Vitis Duplo Pasta Dentífrica Encías 2×150 ml es un producto de cuidado bucal diseñado para mantener la salud de las encías y prevenir la gingivitis. Actúa como un antiséptico de uso diario que inhibe la formación de placa bacteriana y reduce su acumulación en la superficie de los dientes y encías.

Además, Vitis Duplo Pasta Dentífrica Encías también reduce el sangrado y la sensibilidad gingival.
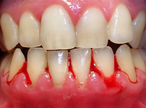
¿Qué es la Gingivitis?
La gingivitis es una afección bucal muy común que afecta a las encías, provocando la inflamación de los tejidos y el sangrado, especialmente durante el cepillado.
En la mayoría de los casos, está provocada por la acumulación de biofilm en los dientes. Se trata de una fina capa formada por restos de comida, saliva y bacterias, que se fijan al esmalte del diente y a las encías.
Un buen cepillado con los productos adecuados elimina eficazmente esta placa bacteriana, evitando además otros problemas como la caries y otras enfermedades periodontales.
Beneficios de Vitis Encías Duplo
El uso diario de esta pasta dentífrica garantiza una limpieza profunda y eficaz, eliminando los restos de comida y las bacterias que se acumulan en la boca a lo largo del día.
Vitis Pasta Dentífrica Encías es una pasta dentífrica de uso diario que trata y previene los problemas gingivales leves o moderados (encías inflamadas, rojas y sangrantes). Protege y cuida tu salud bucodental manteniendo tus encías sanas y fuertes.
- Evita la formación de placa bacteriana, principal causante de la aparición de la gingivitis.
- Previene la caries dental y remineraliza el esmalte.
Cómodo formato viaje para poder llevarlo donde quieras.

¿Para quién está indicada?
Vitis Duplo Pasta Dentífrica Encías está especialmente formulada para ser utilizada por adultos y niños mayores de 7 años.
La pasta dental Vitis Encías está indicada para adultos y niños a partir de los 7 años de edad con encías delicadas o con problemas gingivales.
Apto para embarazadas, diabéticos, celíacos, fumadores, personas tratadas con anticoagulantes y/o inmunodeprimidas.
¿Cómo funcionan sus principios activos?
Vitis Duplo Pasta Dentífrica Encías actúa como un antiséptico de uso diario que inhibe la formación de placa bacteriana y reduce su acumulación en la superficie de los dientes y encías.
Estos son los principios activos y cómo funcionan:
- Cloruro de cetilpiridinio (CPC): Antiséptico que evita la formación de placa bacteriana, controlando la aparición de caries o gingivitis.
- Pantenol: Protege y revitaliza las encías, reduciendo la inflamación.
- Lactato de zinc: Reduce y evita el sangrado de las encías. Además, potencia el efecto antiséptico del cloruro de cetilpiridinio.
- Fluoruro sódico: Remineraliza el esmalte previniendo la caries dental. Contiene 1.450 ppm de ión flúor. Remineraliza el esmalte y previene la caries dental.
Composición
La composición de Vitis Encías Duplo incluye:
- Cloruro de cetilpiridinio (CPC, 0,05%)
- Pantenol (provitamina B5, 1,00%)
- Fluoruro sódico (1.450 ppm ión flúor 0,32%)
- Lactato de zinc (0,25%)
Ingredientes: Aqua, sorbitol, silica, glycerin, xanthan gum, titanium dioxide, panthenol, sodium gluconate, sodium lauryl sulfate, sodium fluoride, zinc lactate, lactic acid, sodium saccharin, sodium methylparaben, cetylpyridinium chloride, aroma, C.I. 77947.
*Los ingredientes pueden haber sido cambiados, se recomienda consultar los ingredientes que aparecen en el envase del producto.
Modo de empleo
Cepíllate los dientes un mínimo de 3 veces al día, o después de cada comida, durante al menos dos minutos.
Recomendaciones
Utiliza siempre un cepillo adecuado a tus necesidades, para ello Vitis te ofrece una amplia gama. Para una higiene bucodental más completa te recomendamos utilizar después del cepillado el Colutorio Vitis Encías.
Otras presentaciones
- Vitis Encías Pasta Dentífrica, 150 ml
- Vitis Encías Pasta Dentífrica, 15 ml
- DUPLO Vitis Encías Pasta de dientes 2 x 150 ml.
Con este producto, usted gana 20 puntos de fidelidad. No ingerir. Indicado en adultos y niños mayores de 7 años.
¿Tienes dudas?