Has pasado meses, quizás años, usando brackets o alineadores transparentes. Te has cepillado tres veces al día, has evitado ciertos alimentos y acudido fielmente a tus revisiones. ¿Y ahora que tu ortodoncia ha terminado? En realidad, el trabajo aún no ha acabado. Para ello, en nuestra clínica dental en Barcelona, hemos creado este artículo que hará de guía sobre los retenedores en la ortodoncia.
En Clínica Dental La Reina, especialistas en ortodoncia estética y funcional en Madrid, sabemos que la fase de retención es tan importante como la de corrección. La creencia común es que una vez que se retiran los brackets o alineadores, el tratamiento ha terminado. Sin embargo, la realidad es muy diferente. Esto ocurre porque los tejidos periodontales que rodean a los dientes tienen memoria elástica, lo que significa que pueden empujar lentamente los dientes hacia su posición original.

Diferentes tipos de retenedores de ortodoncia.
¿Qué son los retenedores de ortodoncia y para qué sirven?
Después de finalizar un tratamiento de ortodoncia (ya sea con brackets tradicionales o alineadores invisibles), entramos en la fase de retención. Los retenedores dentales son aparatos diseñados a medida para mantener tus dientes en la posición correcta una vez que se han alineado. Durante el tratamiento ortodóntico, tus dientes se movieron gradualmente a una nueva posición; pero los dientes tienen “memoria” y una tendencia natural a querer moverse de nuevo a su posición original con el tiempo.
Factores naturales como la masticación, la presión de la lengua, la edad, e incluso hábitos como apretar o rechinar los dientes al dormir (bruxismo) influyen en que tus dientes intenten desplazarse de nuevo. Aquí es donde entran en juego los retenedores: su función es evitar que los dientes se desplacen y conservar la alineación lograda.
Existen dos tipos principales de retenedores dentales: los retenedores fijos y los retenedores removibles.
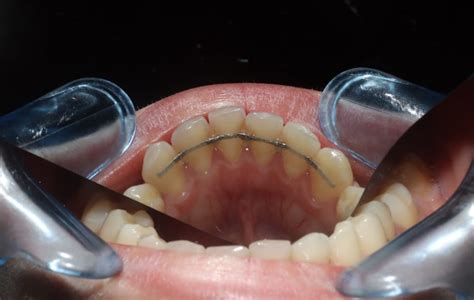
Retenedores Fijos
Un retenedor fijo es un fino alambre metálico que el ortodoncista cementa en la cara interna de tus dientes (generalmente de colmillo a colmillo en la arcada inferior). Queda permanente en la boca por años, sin que tengas que acordarte de ponértelo, y mantiene continuamente la posición dental. Su principal inconveniente es que puede dificultar un poco la higiene (debes limpiar cuidadosamente alrededor del alambre).
Retenedores Removibles
Por otro lado, un retenedor removible es una férula de plástico transparente (tipo Essix) o una placa de acrílico con alambres (tipo Hawley) que puedes quitar y poner tú mismo. Los retenedores removibles suelen indicarse, tras la fase inicial, para usarlos sobre todo al dormir, ya que durante el día puedes tenerlos fuera para comer y cepillarte. En muchos casos, combinamos ambos tipos: por ejemplo, es común colocar un retenedor fijo en los dientes inferiores y un retenedor removible transparente para la parte superior.

Tipos de retenedores dentales.
¿Cuánto tiempo se deben llevar los retenedores en ortodoncia?
¿RETENEDORES de ORTODONCIA para toda la vida? ¿Cuánto tiempo hay que usarlos?
Esta es la gran pregunta. Y te adelanto la respuesta con honestidad profesional: en la mayoría de los casos, tendrás que usar los retenedores por la noche durante muchísimo tiempo, potencialmente de por vida. Justo al terminar tu ortodoncia, el retenedor no es solo para dormir: se usa prácticamente todo el día al inicio.
La fase de retención comienza inmediatamente después de retirarte los brackets o de finalizar tus alineadores. Durante los primeros meses, tu ortodoncista te indicará que uses el retenedor removible a tiempo completo, es decir, día y noche (unas 22 horas diarias), retirándolo solo para comer, beber algo distinto al agua y para la higiene bucal. Esta recomendación típica suele abarcar aproximadamente entre 4 y 6 meses iniciales, dependiendo de cada caso.
Tras esa fase inicial intensiva, el uso del retenedor normalmente se reduce a solo por las noches. Una vez que tu ortodoncista comprueba que los dientes se mantienen estables, podrás usar el retenedor únicamente al dormir cada noche. Esto suele ocurrir alrededor de los 3-6 meses posteriores a la ortodoncia (nuevamente, varía según el caso y las indicaciones profesionales).
Aquí es donde muchos pacientes se sorprenden: los retenedores (especialmente los removibles) idealmente deben seguir utilizándose de forma indefinida en las noches, aunque con el tiempo la frecuencia puede volverse un poco más flexible. Te explico: tus dientes nunca dejan de ejercer micro-movimientos a lo largo de la vida - incluso en la edad adulta hay pequeñas modificaciones en la dentadura debido a la masticación, al envejecimiento o a cambios en encías y hueso.
Por eso, la recomendación más conservadora y segura es usar algún tipo de retenedor “para siempre”. Esto no significa necesariamente todas las noches de tu vida, pero sí mantener un régimen de uso nocturno regular de por vida para evitar que, con los años, tus dientes se desalineen.
En la práctica, muchos ortodoncistas sugieren, tras los primeros 1-2 años de uso constante por las noches, seguir usando el retenedor algunas noches por semana de por vida (por ejemplo, 3-4 noches a la semana). Otros esquemas, según la estabilidad de tu caso, podrían recomendar usar el retenedor solo una noche por semana después de cierto tiempo.
Quiero ser muy sincero contigo: Si deseas mantener tu sonrisa perfectamente alineada, deberás tener el retenedor como compañero nocturno por muchos años, idealmente de por vida. En palabras simples, “el retenedor es para siempre”.
Sé que quizá esperabas oír que solo era cosa de unos meses y ya; pero como profesional debo informarte correctamente. ¡No te desanimes! Usar el retenedor por la noche realmente no es tan molesto una vez que te acostumbras: los modelos transparentes son cómodos e invisibles, no interfieren con tu descanso, y el hábito se vuelve parte de tu rutina como lavarte los dientes. Piensa que es un pequeño precio a pagar por conservar para siempre la sonrisa espectacular que lograste.
Fases de Retención
A continuación, se describen las fases típicas de retención:
- Fase 1 - Retención inicial (0-3/6 meses post-ortodoncia): Uso del retenedor a tiempo completo, día y noche (unas 22 horas al día), quitándotelo solo para comer, beber y aseo dental.
- Fase 2 - Retención nocturna intensiva (hasta ~1 año post-ortodoncia): Uso del retenedor solo por las noches, todas las noches. Tras esos primeros meses de 24h, tu ortodoncista verifica estabilidad y te permite dejar de llevarlo tantas horas.
- Fase 3 - Retención de mantenimiento a largo plazo (de 1-2 años en adelante): Uso nocturno permanente, pero con menor frecuencia según tu caso. Aquí las indicaciones varían: muchos profesionales aconsejan seguir poniéndote el retenedor todas las noches indefinidamente si es posible (la opción más segura). Otros pueden indicarte que tras uno o dos años de retención estricta, uses el retenedor nocturno intermitente, por ejemplo unas cuantas noches por semana de por vida, o incluso una noche cada semana si los controles muestran que todo está estable.

Retenedores fijos y removibles para mantener la alineación dental.
¿Qué pasa si no uso los retenedores?
Como ves, la respuesta a “¿cuánto tiempo tengo que llevar el retenedor por las noches?” es muy a largo plazo. La intención no es asustarte, sino que comprendas que la retención es una parte fundamental del tratamiento ortodóncico.
Quizá pienses: “¿Tan grave es si me salto algunas noches?”. Entiendo la tentación de descuidarse; después de años con ortodoncia, uno quiere “liberarse” de cualquier aparato.
Los dientes, tras la ortodoncia, tienen cierta inestabilidad inicial. Investigaciones clínicas han demostrado que, al dejar de usar el retenedor, los dientes pueden empezar a desviarse en cuestión de días. De hecho, se ha observado movimiento dental tan pronto como a los 2-3 días de no llevarlo.
Yo mismo he visto pacientes que, por descuido de un par de semanas, notan que su retenedor removible les aprieta más de lo normal al volver a usarlo, señal de que los dientes se movieron ligeramente. Si dejas pasar aún más tiempo sin retenedor, los desplazamientos serán mayores y podrían arruinar parte de lo conseguido con la ortodoncia.
¿Qué significa esto en la práctica? Que si una noche te olvidas del retenedor, no va a ocurrir una catástrofe instantánea - no te alarmes, por una sola noche probablemente no pase nada significativo. Pero si omites su uso de forma recurrente, especialmente en los primeros meses, los dientes empezarán a desplazarse poco a poco hacia su antigua posición. Al principio tal vez ni lo notes, pero con el tiempo podrías ver separación entre algunos dientes o leves giros. Y si continúas sin retenedor, la recidiva puede empeorar.
Por eso insistimos tanto los ortodoncistas en la fase de retención: sabemos que una mala adherencia al retenedor tira por la borda el esfuerzo, tiempo y dinero invertido en tu sonrisa. Créeme, no quieres repetir el tratamiento porque los dientes se movieron por no usar el retenedor.
Incorpóralos a tu rutina nocturna como otro hábito de higiene: después de lavarte los dientes, ponte el retenedor antes de acostarte. Si aún así olvidaste una noche, no entres en pánico. Úsalo al día siguiente en cuanto lo recuerdes y la noche siguiente con normalidad. Si notas que tu retenedor removible ya no encaja bien o aprieta demasiado después de un periodo sin usarlo, ¡no lo fuerces! Esto es señal de que hubo movimiento dental.
Usar mal o no usar tus retenedores conlleva el riesgo de que tus dientes se desalineen de nuevo, en mayor o menor medida. Mientras más tiempo estés sin retenedor, más difícil será corregir la recidiva y posiblemente necesites re-tratamiento. Así que aunque suene pesado, ¡sigue con tu retenedor tal como te indicaron!

Mantén tu sonrisa perfecta con el uso adecuado de retenedores.
¿Cómo se limpian los retenedores?
Ahora que sabes que tus retenedores van a ser compañeros de largo plazo, es importante saber cuidarlos correctamente. Un retenedor en buen estado no solo hará mejor su trabajo de mantener tus dientes alineados, sino que también te resultará más cómodo y saludable (un retenedor sucio puede acumular bacterias, ¡puaj!).
- Limpieza diaria: Cada mañana al despertarte, retira tu retenedor removible y límpialo suavemente. Lo ideal es cepillarlo con un cepillo de dientes suave y solo con agua fría y jabón neutro. No uses pasta dental abrasiva, ya que podrías rayar el plástico transparente y hacer que pierda su brillo y se opaque. Enjuaga bien el retenedor antes de volver a guardarlo.
- Nada de calor: Nunca expongas tus retenedores a altas temperaturas. Eso significa que no debes limpiarlos con agua caliente ni dejarlos cerca de fuentes de calor (como radiadores, la consola del coche al sol, etc.), ya que el plástico podría deformarse. Siempre agua fría o tibia.
- Productos de limpieza: Además del cepillado diario con agua y jabón, puedes usar pastillas limpiadoras efervescentes específicas para prótesis o retenedores una o dos veces por semana.
- Almacenamiento seguro: Cuando te quites el retenedor removible (por ejemplo, para comer), guárdalo siempre en su estuche rígido. Nada de envolverlo en servilletas ni dejarlo suelto en el bolsillo o cartera, ya que es la receta para que acabe roto o perdido por accidente. He escuchado muchas historias de retenedores tirados a la basura por estar envueltos en un papel en la bandeja de un restaurante.
- Cuidado con el fijo: Si llevas retenedor fijo, estate atento a cualquier sensación extraña. Si notas que el alambre fijo se despega siquiera parcialmente de un diente, acude al ortodoncista cuanto antes. Un retenedor fijo despegado no cumple su función y puede permitir movimientos indeseados; además podría molestarte la lengua.
- Revisiones periódicas: No “abandones” a tu ortodoncista después de la ortodoncia. Es fundamental acudir a las citas de retención o control que te programen. Suelen ser con menor frecuencia (por ejemplo, a los 3 meses, luego a los 6 meses, después anuales). En esas revisiones comprobaremos que todo marcha bien: que los retenedores siguen en buen estado, limpios y ajustando correctamente, y que tus dientes permanecen alineados.
Con el paso de los años, los retenedores removibles se desgastan y pierden rigidez, especialmente las férulas transparentes. Un signo de esto es que ya te quedan más flojas de lo habitual. Cuando el retenedor ya no ajuste bien por desgaste, hay que reemplazarlo por uno nuevo. Tu ortodoncista evaluará esto en las revisiones.
En cuanto a la higiene, los retenedores fijos se limpian dentro del protocolo diario de higiene dental del paciente. Dentro de las vistas anuales de control ortodóncico es recomendable que los pacientes se hagan también higienes dentales profesionales para ayudarle a mantener la salud general de su boca.
Tener un retenedor fijo significa que debes ser muy cuidadoso con la limpieza para evitar acumulación de placa en esa zona. Y tener uno removible significa que además de tus dientes, debes limpiar el aparato. Así que mantén tus hábitos de cepillado (idealmente después de cada comida) y utiliza enjuague o hilo según te hayan indicado.
Siguiendo estos consejos, tus retenedores se mantendrán en óptimas condiciones y cumplirán su función a la perfección.
¿Los retenedores dentales son incómodos?
La comodidad de los retenedores dentales puede variar según la persona y el tipo de retenedor utilizado. En general, los retenedores dentales son diseñados para ser lo más cómodos posible, pero algunas personas pueden experimentar cierta incomodidad o molestias, especialmente al principio.
- Sensación inicial: Cuando se coloca por primera vez un retenedor dental, puede sentirse extraño en la boca y puede causar cierta molestia o irritación.
- Adaptación: La mayoría de las personas se adaptan gradualmente a la presencia del retenedor en la boca.
- Ajustes: Si experimenta molestias persistentes o problemas con su retenedor, es importante comunicarse con su ortodoncista o dentista.
- Mantenimiento adecuado: El cuidado adecuado de los retenedores es esencial para mantener su comodidad y eficacia.
En resumen, la comodidad de los retenedores dentales puede variar, pero en la mayoría de los casos, las molestias iniciales tienden a disminuir con el tiempo a medida que te acostumbras a usarlos.
¿Los retenedores duran para siempre?
Al finalizar un tratamiento de ortodoncia, surgen muchas inquietudes acerca de los retenedores. En la mayoría de los casos, sí debes usar algún tipo de retenedor de por vida si quieres asegurar que tus dientes no se desplacen con los años. Sin embargo, no significa usarlo todas las noches eternamente con la misma frecuencia estricta.
Como hemos visto, tras los primeros años de uso constante, muchos pacientes pueden reducir su uso a solo algunas noches por semana de por vida.
Piensa en el retenedor como en usar el cinturón de seguridad: puede que a veces no pase nada si no lo usas, pero por seguridad es mejor llevarlo puesto siempre que puedas. La recomendación profesional general es toda la vida (¡los dientes se mueven toda la vida!), aunque sea de forma intermitente.
Si notas que han pasado muchos años y tus dientes no se mueven ni un ápice, habla con tu ortodoncista; bajo su supervisión podrían ajustar la frecuencia.
Por una noche que olvides usar el retenedor, probablemente no pase nada grave. Como mencioné antes, en 24-48 horas tus dientes no van a desalinearse por completo. El problema está cuando ese olvido se vuelve frecuente.
Si te saltas uno o dos días, ponte el retenedor cuanto antes y continúalo usando normalmente; no necesitas usarlo horas extra al día siguiente, simplemente retoma tu rutina nocturna.
Pero si, por ejemplo, olvidaste llevarlo durante toda una semana (digamos que te fuiste de viaje y lo dejaste), es posible que notes el retenedor más apretado al volver a usarlo - señal de que hubo cierto movimiento. En ese caso, úsalo de inmediato todas.
Retenedores y mal aliento
Los retenedores dentales, ya sean fijos o removibles, pueden contribuir al mal aliento si no se mantienen limpios y cuidados adecuadamente.
- Acumulación de placa: Los retenedores pueden acumular placa bacteriana, al igual que los dientes.
- Limpieza deficiente: Es esencial limpiar regularmente los retenedores siguiendo las recomendaciones de tu ortodoncista o dentista.
- Higiene oral general: Además de cuidar tus retenedores, mantener una buena higiene oral en general es importante para prevenir el mal aliento.
Si experimentas mal aliento persistente a pesar de mantener una buena higiene oral y cuidar adecuadamente tus retenedores, es importante consultar a un dentista u ortodoncista.
Conclusión
El uso de retenedores es crucial para mantener la alineación de tus dientes y asegurar resultados duraderos tras un tratamiento de ortodoncia. Los retenedores son dispositivos pasivos. Es decir, su función principal no es mover los dientes, sino evitar que estos se desplacen hacia direcciones no deseadas.
La importancia de los retenedores radica en la necesidad de dar tiempo a los tejidos gingivales para que se adapten a la nueva posición de los dientes después de un tratamiento de ortodoncia.
En cuanto a su comodidad, es posible los notes durante los primeros días, aunque no son molestos.
Existen diferentes tipos de retenedores, cada uno con indicaciones particulares y efectos distintos. Entre los más comunes se encuentran los retenedores fijos, los removibles de resina y los removibles transparentes.
Los retenedores fijos son unos dispositivos formados por delicados alambres que se cementan en la cara interior de los dientes, sin que sean visibles externamente.
Debes recordar que el retenedor es una continuación del tratamiento de ortodoncia y su objetivo es garantizar que los resultados obtenidos no se pierdan con el tiempo.
Siguiendo las indicaciones de tu ortodoncista al pie de la letra, podrás asegurar el mayor beneficio para tu salud dental y disfrutar de una sonrisa perfectamente alineada y duradera.
Los retenedores removibles ofrecen una versatilidad que se adapta a las necesidades específicas de cada paciente.
La duración del uso del retenedor después del tratamiento de ortodoncia varía según una serie de factores, incluyendo la gravedad de la maloclusión corregida, el tipo de tratamiento realizado y las características individuales de cada paciente.
Después de este período inicial, el ortodontista puede indicar un uso parcial de los retenedores durante aproximadamente un año, permitiendo que los tejidos gingivales se reorganicen y se adapten a la nueva posición de los dientes.
Los retenedores removibles de resina cubren el paladar y están provistos de pequeños alambres de retención para su mejor ajuste. Por el contrario, los retenedores removibles transparentes son similares a los alineadores de ortodoncia.
En conclusión, los retenedores juegan un papel fundamental en el mantenimiento de los resultados obtenidos tras un tratamiento de ortodoncia. Tanto los retenedores fijos como los removibles ofrecen ventajas significativas, como la retención efectiva de la alineación dental y la adaptabilidad a las necesidades individuales. Sin embargo, todos ellos requieren de cuidados y atención, ya sea a la hora de la higiene dental o por la necesidad de cierta disciplina por parte del paciente.
tags: #alambre #retenedor #fijo #ortodoncia