ANGELES HIDALGO: Ofrece tratamiento Invisalign y ortodoncia removible en Molina de Segura.
- Clínica Pons - Fuster: Especializada en ortodoncia metálica e Invisalign en Murcia, con tratamientos de ortodoncia y periodoncia.
Tipos de Ortodoncia Disponibles
Las clínicas en Murcia ofrecen una amplia gama de opciones de ortodoncia para adaptarse a las necesidades y preferencias de cada paciente. Algunos de los tipos de ortodoncia más comunes incluyen:
- Ortodoncia Metálica: El tipo más tradicional de ortodoncia, utiliza brackets y arcos de metal para alinear los dientes.
- Ortodoncia de Zafiro: Utiliza brackets de zafiro, que son transparentes y más estéticos que los brackets metálicos.
- Ortodoncia Invisible (Invisalign): Utiliza alineadores transparentes removibles para corregir la posición de los dientes de forma discreta.
- Ortodoncia Lingual: Los brackets se colocan en la parte interna de los dientes, haciéndolos invisibles desde el exterior.
- Ortodoncia Autoligable: Utiliza brackets que no requieren ligaduras elásticas, lo que reduce la fricción y el tiempo de tratamiento.
¿Qué tipos de ortodoncia existen? Conoce tu mejor opción
Ortodoncia Infantil en Murcia
La ortodoncia infantil es fundamental para corregir problemas de alineación dental en edades tempranas. Clínicas como Clínica Dental Mediterráneo y Clínica de Ortodoncia Margarita R. Rojo ofrecen tratamientos especializados para niños y adolescentes.
La ortodoncia interceptiva es un tipo de tratamiento que se realiza en niños que aún están mudando sus primeros dientes. Su objetivo es corregir problemas de mordida y prevenir problemas más graves en el futuro.
Ortodoncia Invisible: Una Opción Discreta para Adultos
La ortodoncia invisible, como Invisalign, es una opción popular para adultos que desean corregir la posición de sus dientes de forma discreta. Clínicas como Delta Médica Murcia y Clinica Dental Azarbe ofrecen tratamientos Invisalign personalizados.
La ortodoncia invisible utiliza alineadores transparentes removibles que se cambian cada dos semanas. Estos alineadores son cómodos y fáciles de usar, y permiten a los pacientes mantener una buena higiene bucal durante el tratamiento.
Coste de un Tratamiento de Ortodoncia en Murcia
El coste de un tratamiento de ortodoncia puede variar dependiendo de varios factores, como el tipo de ortodoncia, la duración del tratamiento y la complejidad del caso. Según el Dr. Ignacio Vázquez, el coste puede variar desde 3.000€ hasta 60.000€, dependiendo de las necesidades individuales del paciente y la cantidad de carillas que desee.
Es importante consultar con un ortodoncista para obtener un presupuesto personalizado y discutir las opciones de financiamiento disponibles.

La Importancia de una Sonrisa Saludable
Una sonrisa saludable no solo mejora la estética facial, sino que también tiene un impacto positivo en la autoestima y la confianza en uno mismo. Si no estás a gusto con tu sonrisa, la ortodoncia puede ser la solución para mejorar tu calidad de vida.
Si estás buscando un ortodoncista en Murcia, te recomendamos investigar y comparar diferentes opciones para encontrar el profesional que mejor se adapte a tus necesidades y preferencias.
Tabla Comparativa de Clínicas de Ortodoncia en Murcia
| Clínica | Especialidades | Ubicación |
|---|---|---|
| Fuentes Dental | Ortodoncia general | Murcia |
| Blanca Ranz Clínica Dental Slp | Invisalign, Ortodoncia de Zafiro | Molina de Segura |
| Centro Dental Señora De Los Ángeles | Ortodoncia interceptiva | Murcia |
| Clínica Ortiz Carlos | Ortodoncia infantil, Ortodoncia blanca | Molina de Segura |
| Clínica Pons - Fuster | Ortodoncia metálica, Invisalign, Periodoncia | Murcia |
| Delta Médica Murcia | Invisalign, Ortodoncia blanca, Ortodoncia cerámica | Murcia |