La ortodoncia invisible con Invisalign se ha convertido en una opción popular para quienes buscan alinear sus dientes de manera discreta y efectiva. Este tratamiento innovador utiliza alineadores transparentes, prácticamente invisibles, para corregir problemas dentales de manera cómoda.
Uno de los componentes clave para el éxito de este tratamiento son los ataches Invisalign. ¿Qué son exactamente y por qué son tan importantes?

¿Qué son los Ataches Invisalign?
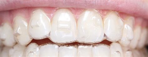
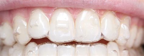
Los ataches Invisalign son pequeñas protuberancias de composite dental que se adhieren temporalmente a la superficie de los dientes. Están hechos de un material de resina compuesta del color del diente, lo que los hace discretos y apenas visibles.
El objetivo principal de los ataches es proporcionar puntos de apoyo adicionales que permitan a los alineadores ejercer la presión correcta sobre los dientes. Algunos movimientos dentales, como la rotación o el desplazamiento de dientes específicos, pueden ser más complicados, y los ataches ayudan a que los alineadores tengan un mejor control sobre estos movimientos.
La colocación de los ataches es un procedimiento sencillo, rápido e indoloro que se realiza en la clínica. Una vez colocados, notarás un pequeño relieve sobre la superficie del diente, al que la mayoría de los pacientes se adapta rápidamente sin experimentar molestias importantes.
¿Cuándo son Necesarios los Ataches?
No en todos los casos se requieren ataches. La necesidad de utilizar los ataches en Invisalign depende del tipo de corrección dental que necesite el paciente. Los casos más sencillos, como pequeños espacios o dientes ligeramente desalineados, pueden no requerir ataches.
Los ataches son una herramienta más del ortodoncista para realizar con éxito movimientos complejos como parte de un tratamiento de alineadores invisibles.
Tipos de Ataches Invisalign
En función de los movimientos que se necesiten realizar, los ataches pueden variar en forma y tamaño. La ubicación y forma de los ataches dentales dependerán del efecto que se desee lograr.
- Ataches de control radicular: Para un enderezamiento radicular (corrección de la forma de la raíz del diente) se utilizan dos ataches en forma de media luna sobre un mismo diente.
- Ataches de unidad multidental: Existen dos subtipos: de retracción que se colocan en caninos superiores e inferiores y de anclaje que se colocan en segundos premolares y molares superiores e inferiores.
En muchos casos, los ataches irán cambiando de tipo y posición durante el transcurso del tratamiento ortodóncico, ya que las necesidades de fuerza y tracción van cambiando conforme el tratamiento ortodóncico avanza.
Los ataches convencionales son de dos formas: elipsoidales y rectangulares. En cambio, los ataches convencionales rectangulares pueden tener diferentes tamaños. Pueden medir 3, 4 o 5 mm de largo en función del tipo de movimiento y de la morfología del diente.
Los ataches optimizados tienen unas formas específicamente diseñadas para que se realice un movimiento determinado para cada diente. Por ello, no se pueden modificar el tamaño ni su posición. Existen varios tipos y cada uno de ellos se utiliza en unos dientes en particular. Se pueden colocar en premolares superiores e inferiores.
¿CÓMO SE CEMENTAN LOS ATTACHMENTS DE INVISALIGN?
Colocación de los Ataches Invisalign
Una vez recibidos en la consulta los alineadores, el ortodoncista recibe también una férula/plantilla con la que te colocará los ataches. Normalmente los primeros alineadores son sin ataches, para permitir al paciente su adaptación a su nuevo tratamiento de ortodoncia invisible.
La colocación de los ataches de Invisalign es completamente indolora y apenas provoca molestias durante el tratamiento. Por suerte, esta sensación es temporal y suele desaparecer en pocos días, ¡basta con que el paciente aprender a convivir con su presencia!
Para retirarlos, se utilizan unas fresas especiales que no dañan el esmalte de tus dientes, que quedarán en el mismo estado que tenían antes de la colocación de los ataches. Si uno o varios de los ataches llegan a caer antes de tiempo, tu ortodoncista colocará unos nuevos en tu próxima visita, el único cuidado que debes tener es no cambiar de alineador antes de que los ataches sean recolocados.

Cuidado e Higiene con Ataches Invisalign
Podrás cepillarte con la misma facilidad que lo hacías antes de iniciar tu tratamiento de Invisalign. Pero es fundamental mantener una buena higiene bucal durante el tratamiento con Invisalign y ataches, ya que la presencia de éstos puede hacer que algunos restos de alimentos se acumulen con mayor facilidad.
Es esencial mantener la boca limpia y saludable durante el tratamiento con ataches. Esto no solo mejorará la comodidad del paciente, sino que también evitará la acumulación de placa y caries.
- Realizar un cepillado de dientes al menos dos veces al día.
- Incorporar el uso de hilo dental en la rutina diaria es crucial, ya que permite una limpieza profunda entre los dientes y alrededor de los ataches. Esto ayuda a prevenir la acumulación de placa en áreas difíciles de alcanzar.
- Considerar el uso de enjuagues bucales antibacterianos.
- Programar revisiones regulares con el ortodoncista.
Beneficios de los Ataches Invisalign
El uso de ataches en los tratamientos de ortodoncia con Invisalign trae consigo una serie de beneficios que maximizan el éxito del proceso:
- Optimización de Resultados: Los ataches son fundamentales para optimizar los resultados, permitiendo que los alineadores ejerzan una fuerza más precisa sobre los dientes.
- Estética: Fabricados en un material que imita el color del diente, son difíciles de notar a simple vista.
- Adaptabilidad: Los ataches son altamente adaptables, lo que permite a los ortodoncistas ajustarlos según la evolución del tratamiento.
Los ataches Invisalign son una parte esencial del tratamiento en muchos casos. Gracias a ellos, los alineadores transparentes pueden mover los dientes de manera más eficiente, permitiendo que el paciente obtenga los resultados deseados en menos tiempo y con mayor precisión.
| Tipo de Atache | Función Principal |
|---|---|
| Ataches de Control Radicular | Enderezamiento de la raíz del diente |
| Ataches de Unidad Multidental | Retracción de caninos y anclaje de premolares y molares |
| Ataches Convencionales (Elipsoidales y Rectangulares) | Movimientos generales y ajustes de posición |
| Ataches Optimizados | Movimientos específicos diseñados para cada diente |
tags: #ataches #dentales #invisalign