Hoy en día, casi todo el mundo sueña con tener los dientes blancos y una sonrisa perfecta. La sonrisa tiene un efecto muy importante en tu personalidad y autoestima. Sin embargo, las personas no siempre tienen dientes blancos y rectos desde el nacimiento. La búsqueda de la estética perfecta se remonta a la antigüedad, desde que el ser humano tomó conciencia de lo importante que era la apariencia física para ser aceptado o rechazado por su grupo social.
En la actualidad, en una sociedad altamente competitiva, la apariencia física es importante para ganar confianza en nosotros mismos y sentir que podemos lograr lo que nos propongamos. Tal y como demuestran algunos estudios, tener una buena imagen y lucir una sonrisa radiante se consideran elementos fundamentales a la hora de entablar relaciones profesionales e incluso personales.
La Odontología Estética abarca todos los estudios para mejorar el aspecto de las partes de nuestra boca, desde los dientes hasta las encías. No es de extrañar que la estética dental ha pasado de ser una moda a ser de los tratamientos mas demandados en las clínicas dentales.
¿Como hacen los ⭐️𝗙𝗔𝗠𝗢𝗦𝗢𝗦 para tener 𝗗𝗜𝗘𝗡𝗧𝗘𝗦 𝗣𝗘𝗥𝗙𝗘𝗖𝗧𝗢𝗦? ¡Famosos con dientes FEOS ANTES y DESPUÉS 👄!
Tratamientos de Estética Dental más Solicitados por los Famosos
¿Te preguntarás: cómo consiguen esas sonrisas de ensueño? Los tratamientos de estética dental de los famosos ahora ya están al alcance de todos. Los famosos viven de su imagen y la cuidan al detalle. Al igual que todos los mortales, para conseguirlo se someten a diferentes tratamientos de estética dental. ¿Quieres saber cuáles son los más demandados? Estos son algunos de los tratamientos más comunes:
- Carillas Dentales: Permiten corregir forma, tamaño, posición y color de nuestros dientes. Las carillas dentales son soluciones estéticas avanzadas en odontología que han ganado popularidad en los últimos años. Se trata de delgadas láminas diseñadas a medida, elaboradas de porcelana o resina compuesta, que se adhieren a la superficie frontal de los dientes. Este tratamiento es idóneo para quienes buscan mejorar la apariencia de sus dientes sin necesidad de procedimientos invasivos. Entre las principales irregularidades que pueden ser tratadas con carillas dentales se encuentran las decoloraciones, el desgaste, las roturas, las malposiciones y otros defectos semejantes.
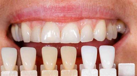
- Blanqueamiento Dental: Sin duda, el blanqueamiento es otro de los secretos dentales de los famosos para lucir sonrisas relucientes y brillantes. Es uno de los tratamientos más comunes y que, a su vez, ofrecen unos resultados espectaculares. El paso del tiempo, el consumo de tabaco o café y diferentes enfermedades bucodentales pueden hacer que tus dientes se vuelvan amarillos y aparezcan manchas. Generalmente recurrimos a este tratamiento como solución cuando el color de nuestros dientes ha oscurecido con el tiempo o tiene alguna mancha que no podemos quitar con el cepillado regular.
- Ortodoncia Invisible: Muchos famosos han reconocido utilizar el sistema Invisalign para corregir su dentadura. Si no lo cuentan, es difícil darse cuenta. El éxito de la ortodoncia invisible es el conjunto de fundas transparentes que van corrigiendo la dentadura sin que nadie lo note. A diferencia de los brackets tradicionales, son muy cómodos, pudiendo poner y quitar con facilidad.
En definitiva, te habrás podido fijar en que los diferentes tratamientos a los que se someten los famosos no son inalcanzables; todo lo contrario, son técnicas rápidas de implementar y, sobre todo, muy efectivas. La realidad es que la imagen es muy importante y debemos cuidarla.

Las carillas dentales son una opción popular para mejorar la sonrisa.
Tipos de Carillas Dentales
Debes saber que existen dos tipos en función del material empleado: de porcelana y composite. Las carillas dentales son láminas muy finas de porcelana o composite que se adhieren a la cara posterior del diente. Pueden moldearse su forma y color, y con esto conseguimos corregir los defectos dentales y crear una dentadura perfecta.
- Carillas de Porcelana: Las carillas de porcelana son ampliamente conocidas por su durabilidad y apariencia estética. Una de las razones principales para optar por las carillas de porcelana es su resistencia a las manchas. A diferencia de los dientes naturales, que pueden teñirse con café, vino o tabaco, las carillas de porcelana mantienen su blancura por años.
- Carillas de Composite: Las carillas de composite, también conocidas como carillas de resina compuesta, son una alternativa más asequible y rápida en comparación con las carillas de porcelana. Un beneficio significativo de las carillas de composite es su facilidad de aplicación y la relativa rapidez del procedimiento. En una sola sesión, el odontólogo puede esculpir el material compuesto sobre los dientes, permitiendo correcciones inmediatas y ajustes en el momento.
Famosos que Optaron por Carillas Dentales
Las carillas dentales son utilizadas por muchas celebridades. Comencemos con una de las celebridades más conocidas. Aquí algunos ejemplos:
- Tom Cruise: La sonrisa de Tom Cruise es adorada por todos. Para convertirse en un verdadero protagonista capaz de atraer audiencias, tuvo que gastar mucho dinero en tratamientos dentales. Esto incluyó blanqueamiento y enderezamiento de los dientes. Sin embargo, no parecía ser suficiente. Desde entonces, se dice que el actor ha llegado a usar varias veces carillas.
- Cristiano Ronaldo: Considerado el mejor futbolista de todos los tiempos, utilizó aparatos de ortodoncia siendo más joven y luego decidió utilizar carillas dentales de porcelana. En su juventud tenía los dientes algo inclinados y opacos. Cristiano Ronaldo no tenía los dientes perfectos cuando era más joven. De hecho, era un adolescente que necesitaba aparatos de ortodoncia para reparar espacios irregulares y dientes desalineados.
- Ben Affleck: Ben Affleck es conocido por ser uno de los hombres más guapos de Hollywood. Su buena apariencia y su sonrisa dorada le permitieron conseguir varios papeles protagónicos en Hollywood. Pero antes de ser el protagonista de Hollywood tenía los dientes salidos y torcidos. Se dice que Ben Affleck se sometió a múltiples procedimientos de odontología cosmética, incluidas carillas para solucionar el problema, lo que probablemente le permitió obtener papeles importantes en películas como «Daredevil» y «Batman vs.
- Zac Efron: Al comienzo de su carrera, una característica distintiva de Zac era un notable diastema interincisivo, una separación evidente entre sus incisivos frontales. Zac optó por el uso de carillas Lumineers, una solución moderna y menos invasiva dentro del campo de la odontología estética. El tratamiento de Zac Efron no sólo cerró la brecha entre sus dientes, sino que también armonizó el conjunto de su sonrisa. Las carillas de porcelana Lumineers se colocaron sobre sus dientes existentes, proporcionando una cobertura completa y uniforme.
- Becky G: Inicialmente, Becky presentaba una sonrisa con dientes separados y ligeramente proyectados hacia afuera. El proceso de mejora de su sonrisa comenzó con un tratamiento de ortodoncia. La ortodoncia se utilizó para alinear los dientes y corregir la mordida, esencial para crear una base estable sobre la que aplicar las carillas dentales. Una vez los dientes estuvieron en la posición adecuada, se procedió con la colocación de carillas de cerámica. El tratamiento de Becky G no solo incluyó la ortodoncia y las carillas de cerámica, sino que también se llevó a cabo un blanqueamiento dental.
- Miley Cyrus: Para abordar este problema, Miley decidió someterse a un tratamiento integral que incluía ortodoncia y la colocación de carillas Lumineers. El primer paso en el tratamiento fue la ortodoncia. Miley utilizó brackets para mover sus dientes a las posiciones correctas. La ortodoncia no era suficiente por sí sola para alcanzar el resultado deseado. Tras completar el tratamiento ortodóntico, se hizo necesario recurrir a las carillas Lumineers para obtener la sonrisa perfecta.
- Penélope Cruz: Inicialmente, Cruz tenía un ligero apiñamiento dental que hacía que algunos de sus dientes frontales no se vieran perfectamente alineados. Este pequeño problema podía afectar la percepción de su sonrisa, especialmente bajo las luces de los focos en eventos importantes y en sus múltiples apariciones cinematográficas. La elección de Penélope Cruz por las carillas dentales ilustra cómo incluso los menores detalles en el mundo del espectáculo se pueden optimizar.

Ejemplo del antes y después de un tratamiento con carillas dentales.
Casos Destacados y Testimonios
En la clínica dental Ferrus & Bratos ponen a tu disposición las fotos de antes y después tras un tratamiento con carillas dentales para que puedas comprobar el cambio que ya disfrutan muchos de nuestros pacientes. Algunos casos destacados incluyen:
- María Isabel: Acudió a la clínica dental con el objetivo de mejorar su sonrisa. Tras un estudio personalizado, se le propuso un tratamiento combinado de ortodoncia y estética dental. Después de 23 meses de ortodoncia, le aconsejaron realizarse un blanqueamiento dental combinado antes de colocar las carillas para lograr un tono más claro y uniforme de la sonrisa.
- Agustín: Presentaba un oscurecimiento dental por tetraciclinas. Lo primero fue comenzar con un tratamiento de ortodoncia invisible durante 12 meses y antes de colocarse las carillas de porcelana le realizaron un blanqueamiento dental para garantizar el resultado más óptimo.
- Manuel: Vino con una maloclusión moderada y con el objetivo de corregir todos los aspectos de su sonrisa que no le gustaban. Por ello, tras un primer estudio completo de su salud bucodental trazaron un tratamiento completo que combinaba ortodoncia invisible, blanqueamiento y carillas dentales.
- Lucía: Su caso requería una planificación integral, así que planificaron su tratamiento entre varios especialistas. Combinaron ortodoncia, gingivectomía, blanqueamiento y colocación de microcarillas de porcelana.
Conclusión
Es importante cuidar tu salud bucodental, como también es válido recurrir a tratamientos estéticos para mejorar la función, apariencia y estética de tus dientes y así disfrutar de una sonrisa perfecta. En Vitaldent cuentan con profesionales especializados en el área de estética dental que responden a las necesidades de todos aquellos que desean mejorar su estética oral.
tags: #blanqueamiento #dental #famosos