En la Clínica Dental Marcet Moret y la Clínica Dental Vinateros, nos dedicamos a ofrecer soluciones avanzadas y personalizadas para una variedad de problemas dentales, incluyendo las infecciones dentales crónicas. Estas infecciones no solo afectan la salud bucal, sino que también pueden tener repercusiones graves en la salud general si no se tratan a tiempo.

¿Qué son las Infecciones Dentales Crónicas?
Una infección dental crónica es una infección persistente en la estructura dental o en los tejidos circundantes. A continuación, algunos tipos comunes:
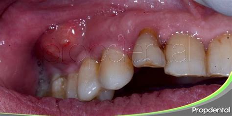
- Absceso dental: Acumulación de pus que se forma debido a una infección bacteriana.
- Infecciones periodontales crónicas: Afectan las encías y el hueso que sostiene los dientes.
- Caries no tratadas: Una de las causas más comunes de infecciones dentales crónicas.
Diagnóstico y Tratamiento
Para evaluar el estado de los dientes y el hueso circundante, las radiografías son esenciales. Los antibióticos pueden ser recetados para controlar la infección bacteriana y reducir la inflamación. Además, el tratamiento de conductos es una opción común para tratar infecciones crónicas que afectan la pulpa dental.
El Uso de Antibióticos en Odontología
Es muy habitual escuchar frases como “Me duele la muela, voy a tomar antibiótico”. Sin embargo, la realidad es que el antibiótico no es la mejor opción ante un simple dolor dental. Nuestros especialistas recetan este tipo de medicamentos cuando se ha detectado una infección bacteriana. El mejor consejo es no automedicarse nunca. Si sufres un dolor dental, puedes tomar un analgésico para paliar las molestias, pero siempre visita al dentista.
Es importante que conozcas los efectos que tienen ciertos antibióticos que recetamos los especialistas. Y, al igual que ocurre con otro tipo de medicamentos, con los que están relacionados con tu salud dental tampoco puedes automedicarte. En muchas ocasiones, seguro que has conocido a alguien que decía que, ante el dolor de muela, se tomaba un antibiótico. Pero como el propio nombre indica, un antibiótico se encarga de combatir las infecciones bacterianas, por lo que su uso sin control y de manera excesiva, puede desencadenar problemas de inmunización ante su consumo. O, lo que es lo mismo, que no te hagan ningún efecto en el futuro.
Rhodogil: Un Antibiótico Común en Odontología
El Rhodogil es un antibiótico muy utilizado en odontología y sirve para tratar infecciones bacterianas, como las patologías periodontales. La espiramicina y el metronidazol son los componentes del Rhodogil, una combinación de antibióticos bastante eficaz en el tratamiento de infecciones provocadas por bacterias. Es importante seguir el tratamiento farmacológico tal y como te lo prescriba el odontólogo.
Si tienes Rhodogil en casa de un tratamiento dental anterior, evita su ingesta descontrolada, ya que solo es efectivo ante infecciones bacterianas. Ante un dolor dental, encías inflamadas, la aparición de llagas en la boca u otras patologías orales, debes acudir a la clínica dental y someterte a una revisión bucal de calidad. Nuestros odontólogos te pautarán el mejor tratamiento oral.
El Rhodogil nos permite tratar infecciones en la boca con éxito, evitando que las bacterias orales causen más daños en tu organismo. Nuestros dentistas apuestan siempre por la individualización de cada caso. La mejor forma de tomar Rhodogil es aquella que te indique el dentista, en función de tu diagnóstico.
Enfermedades Tratables con Rhodogil
- Patologías periodontales: Gingivitis y periodontitis, ocasionadas por la presencia de bacterias orales.
- Flemón o absceso dental: Originado por la acumulación de pus en las mucosas orales.
- Caries dentales: Enfermedades ocasionadas por la presencia de bacterias.
- Cirugía oral: Utilizado para la prevención de infecciones en intervenciones como las exodoncias complejas de las muelas del juicio.

¿Cuándo No Usar Rhodogil?
Al igual que ocurre en otros antibióticos, el Rhodogil también debe evitarse en ciertas situaciones como, por ejemplo: las personas que sufren problemas en el hígado. Aunque tampoco pueden ingerirlo las personas intolerantes a la fructosa ni las embarazadas. Además, jamás se debe tomar un tratamiento de antibióticos con bebidas alcohólicas.
No tomes medicamentos, como el Rhodogil, sin la prescripción previa de un dentista especializado. En nuestra clínica dental de Madrid te realizamos un examen bucal personalizado, con el fin de someterte a tratamientos de alta calidad, que nos permitan garantizarte unos dientes perfectos, libres de patologías orales.
Infecciones Dentales: Causas y Tratamientos
Las infecciones dentales pueden llegar a ser muy severas y causar dolor intenso. Este dolor en la mayoría de los casos estará originado por un proceso infeccioso. Y valorar y tratar a este, no solo será clave para acabar con el dolor. La infección dental está causada por un aumento de bacterias y estas pueden deberse a diferentes causas o patologías dentales y orales.
Causas Comunes de Infecciones Dentales
- Caries dental: Causada por el ácido que producen las bacterias presentes en los dientes.
- Pulpitis: Inflamación de la pulpa del diente.
- Enfermedades periodontales: Gingivitis y periodontitis.
- Pericoronitis: Infección que se produce cuando partículas de comida y bacterias se introducen dentro de las encías que cubren parcialmente las muelas del juicio.
- Traumatismos y fracturas dentales: Pueden provocar infecciones si no se tratan adecuadamente.
Asimismo, una infección de boca se puede manifestar o exteriorizar mediante un absceso o flemón o no. Una infección dental se deberá tratar con extrema celeridad. El área del diente perdido de forma prematura, tras la cicatrización ósea, se deberá rehabilitar.
Los principales antibióticos empleados en odontología para las infecciones dentales son la amoxacilina y, en alérgicos, la clíndamicina. Los antibióticos siempre deberán ser prescritos por tu dentista después de un diagnóstico de la causa. En el caso de los terceros molares o muelas del juicio, cuando estas piezas presentan un proceso infeccioso, el tratamiento habitual será su extracción.
A la mínima que notes algún síntoma de infecciones dentales, aunque solo sea dolor, visita también tu clínica Propdental. Una intervención precoz puede frenar la infección y evitar que se vuelva más severa, dolorosa y difícil de curar.
Antibióticos Comúnmente Utilizados
Los principales antibióticos empleados en odontología para las infecciones dentales son la amoxacilina y en alérgicos la clíndamicina. Los antibióticos siempre deberán ser prescritos por tu dentista después de un diagnóstico de la causa.
Además de estos, existen otros antibióticos y sus usos:
- Penicilina: Interfiere en la síntesis de la pared bacteriana.
- Eritromicina: Alternativa para alérgicos a la penicilina, aunque su eficacia contra anaerobios es limitada.
- Azitromicina: Macrólido azálido eficaz en infecciones odontógenas.
- Clindamicina: Penetra en los tejidos orales y es activa frente a anaerobios penicilin-resistentes.
- Tetraciclinas (Doxiciclina): Efectivas frente a múltiples anaerobios.
El profesional de la medicina se encuentra con una serie de problemas, especialmente en el ámbito ambulatorio a la hora de utilizar los antibióticos para tratar de una forma racional las enfermedades infecciosas de la cavidad oral. Estas dificultades surgen por las características propias de estos procesos y de las peculiaridades de la zona anatómica en que se establecen. La mayoría de las infecciones de la cavidad bucal son, como sabemos inespecíficas, polimicrobianas (múltiples bacterias implicadas) y mixtas (bacterias con distinto tipo respiratorio). Por todo lo expuesto, a nivel ambulatorio se deben emplear casi obligatoriamente tratamientos antibióticos empíricos.
14 ANTIBIÓTICOS NATURALES más PODEROSOS 🌿🦠 (Alimentos y Plantas Antibacterianas)
Tratamiento de la Celulitis Facial
En las celulitis faciales intervienen la virulencia del microorganismo, las defensas del paciente y los espacios anatómicos. En la celulitis leve-moderada el tratamiento de elección es la asociación de amoxicilina y ácido clavulánico, y en las moderado-severas la asociación de amoxicilina-ácido clavulánico y clindamicina.
La dosis recomendada de amoxicilina/ácido clavulánico en pacientes adultos con infecciones orofaciales leve-moderadas es de 500/125 o de 875/125 mg cada 8 horas. En pacientes pediátricos la dosis es de 20-40 mg/kg./día repartidos en 3 tomas. La dosis recomendada de clindamicina en pacientes adultos con infecciones orofaciales de carácter leve-moderado es de 300 mg cada 8 horas, ya que a dicha dosis se obtienen concentraciones bactericidas a nivel del líquido gingival.
Consideraciones Adicionales
Como sabemos, la mayor parte de los gérmenes anaerobios que se hallan en las infecciones orofaciales son sensibles a las penicilinas, eritromicinas, clindamicina, doxiciclina y metronidazol. En la fase de absceso, el tratamiento es quirúrgico principalmente, asociado al farmacológico. El antibiótico administrado dependerá de la sensibilidad del microorganismo, de las características del paciente y de las posibles alergias.
En caso de embarazo o lactancia: no prescribir tetraciclinas, cloranfenicol, eritromicina en estolato, así como las sulfamidas durante el tercer trimestre, o bien el metronidazol en el primer trimestre.
En la celulitis graves el paciente se ingresará y el tratamiento se hará con vía endovenosa, siendo múltiples las pautas terapéuticas empleadas. Amoxicilina y ácido clavulánico 2 gramos I.V. cada 8 horas asociado a Clindamicina 600 mg/cada 8 horas. Debiendo tener la precaución de diluirlo en 100 c.c.
tags: #antibioticos #especificos #para #las #infecciones #dentales