El tratamiento de conductos, también conocido como endodoncia, es un procedimiento dental comúnmente utilizado para salvar dientes que están gravemente dañados o infectados. Este tratamiento es crucial para mantener la salud dental general y evitar la extracción del diente afectado. A menudo llamada «matar el nervio», este tratamiento elimina la pulpa dental afectada para conservar la pieza dental y evitar su extracción.

¿Qué es una Endodoncia?
La endodoncia es la técnica que trata y cura las enfermedades de la pulpa o nervio de los dientes. Es uno de los tratamientos más frecuentes en la clínica dental, ya que permite salvar dientes y su extracción evitando el uso de implantes.
La endodoncia se realiza cuando la pulpa de un diente, que es el tejido interno compuesto por nervios, vasos sanguíneos y tejido conectivo, está dañada o infectada. La eliminación de la pulpa del diente es la solución para que el diente pueda seguir, la endodoncia es uno de los tratamientos más conservadores de la odontología.
Si este dolor o molestias no se trata el siguiente paso sería la extracción de la pieza dental. Con la sustitución de los conductos lo que se hace es limpiar la zona y reforzarla sustituyendo lo que estaba mal.
¿Cuándo necesitas una Endodoncia?
La endodoncia, también llamada tratamiento de conductos,matar el nervio. Es el procedimiento por el que los odontólogos eliminan en parte o en su totalidad la pulpa del diente que está dañada.
Existen varias señales que podrían indicar la necesidad de una endodoncia:
- Dolor intenso al masticar o al aplicar presión.
- Sensibilidad extrema al calor o frío.
- Infecciones recurrentes en un mismo diente.
- Fracturas o daños graves en la pieza dental.
Además, la endodoncia se realiza en los siguientes supuestos:
- El diente afectado presenta caries profunda.
- Traumatismo dental: La rotura de un diente por un golpe puede exponer directamente el tejido pulpar y hacer necesaria su extirpación.
- Erosión dental.
El diente puede volverse sensible al frío, al calor o la masticación. El dolor puede ser intermitente o constante. Incluso el diente puede cambiar de color o puede aparecer un flemón o una fístula.
También podría estar aconsejada la endodoncia en dientes que requieran grandes tallados para la posterior colocación de coronas o puentes.
Causas Comunes de Daño o Infección Pulpar
Las causas comunes de daño o infección pulpar incluyen:
- Caries profundas
- Fracturas dentales
- Lesiones traumáticas

¿Cómo se realiza una Endodoncia?
El objetivo de la endodoncia es eliminar la pulpa dañada, limpiar el conducto radicular y sellarlo para prevenir futuras infecciones.
El proceso incluye los siguientes pasos:
- Diagnóstico y planificación del tratamiento: El primer paso es la evaluación del diente afectado. El dentista realizará una radiografía para determinar el alcance del daño o infección en la pulpa y las raíces del diente.
- Anestesia local: Para asegurar la comodidad del paciente, se aplica anestesia local en la zona afectada.
- Aislamiento del diente: Se coloca una barrera de goma (dique de goma) alrededor del diente para mantenerlo seco y libre de saliva durante el procedimiento.
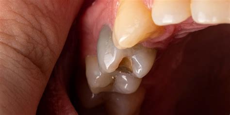
- Apertura del diente: El dentista realiza una abertura en la corona del diente para acceder a la pulpa infectada o dañada. La ejecución de la apertura de la cavidad de acceso a la cámara pulpar tiene que ser considerada como una parte integrante de la preparación biomecánica. Al ser el primer paso operatorio, el diseño adecuado condiciona el resultado final del tratamiento.
- Eliminación de la pulpa dañada: Usando instrumentos especiales llamados limas endodónticas, el dentista remueve la pulpa dañada o infectada de las cámaras y los conductos radiculares del diente.
- Desinfección: Después de eliminar la pulpa, los conductos se limpian y desinfectan cuidadosamente para eliminar cualquier bacteria restante.
- Relleno de los conductos: Una vez que los conductos están limpios y secos, se rellenan con un material biocompatible llamado gutapercha.
- Sellado temporario o permanente: Dependiendo de la situación, el dentista puede colocar un empaste temporal para sellar la abertura hasta que se pueda realizar la restauración final.
- Restauración final: La restauración final del diente tratado es crucial para su funcionalidad y estética. Esto puede incluir la colocación de una corona, especialmente si el diente ha perdido una cantidad significativa de estructura.
- Seguimiento y cuidados posteriores: Después del tratamiento, el paciente debe seguir las instrucciones del dentista para el cuidado postoperatorio. Es posible que se prescriban analgésicos para manejar cualquier molestia.

¿Qué hacer después de una Endodoncia?
Después se reconstruye la pieza dental queda la pieza para poder tener una usabilidad normal. Dependerá de como este su pieza dental hay ocasiones en las que es necesario realizar una: incrustación, una corona dental y otras en las que con una reconstrucción de la parte dañada es suficiente.
Después de someterse a una endodoncia es recomendable seguir una serie de pautas:
- Esperar a que termine el efecto de la anestesia para empezar a masticar. Así evitaremos mordernos.
- No masticar alimentos duros durante el tiempo que transcurra entre la endodoncia y la reconstrucción final del diente. De este modo protegemos el diente de posibles fracturas indeseadas. Una vez que la reconstrucción final esté hecha, se puede volver a masticar con normalidad.
- Cuidado con el hilo dental. La higiene dental después de una endodoncia debe ser igual de rigurosa que la habitual. En cuanto al hilo dental, deberemos pasarlo con especial atención entre la reconstrucción provisional (si la hubiese) y el diente adyacente.
Beneficios de la Endodoncia
La endodoncia es un tratamiento conservador que permite preservar el diente natural, manteniendo su funcionalidad y apariencia, lo que es vital para tu salud bucal a largo plazo.
- Salva tus dientes naturales: Evita la extracción y mantiene tu sonrisa intacta.
- Elimina el dolor: Al retirar la pulpa infectada, desaparecen las molestias.
- Previene futuras infecciones: El sellado adecuado de los conductos impide la entrada de bacterias.
- Mejora la estética dental: Conservas la estructura del diente, manteniendo tu sonrisa natural.
¿Qué puede fallar al matar el nervio?
Hay piezas dentales que han sufrido mucho y durante mucho tiempo incluso no resisten y se rompen (fracturan). Se puede partir la raíz y perder la pieza dental. Un conducto queda mal sellado y la endodoncia fracasaría. Por eso es importante limpiar bien y sustituir los conductos correctamente para que ni nos pasemos ni sobresalga de los conductos la gutapercha que es la que sustituye al nervio.
Muchas endodoncias fracasan porque los conductos no están bien sellados.
¿Qué pasa si una Endodoncia fracasa?
Cuando la endodoncia no se realiza correctamente, pueden surgir complicaciones como un mal sellado de los conductos, lo que permite que las bacterias causen una nueva infección. En estos casos, existen opciones como:
- Reendodoncia: Repetir el tratamiento para corregir el error.
- Apicectomía: Cirugía para remover la punta de la raíz.
- Extracción: En casos extremos, se podría necesitar la extracción del diente.
¿Cuáles son los costos de una Endodoncia?
El costo de una endodoncia varía según la complejidad del caso, dependiendo del número de conductos que tenga la pieza afectada. En general, el precio ronda los 280€ por tratamiento.
¿Por Qué no para de sangrar?
Una endodoncia que no pare de sangrar suele ser porque no se ha realizado bien, no se ha llegado a la punta del conducto y posiblemente se tenga que realizar una apicectomía para intentar salvar la pieza dental. La otra opción es extraer, según considere cada profesional le dará la explicación del porque realizaría un tratamiento u otro.
¿Porqué me duele mi endodoncia?
Los primeros días es normal que moleste, pero si sigue con dolor en el tiempo y sigue doliendo puede ser porque la endodoncia este bien pero sea un problema periodontal o porque la endodoncia no ha quedado bien sellada o se ha roto la raíz…
¿Por Qué se infecta una endodoncia?
Porque se filtra por la pieza dental las bacterias y entrar al conducto radicular hasta la punta de la raíz.
Tipos de endodoncia
Según el número de raíces que tenga el diente a tratar, podemos hablar de:
- Endodoncia monoradicular: Se corresponde con los dientes incisivos centrales, laterales, caninos y premolares inferiores.
- Endodoncia biradicular: Se corresponde con los premolares superiores.
- Endodoncia poliradicular: Formada por tres o más conductos. Se corresponde con los molares.
Cuidados después de una endodoncia
Los cuidados después de una endodoncia son pocos. Es importante conocerlos porque pueden ayudarnos a evitar el dolor y la rotura del muñón o reconstrucción provisional del diente.
Los días inmediatamente posteriores a la endodoncia se puede notar una cierta sensibilidad en la zona. Incluso se pueden sentir molestias de diversa intensidad dependiendo de donde se produzca la reacción de inflamación. La zona periapical (tejido que rodea el final de la raíz) es una de ellas.
Para aliviar los síntomas después de la endodoncia se debe tomar la medicación analgésica-antiinflamatoria prescrita por el odontólogo.
Tratamientos como el blanqueamiento interno, reconstrucciones estéticas, carillas o coronas pueden resultar necesarios con el paso del tiempo (meses o años). Permitirán solucionar problemas estéticos.
La endodoncia es una solución efectiva y común para salvar dientes que de otro modo se perderían debido a infecciones o daños severos. Entender las indicaciones y el procedimiento puede ayudar a los pacientes a tomar decisiones informadas sobre su salud dental. La endodoncia no solo alivia el dolor y la infección, sino que también preserva la estructura dental natural, contribuyendo a una mejor calidad de vida.
¿Cómo saber si necesito un tratamiento de endodoncia? | Colgate®

tags: #apertura #de #urgencia #en #endodoncia