El cuidado bucodental es esencial para mantener una salud general óptima. En este contexto, Adeslas Dental emerge como una solución confiable y accesible para todos. Elegir un seguro dental como Adeslas Dental puede significar un gran paso hacia el cuidado preventivo y continuo de tu salud bucodental. A continuación, exploraremos la cobertura de Adeslas Dental, los precios de sus seguros, y todo lo que necesitas saber sobre las carillas dentales.

Cobertura de Adeslas Dental
El seguro dental de Adeslas cubre una amplia gama de servicios. Adeslas Dental proporciona cobertura para una variedad de tratamientos dentales básicos y esenciales. Esto incluye obturaciones, empastes, tratamientos de amalgamas y resinas, así como extracciones dentales y tratamientos de conducto. Aparte de los tratamientos básicos, los seguros dentales de Adeslas también incluyen procedimientos preventivos como limpiezas dentales semestrales y exámenes, que son esenciales para mantener una buena salud oral.
Los asegurados pueden beneficiarse de limpiezas bucales, consultas de diagnóstico, radiografías odontológicas y fluorización, todo sin gastos adicionales. Además, el seguro ofrece educación bucodental para promover hábitos saludables y prevención de enfermedades orales. También se ofrece cobertura para tratamientos preventivos adicionales como sellantes y flúor, especialmente beneficiosos para los niños.
Planes y Precios de Adeslas Dental
Adeslas ofrece varias opciones en su seguro dental, con precios que varían según el número de asegurados y la duración del contrato. Por ejemplo, el plan «Adeslas Dental MAX» tiene un costo de 12€ al mes en el primer año para una persona. Si el seguro se contrata para dos personas, el precio se reduce a 10€ por mes, por persona, y para tres o más asegurados bajo la misma póliza, el costo es de solo 8€ por mes, por persona.
Adeslas Dental ofrece el producto «Adeslas Dental Max» cómo tope de gama, diseñado para fidelizar a sus clientes. Por ejemplo, cada año de renovación se reduce un euro de la prima, pudiendo llegar hasta un mínimo de 8 euros al año.
Para facilitar aún más la gestión de tus citas dentales, Adeslas ha desarrollado la app Adeslas Dental.
Experiencias de Usuarios con Adeslas Dental
Conocer las experiencias de otros usuarios es crucial al considerar un seguro dental. Muchos clientes destacan la calidad y la profesionalidad del servicio recibido en las clínicas de Adeslas. Por ejemplo, un usuario en A Coruña menciona el «fabuloso trato de todo el personal y el trabajo impecable» realizado, lo que refleja una alta satisfacción con los servicios dentales proporcionados.
No obstante, existen también opiniones críticas, donde los asegurados expresan descontento con aspectos específicos del seguro. Un cliente menciona que, a pesar de pagar regularmente su prima, siente que «no cubre nada» y que podría ser más beneficioso acudir directamente a un dentista particular. Las experiencias también varían significativamente dependiendo de la ubicación geográfica de los asegurados.
Carillas Dentales: Una Solución Estética con Adeslas
Las carillas dentales son una opción muy popular para mejorar la apariencia de tu sonrisa. Las carillas dentales son una solución estética popular y efectiva para mejorar la apariencia de los dientes. No directamente. Las carillas son ideales para mejorar la apariencia de los dientes existentes, pero no sustituyen los dientes perdidos.

Tipos de Carillas Dentales
Ahora que sabes qué son las carillas dentales, has de conocer los tipos de carillas que existen y sus principales características:
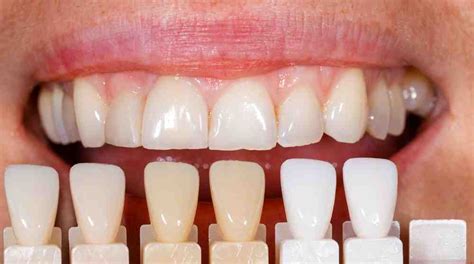
- Carillas de porcelana: Son las más populares debido a su durabilidad y apariencia natural. La porcelana es un material resistente a las manchas y capaz de imitar la translucidez de los dientes naturales, lo que proporciona un resultado estético mejor.
- Carillas de resina compuesta: Estas carillas son más económicas y se pueden colocar en una sola visita al dentista. Aunque no son tan duraderas como las carillas de porcelana, las carillas de resina compuesta pueden repararse fácilmente en caso de daño.
La elección entre carillas de porcelana y carillas de resina compuesta dependerá de factores como el presupuesto, el tiempo disponible para el tratamiento y las necesidades específicas de cada paciente.
¿Qué tipo de carillas dentales es mejor para ti: porcelana o composite? - Clínica Ruiz de Gopegui
Proceso de Colocación de Carillas Dentales
Pero ¿cómo se ponen las carillas?
- Evaluación inicial: El primer paso es una consulta con tu dentista, quien evaluará si eres un buen candidato para las carillas estéticas. Se examinará la salud de tus dientes y encías, y se discutirá el resultado deseado.
- Preparación del diente: Una vez decidido que las carillas dentales son la mejor opción, hay que preparar los dientes. Esto implica que el dentista elimine una pequeña cantidad de esmalte de la superficie frontal del diente, aproximadamente del mismo grosor que la carilla que se colocará.
- Toma de impresiones: Tras preparar los dientes, el dentista tomará impresiones o moldes de tus dientes.
- Colocación provisional: En algunos casos, se pueden colocar carillas provisionales mientras se fabrican las definitivas.
- Colocación final: Una vez que las carillas estén listas, el dentista las colocará en tus dientes para verificar el ajuste y la forma.
Durabilidad de las Carillas Dentales
Una de las preguntas más frecuentes sobre los tratamientos estéticos dentales es cuánto duran las carillas dentales. La durabilidad de las carillas depende de varios factores, incluyendo el tipo de material utilizado y los hábitos de cuidado dental del paciente. Para prolongar la vida de las carillas, es crucial mantener una buena higiene bucal, evitar morder objetos duros y acudir regularmente al dentista para chequeos y limpiezas profesionales.
Requisitos para la Colocación de Carillas Dentales
Es importante conocer los requisitos para poner carillas dentales para asegurar que este tratamiento estético sea adecuado para ti y que pueda proporcionar los resultados deseados.
- Salud bucal adecuada: Es fundamental que no existan problemas graves de salud dental, como caries activas, enfermedades periodontales o infecciones.
Precio de las Carillas Dentales con Adeslas
Para tener una idea más precisa del precio de las carillas dentales en toda la boca, te recomendamos que nos contactes directamente para obtener más información sobre y los diferentes planes de financiación que tenemos disponibles.
Tabla resumen de precios y coberturas de Adeslas Dental:
| Servicio Dental | Cobertura con Adeslas Dental |
|---|---|
| Limpiezas bucales | Sin costo adicional |
| Consultas de diagnóstico | Sin costo adicional |
| Radiografías odontológicas | Sin costo adicional |
| Fluorización | Sin costo adicional |
| Obturaciones | Cubierto |
| Empastes | Cubierto |
| Extracciones dentales | Cubierto |
| Tratamientos de conducto | Cubierto |